Cookie Consent byPrivacyPolicies.comAie Aie Aie - Eugenol
Y3rgx68nbpv7tqitq86azx8sf72v - Eugenol
ELGY

10/04/2024 à 08h51

Monaco écrivait:
------

> Je n'ai pas tout lu .. mais j'ai bien des pano annuelles .. donc merci de ne pas
> me jeter la pierre comme ça svp suite au partage de cas

Aucune intention de te "jeter la pierre".

Par contre dans l'intérêt du cas, la pano de l'an dernier serait interessante à voir.




Markus

10/04/2024 à 08h54

Merci Gabzou d'avoir pris le temps de développer ce que j'avais résumé en "adhoc grand médecin de santé publique et spécialiste en case report".
Tu oublies néanmoins de préciser que si on juge pertinent de faire des millions de pano pour dépister une pathologie de très faible incidence comme l'améloblastome, cela impliquerait, logiquement, qu'il faille faire aussi des millions d'examens irradiant d'autres zones anatomiques (résumé par "n'oublie pas ton bodyscan infecté tous les 2 mois") pour dépister des pathologies d'incidence équivalente, le problème n'est alors plus seulement économique.

Et bien sûr que si, le problème d'adhoc est que cela ne soit pas remboursé, sinon je ne vois pas pourquoi il parlerait, il se tairait et ferait des pano gratuites ou non remboursées...


Y3rgx68nbpv7tqitq86azx8sf72v - Eugenol
ELGY

10/04/2024 à 09h00

L'améloblastome est normalement à progression lente.

Pas de bol pour la gamine si la progression a été fulgurante.


Utilisateur banni

30/04/2024 à 08h24

Aujourd'hui réhabilité un patient en 1 intervention est possible

Qclbs0lutnppdaxkzqobq75yi2hh - Eugenol

120 81 mdkvjo - Eugenol
Monaco

30/09/2025 à 15h15

comme promis

S8jm3neclkk5sv77pkqhp48672l7 - Eugenol

paulman2

30/09/2025 à 18h35

Pour info, c'est quoi tous ces petits éléments qui trainent autour de l'angle mandibulaire ?
Bonne soirée
Paulman


Images oecc9d ijdijh - Eugenol
Akrobat

30/09/2025 à 18h44


et comment va cette jeune fille? esthetiquement ça donne quoi?

--
Tacheron


Y3rgx68nbpv7tqitq86azx8sf72v - Eugenol
ELGY

30/09/2025 à 20h14

paulman2 écrivait:
--------
> Pour info, c'est quoi tous ces petits éléments qui trainent autour de l'angle
> mandibulaire ?
> Bonne soirée
> Paulman

Des agrafes ?


Blue eye thumb medium dx1i0w - Eugenol
bill

01/10/2025 à 00h06

Je pense que quand c’est ton gosse tu n’as rien à faire des recommandations de la sécu et des grands donneurs de leçons que l’on trouve ici sur tous les sujets.
Pauvre gamine, elle démarre mal sa vie d’adulte.


--
https://docudent.fr
La plus importante base
documentaire dentaire francophone
_______________________________



120 81 mdkvjo - Eugenol
Monaco

01/10/2025 à 05h03

Akrobat écrivait:
-------
>
> et comment va cette jeune fille? esthetiquement ça donne quoi?
>
> --
> Tacheron

Honnetement, travail de pro. Esthétiquement sur la face c'est quasi invisible.


120 81 mdkvjo - Eugenol
Monaco

01/10/2025 à 05h36

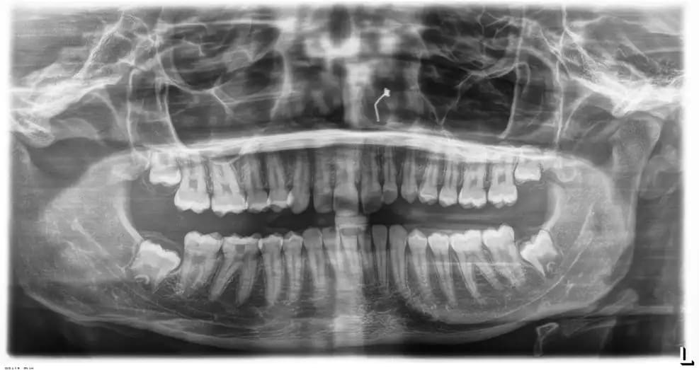
Et pour ceux qui me demandaient la pano de l'année précédente, exactement 1 an et 3 mois précédemment, la voici.

Vous pourrez comparer l'évolution rapide de la tumeur bénigne qui a refoulé les structures en les soufflant.

6307vqrvas8meynaatx1dhe1r6g4 - Eugenol

Y3rgx68nbpv7tqitq86azx8sf72v - Eugenol
ELGY

01/10/2025 à 07h31

Tout est allé très vite pour elle.
Même l’edification radiculaire des dents de sagesse en l’espace d’une année est surprenante 🤔

6x77i4njdeg002ecm45mdf7qwvfz - Eugenol
5o0z0uc9ygd7ytlv7a3ttrc3rloc - Eugenol

120 81 mdkvjo - Eugenol
Monaco

01/10/2025 à 07h43

yes


Gabzou

01/10/2025 à 17h39

Moi ce qui m'impressionne c'est le déplacement de la 38.