Cookie Consent byPrivacyPolicies.comfull cl2 div 2 avec INVISALIGN - Eugenol

full cl2 div 2 avec INVISALIGN

orthoscp

06/03/2024 à 16h58

Bonjour
est-il possible de traiter une full cl2 div 2 par extraction de 14/24 et INVISALIGN ?
Sur leurs cas en ligne ils ne parlent que d'extraction des 4 PM.
Je ne suis pas convaincue par la distalisation molaire pour corriger un décalage d'une cuspide et ça implique d'extraire les dents de sagesses hyper tôt donc très hautes.
merci pour vos lumières.


Y3rgx68nbpv7tqitq86azx8sf72v - Eugenol
ELGY

06/03/2024 à 17h13

Difficile de répondre sans documents mais une Cl II/2 avec extracs 14/24 c'est pas folichon


orthoscp

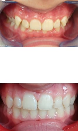
06/03/2024 à 17h37

Ci dessous 2 traitements multi-bagues de cl2div2 avec extrac 14/24.
Mais ma question est plus sur la faisabilité de la même procédure mais en Invisalign.

Uqs5mohxqdrqvy9im7sopeo6ppin - Eugenol
Cn1haua6hcwmz75787p2yygmnyy4 - Eugenol

Y3rgx68nbpv7tqitq86azx8sf72v - Eugenol
ELGY

06/03/2024 à 17h46

Des Cl II/2 ??? 🤔


orthoscp

06/03/2024 à 17h47

bah oui


120 81 mdkvjo - Eugenol
Monaco

07/03/2024 à 14h08

Plusieurs trucs. Les classe II .2 sont souvent étiquetées comme telle mais en grosdes classes II avec belle supra et grosse compensation max incisive.

Si rétromandibulie squelettique associée ++ .. Je pense que l'orthopédie doit s'imposer à l'ODF pure.

Un prof me disait : always FACE first !
Après extraire quand compensation et supra .. c'est en effet pas ouf. Mais parfois on a ces compromis.

Ensuite, le dispositif utilisé, disons que chacun a ses limitations. J'aime à considérer que les aligneurs sont bons pour intrusion mais peu efficaces pour grosses fermetures d'espaces (malgré leurs dires .. :) )


orthoscp

07/03/2024 à 16h30

Merci Monaco pour votre réponse.