Cookie Consent byPrivacyPolicies.comJ'ai fait une connerie (moi aussi) - Eugenol

J'ai fait une connerie (moi aussi)

P2eqdh3csim6s7nb09ktdq3e7ev8 - Eugenol
barbabapat

20/03/2024 à 13h27

ℙ𝕖𝕣𝕧𝕖𝕣𝕤 ℙé𝕡è𝕣𝕖 écrivait:
--------------
> king_zoulou écrivait:
> -----------
> > Tu connais les antécédents médicaux de Frank Ribery ?
> > Moi pas.
>
> Moi oui, pour lui la routourne a tourné, alors rien à péter de la centrée.
>
C'était pas une question de détourné plus que de retourné avec Zahia qui était professionnelle très jeune.


Vw campersurfvan bmnk1q - Eugenol
enlaye

20/03/2024 à 13h38

Olieve écrivait:
------
" Peut-être pas une bombasse, mais ça l'a décontracté du gland, ce qui et très important en occlusion :-) "

Je confirme , très important :-)



Vw campersurfvan bmnk1q - Eugenol
enlaye

20/03/2024 à 13h47

bouboule écrivait:
--------
" La solution unique n’existe pas."

Si . La solution la plus adaptée propre à chacun est unique .
Faut que je te trouve une réponse sympa .


Olieve

20/03/2024 à 13h52

enlaye écrivait:
------
> Faut que je te trouve une réponse sympa .

C'est le problème de l'occlusion, c'est très difficile à expliquer avec des mots.
Alors les théories, les cours et les manuels sont tout de suite fumeux !


P2eqdh3csim6s7nb09ktdq3e7ev8 - Eugenol
barbabapat

20/03/2024 à 14h21

enlaye écrivait:
------
> bouboule écrivait:
> --------
> " La solution unique n’existe pas."
>
> Si . La solution la plus adaptée propre à chacun est unique .
>

ca fait des années que certains le disent.


king_zoulou

20/03/2024 à 14h42

bouboule écrivait:
--------

>
> Moi non plus. Par contre je l’ai vu comme tout le monde courir comme un lapin et
> prendre des positions assez peu compatibles avec :  « > Si on oublie le
> verouillage lombaire au réveil, l'incapacité de faire une
> > rotation externe de l'épaule droite, les douleurs systématiques du tibial
> > antérieur gauche en courant, le manque de mobilité ru rachis thoracique, les
> > tendinites à répétition au coude et au genou, les deux épisodes de diarhée
> > hebdomadaire etc etc etc »
>

C'était une description de mon état de santé quand je faisais les championnats de france de kung fu.
Il parait que j'étais alors dans un état de santé impeccable.
La bonne blague :p


vernal

20/03/2024 à 14h53

king_zoulou écrivait:
-----------

> C'était une description de mon état de santé quand je faisais les championnats
> de france de kung fu.


Du coup, je suis d'accord avec king_zoulou...
Il aurait fait le championnat de France de tricot, je dis pas, mais là...


bouboule

20/03/2024 à 15h16

enlaye écrivait:
------
> bouboule écrivait:
> --------
> " La solution unique n’existe pas."
>
> Si . La solution la plus adaptée propre à chacun est unique .
> Faut que je te trouve une réponse sympa .
>
Toujours pas d’accord ( décidément :-)). D’ailleurs un cas équilibré aux petits oignons, tu le revois 10 ans après, ça aura changé! Plus ou moins en fonction de la vie de chacun, mais ça ne sera plus pareil. Ça va s’user, ça va se prendre des chocs ou des trauma, bref ça va vivre.
Et pourtant il est hautement probable que sauf gros trauma, le patient sera tout aussi confortable…
Même chose pour les augmentations de DV. En fixe on va équilibrer pour que tout le monde bosse, en évitant les prématurités, en recréant une fonction canine voire canine/premo.
Le même patient, tu l'équilibres maintenant en complète amovible. Tes choix ne seront plus les mêmes. Sans doute plus de contact anterieurs, des contacts non travaillant en postérieur pour stabiliser le bouzin etc etc.
Pourtant dans les 2 cas le confort peut être obtenu.

Je parle même pas de l'augmentation de DV qui peut varier dans une certaine limite sans que cela n'ait beaucoup d'impact.

kingzoulou, j'attends avec impatience le résultat d´une étude montrant le lien significatif entre diarrhées et occlusion… en attendant je classe ça dans la catégorie homéopathie/croyance.
Ça se trouve t’avais un covid long avant tout le monde ?! :-)


Pubg2 rjl8jc - Eugenol
lemondestvaste

20/03/2024 à 15h27

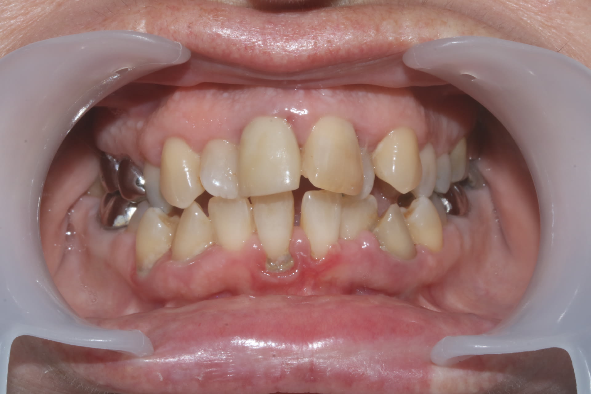
Je vous poste le cas complet juste après ...

Docteur j'ai des acouphènes ...

Mvgfhjs09vlmsty1uyj28wx3l35b - Eugenol

king_zoulou

20/03/2024 à 17h23

Bah quand t’as pris l’habitude de gober au lieu de macher parce que mâcher ça t’emmerde l’atm tu finis par avoir régulièrement la chiasse :p


Vw campersurfvan bmnk1q - Eugenol
enlaye

20/03/2024 à 18h14

il faudrait commencer par le début Cad par une 3d pour bien bien voir globalement , et un devis pour un bon détartrage .
:-)


Vw campersurfvan bmnk1q - Eugenol
enlaye

20/03/2024 à 18h23

Bouboule , dans ton exemple dans le 1 er cas il a des dents , dans le 2 ème il n en a pas .
Le seul point commun est sa centrée.
Ce qui est normal puisque la centrée ne dépend pas des dents , en exagérant .
Tu confonds centrée et schéma occlusal ou même occlusion .


Vw campersurfvan bmnk1q - Eugenol
enlaye

20/03/2024 à 18h42

Lorsque tu fermes , les dents ne touchent pas . Elles ne toucheront qu a la fin de la fermeture .le mouvement est grand avant les contact dentaires . Eh bien c est ça la centrée, c est la position articulaire qui fait que tu la fermes tranquillement.
Des la fin du mouvement, si les dents ne font pas trop dévier les ATM en latéral lors des contacts , on est bon .
Autrement dit l oim n a rien a voir avec la centrée du moment qu elle ne la contrarie pas trop .
Oim = dents
Centrée = pas de dents
Complet = pas de dents = priorité centrée.
En schematisant a mort .


Vw campersurfvan bmnk1q - Eugenol
enlaye

20/03/2024 à 18h51

Tout le reste Cad les courbes , les plans d occlusion les protections de ci ou de la , ne servent qu a protéger les dents en amortissant au mieux les contacts .


Vw campersurfvan bmnk1q - Eugenol
enlaye

20/03/2024 à 20h51

Et le moins que l on puisse dire Lemondesvaste , c est ton gonz n est pas trop équipé question amortissement , il est plus Kevin que koni equiped.
Et pour compenser il a mis des années et des années pour faire ses faces d usure , déplacer les dents gênantes en serrant juste ce qu il faut pour éviter les pointes contre pointes .
Bref en interposant la langue pour guider gentiment sa fermeture bien dans l axe sagittal
Il s en sortait . Certes ce n était pas un violent de la fermeture mais ça le faisait cloc cloc comme une pince a sucre .

Le pb c est qu il n a pas de sous , et quand t es tout chaviréet que tu n as pas de sous on te couronne les molaires en fer .
C est con pcq sIl avait du pognon , on ne lui aurait pas mis des molaire .
Bin non lui aurait tout enlevé pour y mettre un one one four qui s arrête aux prémolaires :-))


Vw campersurfvan bmnk1q - Eugenol
enlaye

20/03/2024 à 20h54

Donc on lui met 4 couronnes en fer , et toutes ses années d adaptations tombent a l eau le jour de la pose .
quand t as pas de cul , t as pas de cul .


Vw campersurfvan bmnk1q - Eugenol
enlaye

20/03/2024 à 21h07

A tous les coups il a perdu du calage global par une sur occ post et il n est pas forcément bien dans l axe de sa centrée.
Centrée qu il avait mis aussi des années a se l adapter avec ses dents .
Oui pcq la centrée est la résultante de la position du disque qui elle même est induite par les tensions musculaires des muscles qui servent à amener à l oim .
tout est lié en fait .
et là il repart de neuf mais tout déglingué.


bouboule

20/03/2024 à 21h08

enlaye écrivait:
------
> Bouboule , dans ton exemple dans le 1 er cas il a des dents , dans le 2 ème il n
> en a pas .
> Le seul point commun est sa centrée.
> Ce qui est normal puisque la centrée ne dépend pas des dents , en exagérant .
> Tu confonds centrée et schéma occlusal ou même occlusion .

Je crois pas. J’ai jamais tripatouillé une mandibule pour enregistrer une occlusion. Pourtant ça se passe plutôt bien :-).

Petite question. Puisque la RC c’est un peu le totem ultime, celle dont tout découle et que tu sais l’enregistrer. Logiquement, tu devrais obtenir ensuite le montage parfait. Hors mon p’tit doigt me dit qu’une fois les prothèses amovibles ou fixes en place, tu fais comme tout le monde… un coup de fraise par ci pour virer du rouge, un autre par là pour virer du bleu etc etc. Je me trompe? Et à chaque coup de fraise, bye bye la RC…
Et je maintiens que pour le même patient, tu peux choisir de régler de plusieurs façons différentes tout en conservant le confort et la fonction…


bouboule

20/03/2024 à 21h16

king_zoulou écrivait:
-----------
> Bah quand t’as pris l’habitude de gober au lieu de macher parce que mâcher ça
> t’emmerde l’atm tu finis par avoir régulièrement la chiasse :p

J’aurai misé sur l’inverse dans pareil situation. Sinon dans les causes possibles tu as aussi l’intestin irritable, le stress, l’abus de café, mais aussi la RCH, crohn etc etc.
Y a par contre un truc que je ne peux pas nier, c’est l’effet placebo, ultra puissant pour celui qui croit…Et finalement tant que le résultat est là, y a que ça qui compte.
Et je l’utilise bien volontiers au boulot l’effet placebo!
Pour mes patients un peu ésotériques qui se plaignent de soucis un peu confus, je n’hésite jamais à mettre le p’tit coup de fraise magique qui va les soulager… ça mange pas de pain.
Une fois grâce à un soin sur une 16 ( si je me souviens bien) j’ai même permis à un fils de se réconcilier avec sa mère… ben oui la 16 c’est la dent de la mère 🤷‍♂️… allez comprendre …


Vw campersurfvan bmnk1q - Eugenol
enlaye

20/03/2024 à 21h20

L interférence étant très postérieure, il n a donc plus de réflexes d évitement possible .
Il n a plus le temps de préparer sa fermeture .
Alors il va aller chercher une occlusion très antérieure pour rechercher a éviter l embrouille et surtout se retrouver un calage nouveau au plus loin de l axe charnière a défaut d être dans l axe .


Vw campersurfvan bmnk1q - Eugenol
enlaye

20/03/2024 à 21h25

"Petite question. Puisque la RC c’est un peu le totem ultime, celle dont tout découle et que tu sais l’enregistrer. Logiquement, tu devrais obtenir ensuite le montage parfait."

Pas grand monde sait manipuler , encore moins savent l enregistrer , et personne ne sait la transmettre au labo
Je parle sans cam , jamais essayé la cam .

Ils ne sont pas capable de te monter les dents en oim quand il reste des dents et toi tu voudrais qu ils te montent les dents en centrée quand il n y en a plus ? tu rêves .



Vw campersurfvan bmnk1q - Eugenol
enlaye

20/03/2024 à 21h28

" Et à chaque coup de fraise, bye bye la RC…"

Bin non , au contraire chaque fois que tu donnes un coup de fraise tu t en rapproches . Pour ça que tu t en sors .


Vw campersurfvan bmnk1q - Eugenol
enlaye

20/03/2024 à 22h08

Et donc j en fini là où j étais .
C est qu il vont chercher à se caler en avant en propulsant a fond et a se placer l incisive du bas en avant de l incisive du haut . Ca ça se voit bien sûr les modèles, on y vois des traces d usure en lingual sur les incisives du bas , ou sur les face vest des incisives du haut , ce qui est pareil .alors que s il faut , en oim il n y a aucun contact possible .

Ca vient de la le déchaussement de la 41 , c est l appuis sur l os lors du calage nocturne qui fragilise la corticale .
Bon c est de la fiction , mais des comme ça j en vois beaucoup .


Vw campersurfvan bmnk1q - Eugenol
enlaye

20/03/2024 à 22h17

Et si on regarde mieux ce genre de cas , on s aperçoit que souvent la position de compensation en propulsion ne se fait jamais dans l axe . Tjs décalé . C est pas pour rien .
C est tjs du côté opposé à la sous occ autrement dit du côté opposé à la compression articulaire , le côté qui fait mal enfin qui n est pas confortable .

Ah oui , au fait ce n est pas la sur occ qui fait mal aux ATM , c est le côté sous occ , réel ou relatif, le côté en compression . Ca faut le savoir , par contre la sur occ fait mal a la dent et au parodonte .

En avançant au plus loin et de traviol , ils se soulagent la compression articulaire .


Vw campersurfvan bmnk1q - Eugenol
enlaye

20/03/2024 à 22h30

Alors quand tu as compris ça , après c est très facile pour éliminer la cause iatrogène majeure .
Si par exemple il te dit qu il a la 41 qui bouge depuis peu , ou bien qu il a des poches en 43 ou encore des mylolyses sur 44 , bin tu vas tout de suite aller regarder la 37 38 ou 36 pour voir ce qu il s y passe .