Cookie Consent byPrivacyPolicies.comQuestions patho - Eugenol

Questions patho

Nouveau image bitmap fz77zh - Eugenol
Sethef

27/03/2024 à 09h57


Bonjour à tous.
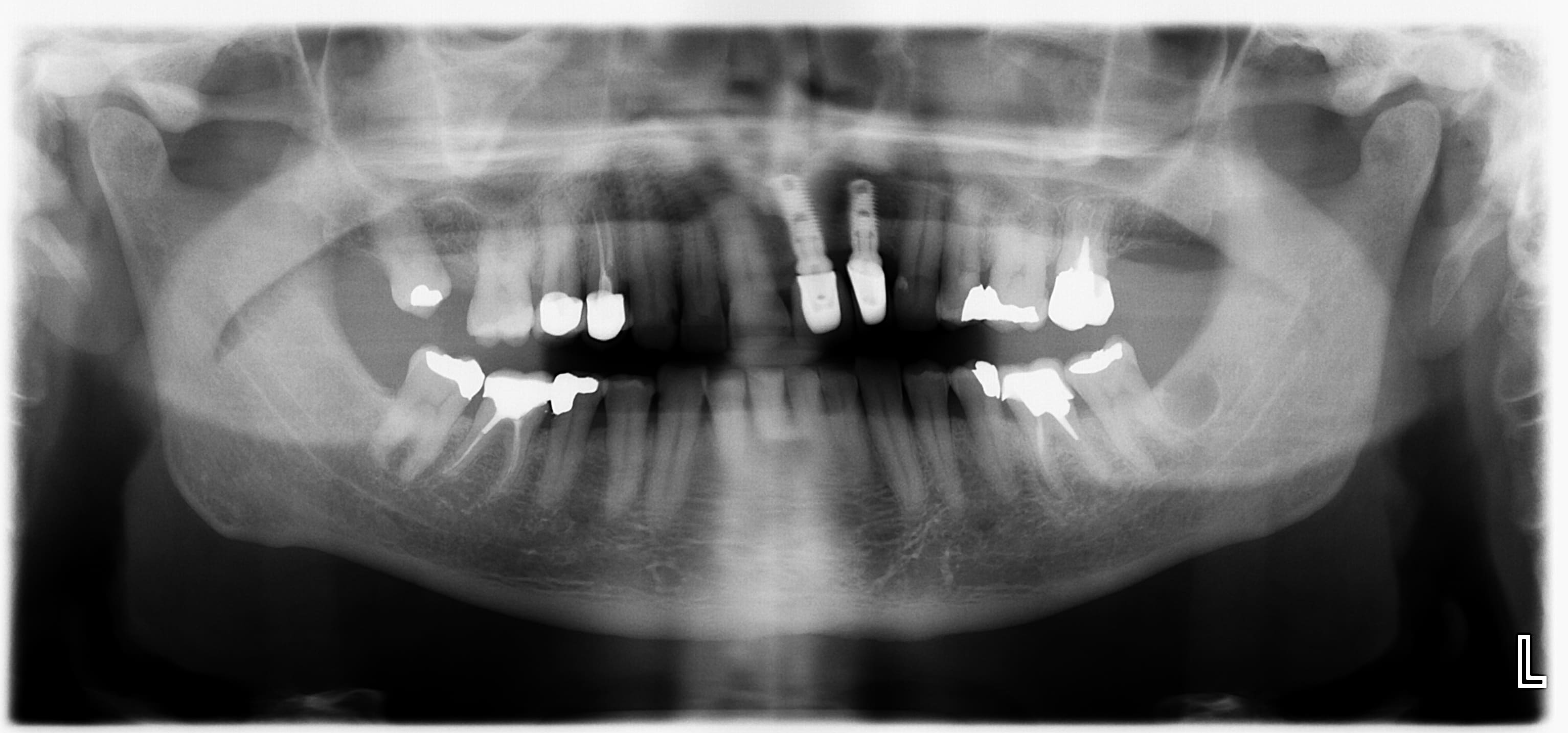
Je souhaiterais un avis sur 2 panos:
-la première, patient de 60 ans, santé RAS, non fumeur. Pour moi, lithiases de la glande parotide, abstention et je n'envoie pas. Un autre avis?
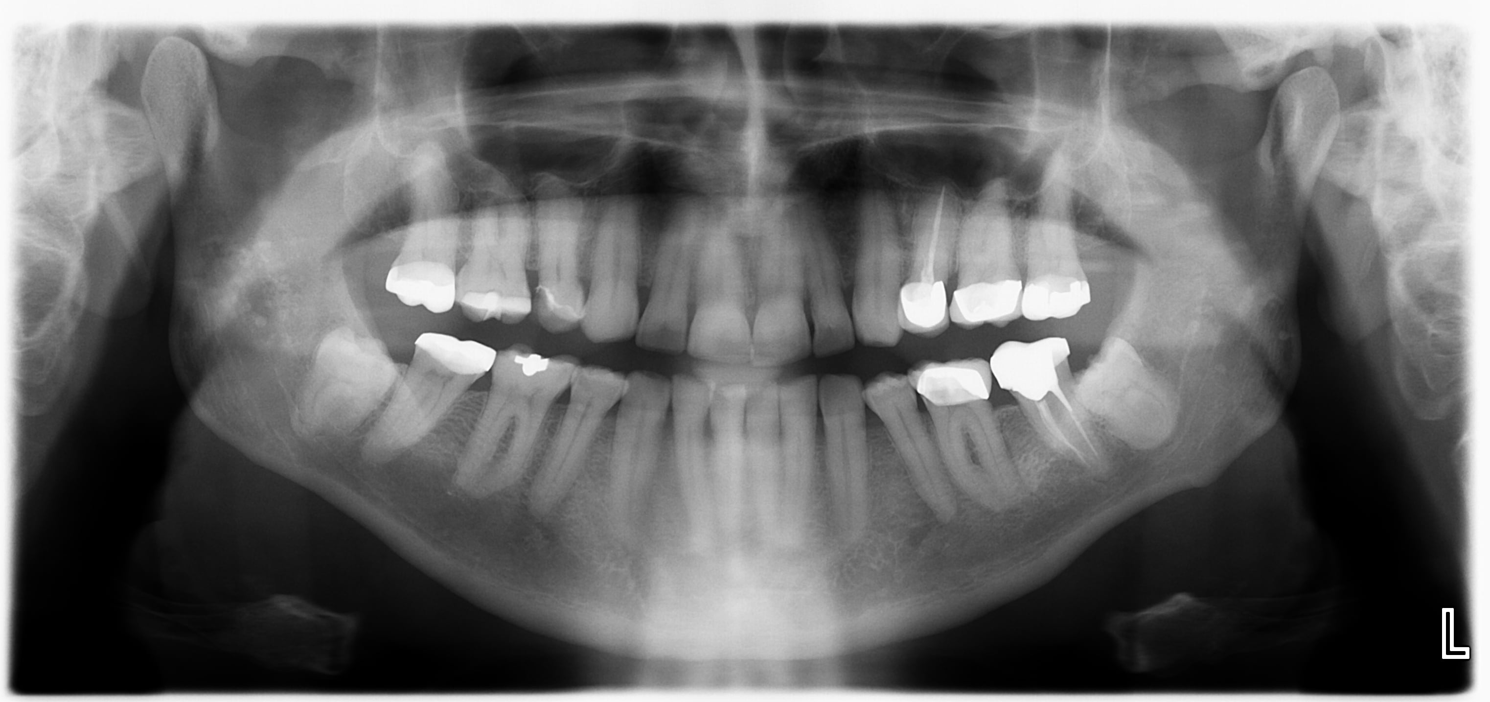
-la seconde, patient 70 ans, non fumeur, traitement psy médicamenteux, non fumeur. La lésion radioclaire en distal de 37 était absente sur la précédente pano datant de 8 ans. J'envoie pour exérèse/biopsie?

Merci aux as de la patho.

6a40ckovalbiqei1q1mu4cpdhsmg - Eugenol
89ogty4p18f3f071fac0gyj7x1pj - Eugenol

6szjws718sv1jksw54v4mpj3a6cu - Eugenol
vulpi

27/03/2024 à 10h57

Oui je pense que je ferai de même. Pour le second cas j'enverrai pour "avis" et ce serait à mon correspondant de se débrouiller.


Et7jtaj0pdi18gzjlxjiamlx15gs - Eugenol
Prunelles

27/03/2024 à 11h03

J'adresserai également pour la première. Du moins je laisserai le médecin traitant explorer un peu la chose avant un éventuel avis chez ORL.
Une des causes des lithiases salivaires c'est l'hypercalcémie (faire prise de sang ?), qui peut entrainer des lithiases ailleurs.


Nouveau image bitmap fz77zh - Eugenol
Sethef

27/03/2024 à 11h06

Pour le deuxième, ça vous évoque quelque chose?
D'habitude, quand j'envoie, j'ai quand même une vague idée de ce sur quoi on va tomber, là je n'en sais foutre rien.


zoulman

27/03/2024 à 11h06

Sethef écrivait:
------
>
> Bonjour à tous.
> Je souhaiterais un avis sur 2 panos:
> -la première, patient de 60 ans, santé RAS, non fumeur. Pour moi, lithiases de
> la glande parotide, abstention et je n'envoie pas. Un autre avis?
> -la seconde, patient 70 ans, non fumeur, traitement psy médicamenteux, non
> fumeur. La lésion radioclaire en distal de 37 était absente sur la précédente
> pano datant de 8 ans. J'envoie pour exérèse/biopsie?
>
> Merci aux as de la patho.

La 2 j’enverrai aussi pour biopsie exérèse faut pas le laisser comme ça , même si ça à l’air bien bénin vu la forme et le liseré osseux. Ça pourrait être un kyste résiduel d’une ancienne avulsion ou divers tumeur bénigne de l’os.
Le 1 je vois pas grand chose mais si tu penses à une lithiase il y’a des symptômes ? Sinon adresse en cas de doute vaut mieux adresser pour rien que l’invérse.


Nouveau image bitmap fz77zh - Eugenol
Sethef

27/03/2024 à 11h07

Trop vieux pour un germe de dds haha.


Nouveau image bitmap fz77zh - Eugenol
Sethef

27/03/2024 à 13h12

zoulman écrivait:
-------

> La 2 j’enverrai aussi pour biopsie exérèse faut pas le laisser comme ça , même
> si ça à l’air bien bénin vu la forme et le liseré osseux.

Même avis, les limites sont nettes, rien de visible en bouche.

Ça pourrait être un
> kyste résiduel d’une ancienne avulsion

La sagesse est absente depuis bien avant que je le connaisse, et il n'y avait rien en 2016.

> ou divers tumeur bénigne de l’os.

C'est là que je ne sais pas.


> Le 1 je vois pas grand chose mais si tu penses à une lithiase il y’a des
> symptômes ?

Aucun.


Merci à tous.


P2eqdh3csim6s7nb09ktdq3e7ev8 - Eugenol
barbabapat

27/03/2024 à 13h19

Des anciennes radios pour le second cas en particulier avec la pose des implants???????


Nouveau image bitmap fz77zh - Eugenol
Sethef

27/03/2024 à 13h22

Oui, pano précédente en 2016, il n'y avait rien.
Après vérif, la 38 (et 28 48) a été extraite en 2013 chez le maxillo-facial.
Ca fait longuet tout de même pour qu'il y ait un lien.


Gabzou

28/03/2024 à 15h41

Sethef écrivait:
------
> Oui, pano précédente en 2016, il n'y avait rien.
> Après vérif, la 38 (et 28 48) a été extraite en 2013 chez le maxillo-facial.
> Ca fait longuet tout de même pour qu'il y ait un lien.

Ca ressemble quand même sacrément à un kyste résiduel radiologiquement. Aucun symptôme? Ca ne me choque pas qu'un peu de tissu résiduel ait mis plus de 3 ans avant de faire une lésion osseuse visible à la pano.
De toute façon adressé pour exérèse et biopsie (ou carrément le faire toi même).

Pour la première, je pense que je tenterais avant tout palpation jugale et un cliché classique en mettant le film en "vestibulaire" de la mandibule et en essayant de chopper la parotide à la radio pour confirmer que ça vient bien de là. L'option CBCT s'envisage également.