Cookie Consent byPrivacyPolicies.comLésion palais - Eugenol

Lésion palais

Gbfo08o2ecy6sxsnqko0n3imhewv - Eugenol
Palpatine

06/04/2024 à 15h36

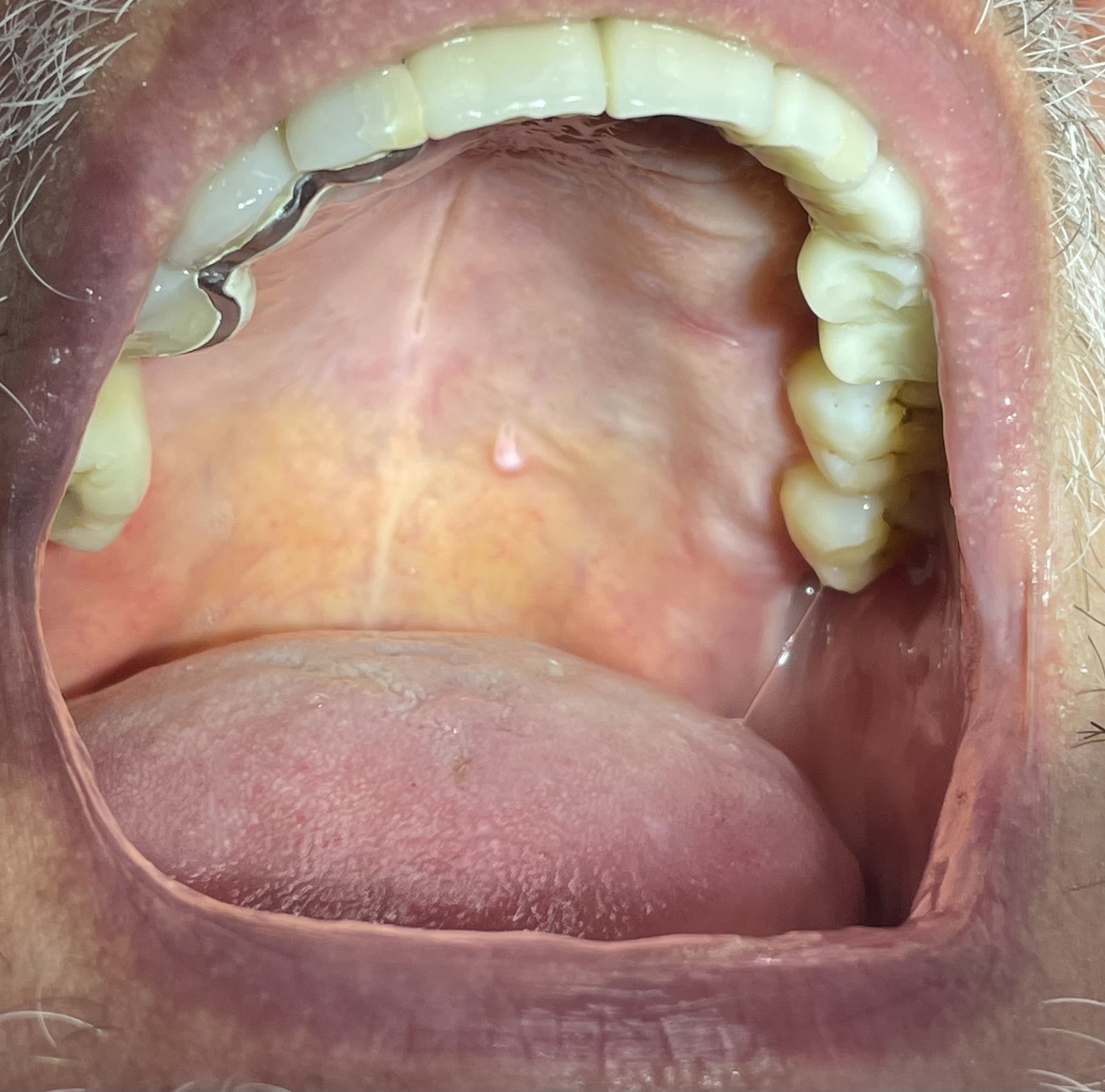
Que pensez vous de cette lésion au niveau du palais?
Totalement asymptomatique.

P4vgnyk5yjievwpuaizvwuv7d3tr - Eugenol
2n3wvysrn4zvc0jyuv5v25apxtlb - Eugenol
Eix6pcbj6ikbh6dhmxxsispie62b - Eugenol

Et7jtaj0pdi18gzjlxjiamlx15gs - Eugenol
Prunelles

06/04/2024 à 16h12

C'est un condylome/papillome lié très probablement à un HPV.
La plus part du temps c'est bénin, mais ca reste une lésion précancéreuse donc à surveiller.
Si ca prend une salle gueule, faire une exérèse et analyse en anapath.


Gbfo08o2ecy6sxsnqko0n3imhewv - Eugenol
Palpatine

06/04/2024 à 20h59

Super merci
Maintenant que j'ai la réponse cela me semble évident