Cookie Consent byPrivacyPolicies.comc est quoi pour vous? je seche - Eugenol

c est quoi pour vous? je seche

blaise2583

25/04/2024 à 18h33

bonjour à tous j ai besoin de vos lumieres

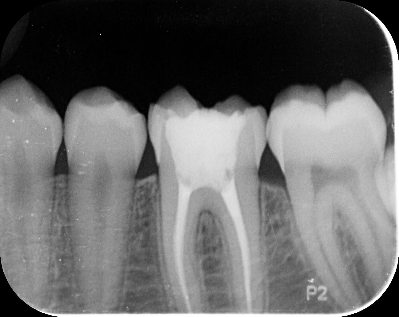
je vous mets en piece jointe la radio 36 37 en 2019 en 1 et 2024 en 2

patient de 19 ans sans pb de santé

je lui ai fait endo 36 en 2017 suite grosse carie à 12 ans

en controlant cette dent que l on va couronner bientot si ca va bien,
je remarque une image bizarre dans 37

ras examen clinique on ne voit rien test au froid ok occlusion ok email nikel pas mal enfin sans radio je ne me pose aucune question!

enfin la je seche grave
je pencherais pour resorption interne mais pourquoi et quoi faire? pour l instant je surveille mais sur la radio de 2019 il n y avait pas cette image

par avance merci pour vos avis et vos retours d experiences

bon j y retourne encore un à "faire"

Usr8idn2qqzf8udmxbk1e894apjv - Eugenol
Bhgwzl2zni4qsw2eoiouomirqajw - Eugenol

Et7jtaj0pdi18gzjlxjiamlx15gs - Eugenol
Prunelles

25/04/2024 à 18h36

Pour moi c’est une résorption externe.
À ta place, je ferais l’endo très rapidement avant une extension vers la racine.


moritooth

25/04/2024 à 19h32

Prunelles écrivait:
---------
> Pour moi c’est une résorption externe.
> À ta place, je ferais l’endo très rapidement avant une extension vers la racine.

Même chose. Bien vérifier dans le sulcus un point d'entrée.
Tu as confirmé l'image par un autre cliché ( rétrocoronaire)?


Dentarue

25/04/2024 à 20h27

Cbct.


blaise2583

25/04/2024 à 20h55

Bon je pense que vous avez raison pour la résorption ext mais je n avais rien remarqué
Je vais devoir lui faire endo aussi c est con car a part la 36 le reste nickel... et il a pas trop gardé un bon souvenir de l endo de 36 à 12ans


Dentarue

26/04/2024 à 08h15

Ça ne s’envisage pas sans une bonne image 3d pré opératoire. Cette dent est très possiblement condamnée.


zoulman

26/04/2024 à 09h33

+1 il faudrait faire un cbct avant de se lancer dans l’endo à l’aveugle, pour délimiter la lésion et confirmer le diagnostic.


blaise2583

26/04/2024 à 09h49

bon je vais l envoyer faire un cbct et l avis chez mon endodontiste prefere ca sera plus sage

merci pour vos conseils pertinents et vos avis bonne journée à tous


Et7jtaj0pdi18gzjlxjiamlx15gs - Eugenol
Prunelles

26/04/2024 à 10h21

Je peux comprendre l'intérêt du conebeam pour visualiser la lésion.
Mais honnêtement pour quel gain ? (C'est pas une question rhétorique...)
La rétro est suffisamment claire pour moi. Si la lésion touchait la racine ce serait une autre histoire...
Vous allez de toute façon programmer une séance sous AL pour explorer la lésion et que ce soit pour faire l'endo ou pour malheureusement extraire la dent.


Dentarue

26/04/2024 à 10h22

Inutile d’explorer quoi que ce soit si la dent est condamnée au cbct.


Rape p0as4f - Eugenol
rapelapente

26/04/2024 à 10h24

Ton endo initiale sur la 36 est superbe, et validée après 6 ans.
Pourquoi l'envoyer chez un endo exclusif ?
Vous exagérez qd même la 37 n'est pas condamnée.

--
Schooner For Ever


Gabzou

26/04/2024 à 10h34

moritooth écrivait:
---------
>
> Même chose. Bien vérifier dans le sulcus un point d'entrée.
> Tu as confirmé l'image par un autre cliché ( rétrocoronaire)?

Comme moritooth, ça a beau ressembler salement à une résorption, ne condamne pas la dent sur la base d'une seule radio.

cbct pourquoi pas si délai rapide, autrement je rejoins prunelles, si tu sais de quel coté est la lésion (cherche une coloration rosée à travers l'émail, une petite entrée quelque part), va directement sur le nettoyage de la lésion.


zoulman

26/04/2024 à 11h43

Voir la lésion avant permettra de décider du traitement. Si c’est réellement une résorption externe, l’origine est paro il risque d’y avoir une perte de substance importante sous gingivale sachant qu’il faut éliminer 100% du tissu inflammatoire sinon il y aura récidive. Le traitement endo n’est d’ailleurs pas obligatoire si il n’y a pas de communication avec la pulpe (meme si ca a l’air mal engagé vu la rétro).


Dentarue

26/04/2024 à 18h35

Tout à fait et tout ça le cbct le dira.