Cookie Consent byPrivacyPolicies.com4 élements solidarisés dont un fracturé - Eugenol

4 élements solidarisés dont un fracturé

Martintee-th

15/05/2024 à 15h27

Bonjour à tous
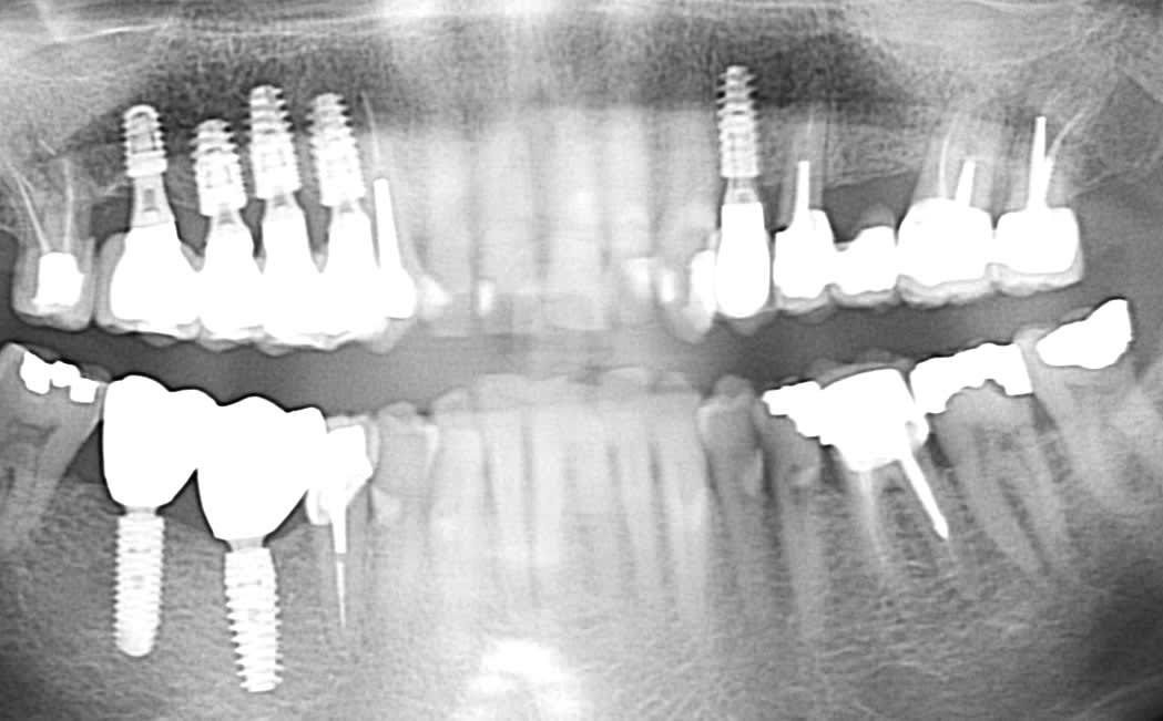
Les éléments de 14 à 17 sont solidarisés et naturellement , la céramique a fracturé sur 15 . J'ai donc coupé en mésial et distal pour reprendre L'empreinte pensant pouvoir dévisser le pilier.
Aucun de mes embouts fonctionne ( Astra, Anthogyr, Nobel..) donc avez-vous une idée de la marque ? ( Ankylos ? )
Merci .

Adxayzcbw3666bet02ucjahmgryi - Eugenol

Avatar transparent iqadnc - Eugenol
adhoc

15/05/2024 à 16h14

Si tu as decoupé en mesial et distal , pourquoi ner pas tailler et prendre l'empreinte. Tu as fait le plus dur..... Le mieux est l'ennemi du bien.


Photo pluton1b h9n4ea - Eugenol
pluton

15/05/2024 à 16h36

rétroalvéolaire pour l'identification stp....

@adhoc, si les piliers sont non indexés, il va y avoir un pb pour la 14 qui se retrouve tout seule....


Et7jtaj0pdi18gzjlxjiamlx15gs - Eugenol
Prunelles

15/05/2024 à 17h19

Pourquoi vouloir uniquement reprendre la 15 ?


Martintee-th

15/05/2024 à 17h22

L'empreinte du pilier comme conjointe classique ?
- Je préfère visser que coller
- Quelle serait la limite cervicale sur un pilier en contre-dépouille ?
- Pilier assez délabré après la découpe.


Gbfo08o2ecy6sxsnqko0n3imhewv - Eugenol
Palpatine

15/05/2024 à 20h35

J'ai l'impression que ce sont des AXIOM


Photo pluton1b h9n4ea - Eugenol
pluton

15/05/2024 à 22h56

Palpatine écrivait:
---------
> J'ai l'impression que ce sont des AXIOM

En bas oui, un reg et un PX….mais pour le haut le col semble différent….donc rétro pour ne pas dire de bêtises

En haut c’est plus un implant genre interactive ID, ou Keystone genesis, etc….ou même genre quatro blue skybio….mais la pano ne me donne pas assez de détails pour sortir une identification fiable


Martintee-th

17/05/2024 à 11h40

Hello
Ci-joint la rétro. En effet, j'ai bien posé des Anthogyr en bas. On distingue les découpes . Si non identifié : je retaille et empreinte conjointe classique mais à regret.
Bonne journée.

50v0l5fmbn4arva9t95n96gw2awo - Eugenol