Cookie Consent byPrivacyPolicies.comCompatibilité implants AB Dental - Eugenol

Compatibilité implants AB Dental

Nouveau image bitmap fz77zh - Eugenol
Sethef

27/05/2024 à 16h22

Bonjour à tous.
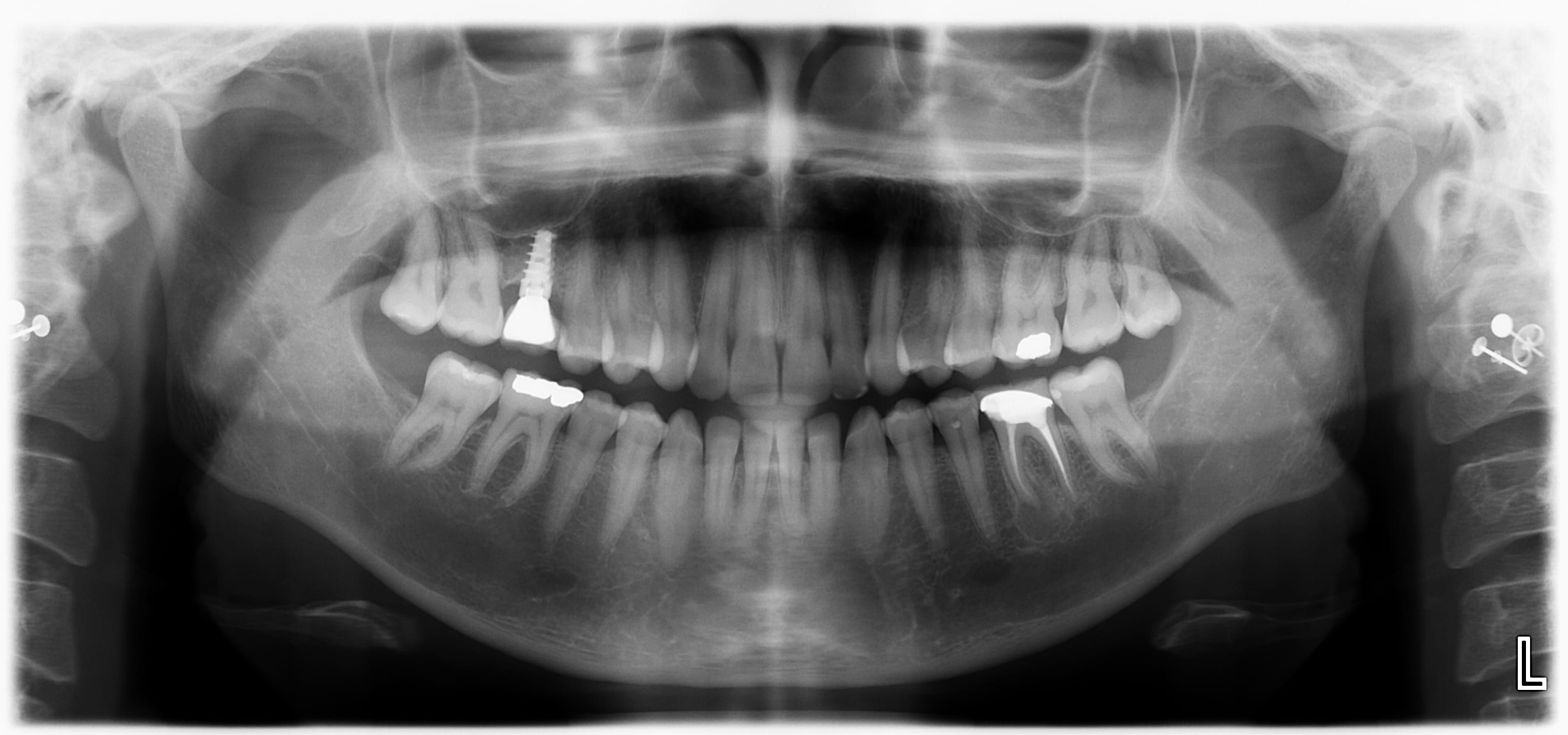
Une patiente se présente avec un implant AB Dental I5 4.5x10, posé en 2021, la couronne transvissée s'est déjà dévissée par deux fois.
Je galère un peu à trouver des pièces compatibles pour la réfection de la prothèse.
Le poseur a disparu dans la nature.

A votre avis, vers qui me tourner pour me procurer au plus simplement l'acastillage et les tournevis nécessaires?
(si je n'oublie rien, un tournevis, une clé dynamo, un transfert, un analogue, un pilier)
Merci par avance à tous.

Wq5ul5av57tiqx5dtt2ebbt995w5 - Eugenol

Hakuna matata

27/05/2024 à 19h27

https://forum.eugenol.com/sujets/422847-implant-ab-dental-devices

sinon Medentika ou Rotec pour accastillage, analogue.


Nouveau image bitmap fz77zh - Eugenol
Sethef

28/05/2024 à 08h55

Merci pour le lien vers le sujet qui en traite déjà.
Pluton évoquait dessus que les connectiques hexagone interne étaient compatibles Zimmer, est-ce réellement le cas?
Si oui, cela m'arrangerait bien, il s'agit de mon système de référence.

Cependant, j'avais trouvé en fouillant 2 minutes que les tournevis n'étaient pas les mêmes (hexagones de diamètre différents), quelqu'un confirme?

J'ai bien essayé de m'y retrouver sur le site du fabricant, mais tout cela est très cafouillis je trouve.


Photo pluton1b h9n4ea - Eugenol
pluton

28/05/2024 à 14h44

Sethef écrivait:
------
> Merci pour le lien vers le sujet qui en traite déjà.
> Pluton évoquait dessus que les connectiques hexagone interne étaient compatibles
> Zimmer, est-ce réellement le cas?
> Si oui, cela m'arrangerait bien, il s'agit de mon système de référence.
>
> Cependant, j'avais trouvé en fouillant 2 minutes que les tournevis n'étaient pas
> les mêmes (hexagones de diamètre différents), quelqu'un confirme?
>
> J'ai bien essayé de m'y retrouver sur le site du fabricant, mais tout cela est
> très cafouillis je trouve.

certains implants ont une plateforme identique à la Zimmer 3.5mm
par contre les implants étroits ont une connexion qui leur est propre....
franchement, tu devrais investir dans une petite trousse comme çà....c'est pas le top ( encore que...) mais çà rend d'immences services....

https://www.amazon.fr/TAHALI-dynamom%C3%A9trique-Tournevis-proth%C3%A9tique-r%C3%A9paration/dp/B0BTLVQ17X/ref=sr_1_2?dib=eyJ2IjoiMSJ9.5AK5eLPlPrsWJrcOcWR8hmmmv741QPIWmdAMr8o4tMjcZCCcS-8EviiicaUQmom9ASb-XAP2_zHtwZtBJX0trsj0OBmbkc37vG0QMcBu0Lvjiq-WQTQIvnlfwz8Juhzehkts6_dl6Aw4VOAUst71_-mN7GXZJ8_KH-3ZSILAtSXr9f4oBRkESR1Oaw0h5-sYy0NL37Y1bCl5d-YUpNmeD2YUBS43YY48M88NUd5MwVaeXlzTgUleQ5VyvgWC26SNV1VvR7IEj0TWT_cEodO2NdPC8zPi1Bo9WGDDHatigfw.yUSh87Uvo6onMo2Lckex4R0k5SffHgd2s5aFeJd1ViQ&dib_tag=se&keywords=coffret+tournevis+implantaire+dentaire&qid=1716900142&sr=8-2


croc1765

28/05/2024 à 14h59

pluton écrivait:
------
> Sethef écrivait:
> ------
> > Merci pour le lien vers le sujet qui en traite déjà.
> > Pluton évoquait dessus que les connectiques hexagone interne étaient
> compatibles
> > Zimmer, est-ce réellement le cas?
> > Si oui, cela m'arrangerait bien, il s'agit de mon système de référence.
> >
> > Cependant, j'avais trouvé en fouillant 2 minutes que les tournevis n'étaient
> pas
> > les mêmes (hexagones de diamètre différents), quelqu'un confirme?
> >
> > J'ai bien essayé de m'y retrouver sur le site du fabricant, mais tout cela est
> > très cafouillis je trouve.
>
> certains implants ont une plateforme identique à la Zimmer 3.5mm
> par contre les implants étroits ont une connexion qui leur est propre....
> franchement, tu devrais investir dans une petite trousse comme çà....c'est pas
> le top ( encore que...) mais çà rend d'immences services....
>
> https://www.amazon.fr/TAHALI-dynamom%C3%A9trique-Tournevis-proth%C3%A9tique-r%C3%A9paration/dp/B0BTLVQ17X/ref=sr_1_2?dib=eyJ2IjoiMSJ9.5AK5eLPlPrsWJrcOcWR8hmmmv741QPIWmdAMr8o4tMjcZCCcS-8EviiicaUQmom9ASb-XAP2_zHtwZtBJX0trsj0OBmbkc37vG0QMcBu0Lvjiq-WQTQIvnlfwz8Juhzehkts6_dl6Aw4VOAUst71_-mN7GXZJ8_KH-3ZSILAtSXr9f4oBRkESR1Oaw0h5-sYy0NL37Y1bCl5d-YUpNmeD2YUBS43YY48M88NUd5MwVaeXlzTgUleQ5VyvgWC26SNV1VvR7IEj0TWT_cEodO2NdPC8zPi1Bo9WGDDHatigfw.yUSh87Uvo6onMo2Lckex4R0k5SffHgd2s5aFeJd1ViQ&dib_tag=se&keywords=coffret+tournevis+implantaire+dentaire&qid=1716900142&sr=8-2

effectivement je l'ai et cela rend service de temps en temps


Nouveau image bitmap fz77zh - Eugenol
Sethef

28/05/2024 à 20h57

Pour la trousse, j'y avais déjà songé, vu le faible coût ce sera l'occasion et ça pourra toujours servir.

Pour les plate-formes, je vais faire une demande de contact sur le site des fabricants, on verra si ils peuvent me guider dans le choix des composants.