Cookie Consent byPrivacyPolicies.comDesperado - Eugenol

Desperado

bouboule

05/06/2024 à 17h35

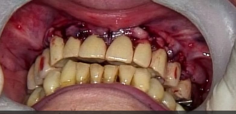
Je vous présente mon nouveau copain. Le plan de traitement est en cours de réflexion.
Rapide plantage de décors.
Patient désespéré . Non fumeur
En échec de traitement de prothèse classique et implantaire:

-À la mandibule un bridge full zircon cassé en 2 43/33 pour piliers.
-46 HS
-En haut des implants posés sur une canine incluse qui n’ont tenu que quelques temps. La canine incluse est toujours bien là et s’étend en dessous des sites 22/23/24/25
- 16 absente
-Occlusion lunaire
J’ai demandé au patient ce qu’il espérait de moi, sa réponse : un miracle. Prions pour lui!
Pour changer un peu des sujets habituels, vous proposeriez quoi?

12j36noxrivaur3wveywdlh27d1k - Eugenol
01mdnxcypn5qdyty5p0u4j3wygwf - Eugenol

souricette

05/06/2024 à 17h49

extraire 17 et 27 et un stellite en haut pour l'instant


Avatar transparent iqadnc - Eugenol
adhoc

05/06/2024 à 18h13

Bravo pour ton iconographie, bouboule; sinon comme souricette.


bouboule

05/06/2024 à 21h06

🤣faut pas attendre à voir des photos qui brillent triées avec 12 vues, je post juste ça pour changer un peu des posts habituels, désolé!
Alors pour l’amovible c’est niet. Le monsieur a dit un miracle, pas un truc branlant.
Et ça ne solutionne pas son bridge du bas qui s’est transformé en 2 bridges cantilever avec les canines pour piliers et les incisives dans le vide…
En plus je fais pas d’amovible , j’suis mal!


Markus

05/06/2024 à 21h21

Peut-être corriger le décalage des bases osseuses.
Il dira non, donc tu en seras débarrassé et l'échec sera géré par un autre.
S'il dit oui, tu seras encore plus dans la merde...

Ou tu l'envoies aux tiktokeurs du A04, avulsion de toutes les dents et hop, magie.


Et7jtaj0pdi18gzjlxjiamlx15gs - Eugenol
Prunelles

05/06/2024 à 21h21

Il a 2€50 sur lui ton patient ?
Avec un peu de chance il peut remporter le méga jackpot de 130 millions ce vendredi.
https://www.fdj.fr/jeux-de-tirage/euromillions-my-million/resultats/mardi-04-juin-2024


bouboule

05/06/2024 à 21h24

😬 vous êtes défaitistes ! Perso je le sens bien, ça fait quelques mois que j’en avais pas vu un comme ça, s’il me suit je vais pas le lâcher!


Photo pluton1b h9n4ea - Eugenol
pluton

05/06/2024 à 22h11

bouboule écrivait:
--------
> Je vous présente mon nouveau copain. Le plan de traitement est en cours de
> réflexion.

> Pour changer un peu des sujets habituels, vous proposeriez quoi?

bein çà.....
simple efficace intervention toute fraiche de la semaine dernière....
je vais pas dire que c'est mon pain quotidien, mais j'en fais comme çà 2 ou 3 par trimestre....

Qupukqidx1psc5oolcrzhux3xj6g - Eugenol
Pm6orv9jrcpgdppcaa9i6c75mwhj - Eugenol
81hdoy5tbq0lx38jrmfnc1dsd4k7 - Eugenol
Juvlhjgouc5ncaczro7ys6lw7wqv - Eugenol
3hnalumlkrbrdri4juwuc32lofpl - Eugenol
Zfv648ykcq0sroami2cyi6tlg7cw - Eugenol
Azvmrwg2bvcr8x4lkfa37deg3jt8 - Eugenol
Cyon3wt84wzq0ef0kv7p6q4acnju - Eugenol
O7f2cofp4nmvk1qs2k75lvlrppaf - Eugenol

bouboule

05/06/2024 à 22h19

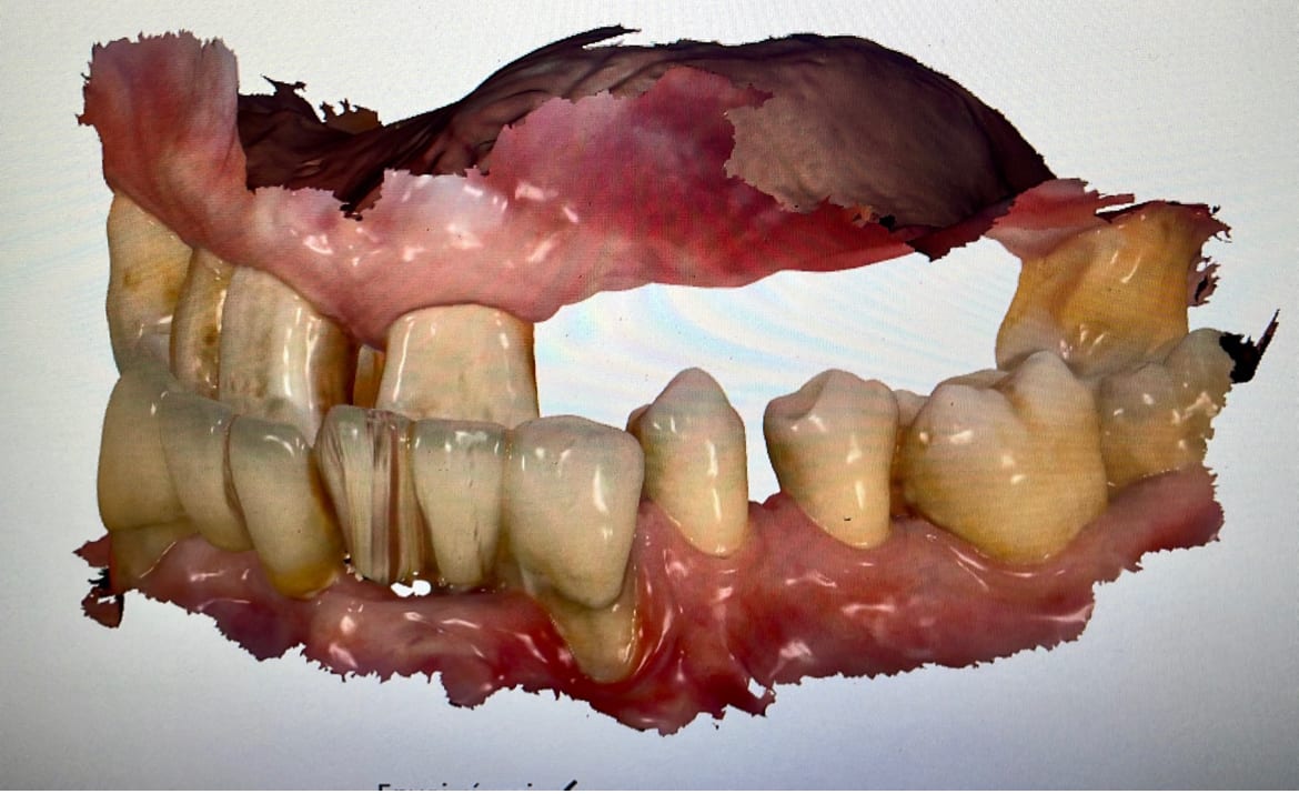
Pas mal! Mais il te manque quand même la mandibule avec son occlusion moisie :-) Quand c’est qu’une arcade c’est du gâteau…
Joli boulot!


Photo pluton1b h9n4ea - Eugenol
pluton

05/06/2024 à 22h30

en vidéo




la veille MCI haut/bas....
j'ai pas encore fait le montage....


bouboule

05/06/2024 à 22h32

Mais je vais quand même pas lui virer tous ses chicots à ce pauvre patient non?


Photo pluton1b h9n4ea - Eugenol
pluton

05/06/2024 à 22h33

c'est édité, j'avais oublié de faire en non privé


Photo pluton1b h9n4ea - Eugenol
pluton

05/06/2024 à 22h37

bouboule écrivait:
--------
> Mais je vais quand même pas lui virer tous ses chicots à ce pauvre patient non?

Quand l’occlusion est trop moisie comment tu veux gérer?
Faire faire de l’ODF avant et perdre au moins 18 mois….ou sacrifier quelques dents et faire ça proprement ?


bouboule

05/06/2024 à 22h43

Je ne fais que démarrer, je ne sais pas s’il va accrocher ou pas. Mais en tout cas j’ai pas du tout pour projet de virer toute sa mandibule. Sans doute le bloc antérieur mais pas plus… mais ce sera propre quand même :-)


bouboule

05/06/2024 à 22h44

En haut je suis d’accord, ce sera un classique complet sur implant !


Markus

05/06/2024 à 23h08

Et pour ce décalage des bases ?


bouboule

06/06/2024 à 07h53

Markus écrivait:
------
> Et pour ce décalage des bases ?

J’ai pas encore vraiment creusé, mais je le trouve pas si énorme que ça… je pense pas que ce soit si gênant que ça


bouboule

27/06/2024 à 23h11

Ben voilà, le patient a dit banco alors c’est parti!
Au maxillaire ce sera complet sur implant. À la mandibule, J’ai proposé plusieurs solutions, dont certaines assez conservatrices. Réponse du patient: virez moi ça s’il vous plaît, j’en peux plus d’avoir toujours mal quelque part… Du coup à la fin , on s’oriente aussi vers un complet sur implant. Mais pas tout de suite.
J’ai pour objectif d’arriver à un bout à bout incisif, voir même peut être un tout petit peu mieux. Pour ça, il faudra passer par une augmentation de DV ( option 2 , l’ODF. Je ne noterais pas ici ce que le patient a répondu à cette éventualité)
Je pense donc que je vais me servir des dents mandibulaires actuelles pour augmenter la DV et la tester, en espérant que ça tienne quelques mois. Ensuite on partira sur du classique MCI dans le nouveau schéma…