Cookie Consent byPrivacyPolicies.comIdentification implant 16 - Eugenol

Identification implant 16

Epicurieux

07/06/2024 à 11h38

Bonjour à tous,

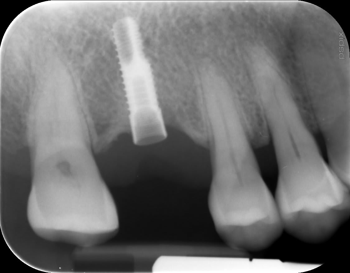
Sauriez-vous identifier l'implant présent sur cette radiographie rétroalvéolaire?

Merci d'avance pour votre aide.

014oxeq07rkbwsvw3fgxkuuw4der - Eugenol

Photo pluton1b h9n4ea - Eugenol
pluton

07/06/2024 à 14h13

Radio pour ainsi dire inexploitable....trop pixelisée, je n'arrive pas à déterminer la forme des spires ni s'il y a des microspires au col.....


Epicurieux

07/06/2024 à 16h56

Bonjour,
J'ai reposté une 2e photo de la radiographie, est-ce que vous pensez pouvoir mieux identifier l'implant?


Photo pluton1b h9n4ea - Eugenol
pluton

07/06/2024 à 17h42

Epicurieux écrivait:
----------
> Bonjour,
> J'ai reposté une 2e photo de la radiographie, est-ce que vous pensez pouvoir
> mieux identifier l'implant?

non, photo au smartphone de l'écran = plein de pixels, ça ne vaut rien
il faut faire un export en jpeg du logiciel d'imagerie et poster sur nonol


Epicurieux

07/06/2024 à 17h46

Merci pour la manipulation.
Voilà c'est fait, j'ai reposté la RX.


Photo pluton1b h9n4ea - Eugenol
pluton

07/06/2024 à 23h55

Voilà c’est tout de suite mieux
https://www.spotimplant.com/fr/implants-dentaire/etk/natea-classic