Cookie Consent byPrivacyPolicies.comDouleurs post op endo réciproc ultra fréquentes - Eugenol

Douleurs post op endo réciproc ultra fréquentes

Pident69

12/06/2024 à 14h51

Bonjour à tous,
Cela fait plus de 4/5 ans que j'utilise mon système Reciproc sur moteur VDW gold.
Mais voilà, les douleurs post op sont ultra fréquentes. Douleurs à la pression sur la dent surtout.
Je ne mets pas la main sur l'étape qui me vaut cela...

Voici mon protocole :
Anesthésie para/intra-lig si mandibulaire et pas de CI
Ouverture chambre
Mise en place digue (systématique)
Cath lime 8/10 manuelle sous hypo à la LT
Préparation du canal en R25 avec localisateur interféré, rinçage tous les 2/3 passages (hypo 3% megadental) + lime permeab (en passant le foramen)
Bien souvent, j'arrive à l'apex et au dernier appui le localisateur bip en continu et le moteur fait demi tour.. Ai-je déchiré mon apex et cela me vaut les suites post op? le phénomène est ultra léger je n'y vais pas comme un bourrin !!
Je jauge mon foramen et ajuste le cône.
Ciment AH+ et condensation verticale à chaud.
Compo étanche.
Prescription d'Advil 400mg si pas CI.
Explications des suites post-op.
Occlusion légère.

Avec tout cela j'ai même des patients qui appellent parfois à plus d'une semaine avec des douleurs à la mastication sur la dent traitée !! Globalement cela semble rentrer dans l'ordre après la prothèse.
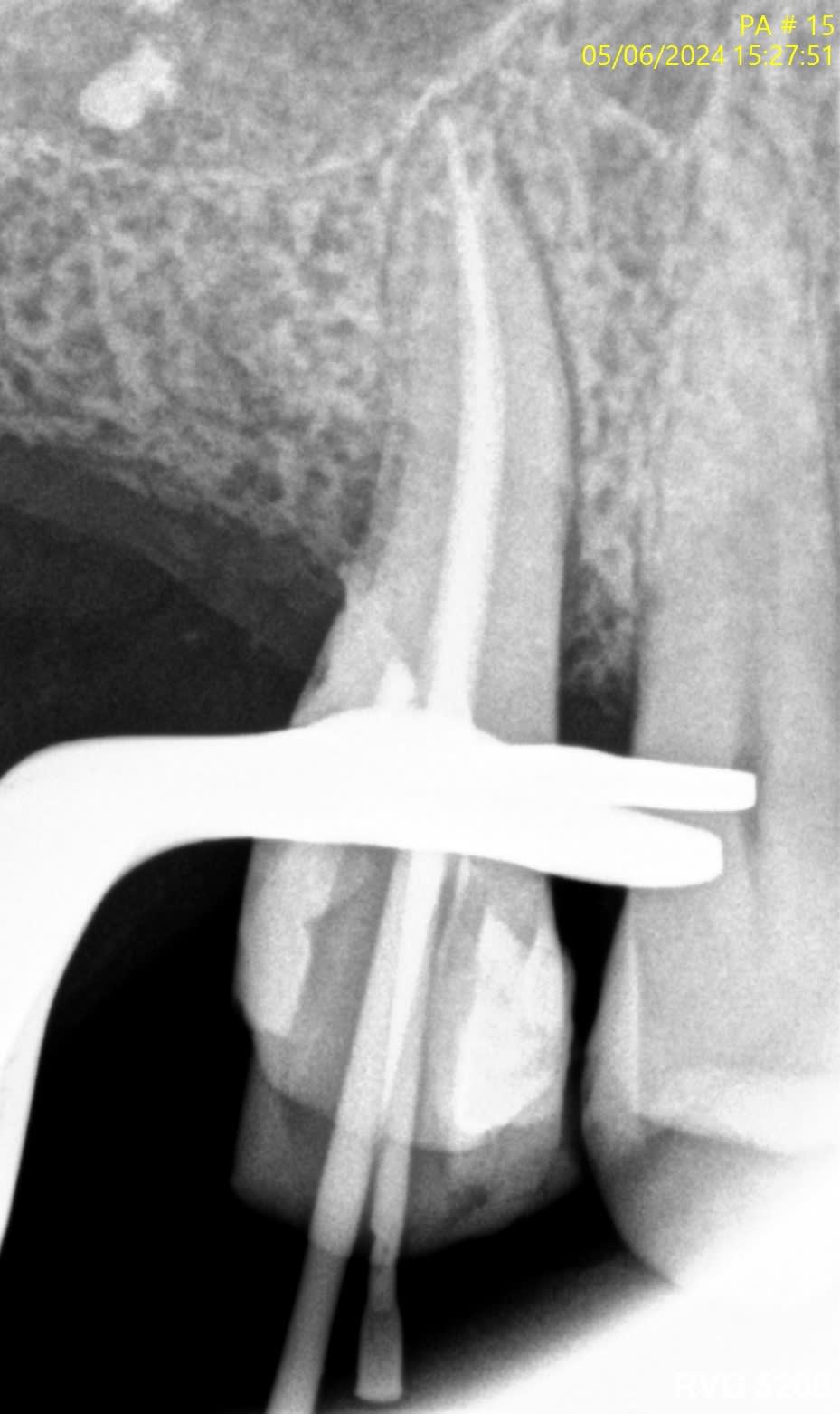
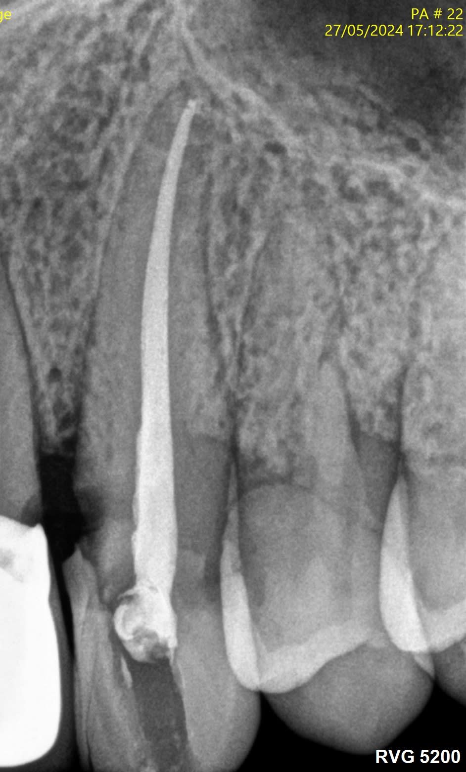
Voici quelques radio pour illustrer...

J'en suis à me poser la question d'abandonner mon Réciproc, peut être pas le bon instrument dans mes mains?

Merci pour vos lumières... !!

602ge9sfqb6ufqyugc4nelblrjsr - Eugenol
Xghi58zas1nzvdf83ieqvvgzbt8w - Eugenol
Vl13ucyxzj2ur3bx6nsevr0yq5es - Eugenol
Hfhsxpqgjjy9tgay0ryqf7w6d1cz - Eugenol
Bzve1duob8c4xhoi7tc9o3rr5b2p - Eugenol
Jdorijnxv3t4wy6gwq1kkr8rymos - Eugenol
Bolng2cdspbbl2l3oc010ji87apj - Eugenol

Dentarue

12/06/2024 à 15h03

J’ai l’impression que sur les radios que tu montres il y a des fractures verticales.


Pident69

12/06/2024 à 15h09

Sur les pré-op?


Hok 1b hgd3rj - Eugenol
Hokusai

12/06/2024 à 15h15

elles sont comment tes aiguilles d irrigation ??


Pident69

12/06/2024 à 15h19

J'utilise VMK endoneedle 28Gx1". J'ai l'impression qu'elles ne sont pas biseautées


Et7jtaj0pdi18gzjlxjiamlx15gs - Eugenol
Prunelles

12/06/2024 à 15h24

Pident69 écrivait:
--------
> J'ai l'impression qu'elles ne sont pas biseautées

Heureusement. Elles sont d'ailleurs émoussées avec une éjection axiale.
Mais le R25 évase large. Si tu appliques une pression trop importante, il est possible que tu projettes de l'hypo au delà de l'apex à chaque rinçage.
Sous AL et avec une concentration à 3%, le patient ne le remarque peut être pas, mais le mal est fait.


Pident69

12/06/2024 à 15h27

D'accord !! c'est une piste.
Mais ne faudrait-il pas utiliser une aiguille avec une ouverture sur un côté pour l'irrigation latérale?
Car les miennes sont ouvertes au bout


Nouveau image bitmap fz77zh - Eugenol
Sethef

12/06/2024 à 16h07

Le reciproc, à l'inverse des systèmes de rotation continue, a tendance à pousser les débris au-delà de la longueur de travail. Cela pourrait être une explication.
(de ce fait, lorsque tout l'alésage est réalisé au R25, je m'arrête systématiquement à quelques mm de la LT, irrigue largement, puis gagne les derniers mm. Cela a-t-il une incidence? Je n'en sais rien)

(sinon, passage d'un S1 à la LT avant le R25, tu verras si ça diminue les retours)


Markus

12/06/2024 à 16h27

La 24 et la 25, t'aurais carrément dû les virer...


RépondreCiter
Pubg2 rjl8jc - Eugenol
lemondestvaste

12/06/2024 à 16h46

Je vais dans le même sens que Sethef, après des douleurs récurrentes post endo j'ai re appliqué rigoureusement le parage canalaire à LT moins 0.5 mm. Ca a fait chuter les douleurs post op.


Et7jtaj0pdi18gzjlxjiamlx15gs - Eugenol
Prunelles

12/06/2024 à 16h54

Markus écrivait:
------
> La 24 et la 25, t'aurais carrément dû les virer...

C'était de l'ironie ?


Pident69

12/06/2024 à 17h03

Sethef ok je comprends.
Il est vrai que lorsque j'arrive à l'apex parfois je suis un peu "aspiré" et je pense que je sur instrumente dans ces cas la.
Tu mesure ta LT ou tu te fies au localisateur intégré dans l'appareil?

Comment negocies-tu ces derniers 0.5 pour ne pas faire de dégâts?


Markus

12/06/2024 à 17h03

Du tout, c'est joli la zircone, et c'est gratuit.


Markus

12/06/2024 à 17h05

Pident69 écrivait:
--------
> Sethef ok je comprends.
> Il est vrai que lorsque j'arrive à l'apex parfois je suis un peu "aspiré" et je
> pense que je sur instrumente dans ces cas la.
> Tu mesure ta LT ou tu te fies au localisateur intégré dans l'appareil?
>
> Comment negocies-tu ces derniers 0.5 pour ne pas faire de dégâts?

Sur des endo avec une pulpe saine comme les 24 25, en t'arrêtant à 5 mm, tu auras le même taux de réussite qu'à 0.


Dentarue

12/06/2024 à 17h10

Le courrierdudentiste 2022

b) Compaction des débris et leur extrusion apicale :
Toute méthode d'instrumentation proposée doit être capable de faire face à la contamination tout en respectant les tissus péri-apicaux, pour permettre leur réparation. Cet aspect est lié à la capacité à éliminer les débris organiques sans les compacter apicalement.

Une revue systématique et méta-analyse a été menée par J Caviedes-Bucheli et Al pour évaluer la compaction des débris vers le péri-apex. Les résultats ont montré que la réciprocité et la rotation continue génèrent tous deux une extrusion apicale de débris (21).

D'autres auteurs comme Bürklein et Schafer ,ont mené une étude pour comparer la quantité de débris extrudés apicalement après utilisation des systèmes WaveOne et Reciproc par rapport aux systèmes Mtwo et ProTaper utilisés en rotation continue. Cette étude a montré que les instruments à mouvement alternatif ont produit beaucoup plus de débris que les deux systèmes utilisant la rotation continue (22).

En revanche, J. M. Tinoco et al. ont évalué à travers une étude in vitro l'extrusion bactérienne apicale associée à deux systèmes utilisant le mouvement de réciprocité (WaveOne et Reciproc) par rapport au système BioRace en rotation continue. Tous les systèmes d'instrumentation ont extrudé des bactéries au-delà du foramen. Cependant, les systèmes WaveOne et Reciproc ont extrudé moins de bactéries au niveau apical que le système BioRace (23).

Également, Koçak et Al. ont évalué la quantité des débris extrudés apicalement en comparant les systèmes utilisant le mouvement de rotation continue (Protaper et Revo-S) et un autre système utilisant le mouvement de réciprocité (Reciproc). Ils ont prouvé qu’aucune différence statistiquement significative n'a été constatée entre les groupes (24).


zoulman

12/06/2024 à 17h19

Markus écrivait:
------
> Du tout, c'est joli la zircone, et c'est gratuit.

Attention il faut que la dent soit non reconstituable.


Gabzou

12/06/2024 à 17h38

Tu la mesure comment ta LT? Si tu prépare à la longueur à laquelle ton localisateur fait bip, ce n'est pas étonnant.


Nouveau image bitmap fz77zh - Eugenol
Sethef

12/06/2024 à 18h26

J'amène le R25 jusqu'au bip, pas à LT-0,5.
Mais pas en une fois.
Et je joue du sens tactile tout de même, pour m'arrêter à peine en deça sur pulpe vivante, j'ai la main un peu plus lourde en cas de lésion apicale. Désolé, ça ne vaut rien scientifiquement. Tactacboumboum.



Pident69 écrivait:
--------
> Sethef ok je comprends.
> Il est vrai que lorsque j'arrive à l'apex parfois je suis un peu "aspiré" et je
> pense que je sur instrumente dans ces cas la.
> Tu mesure ta LT ou tu te fies au localisateur intégré dans l'appareil?
>
> Comment negocies-tu ces derniers 0.5 pour ne pas faire de dégâts?


Nouveau image bitmap fz77zh - Eugenol
Sethef

12/06/2024 à 18h30

Et ne m'écoute pas pour l'extrusion des débris, les études montrent le contraire.
Ou si tu veux tenter, fais R25 à LT-3, S1 à LT, R25 à LT., et dis nous si c'est mieux.

(et vraiment, Dentarue, ce n'est pas ironique quand je le dis, je préfèrerais avoir des études pour me justifier. Ou que tu nous dises ce qui pêche dans le protocole du confrère, qui ne semble pourtant pas déconnant.)


Pident69

12/06/2024 à 19h16

Gabzou écrivait:
------
> Tu la mesure comment ta LT? Si tu prépare à la longueur à laquelle ton
> localisateur fait bip, ce n'est pas étonnant.

En effet je me fie au localisateur intégré pendant le passage de l’instrument unique R25 (ou 40/50).


Pident69

12/06/2024 à 19h21

Sethef écrivait:
------
> Et ne m'écoute pas pour l'extrusion des débris, les études montrent le
> contraire.
> Ou si tu veux tenter, fais R25 à LT-3, S1 à LT, R25 à LT., et dis nous si c'est
> mieux.
>
> (et vraiment, Dentarue, ce n'est pas ironique quand je le dis, je préfèrerais
> avoir des études pour me justifier. Ou que tu nous dises ce qui pêche dans le
> protocole du confrère, qui ne semble pourtant pas déconnant.)

Merci pour ton retour.
Peux être devrais-je, vu que je ne possède pas de S1 protaper, travailler avec mon R25 à apex -0,5?
Cela m’implique de mesurer ma LT, chose que je ne faisais plus avec le localisateur intégré…


Gabzou

12/06/2024 à 19h59

Pident69 écrivait:
-
> Cela m’implique de mesurer ma LT, chose que je ne faisais plus avec le
> localisateur intégré…

Je crois que tu as la réponse à ta question. La théorie c'est une préparation a la constriction, généralement estimée à 0,5mm de l'apex (ou très légèrement plus loin si tu veux être rassuré si lésion apicale présente). Si ton localisateur integré sonne à l'apex (normalement il détecte un point entre la constriction et l'apex, et sonne au delà de ce point), tu es déjà a la limite du parodonte, le moindre 10ème de mm en plus (et comme c'est en rotation tu es entrainé) et boum, un coup de lime en rotation dedans, et paf, douleurs post op.


Dentarue

12/06/2024 à 21h51

J’élargis très progressivement pour limiter les contraintes sur les racines et les fissurations notamment dans les derniers mm apicaux. Je passe un wave one gold 20 avant le r25, une piste peut être.
C’est très ingrat l’endo.


Pident69

12/06/2024 à 22h10

Ok merci à tous pour vos réponses. Je vais mettre en application ces pistes.
Il est vrai que l’endodontie est vraiment la partie la plus ingrate de mon omnipratique. Beaucoup de frustration et beaucoup de remise en question et de réflexion..!!


Markus

12/06/2024 à 22h35

Oui, très ingrat, c'est pour ça qu'il faut en faire le moins possible.
Finalement quand on en fait que lorsqu'elles sont indiquées, on fait très peu d'endo initiales, on ne sait plus les faire et on les adresse.


12