Cookie Consent byPrivacyPolicies.comFermeture de cabinet, souffrance au travail. - Eugenol

Fermeture de cabinet, souffrance au travail.

Et7jtaj0pdi18gzjlxjiamlx15gs - Eugenol
Prunelles

18/06/2024 à 21h52

Pour passer tes journées à négocier/vendre tes plans de traitement plutôt que de turbiner ?
Je respecte/comprends, mais aujourd’hui c’est pas pour moi.


Hok 1b hgd3rj - Eugenol
Hokusai

18/06/2024 à 21h58

c est dur les 3 premiers mois... le truc c est que ta patientele est habituée au tarif secu et au rac0... c est plus facile quand tu déménages.

faut demarrer proprement, avec rigueur méthodologie et discipline. habituez vos patients a avoir du rac sur tout... c est tres important pour l avenir.


bouboule

18/06/2024 à 22h02

Hokusai écrivait:
-------
> c est dur les 3 premiers mois... le truc c est que ta patientele est habituée au
> tarif secu et au rac0... c est plus facile quand tu déménages.
>
>

Ha? Ça y est t’as changé de fonctionnement?


Markus

18/06/2024 à 22h16

Prunelles écrivait:
---------
> Pour passer tes journées à négocier/vendre tes plans de traitement plutôt que de
> turbiner ?
> Je respecte/comprends, mais aujourd’hui c’est pas pour moi.

Tu compenses le temps employé à expliquer de quels traitements les patients ont réellement besoin afin de rétablir leur santé durablement, par le moindre temps à faire des endo et des couronnes gratuites dont tu ne poserais pas l'indication si un membre de ta famille était sur le fauteuil.
Tu parles plus mais tu fais moins et mieux pour un revenu acceptable et une éthique respectée.
Bien sûr, il ne faut pas espérer faire le bnc horaire d'un mec qui taille les full zircone de 15 à 25 par paquets de 12, avec un collaborateur qui fait la même chose, sans parler du volume qui restera toujours limité par la faible proportion de patients intellectuellement capables d'intégrer que ce modèle est meilleur pour leur santé...
Tout se joue en amont et au cours de la première consultation, longue et sans acte, chaque patient a sa chance, à lui de la saisir ou d'aller chez tous les autres...

Même s'ils ont trouvé la parade pour supporter moralement leur exercice qui n'a aucun sens (se dire que tout le monde fait comme eux), pouvoir se regarder dans un miroir en faisant à ses patients ce qu'on ferait à sa famille est quand même plus confortable.



Vw campersurfvan bmnk1q - Eugenol
enlaye

19/06/2024 à 04h11

Markus écrivait:
------
" pouvoir se regarder dans un miroir en faisant à ses patients ce qu'on ferait à sa famille est quand même plus confortable."

Bin non justement c est le contraire , ce qui est confortable c est de s en branler .
de tout .



Hok 1b hgd3rj - Eugenol
Hokusai

19/06/2024 à 09h59

bouboule écrivait:
--------
> Hokusai écrivait:
> -------
> > c est dur les 3 premiers mois... le truc c est que ta patientele est habituée
> au
> > tarif secu et au rac0... c est plus facile quand tu déménages.
> >
> >
>
> Ha? Ça y est t’as changé de fonctionnement?

petit a petit... c'est pas facile mais faut le faire.
je ne crois plus en la sécu ni aux syndicats.
je ne dis pas de faire des det à 400e ou des compo a 600e...
mais tu prends les tarifs secu tu fais x2 c'est encore donné.

je suis allé chez le coiffeur, il m'a pris 25e pour 20 min, 2ke de matos, 0 étude, 0 responsabilité... faut se réveiller.


Markus

19/06/2024 à 10h36

enlaye écrivait:
------
> Markus écrivait:
> ------
> " pouvoir se regarder dans un miroir en faisant à ses patients ce qu'on ferait à
> sa famille est quand même plus confortable."
>
> Bin non justement c est le contraire , ce qui est confortable c est de s en
> branler .
> de tout .
>
>

Je te prie de m'excuser pour l'omission de ces quelques mots à la suite de confortable : "quand on est n'est pas un f... de p...".


Et7jtaj0pdi18gzjlxjiamlx15gs - Eugenol
Prunelles

19/06/2024 à 12h13

Suis partagé.
Autant je respecte les quelques uns qui pratiquent de la sorte ET qui restent droit dans leurs bottes.
Autant j'observe fréquemment les dérives de certains qui ont deux mains gauches et qui vendent du rêve uniquement financer leur train de vie en travaillant le moins possible.
Les premiers visent la perfection et l'élite. Hors les seconds ne cherchent qu'à attraper le nigaud.

Markus résume très bien la situation :
> la faible proportion de patients intellectuellement capables d'intégrer que ce modèle est meilleur pour leur santé...

Je pense qu'il faut une santé pour tous et donc "à plusieurs vitesses".
Qu'un patient averti trouve un véritable artiste pour le soigner contre juste rémunération c'est une bonne chose.
Doit on pour autant priver de soins tous les autres moins fortunés ?
Je m'efforce de travailler le plus proprement possible.
Pourtant j'admets sans remords prendre des raccourcis dans ma pratique, mais si cela me rend plus accessible, est-ce une mauvaise chose ?
Attention, je ne prône pas le nivellement pas le bas, je pense juste qu'il existe un "entre deux".


Hok 1b hgd3rj - Eugenol
Hokusai

19/06/2024 à 13h13

le jour ou tous les actes seront realises a perte et que les omnis auront disparu on verra qui est soigné...

l alveolectomie a 40e c est la honte. le rattrapage sur la prothese aussi.

l endo a 40e, ca couvre pas les charges de l acte (quelque soit la qualite de sa realisation)


Markus

19/06/2024 à 13h25

Chacun place son curseur où il peut.
En pratique, se mettre des gros emprunts personnels dès son début d'exercice est rarement compatible avec un exercice vertueux, on reconnaît assez facilement les types de praticiens à ce signe...
Il est beaucoup plus facile de faire un gros bnc horaire en "prenant des raccourcis" (et sans remords), que de chercher à tirer sa pratique vers le haut car tout, absolument tout, pousse à la première des stratégies citées.
"Attraper le nigaud", un concept un peu obscur que dégainent certains pour se rassurer sur leurs propres choix, cf par exemple certains syndicalistes qui affirmaient que les surfaçages étaient un moyen de vendre des détartrages plus chers, il ne faut jamais avoir fait (ou au moins essayé) de faire de la paro en omni pour dire ça, les patients qui sont perméables à une approche autre que le bouchage de trous (des dents ou des arcades) tout au long de leur vie (la fameuse "patientèle fidèle"...) sont moins "nigauds" que la moyenne...


bouboule

19/06/2024 à 13h34

Hokusai écrivait:
-------
> bouboule écrivait:
> -------- > Ha? Ça y est t’as changé de fonctionnement?
>
> petit a petit... c'est pas facile mais faut le faire.
> je ne crois plus en la sécu ni aux syndicats.
> je ne dis pas de faire des det à 400e ou des compo a 600e...
> mais tu prends les tarifs secu tu fais x2 c'est encore donné.
>
> je suis allé chez le coiffeur, il m'a pris 25e pour 20 min, 2ke de matos, 0
> étude, 0 responsabilité... faut se réveiller.

Bon courage. Tu vas vite t’apercevoir que ça ne prend finalement pas tant de temps que ça à se mettre en place. Et surtout, t’as plus honte de ce que tu fais à longueur de journée et ça ça n’a pas de prix!

Prunelles en fait ce que tu écris est très représentatif du gouffre dans lequel la profession se trouve. Je n’ai pas du tout le sentiment d’avoir un exercice élitiste, ni non plus celui de chercher le nigaud. Je travail juste NORMALEMENT!!!

Bosser sans digue est anormal, fourguer du full métal ou du raco pour éviter d’avoir à stratifier un composite pour des raisons financières est anormal. Prendre des raccourcis dans sa pratique comme tu dis, c’est anormal. T’aimerai toi qu’un de tes soignants t’explique qu’il t’a soigné en prenant des raccourcis???
C’est toute la médiocrité de notre système de santé moisi. Avoir réussi à convaincre tout le monde, y compris ceux qui sont censés soigner, qu’on peut s’accommoder de soins de seconde catégorie mal réalisés et que c’est complètement normal… c’est d’une tristesse….


Hok 1b hgd3rj - Eugenol
Hokusai

19/06/2024 à 14h13

pas besoin de faire de l'elitisme...
la par exemple un atient de 40 ans a l'instant, je pense pas reprendre l'endo de 27...
mais je pense remonter les marges 27 26 au cvi et reconstituer 27 26 25 en stratifictaion sous digue...
bin pas au tarif secu... ca suffit.

et celui qui a traité initialement 27 26 bin c'est pas bravo. et je me considere comme pas bon... et encore la c est de l amalgame... quand c est du compo c est pire.

Hkbbt24i2s5wkqs2vzskzb545de6 - Eugenol

Et7jtaj0pdi18gzjlxjiamlx15gs - Eugenol
Prunelles

19/06/2024 à 14h54

Vous allez croire que je cherche à me justifier, mais dans le cas d'Hokusai :
- Ne faudrait il pas extraire la 27 si l'endo ne peut être reprise avec un résultat satisfaisant ? Et par conséquent la remplacer par un implant ?
- Ne faudrait il pas faire une élongation coronaire plutôt qu'une remonté de marge, surtout au CVI ?
- Ne faudrait il pas restaurer ces dents avec des Onlay céramiques plutôt que d'importants composites, même stratifiés ?

Je ne mets pas la faute sur Hokusai, mais c'est pas des raccourcis tout ca ?


Hok 1b hgd3rj - Eugenol
Hokusai

19/06/2024 à 14h58

bin la je passe a 10% d'acceptation des devis ;)


Et7jtaj0pdi18gzjlxjiamlx15gs - Eugenol
Prunelles

19/06/2024 à 15h01

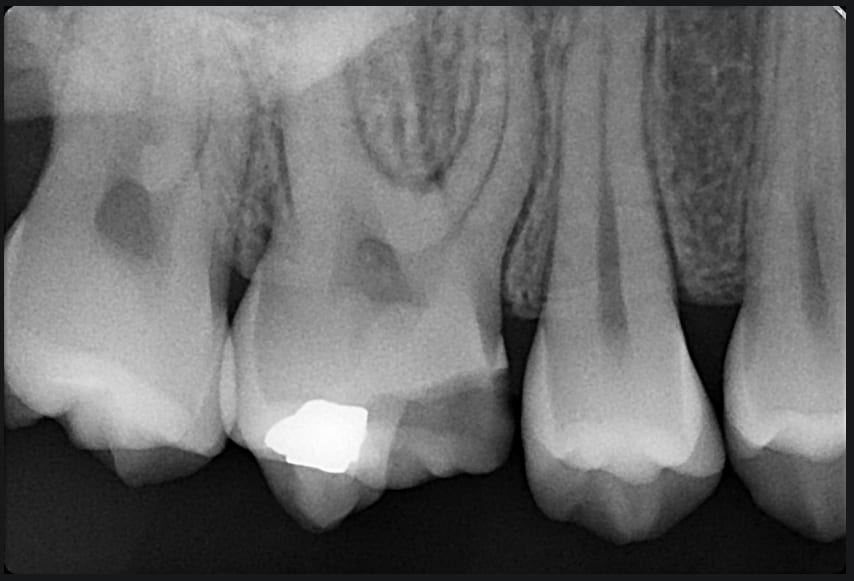
Pas plus tard que hier.
Une ado handicapée de 15ans, C2S, vu pour un deuxième avis après le devis pas piqué des hannetons chez une consœur.
900€ pour une étude esthétique et la réalisation d'une couronne avec... le risque que cela coute plus cher et de devoir dévitaliser la dent car la "carie" est profonde
Je vous joins la rétro...
Juste une fracture du pan MV de la 16. Le point de contact mésial est encore intact. Pas de trace de lésion carieuse.
La gamine est repartie avec un 3 faces des familles.
C'est pas chercher à attraper le nigaud ca ?

V3l9x8euri03koy1scbfryhdoxzb - Eugenol

Hok 1b hgd3rj - Eugenol
Hokusai

19/06/2024 à 15h07

Prunelles écrivait:
---------
> 900€

entre 900e
et les 50e du soins, y a un juste milieu...

perso moi pour ca je pose la digue maintenant. et oui la restau directe semble indiquee.


Markus

19/06/2024 à 15h25

Prunelles, tu ferais quoi ici ?


Markus

19/06/2024 à 15h28

Hokusai écrivait:
-------
> bin la je passe a 10% d'acceptation des devis ;)

Mon plan de traitement pour ton cas : compo 25, inlay ou onlay emax sur 26 et adressage à l'endo exclusif pour 27 avec gros onlay ou couronne à suivre (la radio ne me suffit pas).
Je suis à moins de 30% en faisant toujours comme ça (et en prenant en charge les parodontites, je suis un guedin).


Markus

19/06/2024 à 15h30

Prunelles écrivait:
---------
> Pas plus tard que hier.
> Une ado handicapé de 15ans, C2S, vu pour un deuxième avis après le devis pas
> piqué des hannetons chez une consœur.
> 900€ pour une étude esthétique et la réalisation d'une couronne avec... le
> risque que cela coute plus cher et de devoir dévitaliser la dent car la "carie"
> est profonde
> Je vous joins la rétro...
> Juste une fracture du pan MV de la 16. Le point de contact mésial est encore
> intact. Pas de trace de lésion carieuse.
> La gamine est repartie avec un 3 faces des familles.
> C'est pas chercher à attraper le nigaud ca ?

Non, rien à voir, c'est du refus de soins.
"Attraper le nigaud" ça n'existe pas, ça ne fonctionne pas, ceux qui paient plus cher le savent et en veulent pour leur argent.


Et7jtaj0pdi18gzjlxjiamlx15gs - Eugenol
Prunelles

19/06/2024 à 15h37

Markus écrivait:
------
> Prunelles, tu ferais quoi ici ?

Ici ?


Hok 1b hgd3rj - Eugenol
Hokusai

19/06/2024 à 15h41

Markus écrivait:
------
> Hokusai écrivait:
> -------
> > bin la je passe a 10% d'acceptation des devis ;)
>
> Mon plan de traitement pour ton cas : compo 25, inlay ou onlay emax sur 26 et
> adressage à l'endo exclusif pour 27

oui c est ce qu il faudrait faire.


Markus

19/06/2024 à 15h44

.


Markus

19/06/2024 à 15h45

Prunelles écrivait:
---------
> Markus écrivait:
> ------
> > Prunelles, tu ferais quoi ici ?
>
> Ici ?

Pour le cas d'hokusaï.
Avec ce que tu appelles "prendre des raccourcis".


Markus

19/06/2024 à 15h50

De toutes façons, pas de solutions d'exercice pleinement satisfaisantes.
Toujours de la frustration : frustration de voir les patients partir ailleurs pour "moins cher" (à court terme) pour ceux qui essaient de bien faire, ou frustration de ne pas faire ce qu'on devrait faire pour le bien des patients.
À moins de s'en foutre...
Ce métier est un piège géant.


Jack 2 wm3tqs - Eugenol
Treponem

19/06/2024 à 15h59

Sans oublier la merde qui peut arriver même en faisant tout dans les clous ... par exemple ici, une nécrose sous 26 (même si ça n'arrive jamais aux cadors ;)), et le patient qui couine "avec tout ce que je paye, j'ai mal, et faut encore raquer" ... un délice, vaut mieux s'en foutre ;))