Cookie Consent byPrivacyPolicies.comHelp Pluton... implants??? - Eugenol

Help Pluton... implants???

S2y2o1v7q53ws4r5wy6ou8czrpom - Eugenol
pxav

25/06/2024 à 09h44

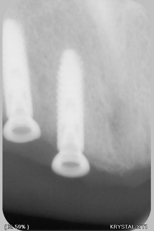
Si tu peux me donner la marque, et le type ça a été posé à Paris (2018?) Dentiste DCD, papiers perdu patiente 85 ans, adressé par un confrère qui pensait à des anthofit, mais ....


--
xbk
La connaissance s'acquiert par l'expérience, tout le reste n'est que de l'information." ALBERT EINSTEIN

Imwios3qut5fpz3yi216eyhpj1ry - Eugenol
Rrtkv7b1i37w5ydc4xyag047iwvh - Eugenol
Fjag4asb0v8etfks88apvgekohvn - Eugenol
Ypbm3ww8daa0l366kbphdpnvr079 - Eugenol
4aifnstc40zr599zmg1ep5v5lmkd - Eugenol
2t92d33nt7ii2whblzskwo4gspes - Eugenol
Dqjj0n6jzgz9l7q1vhameichow5j - Eugenol
D7oix0gi2oiq0uoadv63cf0xiajr - Eugenol
R063m9ez0authii7ybxaj44vzub5 - Eugenol
Mxwv3z1yr4c669ygdg2iqns2x9ge - Eugenol

Photo pluton1b h9n4ea - Eugenol
pluton

25/06/2024 à 13h58

Bah, tu fatigues pxav? c'est pas des axiom reg avec ces piliers miltiunits comme ceux des TL????


vernal

25/06/2024 à 14h06

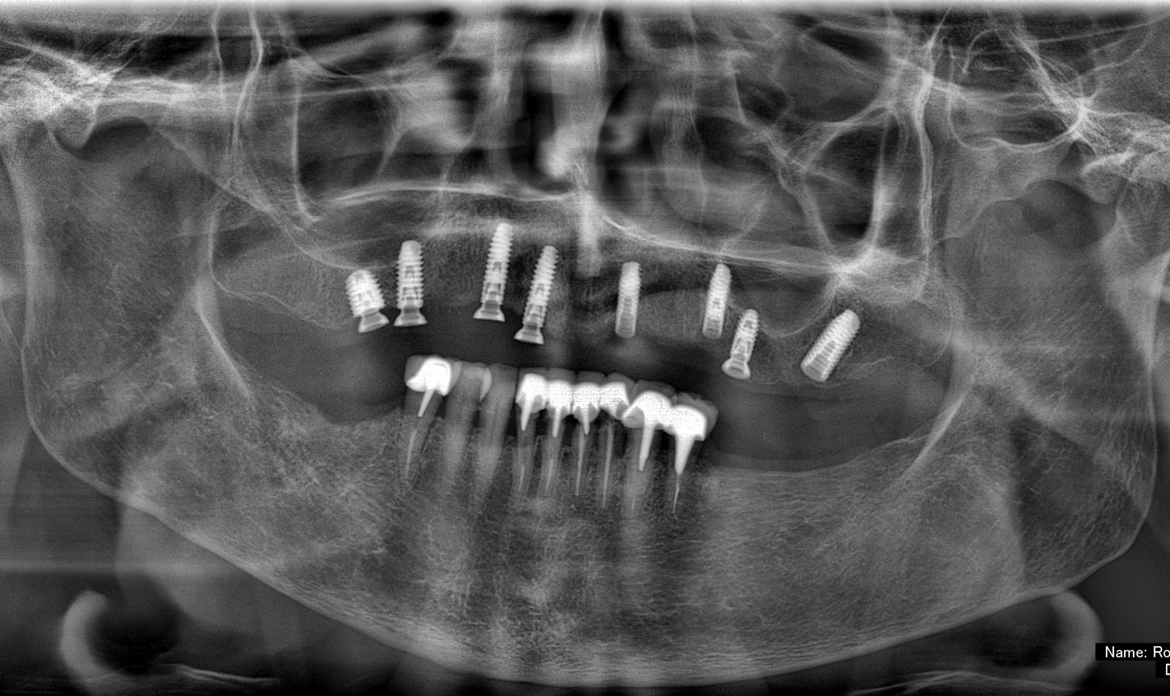
Ces implants donnent le mal de mer !!! (cf pano !)
Pluton, un des piliers de ce forum ! Même si ce n'est pas pour moi, MERCI !
Les interventions de Pluton sont comme une brise légère au milieu des autres sujets !!!


S2y2o1v7q53ws4r5wy6ou8czrpom - Eugenol
pxav

25/06/2024 à 14h14

Merci patron,
au départ je cherchais des Antogyrs , mais mon hésitation, est due au fait que (malgré mon stock de clé) je n'ai rien trouvé pour dévisser le multi unit...Bizarre, vous avez dit bizarre


--
xbk
La connaissance s'acquiert par l'expérience, tout le reste n'est que de l'information." ALBERT EINSTEIN


Olieve

25/06/2024 à 14h18

C'est de l'Anthogyr avec des piliers InLink
Il faut utiliser le tournevis Anthogyr pour accès angulé (tête boule)

Cgmbx8vps3st74f1eciyp6w8goom - Eugenol

S2y2o1v7q53ws4r5wy6ou8czrpom - Eugenol
pxav

25/06/2024 à 14h53

Olieve écrivait:
------
> C'est de l'Anthogyr avec des piliers InLink
> Il faut utiliser le tournevis Anthogyr pour accès angulé (tête boule)

Effectivement, c'est le seul truc que je n'utilise pas chez eux...c'est très ingénieux, mais dans le cas présenté, ils ont tous cassés..., j'attends de voir la prothèse d'origine pour savoir d'où vient le soucis.

--
xbk
La connaissance s'acquiert par l'expérience, tout le reste n'est que de l'information." ALBERT EINSTEIN