Cookie Consent byPrivacyPolicies.comun truc un peu compliqué... - Eugenol
S2y2o1v7q53ws4r5wy6ou8czrpom - Eugenol
pxav

28/06/2024 à 23h02

bouboule écrivait:
--------

Te concernant pxav, la certitude de savoir mieux qu’un autre parce qu’on est plus vieux que lui est totalement stupide.


non, le fait d’être plus vieux , n'apporte pas le "savoir" , au contraire, sinon je ne passerais pas du temps à glaner des conseils sur nonol, la vieillesse n'apporte que l’expérience et le recul, et ceci en contre-partie d'une habilité moindre, et surtout de moins d'énergie, à 40 ans je pouvais passer la journée sur le même patient , alors que maintenant 2h30 et la concentration me lâche...

> les bonnes idées se prennent partout, chez les jeunes comme chez les moins jeunes…
nous sommes d'accord, le temps ne fait rien à l'affaire , dixit Georges...
--
xbk
La connaissance s'acquiert par l'expérience, tout le reste n'est que de l'information." ALBERT EINSTEIN


Vw campersurfvan bmnk1q - Eugenol
enlaye

28/06/2024 à 23h14

Avec des cas extrêmes comme ça , ça ne vaut pas le coup de se prendre la tronche sur qui fait quoi et à qui .
Ce serait dommage pcq les études de cas se font rare sur nonol .
Par contre si les ttt peuvent êtres différents, ce qui est commun , c est la sémiologie .
Discuter sur l étiologie du cas , c est universel, intellectuel et
enrichissant .
Au moins là les vieux et les moins vieux peuvent faire partager leurs expériences .
Et puis comme je le répète souvent , on ne peut pas prédire le futur si l on est pas capable d expliquer le passé.


S2y2o1v7q53ws4r5wy6ou8czrpom - Eugenol
pxav

29/06/2024 à 09h51

enlaye écrivait:
------

> Discuter sur l étiologie du cas , c est universel, intellectuel et
> enrichissant .
> Au moins là les vieux et les moins vieux peuvent faire partager leurs
> expériences .
> Et puis comme je le répète souvent , on ne peut pas prédire le futur si l on est
> pas capable d expliquer le passé.

Tout à fait d'accord,échanger sur les différents points de vues et options possible c'est enrichissant, mais ne pas oublier que comme sur tout réseau social, ce qui est lu, ne correspond pas forcement à ce qui est écrit.

Si on pouvait éviter les"batailles" d'égo des années où Eugenol était un forum d'èchange de cas cliniques, ce serait cool, milles excuses si j'ai donné l'impression de me la "péter", ce n'est pas le but du post.

--
xbk
La connaissance s'acquiert par l'expérience, tout le reste n'est que de l'information." ALBERT EINSTEIN


Avatar transparent iqadnc - Eugenol
adhoc

29/06/2024 à 10h38

>milles excuses si j'ai donné l'impression de me la "péter", ce n'est pas le but du post.<

Ce qui n'est et n'a jamais été le cas d'enlaye et toi. Vous prenez parfois, et c'est bien, les choses avec humour et recul et surtout, vous ne vous foutez jamais de la gueule (ou alors avec rigolade et bienveillance) d'un intervenant qui pose une question parfois naive , ou meme qui ne comprend pas.


bouboule

30/06/2024 à 12h07

Ok, dont acte.
Pour revenir à ton cas, ce genre de patient, j’en ai régulièrement soit par bouche à oreille soit parce que des collègues me les envoient.
Il y a une constante chez quasiment tous ceux que j’ai pris en charge depuis 10/15ans.
C’est la détresse de l’absence de soins. Certains parce qu’ils n’ont pas voulu, pas osé parce qu’ils n’étaient pas encore prêts, pour d’autres les praticiens précédents n’ont pas été assez convaincants ( comme la patiente dont je parlais plus haut). Enfin pour les cas les plus lourds, certains aussi parce que les praticiens étaient incapables de les aider et les faisaient tourner en rond à faire des petites rustines plutôt que de dire je ne sais pas.

Dans ce genre de cas, commencer par poser comme condition préalable la maîtrise de la paro et des brossettes est un non sens.

D’abord parce que quand c’est moche ou douloureux, peu sont capables de se motiver sur la durée. Ensuite parce que, même dans les cas où le patient est observant, entretenir des espaces interdentaires où les points de contacts ont disparu, où les anciennes restaurations sont tellement débordantes que même un grain de maïs peut se coincer c’est quasiment impossible!

Pour pxav, comme tu le dis, on a en face de nous des humains. À durée de vie limitée…

Un truc qui m’a marqué il y a quelques mois:
Un de mes premiers vrai gros cas. Patient bruxo, dents usées jusqu’aux gencives. Des abcès partout parque les chambres pulpaires étaient exposées. D’autres dents fracturées.
Pour couronner le tout, patient handicapé en fauteuil.
Je me souviens parfaitement de ses premiers rdv .
Je fais l’examen clinique radio cone beam modèles etc etc . Et puis je lui sors mon baratin devenu habituel que j’ai déjà donné ici. Le type m’avait répondu à l’époque: “vous êtes sûr de vous? Parce que les 4 précédents m’ont tous dit qu’ils pouvaient pas faire grand chose”
J’ai répondu que s’il était prêt à me supporter longtemps et à dépenser le prix d’une voiture il n’y aurait aucun problème.

J’avais pensé à l’époque que le verrou serait financier…. Sa réponse a été : s’il faut faire un crédit je le ferai, je veux juste pouvoir vivre normalement sans gonfler tous les trois jours, donnez moi juste le montant. Après ça on a plus parlé pognon.

Bref tout ça pour dire que ce patient est décédé accidentellement en début d’année. À 69/70 ans. Ironie de la chose, je l’ai appris par le cas que je commence à traiter et que j’ai montré ici. C’est mon desperado. Les deux étaient amis et c’est donc mon patient maintenant décédé qui a donné mon adresse à mon nouveau patient.

Mon patient bruxo aura pu mener une vie normale du point de vue bucco-dentaire pendant les 10/15 dernières années. Pendant la durée de vie de son traitement je n’ai rien eu à reprendre, à part un éclat de Céram antérieur au tout début.

Donc là où je te suis pxav, c’est quand tu dis qu’on a face à nous des humains. Là où je ne te suis plus du tout c’est quand tu dis que tu espères maintenir une situation branlante pendant 10 ans avant de faire mieux. 10 ans c’est long quand on est pas confortable. Et si au bout du compte, dans 10 ans tu fais mieux et que ton patient claque l’année d’après, est-ce que tu lui auras vraiment rendu service?

Quand bien même les implants d’aujourd’hui claqueraient avant 10 ans, qu’est ce qui empêche d’en refaire? L’os? On connaît tous tes prouesses dans les cas d’expansions ou de greffe osseuse non? Donc j’insiste mais dans un cas comme ça, pour moi, il n’y a pas de questions à se poser, surtout quand le praticien traitant a les capacités qu’on te connaît!


sebbzh

30/06/2024 à 14h11

Bouboule : "Dans ce genre de cas, commencer par poser comme condition préalable la maîtrise de la paro et des brossettes est un non sens. D’abord parce que quand c’est moche ou douloureux, peu sont capables de se motiver sur la durée. Ensuite parce que, même dans les cas où le patient est observant, entretenir des espaces interdentaires où les points de contacts ont disparu, où les anciennes restaurations sont tellement débordantes que même un grain de maïs peut se coincer c’est quasiment impossible! "

Ca c'est une vision fataliste : la paro est un combat long, trop contraignant et qui plus est perdu d'avance...

Or, il se pourrait bien qu'on vive le grand retour de la paro non-chir et sans AB : à partir du moment où tu as - enfin - un moyen simple et pas cher - un susucre... - de supprimer l'inflammation et de voir la plupart des poches redescendre en quelques semaines (j'espère vivement qu'Algi nous sortira des cas avant sa retraite), pourquoi se priver d'attendre un petit peu avant de sortir l'artillerie lourde ?? Le client est en capacité de comprendre sa situation, tu gagnes du temps avec tout de suite une évolution favorable pour la suite des travaux, et on évite des extractions sur des dents qu'on pensait à priori condamnées. Et je m'excuse, mais la santé générale du patient s'en trouve améliorée, merci pour lui. Alors oui, le parodonte met du temps à s'en remettre, c'est long, mais y'a de l'espoir là où on pensait que c'était fichu. Faut essayer !!

Edit : qu'avez-vous à perdre, surtout sur un cas "désespéré" ?


Vw campersurfvan bmnk1q - Eugenol
enlaye

01/07/2024 à 12h43

Je n ai pas compris pas votre stress de gestion de la paro , de la maintenance avant ttt , des brossettes et des embrasures etc etc .
C est sur que si tu ne fais rien ça ne s arrangera pas tout seul .
Mais sinon en 2 , 3 séances c est réglé, suffit de tailler toutes les dents après les avoir dévitalisées . Et terminé la paro
Quitte a enlever ce qui est perdu .


Ylfwcw979cz1jnx9gfqeaxndiuzk - Eugenol
Algi

01/07/2024 à 20h29

enlaye écrivait:
------
> Je n ai pas compris pas votre stress de gestion de la paro , de la maintenance
> avant ttt , des brossettes et des embrasures etc etc .
> C est sur que si tu ne fais rien ça ne s arrangera pas tout seul .
> Mais sinon en 2 , 3 séances c est réglé, suffit de tailler toutes les dents
> après les avoir dévitalisées . Et terminé la paro
> Quitte a enlever ce qui est perdu .

Mouais... A voir quand même 🤣

Et puis tout dévitaliser..... Ça c'est parce que tu ne fais pas de provisoires 😜

Bon sinon effectivement c'est idiot de se quereller surtout ici où, à priori, ceux qui interviennent sont là pour faire avancer le shmiblick.
Vais essayer de faire des photos de cas mais je vous promet rien.

On a toujours le choix mais entre quoi et quoi?
Vas-y boulégue et l'avenir te le dira!


Vw campersurfvan bmnk1q - Eugenol
enlaye

01/07/2024 à 21h50

"Et puis tout dévitaliser..... Ça c'est parce que tu ne fais pas de provisoires 😜"

Y a de ça aussi :-)


Vw campersurfvan bmnk1q - Eugenol
enlaye

01/07/2024 à 22h03

Mais au-delà de ça , cela ne t est pas arrivé, lors d une taille de voir apparaître le petit tartre conno bien noir , sur une face proximale concave d' une racine ?
Alors que tu t étais appliqué, toi ou le Paro à tout nettoyer .
c est imparable les concavités .

De plus lors que tu tailles jusqu à l os à la grain fin en ligne de finition simple , tu curettes a la fois la gencive pipée et le cément emboucané .
He bien la fois d après , l attache se reconstitue et se repositionne toute seule .
De peu que tu fasses un prov si tu aimes ça , tu ne te retrouves plus avec des dents déchaussées compliquées à nettoyer .


S2y2o1v7q53ws4r5wy6ou8czrpom - Eugenol
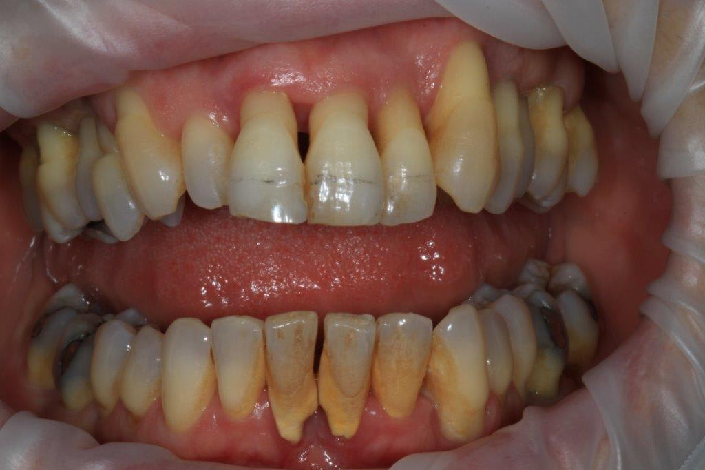
pxav

10/07/2024 à 18h44

un peu de grain à moudre, toutes les critiques sont les bienvenues...
1ere séance,"nettoyage...", et après réflexion, plutôt que le nettoyage par le vide, attelle de contention pour le bloc antérieur mandibulaire, suppression de quelques contact très parasite sur les pm et canines, et réduction des incisives mandibulaire puis maxillaire... consignes de brossages / bain de bouche avec .... l'érythritol afin de ne pas mourir idiot... on verra ce que ça donne dans un cas relativement perdu d'avance.... merci Algi... enfin peut être : -))


--
xbk
La connaissance s'acquiert par l'expérience, tout le reste n'est que de l'information." ALBERT EINSTEIN

Qbh2kjwf9eeman372x9324t0r5x4 - Eugenol
5gz8ae9rc0y4khtjq2wgwrnt4l2q - Eugenol
Wmm3kslbram0xrufoumgrvjazel6 - Eugenol
Ahw2gaq3k0ztczavml2aotk4eo07 - Eugenol
Ablyt18ahfqntfn39nvedz3fkep3 - Eugenol
9l1d6pgwdai9x8co6cfi4rhsx3e8 - Eugenol
431je8clgfkfpga3gwwl3cfvd98b - Eugenol
Vbs334yv1j3r0hiy2lq8bkl5tl2p - Eugenol

Vw campersurfvan bmnk1q - Eugenol
enlaye

11/07/2024 à 00h19

C est dommage que l'on ne voit pas les dents en occlusion .
La 12 est en occlusion inverse et le secteur postérieur 20/30 aussi ?


Vw campersurfvan bmnk1q - Eugenol
enlaye

11/07/2024 à 00h39

enlaye écrivait:
------
" pcq ce truc ressemble comme 2 gouttes d eau à la résultante d' un sur contact antérieur de type cl2 associé à un décentrage latéral post unilatéral . à
gauche probablement ."

Voilà :-))


Vw campersurfvan bmnk1q - Eugenol
enlaye

11/07/2024 à 01h16

On trouve souvent ce genre truc en post ttt ortho .
Le pb venant des 7 qui ne sont pas à leurs place .
Enfin si elles elles sont à leurs place mais comme l ortho n'a pas intégré les 7 dans son plan de ttt , elles se trouvent décalées.
Le plus fréquent étant les 37 et 47 en contre bas .

Ce qui fait de les 7 deviennent interférentes latéralement .
Ce qui induit un manque de stabilité dans le calage postérieur.
Alors elle propulse en ouverture pour se trouver un calage plus antérieur tout en évitant l interférence molaire .
Seulement comme l ortho a rentré le haut elle ne peut pas propulser dans son axe sagittal .
Alors elle décale un poil de côté genre en bout a bout plutôt orienté sur la droite donc sur sa 12 .
La 12 ingresse un peu en hop elle part en arrière. Et zou occlusion inverse sur 12 .
Ce qui explique qu il ne peut plus y avoir de bruxisme avec usure cad avec mouvement.
Il n y a que du serrage.
Plus léger a droite quand elle est en position avancée et plus fort a droite quand elle est en calage molaire .
Ce qui expliquerait l exostose secteur 36/37.


Vw campersurfvan bmnk1q - Eugenol
enlaye

11/07/2024 à 01h19

Mais cela peut très bien se produire aussi sans avoir eu de ttt ortho , en ayant juste un décalage dans le sens transversal des 36/37 et une 12 un peu en dedans .la dynamique étant la même.


Vw campersurfvan bmnk1q - Eugenol
enlaye

11/07/2024 à 01h28

Ce qu il faut faire au niveau de l equilibration , en plus de ce que tu as tres bien fait , c est d aligner les crêtes proximales par coronoplastie .
Il faut a tout prix que la rétro pulsion puisse se faire plus facilement.
Pcq si tu ne mets pas à plat les crêtes , le mouvement avant /arrière ne peut se faire qu avec une variation de dv , ce qui est incompatible avec son bruxisme et son pb .


Vw campersurfvan bmnk1q - Eugenol
enlaye

11/07/2024 à 01h30

Je le vois bien comme ça,
ce n est pas si compliqué finalement :-)


Vw campersurfvan bmnk1q - Eugenol
enlaye

11/07/2024 à 01h34

Une fois de plus ce n est pas un pb Paro mais bien occlusal .


S2y2o1v7q53ws4r5wy6ou8czrpom - Eugenol
pxav

11/07/2024 à 07h29

enlaye écrivait:
------
> Une fois de plus ce n est pas un pb Paro mais bien occlusal .

effectivement, je vois la conséquence paro d'un problème avec départ occlusal, mais peut être pas que.

le soucis est de résoudre l'équation, qui ne passera pas que par une équilibration, un peu comme si un cancer de la vessie, chez un patient fumeur, se soignait uniquement en arrêtant le tabac.

--
xbk
La connaissance s'acquiert par l'expérience, tout le reste n'est que de l'information." ALBERT EINSTEIN


Vw campersurfvan bmnk1q - Eugenol
enlaye

11/07/2024 à 07h45

Sur , l analogie est bien trouvée.
De souvenirs, elle occluse comment ? Tu n as pas pris de photo en occlusion ?


S2y2o1v7q53ws4r5wy6ou8czrpom - Eugenol
pxav

11/07/2024 à 08h21

non, pas de photo en occlusion, avec l'optragate c'était un peu compliqué, et j'étais un peu concentré sur "comment commencer", sans être destructeur...un des défauts de l'age, ça mouline beaucoup moins vite entre les 2 oreilles...

obtenir l'accord de la patiente pour réduire de 4 mm les incisives supérieures, et inférieures, ce fut simple, mais pour me convaincre que c'était le bon choix, beaucoup moins.

de même pour le planning, séances longue évidemment, mais d'abord, le maxillaire ou la mandibule ou les deux????

en tout cas ça fait du bien d'avoir à réfléchir, un des luxe de cette profession, qui a de multiples facettes.





--
xbk
La connaissance s'acquiert par l'expérience, tout le reste n'est que de l'information." ALBERT EINSTEIN


Vw campersurfvan bmnk1q - Eugenol
enlaye

11/07/2024 à 22h07

De toute évidence il y a un pb occlusal, donc un pb de la fermeture, donc de l oim .
L oim étant pipée, on a donc plus de référentiel .
Mais au fait , j y pense , si l'on a plus de référentiel d oim , il nous reste la centrée,
heuuuu t y as pensé à regarder sa centrée ??


Vw campersurfvan bmnk1q - Eugenol
enlaye

11/07/2024 à 22h17

Pcq si tu veux reconstruire lorsque tout est chaoui , il te faudra bien monter les modèles sur articulateur . C est bon ça pour réfléchir.
Ce qui implique quand même une centrée et un arc facial .


Vw campersurfvan bmnk1q - Eugenol
enlaye

11/07/2024 à 23h10

.


S2y2o1v7q53ws4r5wy6ou8czrpom - Eugenol
pxav

12/07/2024 à 07h24

enlaye écrivait:
------
> Pcq si tu veux reconstruire lorsque tout est chaoui , il te faudra bien monter
> les modèles sur articulateur . C est bon ça pour réfléchir.
> Ce qui implique quand même une centrée et un arc facial .

et ton préféré, le Wax-up.... :-))
--
xbk
La connaissance s'acquiert par l'expérience, tout le reste n'est que de l'information." ALBERT EINSTEIN


1234...