Cookie Consent byPrivacyPolicies.comun truc un peu compliqué... - Eugenol
Vw campersurfvan bmnk1q - Eugenol
enlaye

12/07/2024 à 07h42

Et oui sans oublier le Split cast .
Le Split cast étant ta clef USB des données initiales .


Vw campersurfvan bmnk1q - Eugenol
enlaye

12/07/2024 à 07h48

Et encore que le wax UP c est la matérialisation de ta réflexion ce n est pas cela qui te dira quoi faire .
Le wax c est après .


Vw campersurfvan bmnk1q - Eugenol
enlaye

12/07/2024 à 07h53

Le wax étant fait par le labo ,
ce serait donc le labo qui te fasse le plan de ttt ?
Tu trouves cela normal , toi ?


S2y2o1v7q53ws4r5wy6ou8czrpom - Eugenol
pxav

12/07/2024 à 08h03

enlaye écrivait:
------
> Le wax étant fait par le labo (la plupart du temps malheureusement) .
> ce serait donc le labo qui te fasse le plan de ttt ?
> Tu trouves cela normal , toi ?

non, c'est pour ça que le Wax up est fait sur place, après taille des modèle par ma pomme, et sous ma surveillance ... ce qui n’empêche pas les erreurs, mais au moins je sais d'où elles viennent ...

--
xbk
La connaissance s'acquiert par l'expérience, tout le reste n'est que de l'information." ALBERT EINSTEIN


Vw campersurfvan bmnk1q - Eugenol
enlaye

12/07/2024 à 08h15

Eh oui , d'ailleurs lors que tu as retaillé le bloc ant et supprimé quelques sur contacts , c est l équivalent du wax par soustraction .
C est ainsi que tu prédétermines le futur plan d occlusion .
Entre la soustraction et un peu de composite pour un éventuel rajout , c est le meilleur des wax .


Vw campersurfvan bmnk1q - Eugenol
enlaye

12/07/2024 à 08h18

C est le 2 ème avantage de faire des endos de partout .
La dent étant rasée en occlusal comme sur ton plâtre , libre à toi de faire ton wax au compo directement en bouche


S2y2o1v7q53ws4r5wy6ou8czrpom - Eugenol
pxav

12/07/2024 à 08h19


oui mais nous avions déjà fait un premier Wax-up , afin de déterminer si c'était le bon plan de réduire les antérieurs avant de s'occuper de postérieures... ce qui m'a permis de choisir.
la phase 2 sera surement empreinte et nouveau wax

--
xbk
La connaissance s'acquiert par l'expérience, tout le reste n'est que de l'information." ALBERT EINSTEIN


S2y2o1v7q53ws4r5wy6ou8czrpom - Eugenol
pxav

12/07/2024 à 08h21

enlaye écrivait:
------

> La dent étant rasée en occlusal comme sur ton plâtre , libre à toi de faire ton
> wax au compo directement en bouche

dans ce cas, je pense faire des provisoires directement d'après le wax, après soins (dévitalisation suivant les dents)
--
xbk
La connaissance s'acquiert par l'expérience, tout le reste n'est que de l'information." ALBERT EINSTEIN


Vw campersurfvan bmnk1q - Eugenol
enlaye

12/07/2024 à 08h27

Mais , faire du grate grate sur le bloc ant ça c est facile tu peux te le faire à l émotif , pour le reste c est moins instinctif si tu ne sais où est la centrée.
Sinon ce serait trop facile , on ne serait que des encoleurs , des orthos ou des paros .


Vw campersurfvan bmnk1q - Eugenol
enlaye

12/07/2024 à 08h34

pxav écrivait:
----
" dans ce cas, je pense faire des provisoires directement d'après le wax, après soins (dévitalisation suivant les dents)"

Oui aussi , ce qui annule ta question de savoir si tu commences par le haut , le bas ou les 2 .



Vw campersurfvan bmnk1q - Eugenol
enlaye

12/07/2024 à 08h43

pxav écrivait:
----
"oui mais nous avions déjà fait un premier Wax-up , afin de déterminer si c'était le bon plan de réduire les antérieurs avant de s'occuper de postérieures... ce qui m'a permis de choisir.
la phase 2 sera surement empreinte et nouveau wax "

Ah je ne l avais pas vu ce post .
Ah bon ?? tu avais donc déjà pris des empreintes, et tu ne sais pas comment est son oim à cause de ta capote a ressort ??
Tu ne cacherais pas des infos au patron ? :-)
Coquinou que tu es :-))))



Vw campersurfvan bmnk1q - Eugenol
enlaye

12/07/2024 à 08h55

Bon aller , arrêtons de jouer , fais péter les modèles en occlusion :-)


S2y2o1v7q53ws4r5wy6ou8czrpom - Eugenol
pxav

12/07/2024 à 12h27


malheureusement, je n'ai pas fait de photos avant la préparation, je n'avais pas prévu de proposer ce cas sur nonol, mardi, je vais refaire des empreintes..

--
xbk
La connaissance s'acquiert par l'expérience, tout le reste n'est que de l'information." ALBERT EINSTEIN


Vw campersurfvan bmnk1q - Eugenol
enlaye

12/07/2024 à 12h57

pas grave , mais de souvenir , c etait quel genre de pb d occlusion ? ou même quelle style d occlusion , tout simplement .


Vw campersurfvan bmnk1q - Eugenol
enlaye

12/07/2024 à 13h57

Sinon tu as dit :
"oui mais nous avions déjà fait un premier Wax-up , afin de déterminer si c'était le bon plan de réduire les antérieurs avant de s'occuper de postérieures.."

Pas compris .
Pas compris en quoi un wax , qui est une simulation par addition , te permet de déterminer si tu dois ou pas limer des dents de phacochère.
Comment ça marche ?


S2y2o1v7q53ws4r5wy6ou8czrpom - Eugenol
pxav

12/07/2024 à 15h03

enlaye écrivait:
------

> Pas compris en quoi un wax , qui est une simulation par addition , te permet de
> déterminer si tu dois ou pas limer des dents de phacochère.
> Comment ça marche ?

non, pour les wax-up, ce n'est pas par addition, je meule les dents avant, c'est en gros une simulation de ce que je peux faire en bouche, en particulier de savoir ce que je pourrais ou non garder vivant, fonction de ce que j'enlève en volume et en axe.

et pour ce cas, pas d'augmentation (à priori) de la Dv, donc diminution, de la hauteur des incisives max. et mand., afin d'essayer de retrouver une ligne de sourire correcte ( qui soit agréable pour la patiente et surtout moins nocive).

Pour les postérieures, je n'ai touché à rien , à part légèrement 24 et 14, donc je referai des empreintes un peu plus tranquillement (j'avais peur, d'avoir quelques dents dans l'empreinte la première fois) et je pourrais enregistrer les différents paramètre de façon plus sérieuse.
--
xbk
La connaissance s'acquiert par l'expérience, tout le reste n'est que de l'information." ALBERT EINSTEIN


Vw campersurfvan bmnk1q - Eugenol
enlaye

12/07/2024 à 15h15

Un wax-down sans wax :-)


S2y2o1v7q53ws4r5wy6ou8czrpom - Eugenol
pxav

16/07/2024 à 18h24


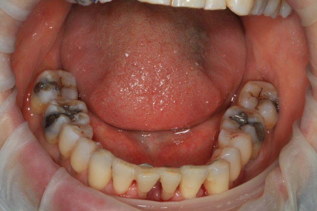
petit boulot de ce jour, "coronoplastie de sauvage", afin d'essayer de supprimer les contacts nocifs... ensuite endo 24/25/26.
en occlusion, ça parait moins destructeur, la suite mardi prochain.

--
xbk
La connaissance s'acquiert par l'expérience, tout le reste n'est que de l'information." ALBERT EINSTEIN

E4au2hgv5mv6bkv79t7ihknguv5h - Eugenol
I22m51sx61yhugikg6z78qhkd3oi - Eugenol
9ozvf8ibavgeh3k2dgrb08y7mnoq - Eugenol
878ynw9tbnvj4kvq2fwnuce82w25 - Eugenol

Vw campersurfvan bmnk1q - Eugenol
enlaye

17/07/2024 à 00h31

Ça avance bien ton histoire .
J aime bien ton meulage de 14,15 faces palatines pour la laisser partir àgauche .
Par contre comme je te l ai dit , simultanément j aurais aligné les crêtes proximales.
surtout dans des cas comme celui là où il y a des mylolyses bilatérales et une double occlusion.
Sur une occlusion qui ést du genre un coup a gauche , un coup a droite, son calage était au départ sur le secteur incisif.
Elle se servait du bloc ant comme un point d appuis pour se faire sa translation postérieure.
Le fait de ne pas supprimer les décalages de crête, alors que tu lui a enlevé son calage ant , et va faire du bruxisme centré ( serrage ') de compensation sur les crêtes les plus saillantes n ayant plus d engrenement suffisamment stable .

Au't chose , tu as diminué le recouvrement ant , c est bien , mais ce qui n empêche qu il faudrait biseauter les bords livres des incisives du bas et du haut .
Histoire qu elle puisse fermer en venant d une position moins axiale obligatoirement , comme avant . .
Supprimer du recouvrement ne voulant pas forcément dire supprimer du sur guidage .
d ailleurs je soulagerais aussi le verrouillage canin .

Bref on voit mieux sur ces photos que ce sera le haut qu il faudra couronner en fonction du bas qui lui n'est pas dégueulasse .
La stratégie ressemblant à de l expansion maxillaire avec bien du torque pour refaire les courbes , si c était en ortho .







.


S2y2o1v7q53ws4r5wy6ou8czrpom - Eugenol
pxav

17/07/2024 à 07h32

enlaye écrivait:
------

> J aime bien ton meulage de 14,15 faces palatines pour la laisser partir à gauche

il faudrait biseauter les bords livres des incisives du bas et du haut .

> Supprimer du recouvrement ne voulant pas forcément dire supprimer du sur guidage
> .
> d ailleurs je soulagerais aussi le verrouillage canin .

pour les canines c'est fait, au moins en partie,

> Bref on voit mieux sur ces photos que ce sera le haut qu il faudra couronner en
> fonction du bas qui lui n'est pas dégueulasse .
> La stratégie ressemblant à de l expansion maxillaire avec bien du torque pour
> refaire les courbes , si c était en ortho .
>
> c'est ce que j'ai prévu, mais le bilan paro est pire que ce que j'avais pressenti, hier elle était en phase, "hot" avec des secrétions purulentes sur quasiment toutes les poches, et mobilité augmentée par rapport à la semaine dernière.
Les endos sont un peu compliquées, ça rallonge le planning.

heureusement la patiente est parfaite au fauteuil, 3 h sans mouvement, c'est plus simple.

--
xbk
La connaissance s'acquiert par l'expérience, tout le reste n'est que de l'information." ALBERT EINSTEIN


Vw campersurfvan bmnk1q - Eugenol
enlaye

17/07/2024 à 08h19

" c'est ce que j'ai prévu, mais le bilan paro est pire que ce que j'avais pressenti, hier elle était en phase, "hot" avec des secrétions purulentes sur quasiment toutes les poches, et mobilité augmentée par rapport à la semaine dernière."

Pas grave c était prévisible :
Du fait que tu ais modifié les contacts occlusaux les dents en ont profité pour egresser d' où la mobilité augmentée.
C est le moment de tailler et de solidariser avec prov.
En taillant infra a mort jusqu a l os à la grain fin (sans congés bien sûr ) tu repars de neuf . Et tu reprécises une limite des prov a un niveau supra , bien sûr .
La fraise qui va bien aussi ,c est la fraise Touati avec la petite bille au bout . Tu te fais tout le tour des racines , et même des furcations , c est pratique .


Vw campersurfvan bmnk1q - Eugenol
enlaye

17/07/2024 à 08h23

Et puis comme ça tu seras bien obligé d aligner ces putains de crêtes marginales , têtu que t y es :-))


Vw campersurfvan bmnk1q - Eugenol
enlaye

17/07/2024 à 08h32

Lorsque tu extrais une dent, tu mets bien l élévateur en mesial , non ? Et tu le tournes pour faire monter la racine .
Et bien le décalage des crêtes marginales ça fait le même effet .
Surtout sur l arrière, proche de l axe charnière , lors des mouvements de serrements latéraux .


S2y2o1v7q53ws4r5wy6ou8czrpom - Eugenol
pxav

17/07/2024 à 10h25

enlaye écrivait:
------
Pas grave c était prévisible :
Du fait que tu ais modifié les contacts occlusaux les dents en ont profité pour egresser d' où la mobilité augmentée.

Le soucis c'est que le problème est apparu, avant que je ne touches les contacts...

> Et puis comme ça tu seras bien obligé d aligner ces putains de crêtes marginales
> , têtu que t y es :-))

l'avantage avec toi, c'est que tu commente les posts, avec précision souvent... l’inconvénient avec toi, c'est que quelques fois, tu commentes fonction de ce que tu penses détecter, mais trop vite, les crêtes marginales, sont la première chose que j'ai rectifié, ce n'est pas forcement visible sur les photos, mais c'est en partie fait...


--
xbk
La connaissance s'acquiert par l'expérience, tout le reste n'est que de l'information." ALBERT EINSTEIN


Dentarue

17/07/2024 à 10h39

Il ne doute jamais, c’est à ça qu’on le reconnait ☝️


12345...