Cookie Consent byPrivacyPolicies.comun truc un peu compliqué... - Eugenol
Vw campersurfvan bmnk1q - Eugenol
enlaye

17/07/2024 à 11h46

Eh fermes la trompette retournes limer ça te fera du bien .


bouboule

17/07/2024 à 11h47

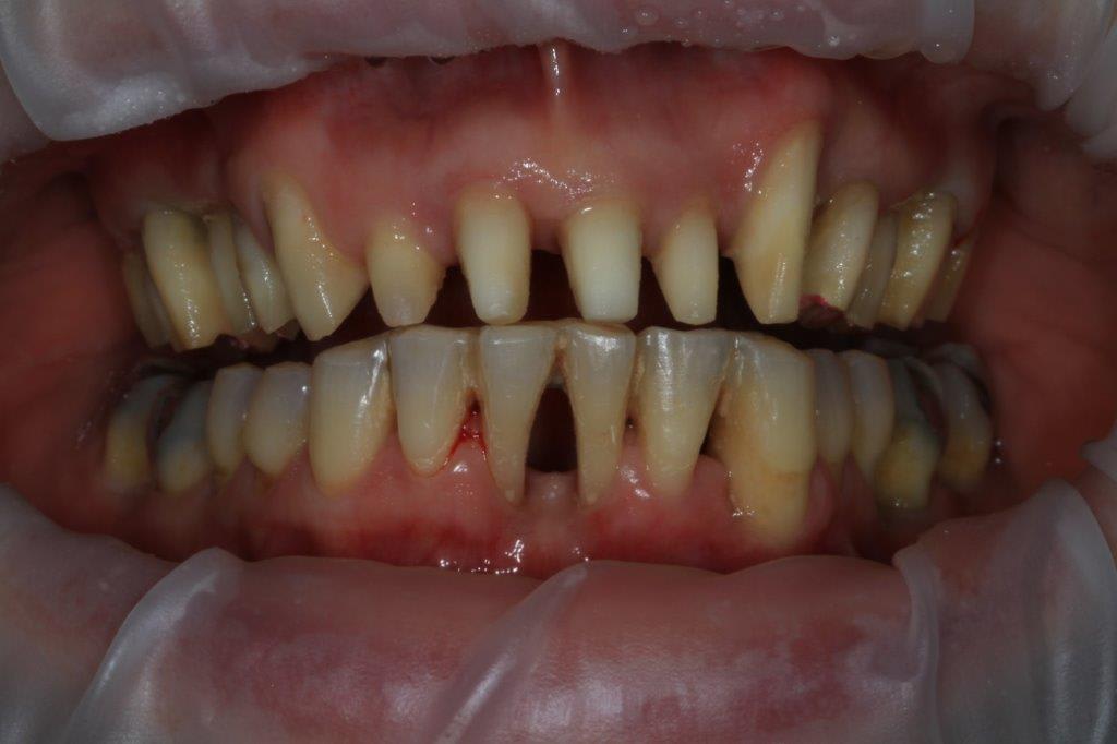
Moi ce qui me chiffonne, c’est que toutes ces heures passées au fauteuil “usent” la capacité de compliance du patient. Vu ce que tu décris de la paro ( malgré l’utilisation de la poudre de perlimpinpin) ça ne sent pas bon du tout.
Alors même si le château de carte tient un an ou deux ( ce qui sera déjà une belle prouesse), je suis curieux de savoir comment tu vas expliquer au patient qu’après X heures à se faire suer la dernière fois, il faut remettre le couvert…
Faire de l’occluso sur des supports mouvants, c’est pas gagné…


Vw campersurfvan bmnk1q - Eugenol
enlaye

17/07/2024 à 11h48

"les crêtes marginales, sont la première chose que j'ai rectifié, ce n'est pas forcement visible sur les photos, mais c'est en partie fait..."

Tu vois quand tu veux :-))

Au fait , l alignement des crêtes marginales concerne aussi le bloc ant , je dis ça au cas où.


Vw campersurfvan bmnk1q - Eugenol
enlaye

17/07/2024 à 12h01

bouboule écrivait:
--------
" Faire de l’occluso sur des supports mouvants, c’est pas gagné…"

C est que c est plus facile sur des supports mouvements et c est tjs un bénéfice sur l avenir surtout si tu as l intention de poser des implants .

Si par le fait d équilibrer ,(et ou de faire des prov) , les dents ne bougent plus , ce sera ta validation du schéma occlusal que tu prendras pour ta reconstruction implantaire .
Ce n est pas perdu .
De plus une stimulation occlusale avec de bons rapports , stimule l os .
Donc ce n est pas du temps perdu si tu aimes dormir tranquille .
D autant plus que ça peut aller très vite .





S2y2o1v7q53ws4r5wy6ou8czrpom - Eugenol
pxav

17/07/2024 à 12h10

bouboule écrivait:
--------
> Moi ce qui me chiffonne, c’est que toutes ces heures passées au fauteuil “usent”
> la capacité de compliance du patient. Vu ce que tu décris de la paro ( malgré
> l’utilisation de la poudre de perlimpinpin) ça ne sent pas bon du tout.
> Alors même si le château de carte tient un an ou deux ( ce qui sera déjà une
> belle prouesse), je suis curieux de savoir comment tu vas expliquer au patient
> qu’après X heures à se faire suer la dernière fois, il faut remettre le couvert…
> Faire de l’occluso sur des supports mouvants, c’est pas gagné…

Avant moi, la patiente en a consulté d'autres et elle n'a eu que des : "on vire tout puisque c'est perdu, et on met des implants".
Le problème étant qu'aucun n'a cherché a savoir pourquoi tout foutait le camp.

donc elle m'a donné son accord pour tenter d'assainir tout ça, étant bien précisé que je ne suis pas magicien et que les chances que ça fonctionne sont très mince.
Mais si j'arrive a assainir et qu'il faut extraire ensuite, le terrain sera plus favorable pour éventuellement implanter, enlaye a tout à fait raison...
--
xbk
La connaissance s'acquiert par l'expérience, tout le reste n'est que de l'information." ALBERT EINSTEIN


S2y2o1v7q53ws4r5wy6ou8czrpom - Eugenol
pxav

17/07/2024 à 16h59

modèles de départ, photos avec le téléphone, désolé, mais ça donne une petite idée


--
xbk
La connaissance s'acquiert par l'expérience, tout le reste n'est que de l'information." ALBERT EINSTEIN

Xucw57zjltech74qtv96u1msdjci - Eugenol
30936j12i9xeom79sa7k2shqh2yn - Eugenol
Pb9omp1j9e3aff7t9orfa7g5od9y - Eugenol
0walzntd84d52oji75uxow5w7cum - Eugenol
Xfodj7p2wnn01riddfl2g3kbpdhg - Eugenol
Co4v7g8su295ffqlnqoveluqsmev - Eugenol
9jvca0xbf8d55js59jb0v4u7gkgg - Eugenol
J3t21a49ldyewyr3wv5n5ggsr9io - Eugenol

S2y2o1v7q53ws4r5wy6ou8czrpom - Eugenol
pxav

17/07/2024 à 17h12

une idée du wax pour le maxillaire, mais ça ne me plait pas trop...


--
xbk
La connaissance s'acquiert par l'expérience, tout le reste n'est que de l'information." ALBERT EINSTEIN

C7u4m8uc416bcvdta83ummd9dcp5 - Eugenol
H2qvtj5au02uqwqbfstbigz7lrly - Eugenol
Mqjpetsxkkwa7xcwus6icxbw6npb - Eugenol
It6andegxu0ta896atrxgafceecq - Eugenol

Vw campersurfvan bmnk1q - Eugenol
enlaye

17/07/2024 à 17h48

C est quoi qui ne te plaît pas trop ?
Et ça va servir à quoi ?


S2y2o1v7q53ws4r5wy6ou8czrpom - Eugenol
pxav

17/07/2024 à 17h56


à faire le provisoir
dents un peu grosses?
courbe un peu plate...je reflechis

--
xbk
La connaissance s'acquiert par l'expérience, tout le reste n'est que de l'information." ALBERT EINSTEIN


Vw campersurfvan bmnk1q - Eugenol
enlaye

17/07/2024 à 18h13

Hummm , non c est pas mal .
Les courbes vont arriver toutes seules lors de l equilibration .
Au moins tu pourras taper dedans .

Quitte a rebaser les faces occlusales au compo en isolant le bas avec tu Teflon .
Ça c est beaucoup plus rapide pour retrouver une bonne position bien centrée , que de commencer à gratter par ci par là et encore ici et un p'tit peu derrière pcq on ne sait jamais , au cas où ....


S2y2o1v7q53ws4r5wy6ou8czrpom - Eugenol
pxav

17/07/2024 à 18h18

punaise, j'ai l'accord du chef :-))
merci préparation un peu longue mais ça devrait aller.


--
xbk
La connaissance s'acquiert par l'expérience, tout le reste n'est que de l'information." ALBERT EINSTEIN


Vw campersurfvan bmnk1q - Eugenol
enlaye

17/07/2024 à 18h30

Un truc qui est rigolo , c est de faire faire par le labo une gouttière de blanchiment bien fine sur la forme de ton wax .
Comme ça tu t' en sers d' un moule en occlusion .
et puis tu peux t en servir plusieurs fois au fur a mesure de ta cicatrisation Paro ou de tes modifs des dents du bas ou de tes tailles .
Ça te met moins la pression pour tes tailles de 1 ère intention.


S2y2o1v7q53ws4r5wy6ou8czrpom - Eugenol
pxav

17/07/2024 à 19h42

j'ai prévu, sous réserve d'y arriver, de faire une taille de moignons quasiment parallèle, et de faire les provisoires pm/m simplement clipsés, sans ciment, ou très peu de façon à pouvoir si besoin déposer pour finir les soins (endos ou résine) .
Si j'y arrive, l'idéal serait que j'arrive a faire ça en complet, mais ????


--
xbk
La connaissance s'acquiert par l'expérience, tout le reste n'est que de l'information." ALBERT EINSTEIN


Vw campersurfvan bmnk1q - Eugenol
enlaye

17/07/2024 à 20h05

Tu peux le faire :-))


bouboule

10/09/2024 à 15h32

Des nouvelles de ce cas pxav?


S2y2o1v7q53ws4r5wy6ou8czrpom - Eugenol
pxav

10/09/2024 à 16h32

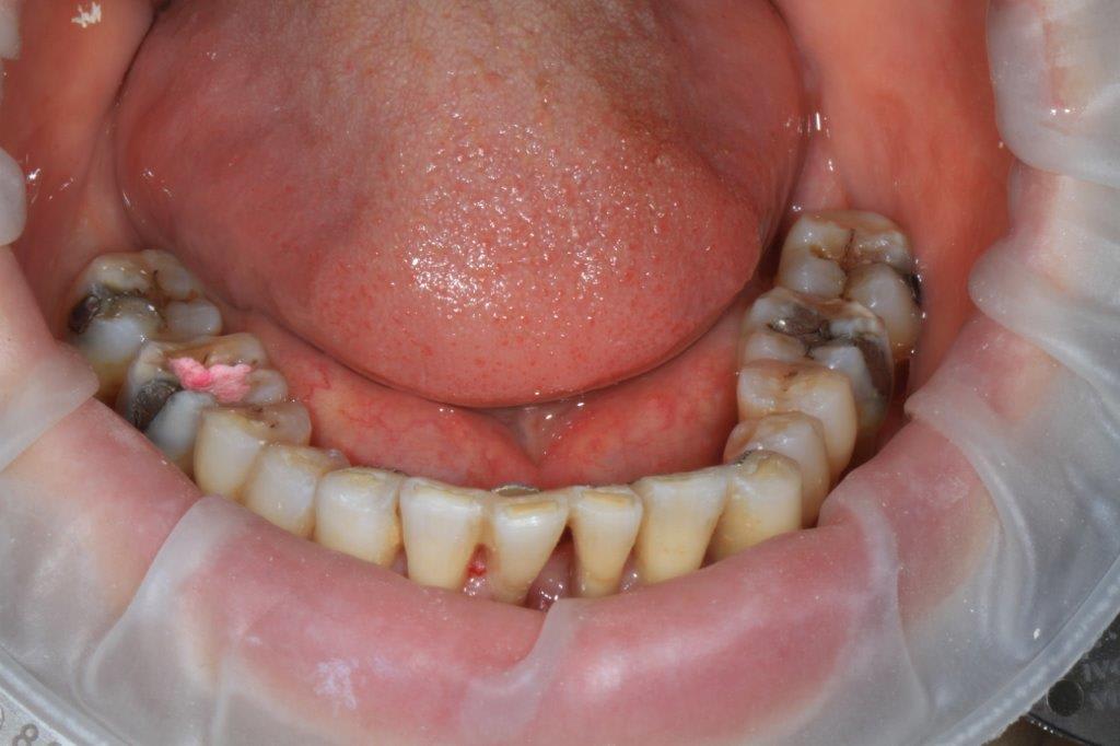
retour de vacances et reprise ... Un mois sans voir la patiente, ça permet de contrôler l'hygiène et la motivation.
Toujours un petit suintement purulent sur 33 et 16, mais globalement rien à voir avec le début.
Les provisoires sur les antérieures maxillaire n'ont pas bougées, ce qui est rassurant.
J'ai retouché les contacts 14/44/43 et 24/34/33 car il y a toujours une légère surcharge
photos avec le portable, pas terrible.



--
xbk
La connaissance s'acquiert par l'expérience, tout le reste n'est que de l'information." ALBERT EINSTEIN

1rit8079f1p61bw9hhl0261ebh61 - Eugenol
F8bph3ccsvzvtfi520ji3h3eltmx - Eugenol
S1zp9t5eofvfhg4ugit6drk4bk8x - Eugenol

sofica

21/09/2024 à 21h17

Tu peux expliquer ??


S2y2o1v7q53ws4r5wy6ou8czrpom - Eugenol
pxav

21/09/2024 à 23h10

expliquer?
ça continue son petit chemin, avec l'envie de trouver une bouche un peu plus saine, avec un avenir au moins à moyen terme.
étape suivante taille complète du max.sup et bridge (enfin prothèse) provisoire résine d'après le wax-up.
et si possible arrêter les poches infectées.



--
xbk
La connaissance s'acquiert par l'expérience, tout le reste n'est que de l'information." ALBERT EINSTEIN


S2y2o1v7q53ws4r5wy6ou8czrpom - Eugenol
pxav

01/10/2024 à 17h15

on avance, la patiente est appliquée et commence à gérer le brossage
les différents traitements (endo, détartrages, curetage des poches, bétadine et birodogyl 20 jours, commencent à porter leurs fruits, plus de suintements purulent ...et réduction de la mobilité ...
taille du haut et "bridge" complet provisoire en résine d'après le wax-up...
si tout est "calme" prochaine étape armature métal de contention qui sera recouverte d'Emax press.

mais d'abord quels soins à finir.. ...


--
xbk
La connaissance s'acquiert par l'expérience, tout le reste n'est que de l'information." ALBERT EINSTEIN

Lkrqiypi5ohrh7aanq6pr1d0w9xn - Eugenol
Bbkywht3upmfsszl9biymr44vc1w - Eugenol
Ax2xi811l1skuw4jiooez9n7za1f - Eugenol
Vev3qieyu5lamqjpy2s93mpazn8s - Eugenol
4qxx308pi67cv3hq89d96sbfr44f - Eugenol
V7ea50gviw8we8bdwi0a9dro0cuy - Eugenol
Nh5l70nwv99yiu62cznxqfmjgr3f - Eugenol
W1xue7lkjznbgweljqt8gkzvfxe4 - Eugenol
3lei1wj5n0htzchh3c6wq4tdbh29 - Eugenol
Phdkzxz28jlo93i8ubvca9xaxyzm - Eugenol

S2y2o1v7q53ws4r5wy6ou8czrpom - Eugenol
pxav

03/10/2024 à 13h44

pas d'avis enlaye?


--
xbk
La connaissance s'acquiert par l'expérience, tout le reste n'est que de l'information." ALBERT EINSTEIN


Vw campersurfvan bmnk1q - Eugenol
enlaye

03/10/2024 à 13h56

T ain trop bon , j allais faire la sieste et t arrives .
Vais chercher mes lunettes.


Vw campersurfvan bmnk1q - Eugenol
enlaye

03/10/2024 à 14h02

Yesss , il bon le vieux ! :-))
Ça me plaît, tu me donnes envie de tailler cette aprem :-)


Vw campersurfvan bmnk1q - Eugenol
enlaye

03/10/2024 à 14h05

Pas sûr que les antibios étaient nécessaires, quand tu assainis bien comme il faut comme ici .


Et7jtaj0pdi18gzjlxjiamlx15gs - Eugenol
Prunelles

03/10/2024 à 14h45

pxav écrivait:
----
> si tout est "calme" prochaine étape armature métal de contention qui sera recouverte d'Emax press.

Moi j'ai des questions :
On voit pas très bien sur tes photos, mais j'ai pas l'impression de voir de congé sur tes préparations.
Préparation en simple dépouille ?
Tu n'as pas peur du rendu esthétique avec l'Emax si tu laisse pas plus de place à ton proto ?
Tu as prévu de reprendre ton congé par la suite ?


S2y2o1v7q53ws4r5wy6ou8czrpom - Eugenol
pxav

03/10/2024 à 15h14

enlaye écrivait:
------
> Pas sûr que les antibios étaient nécessaires, quand tu assainis bien comme il
> faut comme ici .

Je prescrit peu, mais là, depuis le 16 Juillet, premier "nettoyage" je n'avais aucune amélioration, sur3 poches (16/33/46) donc le 17 Septembre j'ai prescrit le Birodogyl, 1 matin et 1 le soir pour 20j, et 15 jours après plus de suppuration.

effet placebo ou pas, le principal est que ce soit sain.
--
xbk
La connaissance s'acquiert par l'expérience, tout le reste n'est que de l'information." ALBERT EINSTEIN


1...456...