Cookie Consent byPrivacyPolicies.comun truc un peu compliqué... - Eugenol
S2y2o1v7q53ws4r5wy6ou8czrpom - Eugenol
pxav

03/10/2024 à 15h19

enlaye écrivait:
------
> Yesss , il bon le vieux ! :-))
> Ça me plaît, tu me donnes envie de tailler cette aprem :-)

ça me plait aussi, mais cette aprem, ce sera encore détartrage, mais mécanique , le moteur du jouet chauffe un peu alors détartrage du radiateur :-))
--
xbk
La connaissance s'acquiert par l'expérience, tout le reste n'est que de l'information." ALBERT EINSTEIN

Mfjuqo30sixo09ier030a6fnr3ou - Eugenol

Vw campersurfvan bmnk1q - Eugenol
enlaye

03/10/2024 à 15h33

Prunelles , il n en est pas à l empreinte encore , a tous les coups il va y avoir d autres séances de tailles .
là il a mangé le mouton , maintenant il va chier la laine :-) .


S2y2o1v7q53ws4r5wy6ou8czrpom - Eugenol
pxav

03/10/2024 à 15h36

Prunelles écrivait:
---------

> Moi j'ai des questions :
> On voit pas très bien sur tes photos, mais j'ai pas l'impression de voir de
> congé sur tes préparations.
> Préparation en simple dépouille ?
> Tu n'as pas peur du rendu esthétique avec l'Emax si tu laisse pas plus de place
> à ton proto ?
> Tu as prévu de reprendre ton congé par la suite ?

Bien vu, effectivement pas de congé...le but primaire était de "tailler" tout de dépouille (14 dents, ça pique un peu les yeux ) afin de pouvoir faire le provisoire résine d'après le wax-up, avec une empreinte élastomère du wax-up et mise en place directement en bouche.
si le parallélisme est mauvais, la résine reste en bouche et....galère.
là, le provisoire est réussi du premier coup, et même si il n'est pas joli, après 15 jours en bouche (sans ciment) il n'y a aucun problème, je peux le déposer pour travailler et le remettre en place, pour la semaine qui suit.
pour la suite, je pense faire une taille avec un congé, mais à mi-hauteur des moignons, afin de faire la partie métal qui reliera les 14 dents, et recevra les Emax. (3 par trois avec mini congés aussi .
en général ces prothèses à "étages" ont un rendu esthétique correcte.


--
xbk
La connaissance s'acquiert par l'expérience, tout le reste n'est que de l'information." ALBERT EINSTEIN


S2y2o1v7q53ws4r5wy6ou8czrpom - Eugenol
pxav

03/10/2024 à 15h37

enlaye écrivait:
------
> Prunelles , il n en est pas à l empreinte encore , a tous les coups il va y
> avoir d autres séances de tailles .
> là il a mangé le mouton , maintenant il va chier la laine :-) .

effectivement, tu connais... tu peux retourner à ta sieste...

--
xbk
La connaissance s'acquiert par l'expérience, tout le reste n'est que de l'information." ALBERT EINSTEIN


Et7jtaj0pdi18gzjlxjiamlx15gs - Eugenol
Prunelles

03/10/2024 à 16h11

Merci pour les explications. Je comprends mieux ton protocole à présent. 👍


S2y2o1v7q53ws4r5wy6ou8czrpom - Eugenol
pxav

11/12/2024 à 12h32



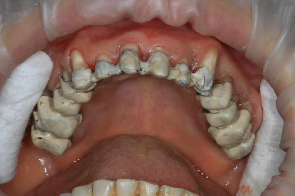
un peu de nouvelles, 6 mois, et elle a toujours toutes ses dents...fabrication armature métal, essayage avant découpe des vestibulaire pour laisser la place aux Emax (par 2 ou 3) , maquillage à l'opaque, essayage des emax "biscuit" avant la pose finale d'abord de l'armature puis des cerams. Equilibration, et reste à attendre que la gencive se place pour les photos ...
--
xbk
La connaissance s'acquiert par l'expérience, tout le reste n'est que de l'information." ALBERT EINSTEIN

Gd8cfo2dpfwlidst3p72dawf0q79 - Eugenol
5hu90ng2luctx2k8f9b6ywaofsfk - Eugenol
Uavzworz21ar1s3r5rpitbq2n0na - Eugenol
4y819cbbmi6244o1bt8d79beyw4f - Eugenol
07bhquolu0ep5b21vfnrnyc1zg88 - Eugenol
Xiu7smiqy0x3li29mrvy1m8gsjfh - Eugenol
Rab4nccgn6h63ea70f5xxeptzc1i - Eugenol

burnax

11/12/2024 à 15h43

Je ne comprends pas la photo numéro 5, avec une armature vestibulaire réduite à 50%, sur le point de vue prothésiste et adhésion céramique.merci


burnax

11/12/2024 à 15h45

Pourquoi passer de la photo 2 armature à 5 ?


Avatar transparent iqadnc - Eugenol
adhoc

11/12/2024 à 17h10

>Je ne comprends pas la photo numéro 5, avec une armature vestibulaire réduite à 50%


Utilisateur banni

11/12/2024 à 18h23

L'affaire est arrivé au bout du traitement. L'hygiène c'est nettement amélioré. Merci de présenter un cas clinique sur nonol.

As tu une idée du temps pour arriver à ce résultat ?


S2y2o1v7q53ws4r5wy6ou8czrpom - Eugenol
pxav

11/12/2024 à 18h25

burnax écrivait:
------
> Je ne comprends pas la photo numéro 5, avec une armature vestibulaire réduite à
> 50%, sur le point de vue prothésiste et adhésion céramique.merci

je suppose que l'armature à l'essayage (photos 1 et 2) peut faire penser à une armature de céramométallique, mais ce n'est pas le cas, il s'agit uniquement d'une armature "attelle" de contention, et les ceamoceram (Emax press) sont scellées dessus l'ensemble métal/dents, ce qui permet une finition plus esthétique, mais surtout biologiquement plus sympa pour le parodonte.
et surtout, très gros avantage en cas de fracture d'un élément, il suffit de changer la ceram, ce qui est très simple, contrairement à 14 éléments ceramométalique ou à du zircone qui bien sûr est incassable...

je n'ai pas de photos ici des éléments ceram, ce serait plus facile à comprendre.

le coté "crado" de l'armature scellée, est le fait de l'opaque (résine) rajouté pour cacher la partie métal sur les retouches .
le plus compliqué est de soigner la liaison au niveau de espaces interdentaire, là les brossettes passent partout.

xbk
La connaissance s'acquiert par l'expérience, tout le reste n'est que de l'information." ALBERT EINSTEIN


S2y2o1v7q53ws4r5wy6ou8czrpom - Eugenol
pxav

11/12/2024 à 18h32

posit écrivait:
-----
> L'affaire est arrivé au bout du traitement. L'hygiène c'est nettement amélioré.
> Merci de présenter un cas clinique sur nonol.
>
> As tu une idée du temps pour arriver à ce résultat ?


ce n'est pas le bout du traitement, la mandibule à besoin de travail.

1er rdv 11/06 pose 11/12 donc 6 mois, 3 mois de provisoire. Prothèse à l'ancienne empreintes élastomère, wax up à la cire, provisoires par moulage du wax up.

toujours sympa de présenter des cas avec un traitement "compliqué" car heureusement il y a encore des critiques positives ce qui permet de réfléchir et d'ajuster le programme fonction des avis..
--
xbk
La connaissance s'acquiert par l'expérience, tout le reste n'est que de l'information." ALBERT EINSTEIN


Utilisateur banni

11/12/2024 à 19h50

.


bouboule

11/12/2024 à 20h32

Ça prend bonne tournure! Et niveau paro ça semble aller mieux. Le seul truc que j’aime pas trop dans ce type de traitement , c’est que le jour où ça va foirer, ça va foirer en grand… si c’est dans 10 ans impeccable. Si c’est dans 2 , pas sûr que le temps passé et l’argent dépensé vaille le coup…
Notre métier est frustrant, il faudrait une boule de cristal pour se décider avant le début des traitements… réponse dans quelques années ou plus!
Mais techniquement c’est beau, bravo.


S2y2o1v7q53ws4r5wy6ou8czrpom - Eugenol
pxav

11/12/2024 à 20h38


Merci,
Pour une prévision de durée, il faudra patienter un peu, mais si je ne me suis pas trompé sur l'origine des problèmes paro (occlusion), en dehors de l'hygiène, et si j'obtiens un équilibre satisfaisant, je suis assez confiant.

--
xbk
La connaissance s'acquiert par l'expérience, tout le reste n'est que de l'information." ALBERT EINSTEIN


bouboule

11/12/2024 à 20h52

🤞


Vw campersurfvan bmnk1q - Eugenol
enlaye

12/12/2024 à 22h34

J avoue que je n' ai pas bien compris comment vont tenir les emax .
Tu les scelles d accord , mais avec le scellement moitié fer moitié dent j ai du mal a comprendre pourquoi les chappes métal ne feraient pas un effet de coin au niveau des faces occlusales .
De même comment faire des emax avec les contre dépouilles dues aux arrêt des chappes ?
Bref finalement je n' ai rien compris en fait :-)


Vw campersurfvan bmnk1q - Eugenol
enlaye

12/12/2024 à 22h42

Sinon , je ne me fais pas de soucis sur l évolution de ta reconstruction .
Surtout , surtout si tu lisses bien les faces palatines des incisives au niveau des crêtes Proximales pour éviter les accroches ( ça on en avait déjà parlé) et si tu desocluses les molaires en vestibulaire pour éviter le côté verrouillant en latéral a la fermeture ( on en avait déjà parlé aussi )


S2y2o1v7q53ws4r5wy6ou8czrpom - Eugenol
pxav

12/12/2024 à 22h49

😁😁😁
Pour supprimer les contre dépouille, je meule en partie la face vestibulaire, de l'armature métal, puis une fois remise sur le modèle de travail, on comble avec de la resine, puis fabrication des cires pour les emax l. Mise en pressée.
Essayage en bouche armature + emax la prothésiste note les éventuelles corrections, collées, espaces interdentaire...etc
Pour finir je scellé l'armature métal, et reproduit en bouche les masques de contre dépouille en résine, puis maquillage à l opaque, d'où l'aspect crado de l'armature.
Les emax sont traités acide et scellement classique.
Un peu compliqué mais pas de soucis de collage ni de contact avec l'armature.
Si tu ne comprends pas, c'est normal, je n'explique pas trop bien, en photos ce sera plus facile, j'essaierai.



--
xbk
La connaissance s'acquiert par l'expérience, tout le reste n'est que de l'information." ALBERT EINSTEIN


Vw campersurfvan bmnk1q - Eugenol
enlaye

12/12/2024 à 23h18

Ce que tu racontes n est pas à la portée de tout le monde pcq là , il te faut un labo d hyper- proximité, un travail d équipe .
un truc qui n existe plus .


S2y2o1v7q53ws4r5wy6ou8czrpom - Eugenol
pxav

13/12/2024 à 00h47



😢
--
xbk
La connaissance s'acquiert par l'expérience, tout le reste n'est que de l'information." ALBERT EINSTEIN


Dentarue

13/12/2024 à 07h48

On ne voit que la partie émergée ☝️


Et7jtaj0pdi18gzjlxjiamlx15gs - Eugenol
Prunelles

13/12/2024 à 07h59

Si je comprends bien, tu fais de la « prothèse fixe plurale télescopique scellée » ?
Oui en fait c’est simple… 😵‍💫


S2y2o1v7q53ws4r5wy6ou8czrpom - Eugenol
pxav

13/12/2024 à 08h11

Prunelles écrivait:
---------
> Si je comprends bien, tu fais de la « prothèse fixe plurale télescopique
> scellée » ?
> Oui en fait c’est simple… 😵‍💫

Effectivement super simple, le plus dur c'est de gérer le stress de la prothésiste qui n'a aucune confiance dans mes choix, et est très "ça ne marchera jamais "😆😆😆
--
xbk
La connaissance s'acquiert par l'expérience, tout le reste n'est que de l'information." ALBERT EINSTEIN


Vw campersurfvan bmnk1q - Eugenol
enlaye

13/12/2024 à 08h31

Dentarue écrivait:
--------
"On ne voit que la partie émergée ☝️"

Plus le PB paro est important plus l endo est facile .
eh oui :-)


1...567...