Cookie Consent byPrivacyPolicies.comun truc un peu compliqué... - Eugenol
S2y2o1v7q53ws4r5wy6ou8czrpom - Eugenol
pxav

15/12/2024 à 12h11

zoulman écrivait:
-------
> 20 jours de birodogyl c’est énorme, une ref pour ce protocole ?
> Tu l’utilise sous dosé ou tu double selon les recommandations ?

1 matin 1 le soir, c'était la norme il y a 20 ans pour les soucis paro, plus du tout d'actualité maintenant, mais dans ce cas là, je tournais vraiment en rond avec une collection purulente sur 33/32 46 16/15 , malgré les différents traitements.
Et donc en dernier ressort ... et ouf, résultat impeccable.
--
xbk
La connaissance s'acquiert par l'expérience, tout le reste n'est que de l'information." ALBERT EINSTEIN


S2y2o1v7q53ws4r5wy6ou8czrpom - Eugenol
pxav

15/12/2024 à 12h36

enlaye écrivait:
------
> Vu qu il y avait un pb paro majeur , ce qui serait intéressant que tu nous dises
> , c est quel type de préparations tu as fait pour t adapter à ce cas paro .
> Par exemple est ce que tu as fait un curetage rotatif en même temps ? Comment as
> tu geré le positionnement des limites et en fonction de quels critères ?
>
> Bref on veut tout savoir sur ce que tu as fait avec tes doigts :-) et du nombres
> de séances et de temporisations .
> Et tes réflexions associées bien sûr .

de mémoire, parce que je ne note pas tout, hélas, détartrage, ultrason , en tenant les dents avec la main gauche tellement ça bougeait, irrigation bétadine, passage de brossettes dans les poche pour bien faire pénétrer la betadine. Motivation, +++, prescription brossage à l'érythritol, mais au bout d'un mois, ça lui donnait des nausées donc elle a arrêté... Les séances étaient de 2 à 3 heures chaque mardi, avec endo, curetage manuel au maximum, cotons imbibés d'hypochlorite sur les racines trop infectées ....re motivation, re curetage rinçage etc attelle 33/43 des le début (en conservant pour le moment 41/42).
provisoire ( moulage d'après le Waxup) pour 13/23 après avoir réduit quasiment les 2/3 de la hauteur.
provisoire 17/14 et 27/24 idem, qui m'ont permis de constater que les meulage sélectifs n'étaient pas correct tant que les provisoires cassaient au niveau des pm.
ensuite provisoire 17/27 posé sans ciment uniquement en friction ...la patiente les a porté quasiment 3 mois avec contrôle régulier, détartrage d'entretien, et rappel motivation....
essayage des différents stade de prothèse ...
Pose du Haut, et programmation pour le bas....
j'en oubli surement mais ça viendra
--
xbk
La connaissance s'acquiert par l'expérience, tout le reste n'est que de l'information." ALBERT EINSTEIN


Vw campersurfvan bmnk1q - Eugenol
enlaye

15/12/2024 à 17h42

Ah oui , donc tu as dissocié le ttt des gencives et des ttt prothétiques .
Tu as d abord assaini par nettoyage et par la chimie puis seulement après , tu as placé tes limites de tailles , c est ça ? .
Si tu choisis cet ordre , je comprends mieux ta chimistration .


S2y2o1v7q53ws4r5wy6ou8czrpom - Eugenol
pxav

15/12/2024 à 18h02

enlaye écrivait:
------
> Ah oui , donc tu as dissocié le ttt des gencives et des ttt prothétiques .
> Tu as d abord assaini par nettoyage et par la chimie puis seulement après ,
> tu as placé tes limites de tailles , c est ça ? .
> Si tu choisis cet ordre , je comprends mieux ta chimistration .

Tout à fait patron😀
--
xbk
La connaissance s'acquiert par l'expérience, tout le reste n'est que de l'information." ALBERT EINSTEIN


Vw campersurfvan bmnk1q - Eugenol
enlaye

15/12/2024 à 22h32

Je trouve que c est un abord un peu passif :
- en considérant que tu penses qu il y aurait une incidence occlusale a cet aspect parodontal , ne pas supprimer une étiologie c est dommage.
- en nettoyant l habitat des bactéries alors que de toute façon il sera en partie détruit par les tailles pourquoi ne pas détruire l habitat d emblée en le supprimant ? . un peu comme le ferait le paro des années 80 avec le Wildman modifié .en l appliquant a la prothèse fixe donc à la fraise et non au bistouri.

Tout ceci afin d' éviter toute chimie et tout prémédication . Apparemment on a un abord totalement différent pour un final équivalent.


Vw campersurfvan bmnk1q - Eugenol
enlaye

15/12/2024 à 22h46

On retrouve cet esprit de chimistration dans l évolution des ttt occlusaux .
Il y a eu les meulages , puis les gouttières, maintenant la prise en charge kiné et comportementale et le futur prévu est médicamenteux .
Évidemment je suis plus pour les meulages ( ou addition ce qui est la même chose , hein) considérant que les autres ttt vont plutôt aux praticiens écolos indécis qui tournent et virent sans implication.
Tac tac badaboum quoi :-)


S2y2o1v7q53ws4r5wy6ou8czrpom - Eugenol
pxav

16/12/2024 à 07h56

enlaye écrivait:
------
> On retrouve cet esprit de chimistration dans l évolution des ttt occlusaux .
> Il y a eu les meulages , puis les gouttières, maintenant la prise en charge kiné
> et comportementale et le futur prévu est médicamenteux .

que ce soit en endo, en implanto, ou autre il y a toujours des "innovations" qui ne sont souvent que des adaptations, et un besoin de mettre son nom sur LA technique idéale. La paro est le terrain idéale pour ça, puisque le terrain est compliqué et mouvant. En général, il y a toujours le coté pognon qui dicte tout ça.


> Évidemment je suis plus pour les meulages ( ou addition ce qui est la même chose
> , hein) considérant que les autres ttt vont plutôt aux praticiens écolos indécis qui tournent et virent sans implication.
> Tac tac badaboum quoi :-)

Attention Enlaye tu es en train de vieillir....

Pour en revenir au cas, je pense que les meulages sont intervenus des la 2eme séance, car il me paraissait important de ne pas reproduire les traitements paros que les confrères avaient fait (chirurgie etc) et qui ne résolvaient pas le problème, l'occlusion étant je crois (et j’espère ) le facteur principal.

--
xbk
La connaissance s'acquiert par l'expérience, tout le reste n'est que de l'information." ALBERT EINSTEIN


Dentarue

16/12/2024 à 08h27

Croire et espérer c’est bien, enfin je crois (et j’espère).


RépondreCiter
S2y2o1v7q53ws4r5wy6ou8czrpom - Eugenol
pxav

16/12/2024 à 08h39

Dentarue écrivait:
--------
> Croire et espérer c’est bien, enfin je crois (et j’espère).

l'espoir est fondé sur un sentiment de possibilité, tandis que le souhait est plus fantasmatique .
--
xbk
La connaissance s'acquiert par l'expérience, tout le reste n'est que de l'information." ALBERT EINSTEIN


Vw campersurfvan bmnk1q - Eugenol
enlaye

16/12/2024 à 08h57


:-)

?si=nBXcqZv8fkBD-0dk


S2y2o1v7q53ws4r5wy6ou8czrpom - Eugenol
pxav

16/12/2024 à 10h31


OSS 117 - le cycle de la vie...

--
xbk
La connaissance s'acquiert par l'expérience, tout le reste n'est que de l'information." ALBERT EINSTEIN


Vw campersurfvan bmnk1q - Eugenol
enlaye

16/12/2024 à 18h58

" l'occlusion étant je crois (et j’espère ) le facteur principal. "

Oui c est fort possible d ailleurs sinon , quoi d autre ?
Donc soyons plus précis quand au changement d occlusion ,j' en déduis que tu as reconstruit en centrée .
La Centrée étant la position de fermeture réiterable pour que tu puisses vérifier chaques étapes de la même façon .
On est d accord ?


S2y2o1v7q53ws4r5wy6ou8czrpom - Eugenol
pxav

16/12/2024 à 19h22

enlaye écrivait:
------

> Donc soyons plus précis quand au changement d occlusion ,j' en déduis que tu as
> reconstruit en centrée .
> La Centrée étant la position de fermeture réiterable pour que tu puisses vérifier chaques étapes de la même façon .
> On est d accord ?


tu raisonnes, en suivant une logique basée sur tes appris, ce qui te permet d’être compris.
Je suis très bordel et ça joue fatalement sur ma gestion des cas.

Donc là, j'ai procédé par meulage (assez énergique), pour dans un premier temps supprimer tout ce qui semblait générer une force parasite, dans tout les mouvements, afin de stopper le processus de destruction du parodonte.

ça me permet de trouver la position "de confort" du patient, qui en principe va correspondre à sa centrée, mais honnêtement je n'attaque pas en me disant "il me faut la centrée!".

En gros, comme Monsieur Jourdain faisait de la prose, sans le savoir, je fais de la centrée sans le savoir...

et bien évidement ce n'est qu'au bout de plusieurs séances que le résultat est satisfaisant.



--
xbk
La connaissance s'acquiert par l'expérience, tout le reste n'est que de l'information." ALBERT EINSTEIN


Vw campersurfvan bmnk1q - Eugenol
enlaye

16/12/2024 à 20h46

Oui , c est ça, sa position de confort , c est sa centrée.
En effet habituellement s il y a une interférence , c est la mandarine qui bouge . mandarine ? Et qué mandarine, l est con lui , la mandibule, cono de téléphone chinois .
Donc la mandibule dévie et c est ce qu il faut repérer , ce qui n est pas tjs évident .
Mais dans un cas de paro avancé , c est beaucoup plus facile ,pcq ce n est plus la mandarine qui bouge mais les dents .
CQFD : si tu meules pour stabiliser les dents , et que ça marche , c est que tu es en centrée :-))


Vw campersurfvan bmnk1q - Eugenol
enlaye

16/12/2024 à 23h11

C est pour cela qu il ne faut pas se précipiter des le début sur un prov de grande étendue avant d avoir stabilisé par meulage . Tu y perds beaucoup d informations.
Pire , demander un wax UP au labo des le début , là tu perds tout a commencer par 45 / 60 euro la dent :-)


Vw campersurfvan bmnk1q - Eugenol
enlaye

16/12/2024 à 23h15

Alors que lorsque c est stable , c est que ton oim est très très proche de ta centrée, et tu peux alors travailler tes prov en sectoriels . Et pareil ensuite pour tes définitifs .
Un cas globalement compliqué se
transformant ainsi en une somme d'étapes plus simples .
oim = centrée = + facile .


Vw campersurfvan bmnk1q - Eugenol
enlaye

16/12/2024 à 23h28

Après , que l on fasse faire des bains de bouche au quinoa enrichi au ginseng j ai rien contre , hein .:-)


S2y2o1v7q53ws4r5wy6ou8czrpom - Eugenol
pxav

17/12/2024 à 07h42

enlaye écrivait:
------
> C est pour cela qu il ne faut pas se précipiter des le début sur un prov de
> grande étendue avant d avoir stabilisé par meulage . Tu y perds beaucoup d
> informations.
> Pire , demander un wax UP au labo des le début , là tu perds tout a commencer
> par 45 / 60 euro la dent :-)

Holà bijoux, si un Waxup si ça me coutait X x 14 = 630 à 840 € par maxillaire il est évident que je procéderais différemment.
mais la prothésiste est salariée, donc waxup ou pas elle me coute la même chose...La difficulté c'est de programmer son planning pour que les travaux soient fait sans embouteillage.
donc dans des cas comme celui-ci, en principe je commence par des empreintes, (avant rectification en bouche) et je fais un meulage hypothétique sur le plâtre. Suivant ce que ça me donne, 1er Waxup pour valider à blanc que tout s'articule bien. (la prothésiste voit les patients ce qui facilite le suivi).
En principe je laisse peu de temps entre le travail sur plâtre et l'application en bouche, ce qui me permet de garder en mémoire les modalités de préparation.

Dans ce cas là, j'ai pratiqué par secteur (antérieur en 1 et pm/m ensuite) mais d'après le Waxup complet.
une fois l'équilibre trouvé, provisoire complet, pour valider. si rien ne casse entre les séances c'est que ça va le faire.


--
xbk
La connaissance s'acquiert par l'expérience, tout le reste n'est que de l'information." ALBERT EINSTEIN


Vw campersurfvan bmnk1q - Eugenol
enlaye

17/12/2024 à 13h01

.


S2y2o1v7q53ws4r5wy6ou8czrpom - Eugenol
pxav

17/12/2024 à 18h33

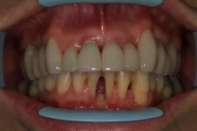
Contrôle à une semaine...


--
xbk
La connaissance s'acquiert par l'expérience, tout le reste n'est que de l'information." ALBERT EINSTEIN

Bgn3yxc8lfjtb8ay0ivpweb2g2yl - Eugenol
Xh6qu72lbvdf95lob38negrjlyo0 - Eugenol
Qg1tx0wre3m024uvxf0uc6o7nhp9 - Eugenol
Nlm6ws4xl0xuo85e18s76y4eux3w - Eugenol
N677f2azzi4ud179lehb1g12vtwx - Eugenol
Sr32546aj3rigqcgrer69g499htd - Eugenol
J6gmlqhqx0c3xr700fvuy4fqmdp1 - Eugenol
Wuntf8z78bvu0buqctjunsqunhuk - Eugenol

Vw campersurfvan bmnk1q - Eugenol
enlaye

17/12/2024 à 19h21

La gencive de 11 et 12 n est pas jolie .
Et ce n est pas un pb induit par la prothèse, pcq c était déjà présent sur les photos initiales .
Tu vois c est pour ça que je ne crois pas à la chimie .
T as beau la chimistrer tant que tu veux la gencive , si tu ne la fraises pas , pipée elle est , pipée elle restera.


S2y2o1v7q53ws4r5wy6ou8czrpom - Eugenol
pxav

17/12/2024 à 19h29


Pas la prothèse, mais j'ai été un peu agressif à la fraise de polissage sur l'attache et effectivement ça n'est encore pas revenu, d'autant plus qu'avant les photos j'ai un peu gratouillè ala curette, les restes éventuel de ciment
Wait and see

--
xbk
La connaissance s'acquiert par l'expérience, tout le reste n'est que de l'information." ALBERT EINSTEIN


Vw campersurfvan bmnk1q - Eugenol
enlaye

17/12/2024 à 19h30

Non non c est pas ca
C était pareil au début
.


Vw campersurfvan bmnk1q - Eugenol
enlaye

17/12/2024 à 19h47

A mon avis c est pcq qu il n y a pas assez d os en proximal pour soutenir la gencive


S2y2o1v7q53ws4r5wy6ou8czrpom - Eugenol
pxav

17/12/2024 à 20h36

c'est clair qu'il n'y a plus beaucoup d'os, mais j'ose croire que ça va aller...


--
xbk
La connaissance s'acquiert par l'expérience, tout le reste n'est que de l'information." ALBERT EINSTEIN


1...78910