Cookie Consent byPrivacyPolicies.comPluton au secours ! ( les autres aussi hein ) - Eugenol

Pluton au secours ! ( les autres aussi hein )

moi22

12/09/2024 à 09h56

Bonjour à tous,
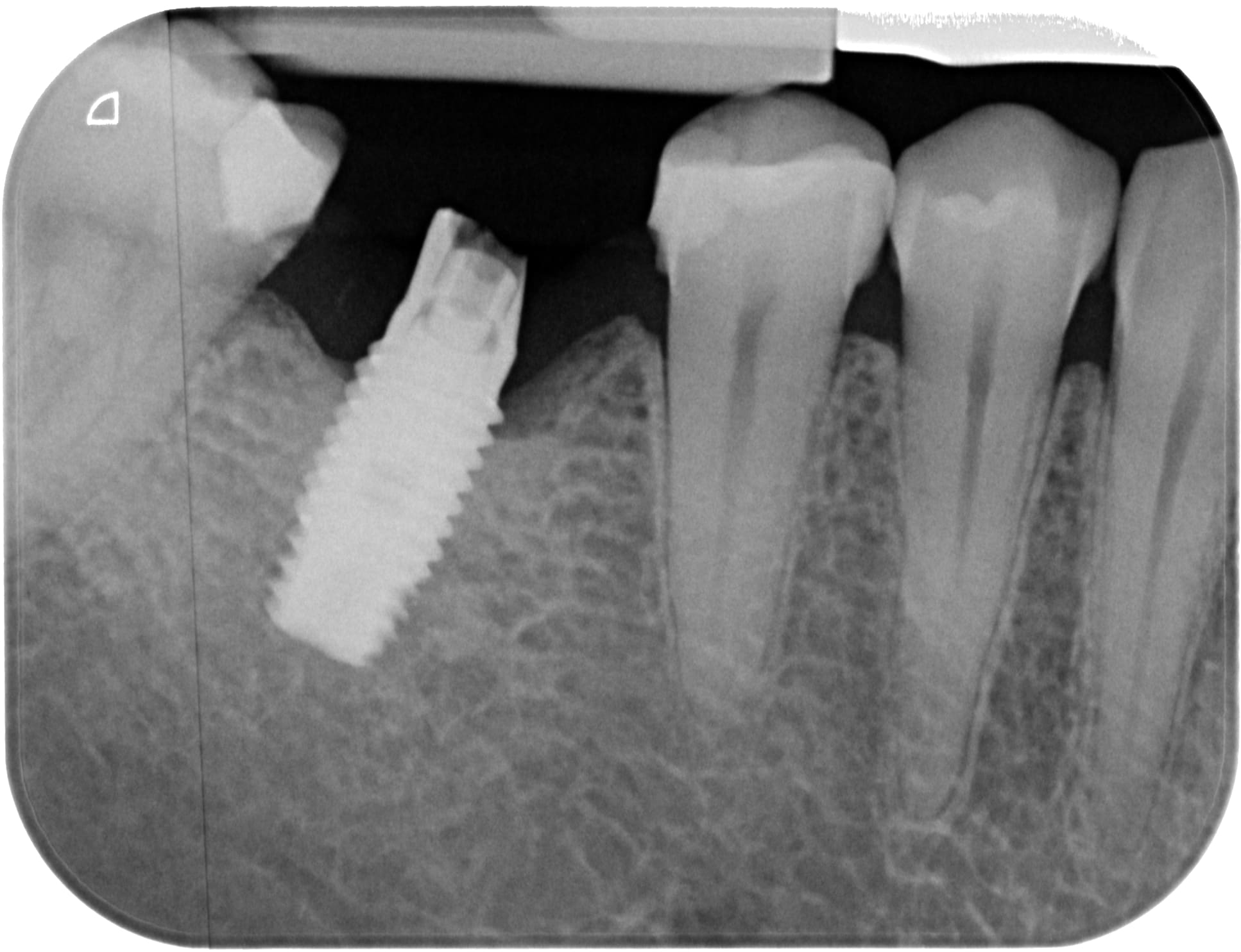
Je recherche une identification d'implant svp suite à fracture pilier.

Implant posé vers 2005 au COSEM Paris.

Merci d'avance.

0nadtfi3vbi7lkf2x06bebbxf2gr - Eugenol