Cookie Consent byPrivacyPolicies.comcas clinique - Eugenol

cas clinique

cycyortho

16/09/2024 à 11h08

Bonjour à tous,

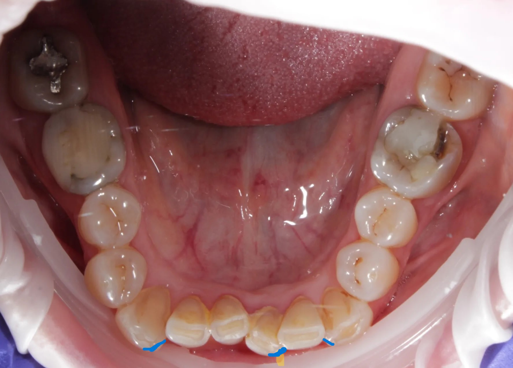
J'ai une patiente adulte de 52 ans, qui bruxe (facettes d'usure, récessions, fissures).
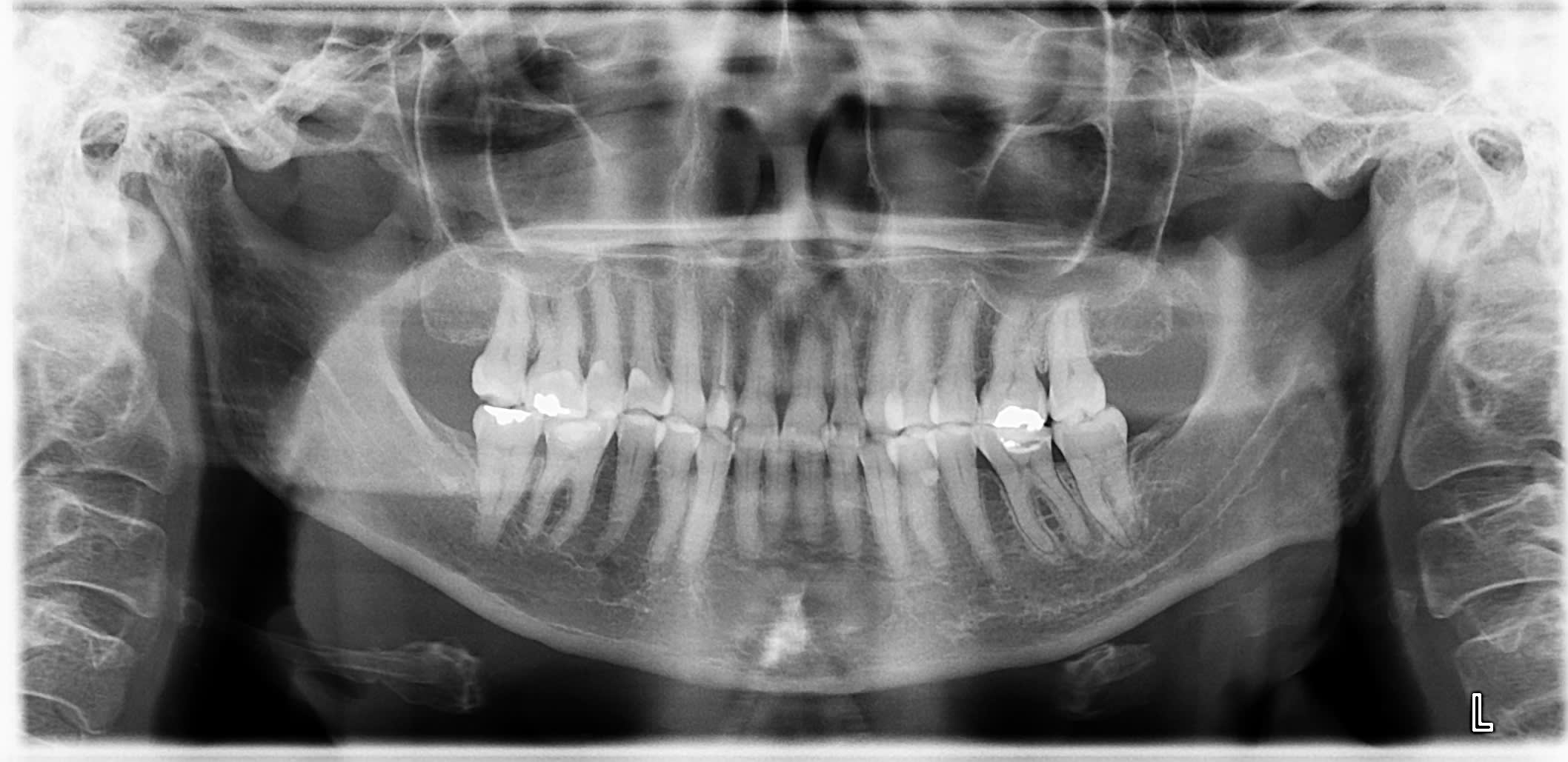
Les 8 ont été extraites.
C'est une classe II2 avec supra importante.

J'ai peur de faire le traitement sans avoir de place en distal, car certes une vestibulo-version des incisives max et mandibulaires va améliorer le profil, mais je crains une récidive importante étant donné la puissance des muscles labiaux qui ont entrainé les linguo-versions

J'ai demandé au chir avec qui je travaille s'il y avait possibilité de poser des plaque d'ancrage pour reculer les 7 mais elle ne vois pas l'indication

Que me conseillez-vous ?
- J'ai pensé l'adresser à un kiné pour rééduquer les lèvres mais je ne pense pas que cela résoudra totalement le problème d'hypertonicité des orbiculaires.
- Je pose habituellement des attelles de contention et donnerai en plus des gouttières mais devoir mettre tout un arsenal de contentions en fin de traitement montre qu'il y a un soucis

Merci pour vos idées, Cycy

Vj7y3oa1x9ltybtht7wsd93a5ubb - Eugenol

cycyortho

16/09/2024 à 11h10

télé de face

Max7bsi894i0dic1ru45xu9h1u0c - Eugenol

cycyortho

16/09/2024 à 11h22

pano

Omemepj0c3il91mrb4tksayavapb - Eugenol

cycyortho

16/09/2024 à 11h22

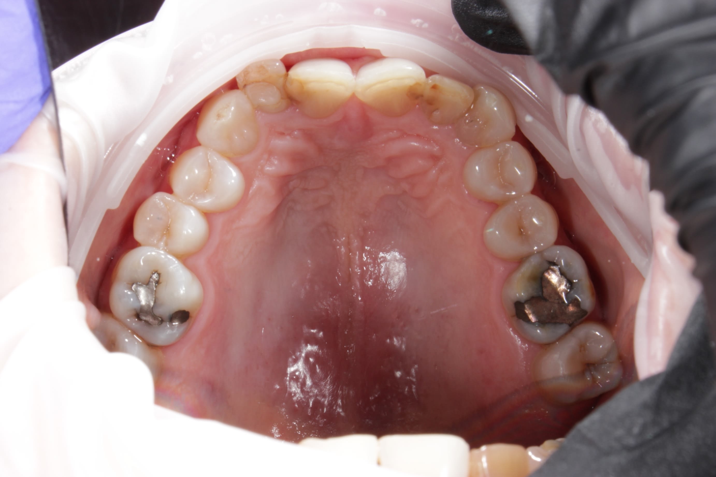
photos

Vprwfx07bg1eo09uzng27rhku4rs - Eugenol

cycyortho

16/09/2024 à 11h22

photos

Jfrre08c5yo1vgz6wsjhcdu3dtdj - Eugenol

cycyortho

16/09/2024 à 11h23

photos

Fscn5626ue3xeo25suw0sygzd4u2 - Eugenol

cycyortho

16/09/2024 à 11h23

photos

Rjiea0gd9503jgfa17awu8233ru3 - Eugenol

cycyortho

16/09/2024 à 11h23

photos

91z5ez4gpa6mr5v0whie7qg9xttz - Eugenol

cycyortho

16/09/2024 à 11h45

visage


Vw campersurfvan bmnk1q - Eugenol
enlaye

16/09/2024 à 11h59

cycyortho écrivait:
---------

" J'ai pensé l'adresser à un kiné pour rééduquer les lèvres mais je ne pense pas que cela résoudra totalement le problème d'hypertonicité des orbiculaires. "

effectivement cela ne ne servirait à rien .
par contre si tu lui limes les points bleus , terminé son hypertonicité .

Pv2jjz3ptupebfkntriv31l7vucp - Eugenol

burnax

16/09/2024 à 14h12

Pourquoi ( pour comprendre la démarche) ? Merci, enlaye..


Gabzou

16/09/2024 à 16h40

Je te conseille de retirer les photos visage. Il a été jugé à plusieurs reprise que si un patient est clairement identifiable, il y a rupture du secret professionnel. Le bandeau noir sur les yeux ne garantit absolument pas l'anonymat, n'importe qui connaissant ta patiente la reconnaitra.


paul53

16/09/2024 à 17h05

Gabzou écrivait:
------
> Je te conseille de retirer les photos visage. Il a été jugé à plusieurs reprise
> que si un patient est clairement identifiable, il y a rupture du secret
> professionnel. Le bandeau noir sur les yeux ne garantit absolument pas
> l'anonymat, n'importe qui connaissant ta patiente la reconnaitra.
Bonjour
On voit le nom de la patiente.


croc1765

16/09/2024 à 17h06

Gabzou écrivait:
------
> Je te conseille de retirer les photos visage. Il a été jugé à plusieurs reprise
> que si un patient est clairement identifiable, il y a rupture du secret
> professionnel. Le bandeau noir sur les yeux ne garantit absolument pas
> l'anonymat, n'importe qui connaissant ta patiente la reconnaitra.

surtout que l'on voit aussi le nom de la patiente

edit doublon avec paul53


Vw campersurfvan bmnk1q - Eugenol
enlaye

16/09/2024 à 18h43

cette soit disant hypertonicité , n'est en rien une cause d une mal occlusion , au contraire elle est là pour compenser un mauvais guidage de fermeture :
en se servant de ses lèvres comme point d appuis cela lui permet de se recentrer et de ralentir la fermeture et de guider vers l oim .


Vw campersurfvan bmnk1q - Eugenol
enlaye

16/09/2024 à 18h51

c est souvent ce qui se passe lorsqu il y a un trop gros écart entre sa centrée ( comprendre son trajet de fermeture avant les contacts dentaires ) et son oim .
et souvent lorsque cet ecart est avant/ arriere est important avec en plus + un décentrage lateral .


Vw campersurfvan bmnk1q - Eugenol
enlaye

16/09/2024 à 19h06

le but de limer les points bleus est de lui donner un peu de laxité vers l avant . son bloc ant sera moins en sur - guidage et sa fermeture sera moins compressive pour les atm . .
et des que tu vas limer , son ouverture limitée va instantanément augmenter .
ce confort supprimera son besoin de s appuyer sur ses levres comme guidage .


Vw campersurfvan bmnk1q - Eugenol
enlaye

16/09/2024 à 19h24

Souvent aussi , le fait de contracter les lèvres leurs permet se se caler dessus sans contacts dentaires , une sorte de position de repos bien dans l axe et en avant .
Si ce n est pas avec les lèvres ce peut être avec la langue c est le même topo .


Vw campersurfvan bmnk1q - Eugenol
enlaye

16/09/2024 à 22h54

Lorsque les ATM sont comprimées, ils perdent leurs laxité nécessaire.
Alors le jeu qu il n ont pas dans le sens avant arriere, ils se le créent en latéral . Un coup a gauche un coup à droite .
Ils en arrive à se créer une double occlusion.
mais comme cette double occlusion ( a gauche et droite ) n apporte pas suffisamment de calage , il serrent ou grincent pour essayer d augmenter la stabilité.
en serrant ils réduisent d autant l arc du bas et le incisives du bas se chevauchent et parfois même egressent .
c est comme ça que tu te retrouves avec le bloc post du bas plus bas que le bloc incisif .
ce qui augmente d autant le sur guidage ant .


Vw campersurfvan bmnk1q - Eugenol
enlaye

16/09/2024 à 22h57

Ce que vous appellez l hypertonicité labiale , soulage ce phénomène et le retarde .


Bebe 038 nf8eum - Eugenol
danteyeah

17/09/2024 à 08h58

Question basique avant de donner un quelconque avis:
Quel est la doléance de la patiente et de quoi soufre t-elle ? Et par corrélation en quoi cela est-il un cas à traiter en ortho ?


Dentarue

17/09/2024 à 12h29

La cigale ayant chanté tout l’été se trouva fort dépourvue quand la bise fut venue ☝️


RépondreCiter
cycyortho

17/09/2024 à 14h17

Merci, j'ai enlevé le nom que j'avais omis en effet et photos du visage


cycyortho

17/09/2024 à 14h26

danteyeah écrivait:
---------
> Question basique avant de donner un quelconque avis:
> Quel est la doléance de la patiente et de quoi soufre t-elle ? Et par
> corrélation en quoi cela est-il un cas à traiter en ortho ?

J'ai traité les 2 fils de cette patiente et ayant vu leur résultat, elle veut elle aussi améliorer son sourire. J'ai discuté avec elle et elle accepte les contraintes de l'ODF qu'elle connaît bien


Jvozèmpo

17/09/2024 à 14h51

Bonjour,
L'option thérapeutique la plus envisageable est :
--->Distalisation du maxillaire pour compenser la cl II
Moyens :
- ancrages type plaques ou minivis
- stripping à la mandibule