Cookie Consent byPrivacyPolicies.comcas clinique - Eugenol

cas clinique

Bebe 038 nf8eum - Eugenol
danteyeah

17/09/2024 à 17h16

cycyortho écrivait:
---------
> danteyeah écrivait:
> ---------
> > Question basique avant de donner un quelconque avis:
> > Quel est la doléance de la patiente et de quoi soufre t-elle ? Et par
> > corrélation en quoi cela est-il un cas à traiter en ortho ?
>
> J'ai traité les 2 fils de cette patiente et ayant vu leur résultat, elle veut
> elle aussi améliorer son sourire. J'ai discuté avec elle et elle accepte les
> contraintes de l'ODF qu'elle connaît bien

Donc uniquement une sollicitation esthétique ? Aucune interrogation sur les évolutions/soins qui aboutissent à une telle occlusion (le bruxisme serait le seul responsable ?) ? Comment justifies tu qu'il s'agisse d'une ClII2 ?


nanaka

18/09/2024 à 00h40

cycyortho écrivait:
---------
> photos
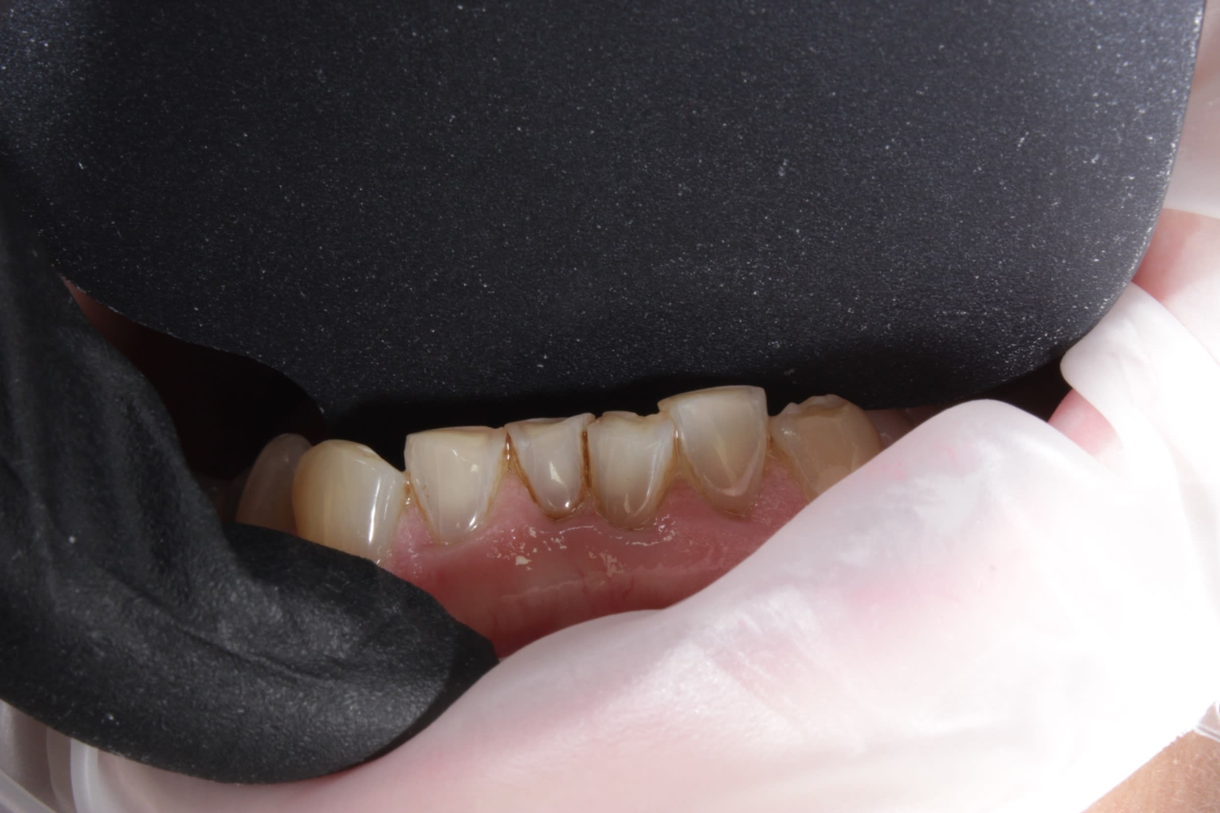
Est-ce que les incisives md s'impriment dans la muqueuse palatine ? Pas sûre de bien voir sur la photo... Si non, je n'adresserais pas - car trop tard.
tu fais des injections d'acide hyaluronique? (Ça doit faire 50ans qu'elle se fout de l'agencement de ses dents...)

Merci @enlaye pour ce super topo ! !

--

Carpe diem
Cueille le Jour


Dentarue

18/09/2024 à 07h47

Le tactac boumboum de l’occlusiste ☝️


cycyortho

18/09/2024 à 10h53

nanaka écrivait:
------
> cycyortho écrivait:
> ---------
> > photos
> Est-ce que les incisives md s'impriment dans la muqueuse palatine ? Pas sûre de
> bien voir sur la photo... Si non, je n'adresserais pas - car trop tard.
> tu fais des injections d'acide hyaluronique? (Ça doit faire 50ans qu'elle se
> fout de l'agencement de ses dents...)
>
> Merci @enlaye pour ce super topo ! !
>
> --
>
> Carpe diem
> Cueille le Jour
>

Non les incisives ne s'impriment pas dans la muqueuse et non je ne fais pas d'injections.
Elle ne veut pas faire l'ortho pour bumper les lèvres mais pour aligner ses dents


sexmo

18/09/2024 à 22h09

Ya beaucoup à stripper non ?
des valeurs céphalo stp ? IMPA/impa

Sexmo


cycyortho

19/09/2024 à 10h21

sexmo écrivait:
-----
> Ya beaucoup à stripper non ?
> des valeurs céphalo stp ? IMPA/impa
>
> Sexmo

étant donné les facettes d'usure importantes, j'aimerais éviter de stripper. et oui il y aurait beaucoup à stripper.
IMPA = 84.1 mais les encombrements maxillaires et mandibulaires sont importants

Lsnenedpomdv429gl3uxlf8edhhw - Eugenol
60v4hobs68p963gwtsocgdihr46y - Eugenol

Vw campersurfvan bmnk1q - Eugenol
enlaye

19/09/2024 à 10h50

aux vues des usure de 12 et 11 , on y voit bien la trace de la double occlusion dont je parlais .
et au delà de la classe 2 il doit ily avoir une interférence au fond secteur 20 , je dirais la 27 .


cycyortho

19/09/2024 à 11h25

enlaye écrivait:
------
> aux vues des usure de 12 et 11 , on y voit bien la trace de la double occlusion
> dont je parlais .
> et au delà de la classe 2 il doit ily avoir une interférence au fond secteur 20
> , je dirais la 27 .

Merci pour toutes ces explications. Je vérifierai l'interférence quand je verrai la patiente


Vw campersurfvan bmnk1q - Eugenol
enlaye

19/09/2024 à 11h44

ceci dit je n ai pas compris cette envie de reculer le maxillaire .
vu que l on est dans le sur guidage et l' encombrement , c est quoi l objectif ?


Avatar transparent iqadnc - Eugenol
adhoc

19/09/2024 à 12h26

>ceci dit je n ai pas compris cette envie de reculer le maxillaire .
vu que l on est dans le sur guidage et l' encombrement , c est quoi l objectif ?<

C'est de l'ortho, mon enlaye. On est devant une cl II div2 , c'est a dire une tentative de rattrapage de la classe II sq par palato version des Inc sup (des deux centrales en general mais parfois des 4)
Si les incisives sup sont remises dans un axe (vertical) acceptable par rapport au maxillaire , on aura un over jet important a tres important et un gros changement esthétique pour le patient. D'ou le recul max. nécessaire, enlaye.
Au niveau fonctionnel, tu as raison, c'est moins evident sauf la fonction de section par les incives qui sera améliorée.


cycyortho

19/09/2024 à 13h25

enlaye écrivait:
------
> ceci dit je n ai pas compris cette envie de reculer le maxillaire .
> vu que l on est dans le sur guidage et l' encombrement , c est quoi l objectif
> ?

le but est de résoudre l'encombrement. je ne veux pas le faire en vestibulo-versant les incisives de façon trop importante car cela va aggraver les récessions + entrainer une procheilie trop importante, et de fait un risque de récidive accru. Je veux avoir une vestibulo-version des incisives, et bumper les lèvres, mais légèrement, de façon contrôlée. c'est pourquoi j'aimerais avoir de la place en distal des 3. cela n'entrainera pas un recul du maxillaire, mais aidera à résoudre l'encombrement.

je me demandais quelles étaient les différentes possibilités, comme par exemple distaler les 7


Vw campersurfvan bmnk1q - Eugenol
enlaye

19/09/2024 à 15h48

ah ok je comprends , en fait tu voudrais vestibuler les incisives du haut mais gentiment pour ne pas prendre de risques .
mais normalement , si c est pour de l esthétique , ce sont les incisives du bas qui déterminent l esthétique final et donc tout le plan de ttt qui s en suit .
et donc la décision du positionnent du haut doit venir après la simulation des incisives du bas , et non pas le contraire .
c était pour cela que je ne comprenais pas .


Bebe 038 nf8eum - Eugenol
danteyeah

20/09/2024 à 09h45

Depuis le début tout le monde semble certains d'avoir à faire à une classe II/2, alors que les rapports dentaire sont en classe 1 et que l'angle goniaque semble bien ouvert. On note des toris vestibulaires marqués sur les blocs incisivo-canin, une occlusion palatine sur 15, crête marginale molaires décalées ( tiens peut être plus la 37 que la 27 qui merdoie ;-)), des reconstitutions molaires plates. Ce cas mérites d'être initialement géré avec une vision occlusale avant qu'elle soit orthodontique (ce qui n'exclu pas évidement l'ortho) et forcément prothétique pour remettre le secteur postérieur en fonction. Et je ne vois pas pourquoi la vestibulo version des incisives sup entraînerait une prochéilie alors qu'elle trouve surtout sont origines au niveau des toris bien proéminent


Vw campersurfvan bmnk1q - Eugenol
enlaye

20/09/2024 à 10h03

eh oui et je rajouterais qu une dent rabotée le sera tjs même après ortho .


croc1765

20/09/2024 à 10h27

adhoc écrivait:
-----
> >ceci dit je n ai pas compris cette envie de reculer le maxillaire .
> vu que l on est dans le sur guidage et l' encombrement , c est quoi l objectif
> ?<
>
> C'est de l'ortho, mon enlaye. On est devant une cl II div2 , c'est a dire une
> tentative de rattrapage de la classe II sq par palato version des Inc sup (des
> deux centrales en general mais parfois des 4)
> Si les incisives sup sont remises dans un axe (vertical) acceptable par rapport
> au maxillaire , on aura un over jet important a tres important et un gros
> changement esthétique pour le patient. D'ou le recul max. nécessaire, enlaye.
> Au niveau fonctionnel, tu as raison, c'est moins evident sauf la fonction de
> section par les incives qui sera améliorée.

tu vois une classe II squelettique sur cette cephalo ?


cycyortho

20/09/2024 à 10h44

on est d'accord que c'est une classe I squelettique


croc1765

20/09/2024 à 10h49

cycyortho écrivait:
---------
> on est d'accord que c'est une classe I squelettique
.


sexmo

20/09/2024 à 20h19

Bonjour,
ne serait-ce pas une Classe II Div 2 Subdivision Gauche sur une Classe I Squelettique plus précisément ?
et donc distaler le côté S2 pour remettre les milieux alignés ?


Vw campersurfvan bmnk1q - Eugenol
enlaye

21/09/2024 à 05h02

D abord les milieux décalés c est dur à apprécier ici pcq les radios et les photos sont faites en oim .



Vw campersurfvan bmnk1q - Eugenol
enlaye

21/09/2024 à 05h21

Mais en admettant que les milieux soient décalés , tu penses sérieusement qu' en lui reculant toutes les dents ou même que d un côté pour rattraper un point inter incisif d'une mamie de 52 ans , ça va lui changer son esthétique et lui donner un sourire de star alors qu elle a des dents de toutes les couleurs et usées qu on dirait un vieux piano,
c est pas un peu décalé comme traitement ?
Pcq qu une fois que tu vas finir , tu vas lui coller un fil en haut et un fil en bas , comment il va faire le dentiste pour lui faire les zolies dents bien blanche avec de beaux bords libre , hein ?
Pcq tu te doutes bien qu elle ne va pas en rester là .





Vw campersurfvan bmnk1q - Eugenol
enlaye

21/09/2024 à 05h30

Je résume :
petit pull ajusté 100 % laine et raz du coup 24 carats , coupe au carré, à 52 ans , elle se réveille un beau matin d automne les lèvres pincées et les dents serrées, elle se dit , tiens , il serait temps que je me fasse un peu reculer les dents , il ne m est rien arrivé cet été, ce n' est pas normal .
Tu n as pas peur qu elle te prenne pour jex four ?
:-)))

?si=fJPGKroH4_eVfVh1


Dentarue

21/09/2024 à 08h30

Avec Clausade c’est les freins qu’on aligne.


cycyortho

21/09/2024 à 13h20

en ouverture les points inter-incisifs sont centrés


cycyortho

21/09/2024 à 13h22

enlaye écrivait:
------
> Mais en admettant que les milieux soient décalés , tu penses sérieusement qu' en
> lui reculant toutes les dents ou même que d un côté pour rattraper un point
> inter incisif d'une mamie de 52 ans , ça va lui changer son esthétique et lui
> donner un sourire de star alors qu elle a des dents de toutes les couleurs et
> usées qu on dirait un vieux piano,
> c est pas un peu décalé comme traitement ?
> Pcq qu une fois que tu vas finir , tu vas lui coller un fil en haut et un fil en
> bas , comment il va faire le dentiste pour lui faire les zolies dents bien
> blanche avec de beaux bords libre , hein ?
> Pcq tu te doutes bien qu elle ne va pas en rester là .
>
>
>
>

tu lui proposerais quoi après l'occluso du coup ?
rien ? une réhabilitation uniquement prothétique ?


Vw campersurfvan bmnk1q - Eugenol
enlaye

21/09/2024 à 15h59

cycyortho écrivait:
---------
"en ouverture les points inter-incisifs sont centrés "

Voilà, on est donc bien dans une interférence qui explique l encombrement qui a créé le sur- guidage incisif .
A mon avis cette interférence est d origine iatrogène a savoir le compo palatin de la 22 .
C était évident :-)