Cookie Consent byPrivacyPolicies.comPoche paro terminale localisée sur 1 dent - Eugenol

Poche paro terminale localisée sur 1 dent

Vw campersurfvan bmnk1q - Eugenol
enlaye

16/10/2024 à 12h19

Pcq elle va continuer vouloir aller de côté qui était sa compensation :
au cours des années, ses ATM se sont adaptées, elle a des dents en rotation pour , etc , elle y était bien .
Sauf que là elle ne ne sera plus guidée par sa 45 .

Donc sur les plâtres tu rases la 45 et tu regardes quelle sera son nouveau calage possible


Vw campersurfvan bmnk1q - Eugenol
enlaye

16/10/2024 à 12h23

Quel


Gabzou

16/10/2024 à 12h30

Dentarue écrivait:
--------
> Attendons une radio de guérison avant de fanfaronner.

Qui fanfaronne?
Le pronostic est catastrophique, mais sur une patiente totalement dentée avec bonne hygiène, moi je tente tout avant d'avulser. Surtout quand "tout" se résume à une endo monoradiculée, une meulage occlusal et un nettoyage d'une poche paro (ce qui va être le plus dur à bien faire vu la gueule de la lésion, d'où le mauvais pronostic d'ailleurs).


Dentarue

16/10/2024 à 14h55

Attendons de voir une radio de cette lésion guérie par l’occlusion avant de fanfaronner.
Au temps pour moi, tellement de blabla j’en était resté aux deux billets pour cette dent évidemment non douloureuse et non mobile…
C’était encore raté la vision d’enlaye, pas de bol. Quand on est extralucide il vaut mieux rester bien vague sinon ça se voit qu’on raconte n’importe quoi ☝️


Hok 1b hgd3rj - Eugenol
Hokusai

16/10/2024 à 15h49

c est pas totalement impossible de la sauver... une belle endo + surfacage + reglage occlusal... une longue attache epitheliale... une bonne hygiene et pas de tabagisme...

1 seance et dans 2-3 mois on saura :)

tu rajoutes bain de bouche a l eau de lourdes 3x/j par sécurité.


Vw campersurfvan bmnk1q - Eugenol
enlaye

16/10/2024 à 15h54

Avant de consulter cette dent n était ni douloureuse ni mobile .
Pas pour autant que la radio n aurait pas montré de signes .Ce n était qu une question de temps .
Et puis si tu sais lire , tête d idiot , des le début j ai dit qu elle glissait sur son côté droit .
Donc je n avais pas tord , mais ça pour toi c est insupportable.


Dentarue

16/10/2024 à 21h43

Excuse moi, tu parles tellement que je le suis mélangé les pinceaux.


Vw campersurfvan bmnk1q - Eugenol
enlaye

16/10/2024 à 22h15

Oui je t excuse pcq tu as tellement de hargne après moi que tu n en es plus objectif , circonstance atténuante .


Dentarue

17/10/2024 à 07h40

Ne te victimise pas, je n’ai rien contre toi mais je ne peux laisser passer tes délires, des crédules pourraient les prendre pour argent comptant ☝️


Vw campersurfvan bmnk1q - Eugenol
enlaye

17/10/2024 à 09h14

je comprends , tu es le modo scientifique d eugenol .


Bebe 038 nf8eum - Eugenol
danteyeah

17/10/2024 à 10h00

Dentarue écrivait:
--------
> Ne te victimise pas, je n’ai rien contre toi mais je ne peux laisser passer tes
> délires, des crédules pourraient les prendre pour argent comptant ☝️

On se demande qui est le plus présomptueux après avoir écrit ça et sous entendu que tes confrères et sœurs pourraient être benêt et incapable de jugement....Oh! le melon que tu as !


Bebe 038 nf8eum - Eugenol
danteyeah

17/10/2024 à 10h05

Moi ce qui m'impressionne, c'est qu'il existe encore aujourd'hui des praticiens qui prennent de leur temps pour des patients dans cette situation en ayant encore un peu de flamme pour sauver et comprendre........c'est tout simplement louable !


Hok 1b hgd3rj - Eugenol
Hokusai

17/10/2024 à 10h53

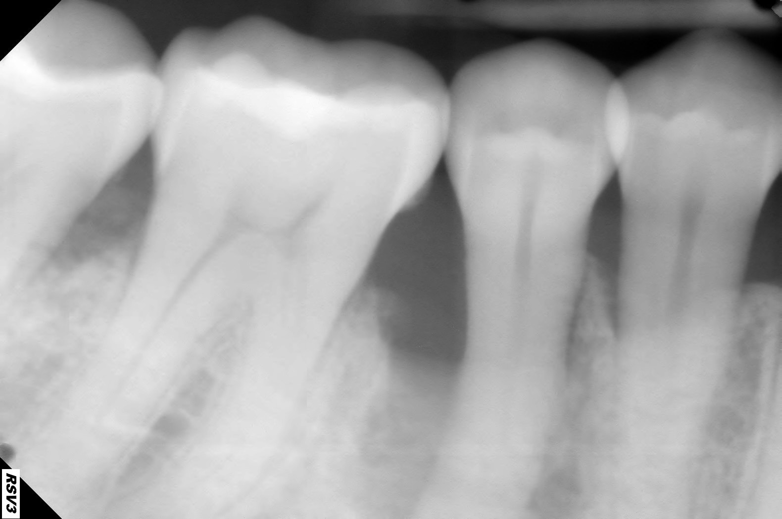
tu pourrais poster une retro de la 12 et de la 45 ?


Fear and loathing in las vegas toax7t - Eugenol
Donchico

17/10/2024 à 18h25

Voici la rétro de la 45 mais je n'ai pas celle de la 12.
Je pense que l'image au dessus de 12 sur l'opt est un artéfact.

9i9xpj5n1rkowt9qlqlr8kchyw05 - Eugenol

Vw campersurfvan bmnk1q - Eugenol
enlaye

17/10/2024 à 19h04

va se moquer de ta radio le Mystigri vengeur :-)


Hok 1b hgd3rj - Eugenol
Hokusai

17/10/2024 à 19h51

... c est mal barré quand meme.

pourquoi pas, c est pas totalement perdu.
stp poste quand meme le résultat a 3 mois :)


Dentarue

17/10/2024 à 21h47

Avec l’apex, histoire de pouvoir coter…
Je mettrais un billet qu’elle est bien vivante et qu’il n’y a aucune douleur 🧐


Vw campersurfvan bmnk1q - Eugenol
enlaye

17/10/2024 à 22h42

Non non , le billet c est maintenant la patiente qui te le propose pour que tu lui fasses l endo adressée par Donchicot pcq tu es exclusif avec 25 ans d expérience, c est ton métier , c est toi le patron .
Tu le prends ou pas pour faire l endo ?
Et si oui tu lui prédis quoi ?


Dentarue

18/10/2024 à 07h20

C’est rien l’endo, tactacboumboum, à la portée de tous ☝️
Mais je ne comprends pas pourquoi tu parles d’endo alors que c’est occlusal, comme à chaque fois…🤔
Ne te fais pas prier, tactacboumboum sur une interférence et dans 3 mois cette vilaine lésion ne sera qu’un mauvais souvenir 😘