Cookie Consent byPrivacyPolicies.comimplant intralock - Eugenol

implant intralock

8tercecn7hisbbqbde2nil4nyxrw - Eugenol
Tournsol

14/10/2024 à 12h45

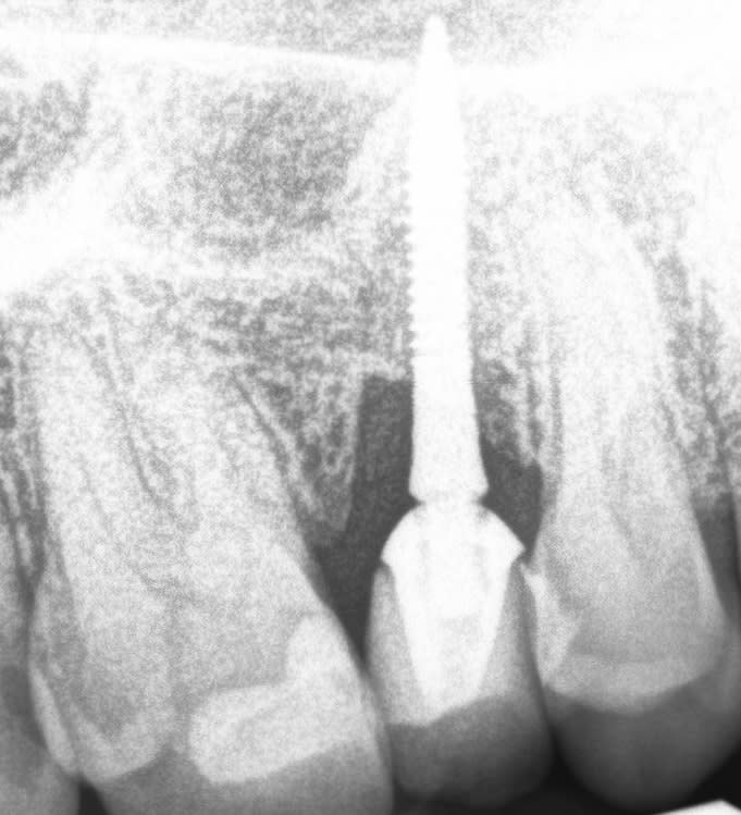
patient de mon prédécesseur en retraite qui se présente cr mobile sur la 15
Apparemment ca me semble être le pilier qui est mobile

En me renseignant je vois que l'implant est un implant intralock Oring housing

Je ne connais pas du tout ce système et j'ai l'impression que l'implant se terminerait par une boule sur lequel le pilier est fixé ?
Sur un système standard j'aurai fait un puit d'acces en occlusal puis revisser le pilier, mais je pense pas que la ca sera possible

Comment gérer ce cas et refixer la couronne ?

U8jdm30xmm3n4tyg93mlkh6ssjyt - Eugenol