Cookie Consent byPrivacyPolicies.comReconnaissance implantaire - Eugenol

Reconnaissance implantaire

moi22

25/10/2024 à 09h55

Bonjour à tous,
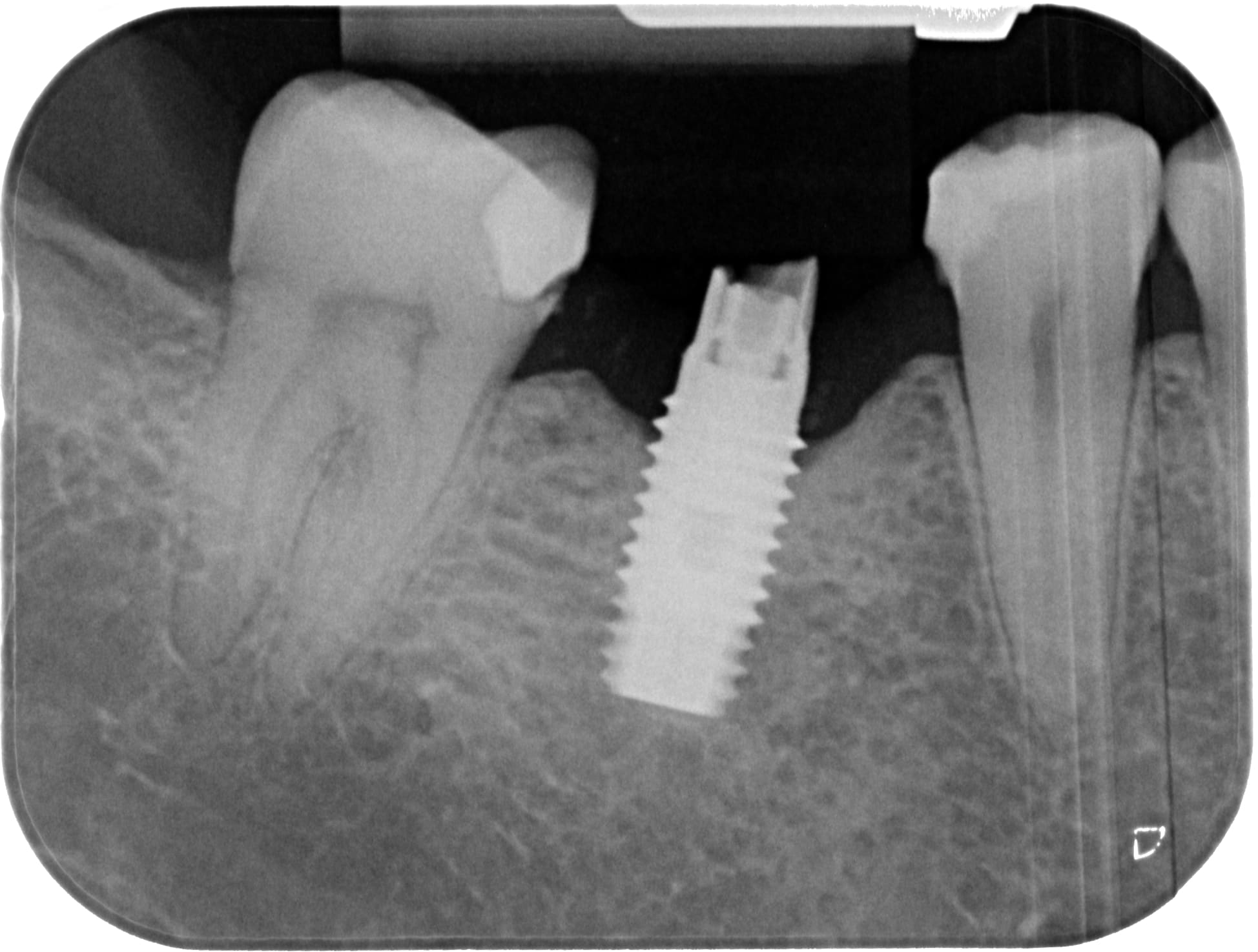
Qui peut m'aider pour la reconnaissance de cette implant?

hexagone externe et tournevis 1.2 compatible ( 1.27 accroche aussi un peu)
Implant posé au COSEM à Paris il y a environ 15 ans.

Merci d'avance

Wxq2ivvqz4e09zqu4fdjtfp3tyvv - Eugenol

Photo pluton1b h9n4ea - Eugenol
pluton

25/10/2024 à 10h49

et la radio sans le pilier toujours pas?