Cookie Consent byPrivacyPolicies.comj ai perdu cet implant . - Eugenol

j ai perdu cet implant .

boogy

28/10/2024 à 09h49

bonjour,
j aimerai avoir vos idées sur ce que j ai pu raté sur ce cas.
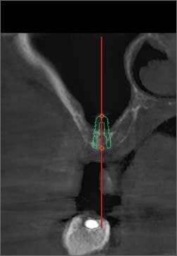
implant sur 16 avec summers prf biomat et à 2 mois l implant est dans la main du patient.
ca semblait bien en post op. image radio ok et bonne stabilité primaire.
je me demande si ce sont les pressions sur le pilier , j aurai peut être du enfouir mais comme c est un édentement intercalaire je me suis dit qu il n y aurait pas trop de pression et j ai également bien expliqué au patient de ne pas manger dessus.

si vous avez une idée, histoire que ne recommence pas une potentielle erreur.
merci à tous

Y58yd6ru2to7g0ehgxg4jojlxiwl - Eugenol
2y16fwrjtpt0xoq1zrk3a3qjqfbc - Eugenol

Olieve

28/10/2024 à 09h55

boogy écrivait:
-----
> bonjour,
> j aimerai avoir vos idées sur ce que j ai pu raté sur ce cas.
> implant sur 16 avec summers prf biomat et à 2 mois l implant est dans la main du
> patient.

On n'est plus dans l'indication d'un Summers, voilà tout.


bouboule

28/10/2024 à 09h59

Tu cumules plusieurs trucs limites.

T’es limite sur la hauteur à gagner par le Summers, limite au niveau de la hauteur osseuse résiduelle qui doit te maintenir la stabilité primaire de ton implant et surtout limite avec le choix du pilier. Meme involontairement si le patient mets une contrainte en cisaillement sur ce pilier, t’as vraiment pas grand chose pour l’absorber avec ces 2/3 mm d’os…
Pour minorer les risques je serai sans doute passé par un implant + sinus + vis de couverture…


boogy

28/10/2024 à 11h15

merci pour vos retours, effectivement le pilier c etait pas l idee du siecle, j aurai sans doute du enfouir ...
en revanche pour le summers je suis pas trop d'accord. oui le cas est limite pour un summers mais je ne vois pas l impact que ca peut avoir sur ma situation. summers ou ouverture laterale, ça reste un comblement non? et d apres la 3d le resultat semblait pas trop mal, avec un dôme de biomat.


bouboule

28/10/2024 à 11h54

Mon propos est juste de dire qu’à force de cumuler les risques, mêmes faibles, tu finis par arriver à l’échec.
C’est le principe de l’alignement des plaques de Reason.
Après c’est juste un implant de perdu, dans quelques mois une fois la dent en place, ce sera oublié.
Perso j’essaie de ne pas trop cumuler les points limites.


boogy

28/10/2024 à 12h01

et l indication n est pas parfaite pour un summers mais c etait pas totalement deconnant non plus.
mais le pilier, pas d excuse ça me servira de leçon.

2sup41qvhxaww0udxcfc8oqb1jgo - Eugenol

Gabzou

28/10/2024 à 12h18

Peut être question bête, je ne suis pas un pro de l'implanto.
J'ai l'impression que tu as implanté dans la zone avec le moins d'os. Tu n'aurais pas voulu implanter un peu plus en mésial, quitte à anguler un peu l'implant et utiliser une supra-structure angulée si nécessaire pour récupérer l'axe, afin de profiter du niveau osseux beaucoup plus sympa à proximité de l'implant déjà présent en 15? Ca t'aurait fait plus de "vrai" os par rapport à celui que tu as rajouté.

7p55z4cqf4w2b0rl7crbae5oz0dp - Eugenol

bouboule

28/10/2024 à 12h18

Ça c’est l’éternel débat sinus/summers. Je suis plutôt côté sinus. Ça va vite, c’est fiable et on voit ce qu’on fait…
Mais effectivement pour moi c’est le combo faible hauteur d’os disponible et gros pilier qui t’a sans doute mis dedans.
C’est tout le charme de la chir… on pousse le bouchon toujours un peu plus loin, jusqu’à la baffe, puis on repart un peu en arrière vers du plus sûr… et puis 2/300 implants plus tard, rebelote. Pour éviter ce genre de mésaventure, pour moi si ajout d’os dans le sinus, la vis est systématique.


Olieve

28/10/2024 à 12h35

boogy écrivait:
-----
> en revanche pour le summers je suis pas trop d'accord. oui le cas est limite
> pour un summers mais je ne vois pas l impact que ca peut avoir sur ma situation.

La théorie du Summers, c'est 5mm d'os minimum. Tu es donc plus que limite.
Ensuite le choix du type d'implant n'est probablement pas idéal si tu as utilisé le même que celui de la planification.
Ici c'est juste le micro-filetage du collet qui est au contact osseux alors que ce devraient être les spires plus profondes qui assurent la stabilité.


boogy

28/10/2024 à 12h39

merci pour ces retours sympas ,ce sera la même règle pour moi desormais, : si ajout d’os dans le sinus, la vis est systématique.
mais sinus rapide, je suis pas un grand poseur, et le sinus reste pour moi un truc stressant et pas rapide...
le coup de l angulation de l implant, je le sens pas trop.


Pierre logo clykpp - Eugenol
Denteo33

28/10/2024 à 16h23

Je ne comprends pas cette phrase : « Pour éviter ce genre de mésaventure, pour moi si ajout d’os dans le sinus, la vis est systématique. »


Hok 1b hgd3rj - Eugenol
Hokusai

28/10/2024 à 16h40

Denteo33 écrivait:
--------
> Je ne comprends pas cette phrase : « Pour éviter ce genre de mésaventure, pour
> moi si ajout d’os dans le sinus, la vis est systématique. »

la vis de cicat et la mise en couveuse 3 mois...


Pierre logo clykpp - Eugenol
Denteo33

29/10/2024 à 08h42

Merci de ton retour Hokusai mais… je ne comprends toujours pas

La vis … de cicatrisation ? Du coup , pas de mise en nourrice

La vis, l’implant?


boogy

29/10/2024 à 09h19

desolé pas clair : vis de couverture pour enfouir totalement et eviter une quelconque contrainte sur l implant et pas de pilier de cicatrisation transgingival sur lequel il pourrait s'exercer des forces comme cela a sans doute été le cas et a entrainé la perte de l' implant.