Cookie Consent byPrivacyPolicies.comIdentification lésion - Eugenol

Identification lésion

Nouveau image bitmap fz77zh - Eugenol
Sethef

20/01/2025 à 19h34

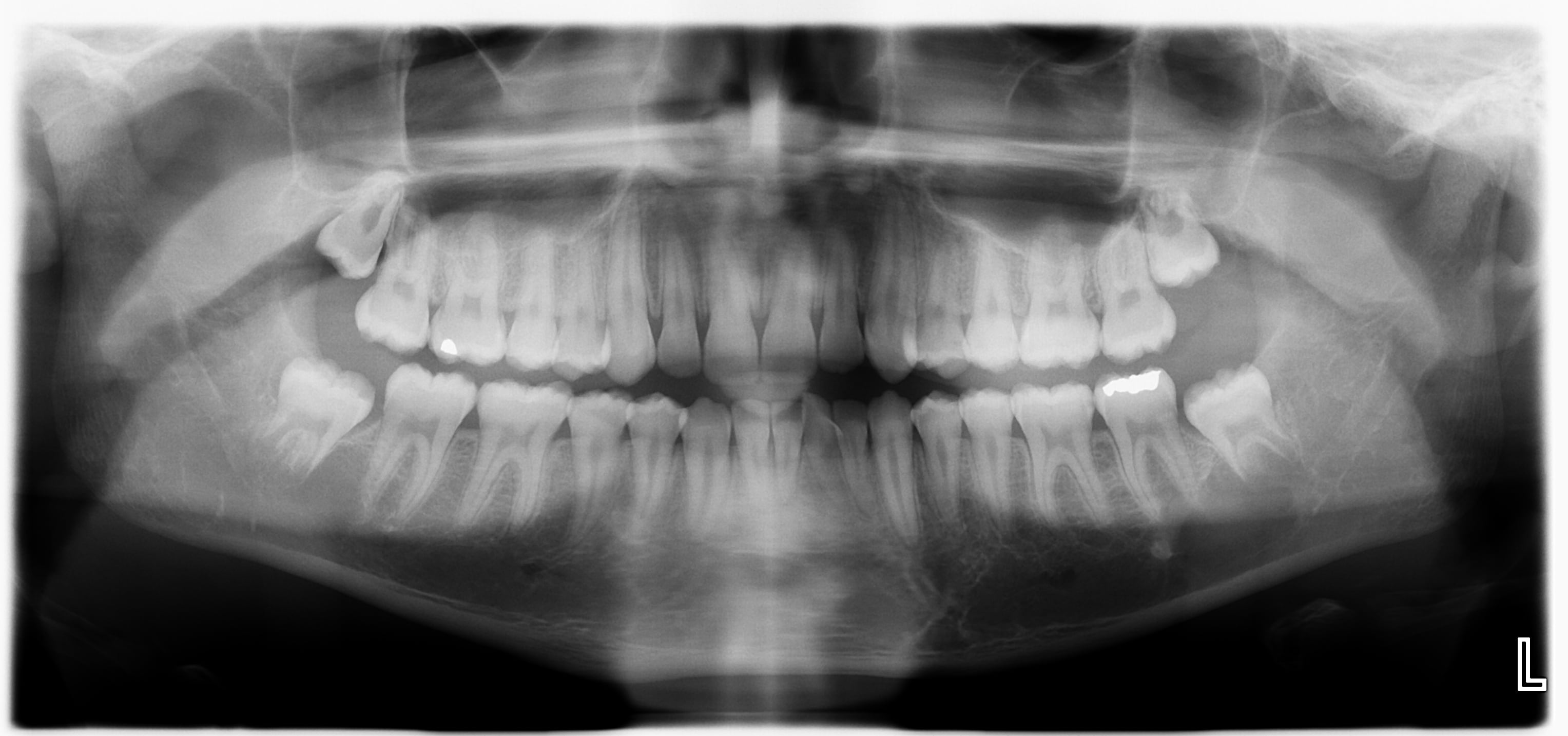
Jeune homme 15 ans, pas d'antécédents ODF, santé RAS, pano de contrôle systématique, ascendance métissée, suivi par moi depuis toujours.

C'est quoi sous la 38? On est d'accord que ce n'est pas un artefact, ça part chez le chir?

(edit: pratiquant de sports de contact)

Merci aux as de la patho.

6tss35x4pwrrltapexhvs9xln10h - Eugenol

Et7jtaj0pdi18gzjlxjiamlx15gs - Eugenol
Prunelles

20/01/2025 à 21h10

Kyste solitaire ?
Et oui ça part chez le chir.


Fear and loathing in las vegas toax7t - Eugenol
Donchico

21/01/2025 à 09h38

Conebeam pour visualiser la lésion et go pour le chir maxillo pour exérèse et anapath.


Nouveau image bitmap fz77zh - Eugenol
Sethef

21/01/2025 à 09h58

C'est adressé pour avis.
Je vous donnerai le diag lorsque je l'aurai.

Bonne journée à tous.


Nouveau image bitmap fz77zh - Eugenol
Sethef

23/01/2025 à 08h22

La chir a vu le grand et propose bien sûr d'enlever 38 et d'envoyer à l'anapath.

Par curiosité, et parce que je ne partage pas son avis pour le reste, qui fait quoi pour les autres dds?
Abstention, germectomie?
(pas d'odf passée ni à prévoir)

Quitte à poster le cas, je déroule la pelote...

Merci pour vos avis.


Gabzou

23/01/2025 à 11h19

A mon avis aucune importance, les 2 se défendent.
Perso, je préviens qu'il n'y a pas la place et qu'il faudra enlever un jour mais que ce sera plus simple si elles sortent, abstention et surveillance.
Mais l'avulsion directe ne me choque pas.


Nouveau image bitmap fz77zh - Eugenol
Sethef

23/01/2025 à 13h20

Il est possible qu'il faille les enlever plus tard (mais 15 ans! la croissance résiduelle de la mâchoire ne me semble pas négligeable).
Mais on évite les suites opératoires d'une germectomie, la tête de hamster en post op et les risques opératoires certes mineurs, mais quand c'est ton môme...

18 28, si on doit les enlever un jour, c'est 2x5minutes.
La 48, à la rigueur, mais je l'imagine tout à fait évoluer favorablement.
Je suis de moins en moins extractionniste avec le temps, je ne l'ai pas encore regretté, mais ça viendra peut-être.


Gabzou

23/01/2025 à 13h45

Ca me va, j'aime bien attendre et surveiller. En tout cas aucune urgence à avulser.


Nouveau image bitmap fz77zh - Eugenol
Sethef

12/05/2025 à 22h44

Pour ceux qui aiment connaître la fin des histoires:
-le cone beam montrait bien une image radioclaire, avec une empreinte sur la corticale
-à l'extraction, kyste osseux solitaire, sans matériau à prélever pour l'anapath.

Bonne soirée.