Cookie Consent byPrivacyPolicies.comDouleur post Endo récalcitrante. - Eugenol

Douleur post Endo récalcitrante.

Fear and loathing in las vegas toax7t - Eugenol
Donchico

24/01/2025 à 16h35

Je suis en train de réaliser un bridge 26 27 28 chez une patiente.
C'est suite à une reprise de carie sous l'ailette d'un vieux bridge collé .
Après la taille de 26 , j'ai choisi d'essayer de la garder vivante.
Malheureusement , une semaine après elle avait des douleurs importantes sur cette dent à la percussion et à la pression.
Je l'ai donc dévitalisée le 19/12/2024.
Suite à ce TR, elle présente des douleurs à la pression sur la dent 26 sans interruption, qui perdurent malgré un traitement antibiotique de 1 semaine début janvier.
Elle est venue avec une sinusite bilatérale à ce moment là.
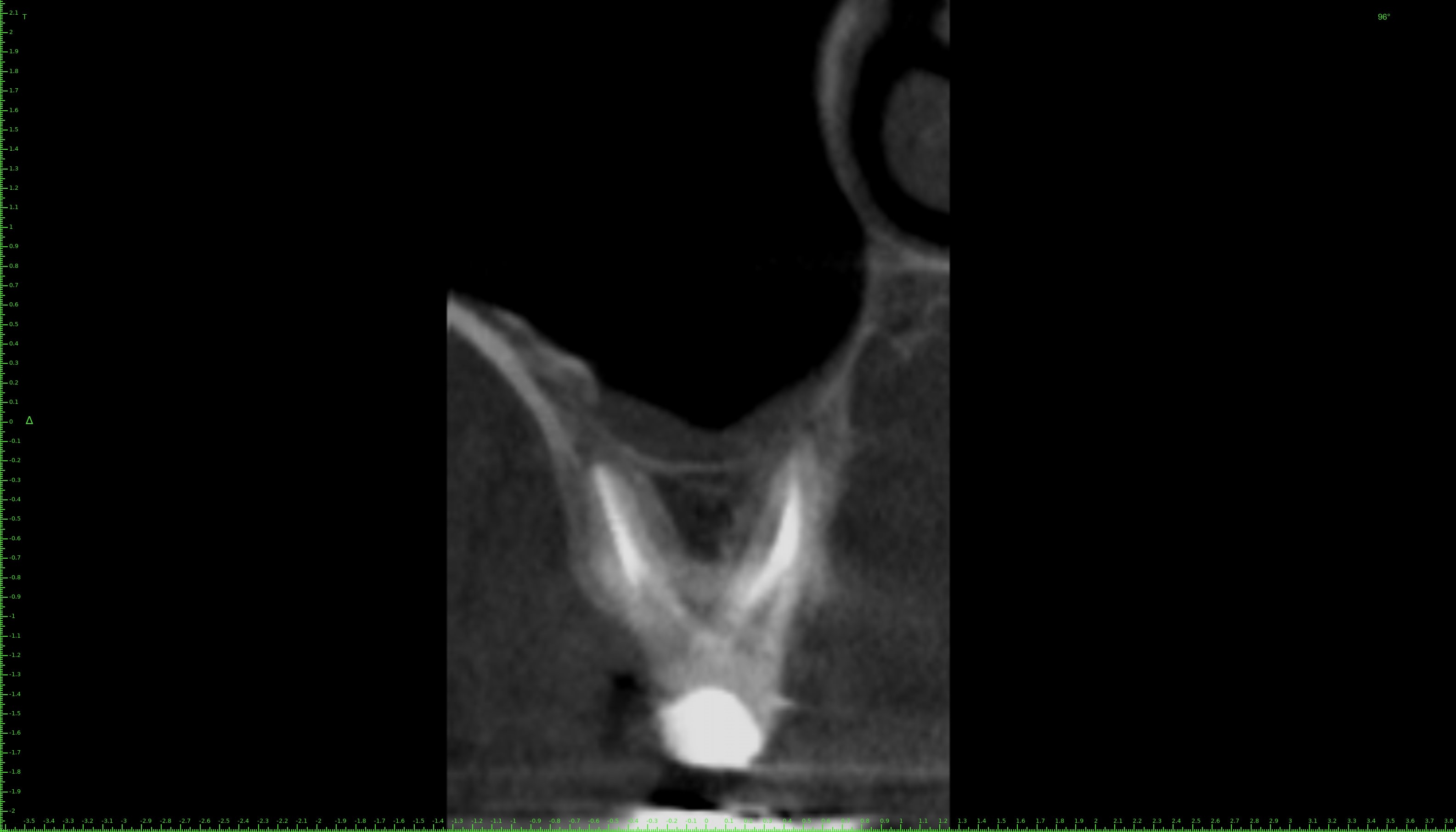
J'ai fait un conebeam de la 26.
L'obturation des racines est correcte, il y a juste une petite image apicale au niveau de la racine palatine avec un léger dépassement de pâte.
Quelle est selon vous la conduite à tenir?
-Reprendre le TR de la racine palatine avec le risque de ré-envoyer de la pâte à l'apex lors de la nouvelle obturation.
-Tenter une ressection apicale de la racine palatine de 26 avec une proximité avec le sinus et l'artère palatine juste au dessus.
-Jouer la montre et laisser en provisoire quelques mois en espérant que la nature face bien les choses
-Adresser à un ORL pour curetage du sinus


M1j80xi5bpom2356kmjve8ukmvx7 - Eugenol
Aikjblgci3n7m2wbj63rujv9qhjv - Eugenol
2s69y13efp1nw3jai6k4re31y38t - Eugenol
Tdmxbfxkykus5sx69v95cfocj4fn - Eugenol
Ibvbxqyqwqvzfofy48257w4oi30q - Eugenol
3jwdq8xlzemgk1sztj9k1u97tbbo - Eugenol

Gabzou

24/01/2025 à 16h52

D'expérience, si toutes les coupes de ton CBCT confirment que ton endo est parfaite, qu'il n'y a pas de canal accessoire, ce type de douleurs post endo permanentes c'est mort. C'est souvent une fissure qui ne sera découverte qu'à l'avulsion ou une douleur qui restera inexpliquée.
Dans ce cas là tu peux faire ce que tu veux, ça ne partira jamais, tu peux préparer l'avulsion.
J'espère me tromper.
Pas sur que la sinusite bilatérale soit liée.

Pour moi: si les douleurs sont supportables, patiente un peu.
A la limite tente la résection apicale si persiste.
Curetage du sinus, aucun intérêt à première vue sauf si récidive latéralisée.

Ne reprends pas le TR si tu ne trouves pas de défaut hors dépassement.
Cherche quand même un MV2, tu as les coupes transversales?


Et7jtaj0pdi18gzjlxjiamlx15gs - Eugenol
Prunelles

24/01/2025 à 17h19

Tu as utilisé quoi comme ciment d'obturation ? Des allergies connues chez la patiente ?

Je laisserais sans provisoire (ou en sous-occlusion+++) jusqu'à disparition des symptômes, puis bridge provisoire pendant quelques mois histoire de tâter le terrain.


Fear and loathing in las vegas toax7t - Eugenol
Donchico

24/01/2025 à 18h30

Ciment Sealite + cone gutta .
Je vais voir pour démonter le bridge provisoire et laisser une provisoire uniquement sue la 28 qui est vivante.
Je vais aussi creuser la piste allergie.
Merci pour vos réponses.


zoulman

25/01/2025 à 07h28

Elle avait ces douleurs avant ton traitement endo d’après ce que je comprends. Ton traitement n’a rien changé ou ça s’est accentué ? La pulpe était encore vivante quand tu as fait l’endo ?


Hok 1b hgd3rj - Eugenol
Hokusai

25/01/2025 à 08h22

y a pas d urgence... perso je temporiserais en prov... oui occlusion légère...


Dentarue

25/01/2025 à 14h38

Pas de coupes horizontales ?
Le MV2 non obturé ici peut parfois, selon sa configuration, causer des douleurs variées.
Je peux me tromper, les coupes ne sont pas idéales pour conclure ☝️


Blue eye thumb medium dx1i0w - Eugenol
bill

25/01/2025 à 15h27

Comme Dentarue.
Je me souviens plus exactement du pourcentage mais MV2 dans plus de 50% des cas sur une 6 en théorie.


--
https://docudent.fr
La plus importante base
documentaire dentaire francophone
_______________________________



Dentarue

25/01/2025 à 19h16

Pour moi c’est quasi 100%, pour les 7 maxillaires pareil.


Fear and loathing in las vegas toax7t - Eugenol
Donchico

27/01/2025 à 19h23

J'ai revu la patiente aujourd'hui, toujours des douleurs à la percussion et à la pression.
Je suis retourné voir s'il y avait un mv2. Je n'ai rien trouvé, j'ai passé un instrument dans la partie palatine du MV1 en espérant trouver une entrée à mi parcours. Je n'ai pas d'instrument qui ont bifurqués
J'ai mis de l'hydroxyde de calcium dans la racine, coupé de bridge provisoire pour ne laisser que la couronne sur 28 qui est vivante et laissé le pilier 26 en sous occlusion avec un IRM pour obturer la chambre.
Pour répondre à Dentarue: je viens de faire des coupes horizontale et centrées sur la racine vestibulaire en tournant autour d'un potentiel MV2. La gutta et le ciment font un joli artefact radio donc ce n'est pas concluant.
Voici une photo de la chambre , j'ai un peu cherché en palatin et vestibulaire une deuxième entrée, mais il n'y a rien.

Aja6jgvqy0awuaa87acaabpcn80z - Eugenol
0medp65gb4r84nnqynwy9jad63yu - Eugenol
5piyh5ujfldss424vf27hkc46opn - Eugenol
8clsfjnplbx88k0sfnvbhgsf1wl0 - Eugenol
36vgefgggiamlwzu6efni6glpxyq - Eugenol
Puf8769v1tmzyv4uhzb49txrjgko - Eugenol
2cdthi7iap9jc97v6xwu1px4qgpp - Eugenol

Dentarue

27/01/2025 à 22h06

On le voit très bien sur ta 3d.


Gbfo08o2ecy6sxsnqko0n3imhewv - Eugenol
Palpatine

28/01/2025 à 06h26

Bien vu Dentarue… du coup tu reprendrais toute l’endo ou seulement les canaux mésiaux?

P9fcmckf1d9teu2xmlcndrmte6nw - Eugenol

Dentarue

28/01/2025 à 08h24

Aucune gloire, on ne voit que ça.
Chercher une deuxième entrée en vestibulaire quand on voit sur cette coupe et sur la coupe horizontale que c’est le palatin qui n’est pas obturé, … les mots me manquent.
Pas de digue, c’est la cerise.


Gabzou

28/01/2025 à 09h48

Palpatine écrivait:
---------
> Bien vu Dentarue… du coup tu reprendrais toute l’endo ou seulement les canaux
> mésiaux?

En bon bricolo un peu feignant, je te dirais qu'à chaque fois que j'ai eu un problème endo lié à un canal non traité, le fait de traiter ce canal a suffit à résoudre le problème.
Après je n'ai pas 200 cas derrière moi non plus, le plus prudent c'est bien sur de tout reprendre, mais dans la vraie vie traiter le problème suffit la plupart du temps.


Avatar transparent iqadnc - Eugenol
adhoc

28/01/2025 à 09h59

>Chercher une deuxième entrée en vestibulaire quand on voit sur cette coupe et sur la coupe horizontale que c’est le palatin qui n’est pas obturé<

???? Le canal palatin est obturé. Voir retroalvelaire en debut de fil.


Dentarue

28/01/2025 à 10h12

Il cherche en vestibulaire de MV mais c’est en palatin de MV qu’il fallait chercher, cela me semblait aller sans dire ☝️
Tout est sur la 3d.


Gabzou

28/01/2025 à 11h04

A sa décharge, il m'a aussi bien fallu 5 minutes pour comprendre que c'était le MV palatin et pas le palatin dont tu parlais (mais en même temps ça n'avait aucun sens, alors j'ai pris le temps de bien regarder les radios et relire).


Fear and loathing in las vegas toax7t - Eugenol
Donchico

28/01/2025 à 14h03

C'est bien en palatin que je suis allé cherché ce deuxième canal (cf la photo de la chambre) Je me retrouve très proche de la furcation et je n'ai pas trouvé l'entrée.
Et oui je n'ai pas posé la digue pour ce rendez-vous où j'ai vu la patiente entre 2.
D'où l'hydroxyde de calcium pour pouvoir finir ça proprement avec du temps.


Dentarue

28/01/2025 à 15h14

C’est moins long de mettre la digue que de placer puis de tenter d’enlever de l’hydroxyde de calcium…
Au dessus tu dis que tu l’as cherché en vestibulaire et palatin : « Voici une photo de la chambre , j'ai un peu cherché en palatin et vestibulaire une deuxième entrée, mais il n'y a rien.« 

Le MV2 n’est pas très proche de la furcation mais plutôt plus mésial que le MV1. Il est très visible à la radio et ne doit pas être bien compliqué à traiter, mais pour ça il faut s’en donner les moyens et ça commence par la digue.

Ce fil n’a ni queue ni tête.
Tu nous dis qu’il n’y a pas de MV2 et tu nous montres des coupes où il saute aux yeux puis tu vois la patiente entre deux pour désobturer MV1 sans digue… et laisser MV2 non traité…
C’est quoi le but ?


Gabzou

28/01/2025 à 16h51

Donchico écrivait:
--------
> C'est bien en palatin que je suis allé cherché ce deuxième canal (cf la photo de
> la chambre) Je me retrouve très proche de la furcation et je n'ai pas trouvé
> l'entrée.

Très profond, mais à mon avis pas assez déplacé en palatin. Ne va pas plus bas, mais élargis. A vue de nez, tu as encore de la marge. Un peu. Enfin je crois.

01r3up4a2x4z8k8ep8lcy5sc8h2w - Eugenol

Dentarue

28/01/2025 à 18h00

Il est plus mésial.


Et7jtaj0pdi18gzjlxjiamlx15gs - Eugenol
Prunelles

28/01/2025 à 18h07

Dentarue écrivait:
--------
> Il est plus mésial.

Par ici ?

@DonChico - Pas le prendre mal, mais je suis surpris que personne n'ai encore critiqué ta cavité d'accès.

18jddfz8rmh6b2d3o52r0nog7xd1 - Eugenol

Et7jtaj0pdi18gzjlxjiamlx15gs - Eugenol
Prunelles

28/01/2025 à 18h07

Ca me rappelle une discussion animée tout ca...

Pu7d32qbkadvrtp054r0iacyaz76 - Eugenol

Dentarue

28/01/2025 à 18h39

Prunelles écrivait:
---------
> Dentarue écrivait:
> --------
> > Il est plus mésial.
>
> Par ici ?
>
> @DonChico - Pas le prendre mal, mais je suis surpris que personne n'ai encore
> critiqué ta cavité d'accès.

Si ce qu’on voit est le MV1 désobturé, le MV2 est à peu de chose près là où est ta flèche verte. Son entrée est souvent plus apicale. Le trouver est une chose, le négocier une autre, souvent bien chronophage.
Avec de la lumière, du grossissement, une cale, une digue étanche, une bonne assistante, tout est plus facile.


Fear and loathing in las vegas toax7t - Eugenol
Donchico

28/01/2025 à 18h45

ok merci pour les conseils. Ça c'est constructif.
L'histoire de l'entrée du canal plus palatin et mésial , c'est ce que je me suis dit aussi en voyant ma photo de la cavité d'accès.
Mais quand je vois à quelle profondeur je suis au niveau de la racine , je me suis dit que je serai retombé sur le canal MV2 sans jouer avec la zone de furcation de la molaire.
C'est toujours stressant d'aller à la pêche dans ces zones là quand il y a une calcification de la chambre.


12