Cookie Consent byPrivacyPolicies.comReconnaissance implantaire - Eugenol

Reconnaissance implantaire

moi22

04/02/2025 à 10h03

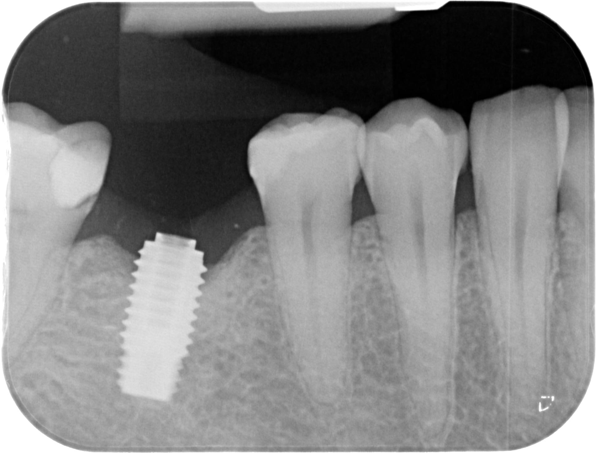
Bonjour à tous, j'ai besoin d'aide svp !!
Je recherche une identification d'implant suite à fracture pilier.

Merci d'avance.

A5b5x7ch1d56hsbl46d8rvb2dsvs - Eugenol