Cookie Consent byPrivacyPolicies.comreconnaissance implantaire - Eugenol
moi22

07/02/2025 à 22h16

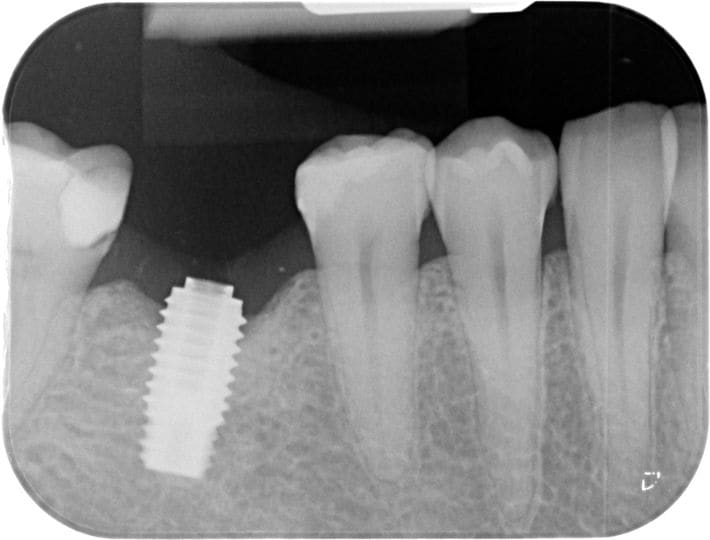
Bonjour à tous, j'ai besoin d'aide svp !!
Je recherche une identification d'implant suite à fracture pilier.

Merci d'avance.

Gz81h7857iuufejg9o4b4p9e5s64 - Eugenol