Cookie Consent byPrivacyPolicies.comagénésie multiple - Eugenol

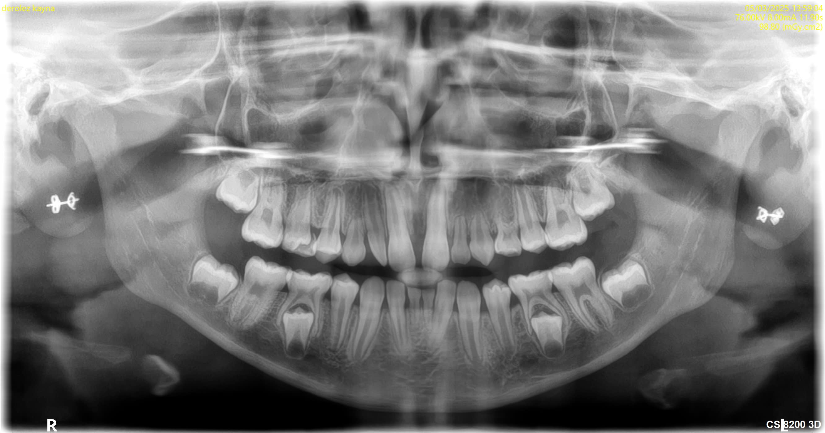
agénésie multiple

burnax

05/03/2025 à 14h16

Bonjour, comment gérez -vous ce cas dans le temps l' enfant, âgé de 10 ans ?

merci

Ficvec5uj2jyzwkw72x9jt3eiv9h - Eugenol

Et7jtaj0pdi18gzjlxjiamlx15gs - Eugenol
Prunelles

05/03/2025 à 14h36

Le nom de la patiente est visible dans le titre de la photo.

En cas d'oligodontie, une recherche de syndrome associé est conseillé.
Rapprocher la patiente d'un centre de référence et surtout d'un ODF.