Cookie Consent byPrivacyPolicies.comReconstitution sans ancrage - Eugenol

Reconstitution sans ancrage

Gabzou

01/04/2025 à 10h30

Une petite goutte de compo flow sur une entrée, ca contraste bien avec le plancher nacré.
Par contre une chambre intégralement collée c'est l'horreur, quand tu traverses le compo tu n'as aucune idée d'où tu arrives, c'est physiquement impossible de ne pas abîmer le plancher.


dentiste avisé

01/04/2025 à 10h40

enlaye écrivait:
------
> Je ne comprends pas , vous venez de faire un ttt canalaire et vous prévoyez déjà
> de le refaire .
> Ce n est quand même pas du consommable ce ttt .

Tu garantis ton traitement combien de temps? Moi je soigne des patients depuis 40 ans.


dentiste avisé

01/04/2025 à 10h41

Gabzou écrivait:
------
> Une petite goutte de compo flow sur une entrée, ca contraste bien avec le
> plancher nacré.
> Par contre une chambre intégralement collée c'est l'horreur, quand tu traverses
> le compo tu n'as aucune idée d'où tu arrives, c'est physiquement impossible de
> ne pas abîmer le plancher.

Exactement mon avis.


Dentarue

01/04/2025 à 14h15

Coller ses compos au dycal c’est la loi de l’éternel provisoire ☝️


leplombier

01/04/2025 à 14h54

marquer les entrées de canaux...mais pourquoi? Vous n'utilisez pas de gutta qu'est bien colorée déjà?


Gabzou

01/04/2025 à 17h43

Ah mais moi je ne mets rien pour marquer, et je préfère qu'il y ait un tenon, au moins on voit la direction à suivre. Je dis juste que remplir la dent au compo pour le plaisir c'est problématique en cas de retraitement.
Concernant le la présence d'un fond de cavité, je n'ai jamais rencontré de situation dans laquelle c'est ça qui menacerait la pérennité de la restauration au dessus. S'il y a des parois ça tiendra quand même (couronne, onlay, soin direct sans ancrage, fond de cavité et CVI ou compo dessus), s'il n'y en a pas assez c'est là qu'on fait un tenon fibré et là il y a de bonnes raisons de mettre du compo partout mais le canal le plus large sera facile à retrouver en suivant le tenon, et ensuite on sait où est le plancher et on retrouve facilement le reste. Et evidemment un compo qui contraste un max avec la dentine tant qu'à faire.
Mais combler au compo pour combler quand on a déjà assez de parois pour faire une couronne pérenne, je ne vois pas l'intérêt.


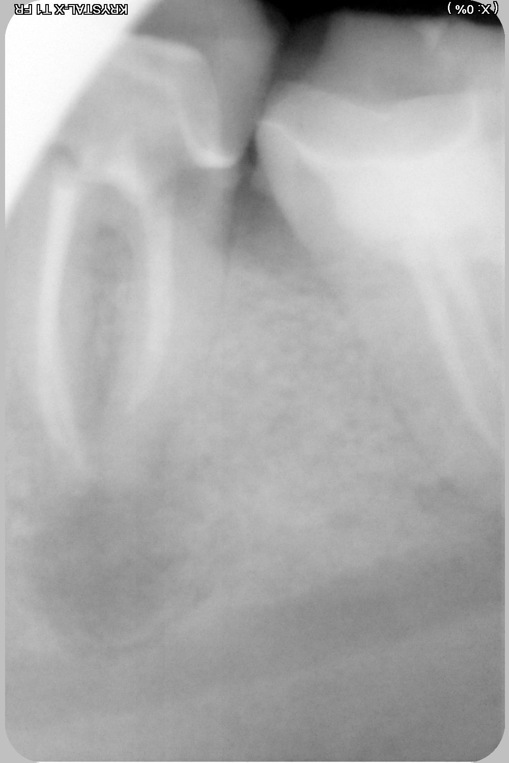
dentiste avisé

04/04/2025 à 17h45

Eh bien je viens d'avoir un patient dont la 37 était obturée avec du compo jusque dans l'entrée des canaux. Je ne vois même pas l'entrée des canaux en vision directe. Il y aurait eu en eugenate au fond j'aurai pris dix fois moins de risque, eucalyptus qui dissout l'eugenate et l'entrée se trouve toute seule. Pas de gutta.

Ez6qog2owz6bwn5mu2tvj9nfq4q7 - Eugenol

12