Cookie Consent byPrivacyPolicies.comWash technique et silicone recommandés - Eugenol

Wash technique et silicone recommandés

Vw campersurfvan bmnk1q - Eugenol
enlaye

30/03/2025 à 16h48

alors que si tu diffères , sans prov , la gencive est superbe , tu reprends tes limites un mordu et basta , pas de fil rien , le light rentre dans le sulcus sans pb et le jour de la pose rien a bougé et la couronne n est plus un pb . aller hop tac-tac badaboum envoyez 440e .
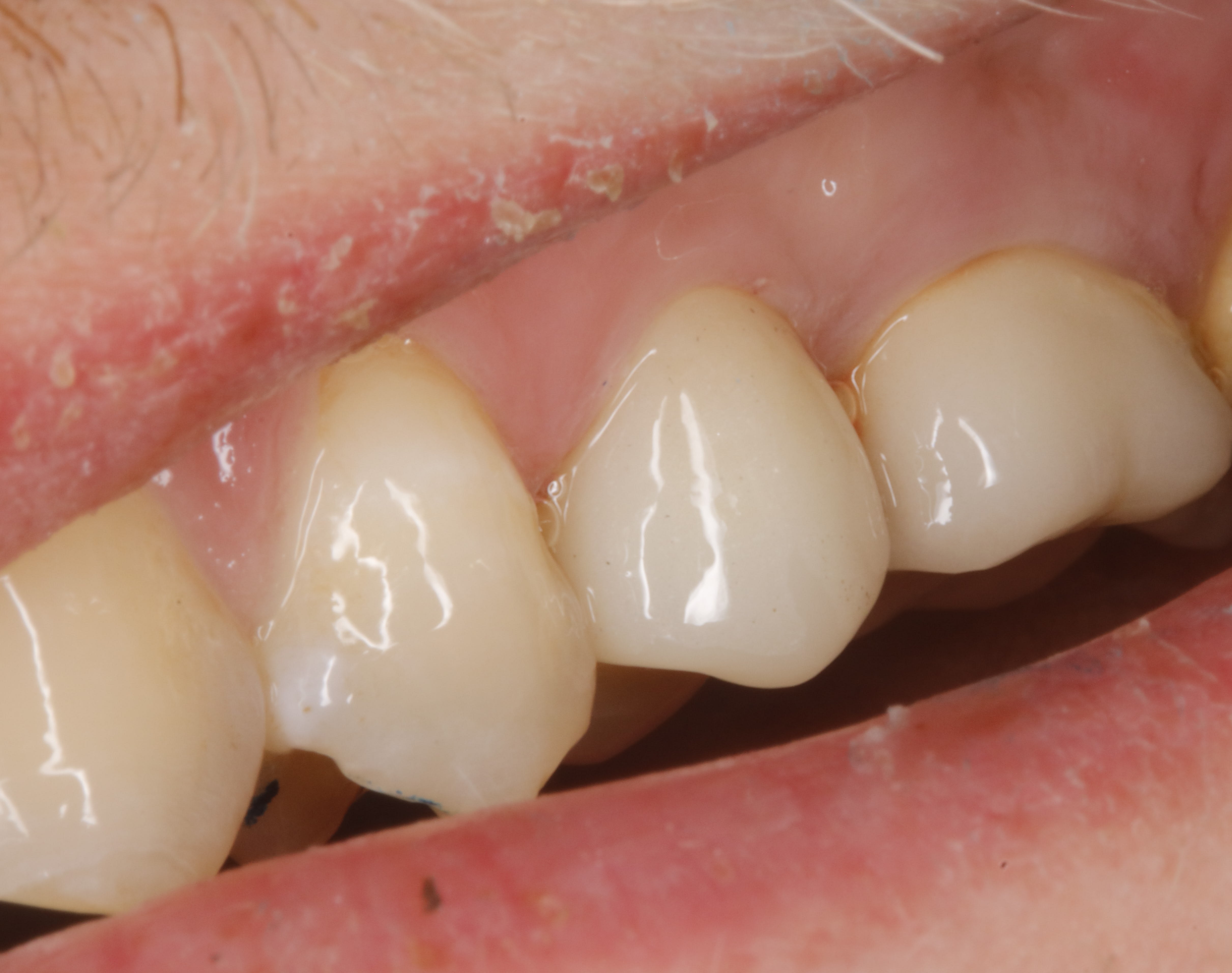
les 2 photos le jour du scellement .

3e48jkz0l920nfc3fd2occev5xgl - Eugenol
0btmssgh5bka95ga57koq3tjwwbg - Eugenol

Vw campersurfvan bmnk1q - Eugenol
enlaye

30/03/2025 à 18h50

MiendoAmb écrivait:
---------
" En laye, si j’ai bien saisi tu mets du Téflon entre lourd et light.
Tu le faisais en un seul temps je crois bien. "

excuses moi je t ai répondu en 2 temps mais en relisant le fil , je vois que je faisais aussi le coup du téflon en un seul temps .
m en souvenais plus


dentiste avisé

31/03/2025 à 15h13

Coltene Speedex lourd ( ne pas prendre le soft, trop mou) et light


12