Tous les forums
Impression 3D
25/08/2025 à 09h22
Tien pour te montrer comment les attaches c'est indispensable.
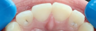
Scan que je viens juste de recevoir. Trois mois de traitement , extraction d'une incisive supplémentaire.
Là j'ai quatre attache sur le bas ce qui est deux de plus, comparé à ce que je fais habituellement. Les deux attache en plus c'est pas due à l'extraction de l'incisive surnuméraire mais à la rotation de 33 43
--
หมอจัดฟัน
25/08/2025 à 22h20
seespan écrivait:
-------
> 2 les taquets ne servent pas à grand chose pour les aligneurs. Je sais que je
> vais heurté des utilisateur d'Align qui utilise un taquet par dent, mais c'est
> plus lié au workflow d'aligne et l'impossibilité de tester qu'une réalité
> clinique.
>
>
> --
> หมอจัดฟัน
หมอฟันจัดฟันตัวตลกที่รัก
Les taquets sont la pour la mécanique. Une gouttière seule glisse sur certaines dents et ne peut pas générer tous les mouvements complexes. Les taquets créent des points de contact précis, permettant rotations, torque et déplacements verticaux. Leur rôle est fonctionnel : sans eux, certains mouvements sont inefficaces ou impossibles, quel que soit le workflow du logiciel.
26/08/2025 à 04h42
ELGY écrivait:
----
> seespan écrivait:
> -------
>
> > 2 les taquets ne servent pas à grand chose pour les aligneurs. Je sais que je
> > vais heurté des utilisateur d'Align qui utilise un taquet par dent, mais c'est
> > plus lié au workflow d'aligne et l'impossibilité de tester qu'une réalité
> > clinique.
> >
> >
> > --
> > หมอจัดฟัน
>
> หมอฟันจัดฟันตัวตลกที่รัก
>
> Les taquets sont la pour la mécanique. Une gouttière seule glisse sur certaines
> dents et ne peut pas générer tous les mouvements complexes. Les taquets créent
> des points de contact précis, permettant rotations, torque et déplacements
> verticaux. Leur rôle est fonctionnel : sans eux, certains mouvements sont
> inefficaces ou impossibles, quel que soit le workflow du logiciel.
>
>
--
หมอจัดฟัน
Ca fait prêt d'une décade que je fais du in-house et l'un des avantages que j'ai c'est que je peut tester.
Avec Align ou un labo tu ne peut pas vraiment vue que l'on t'envois une grosse séries d'aligneur d'un coup. In-house je peut faire une série de 1 ou 2 mois pour tester et si c'est pas bon je change ma mécanique/refait des aligneur.
J'ai commencé en utilisant pas mal d'attachement (photo d'un de mes tout premier cas, c'est pas un attachement une dent mais pas loin ) et petit à petit j'ai enlever ce qui ne server à rien.
Pour les mouvements impossible sans attachements tu as deux catégorie
Ceux ou l'attache sert à maintenir l'aligneur en place , ceux là sont utiles
Ceux qui servent à transmettre la force à la dent car son anatomie n'offre pas de surface utile, ça c'est la catégorie piège à cons et j'utilise très très très ( j'insiste sur le très ) rarement. Car même un gros attachement à une petite surface comparé à une dent.
Quand je fais un court sur les aligneurs, la partie attachement ça dure 20 minutes grand max, les 3/4 du temps étant utilisé à justifier leur grand inutilité.
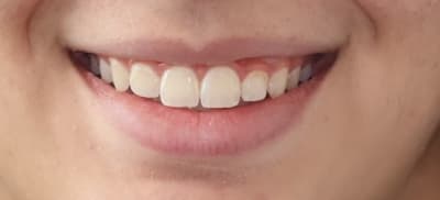
Regarde le cas posté plus haut, trois mois de progression, 50$ de cout total pour produire les aligneurs. Les deux attaches sur les canines sont à mon avis inutiles.
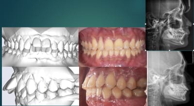
Les deux scans sur la second photo c'est un avant après envoyé par un étudiant. Sa clinique n'arrivait a rien avec ce cas et il y a avait quasi un attachement par dent. Le après c'est trois mois plus tard avec quasi pas d'attachement :-) .
Pour faire bref, soit un attachement sert à stabiliser l'aligneurs, soit tu tente de faire un mouvement qui n'est pas favorable avec les aligneurs = le traitement vas être long + risque d'échec à ce niveau.
28/08/2025 à 19h06
Talouri84 écrivait:
---------
> bonsoir à tous, est ce que quelqu'un a des retours sur les imprimantes luxcreo?
> plus besoin de thermoformage, mais impression directe de l'aligneur !
Pas mal, je viens de regarder la vidéo sur YouTube, et c’est plutôt intéressant.
L’impression 3D est une véritable révolution qui permet d’atteindre une précision remarquable. Pour l’instant, de notre côté, nous l’utilisons surtout pour imprimer un modèle qui ne sert qu’une trentaine de secondes, le temps de thermoformer dessus ... :/
L’impression directe, elle, tend à se développer, car elle fait gagner à la fois en précision, en temps de travail, et même en termes de pollution !!
Mais, à ma petite échelle, je constate encore plusieurs limites : le prix des aligneurs reste élevé à cause du coût des résines, et il est malgré tout nécessaire de terminer par une phase de polissage ... De plus, certains trouvent que les supports utilisés lors de l’impression 3D laissent des marques parfois non négligeables sur les aligneurs.
28/08/2025 à 19h10
seespan écrivait:
-------
> ELGY écrivait:
> ----
> > seespan écrivait:
> > -------
> >
> > > 2 les taquets ne servent pas à grand chose pour les aligneurs. Je sais que
> je
> > > vais heurté des utilisateur d'Align qui utilise un taquet par dent, mais
> c'est
> > > plus lié au workflow d'aligne et l'impossibilité de tester qu'une réalité
> > > clinique.
> > >
> > >
> > > --
> > > หมอจัดฟัน
> >
> > หมอฟันจัดฟันตัวตลกที่รัก
> >
> > Les taquets sont la pour la mécanique. Une gouttière seule glisse sur
> certaines
> > dents et ne peut pas générer tous les mouvements complexes. Les taquets créent
> > des points de contact précis, permettant rotations, torque et déplacements
> > verticaux. Leur rôle est fonctionnel : sans eux, certains mouvements sont
> > inefficaces ou impossibles, quel que soit le workflow du logiciel.
> >
> >
>
>
>
> --
> หมอจัดฟัน
>
> Ca fait prêt d'une décade que je fais du in-house et l'un des avantages que j'ai
> c'est que je peut tester.
> Avec Align ou un labo tu ne peut pas vraiment vue que l'on t'envois une grosse
> séries d'aligneur d'un coup. In-house je peut faire une série de 1 ou 2 mois
> pour tester et si c'est pas bon je change ma mécanique/refait des aligneur.
> J'ai commencé en utilisant pas mal d'attachement (photo d'un de mes tout premier
> cas, c'est pas un attachement une dent mais pas loin ) et petit à petit j'ai
> enlever ce qui ne server à rien.
>
> Pour les mouvements impossible sans attachements tu as deux catégorie
> Ceux ou l'attache sert à maintenir l'aligneur en place , ceux là sont utiles
> Ceux qui servent à transmettre la force à la dent car son anatomie n'offre pas
> de surface utile, ça c'est la catégorie piège à cons et j'utilise très très très
> ( j'insiste sur le très ) rarement. Car même un gros attachement à une petite
> surface comparé à une dent.
>
> Quand je fais un court sur les aligneurs, la partie attachement ça dure 20
> minutes grand max, les 3/4 du temps étant utilisé à justifier leur grand
> inutilité.
> Regarde le cas posté plus haut, trois mois de progression, 50$ de cout total
> pour produire les aligneurs. Les deux attaches sur les canines sont à mon avis
> inutiles.
> Les deux scans sur la second photo c'est un avant après envoyé par un étudiant.
> Sa clinique n'arrivait a rien avec ce cas et il y a avait quasi un attachement
> par dent. Le après c'est trois mois plus tard avec quasi pas d'attachement :-) .
>
> Pour faire bref, soit un attachement sert à stabiliser l'aligneurs, soit tu
> tente de faire un mouvement qui n'est pas favorable avec les aligneurs = le
> traitement vas être long + risque d'échec à ce niveau.
C’est pour ça que je kifff Eugenol : on y trouve des retours d’expérience clinique vraiment précieux. C’est exactement ce genre d’échanges qui font évoluer la science et la font progresser !
Si vous avez d’autres tips, notamment sur la biomécanique des aligneurs, je suis preneur hahaha 😄
28/08/2025 à 19h14
ELGY écrivait:
----
> seespan écrivait:
> -------
>
> > 2 les taquets ne servent pas à grand chose pour les aligneurs. Je sais que je
> > vais heurté des utilisateur d'Align qui utilise un taquet par dent, mais c'est
> > plus lié au workflow d'aligne et l'impossibilité de tester qu'une réalité
> > clinique.
> >
> >
> > --
> > หมอจัดฟัน
>
> หมอฟันจัดฟันตัวตลกที่รัก
>
> Les taquets sont la pour la mécanique. Une gouttière seule glisse sur certaines
> dents et ne peut pas générer tous les mouvements complexes. Les taquets créent
> des points de contact précis, permettant rotations, torque et déplacements
> verticaux. Leur rôle est fonctionnel : sans eux, certains mouvements sont
> inefficaces ou impossibles, quel que soit le workflow du logiciel.
>
>
Très intéressant, Elgy ! Merci pour votre retour
Avez-vous également des retours ou des conseils pratiques que vous auriez pu observer ou tester notamment concernant les mouvements inefficaces ou parfois impossibles avec les aligneurs ?
29/08/2025 à 03h31
Sam Shippuden écrivait:
-------------
> Talouri84 écrivait:
> ---------
> > bonsoir à tous, est ce que quelqu'un a des retours sur les imprimantes
> luxcreo?
> > plus besoin de thermoformage, mais impression directe de l'aligneur !
>
> Pas mal, je viens de regarder la vidéo sur YouTube, et c’est plutôt intéressant.
> L’impression 3D est une véritable révolution qui permet d’atteindre une
> précision remarquable. Pour l’instant, de notre côté, nous l’utilisons surtout
> pour imprimer un modèle qui ne sert qu’une trentaine de secondes, le temps de
> thermoformer dessus ... :/
>
> L’impression directe, elle, tend à se développer, car elle fait gagner à la fois
> en précision, en temps de travail, et même en termes de pollution !!
> Mais, à ma petite échelle, je constate encore plusieurs limites : le prix des
> aligneurs reste élevé à cause du coût des résines, et il est malgré tout
> nécessaire de terminer par une phase de polissage ... De plus, certains trouvent
> que les supports utilisés lors de l’impression 3D laissent des marques parfois
> non négligeables sur les aligneurs.
--
หมอจัดฟัน
La précision de l'impression pour les aligneurs ne sert A RIEN, c'est un très bon argument commercial par contre. C'est d'ailleurs impressionnant de voir sur les groupes US nos confrère qui avait des frissons en parlant de leur super précise imprimante à plusieurs K , quand invisaligne imprime ses modèles à 180 micron.
mais comme j'explique en court, si vous étiers très intelligent ou très ambitieux vous ne sérier pas en dentaire. Triste mais vrais..
29/08/2025 à 03h36
Sam Shippuden écrivait:
> Très intéressant, Elgy ! Merci pour votre retour
> Avez-vous également des retours ou des conseils pratiques que vous auriez pu
> observer ou tester notamment concernant les mouvements inefficaces ou parfois
> impossibles avec les aligneurs ?
--
หมอจัดฟัน
Très simple , si tu veux avoir une idée de la possibilité de faire un mouvement, tu vas regarder la bibliothèque de cas en ligne d'invisaling et tu cherches les mouvement correspondant à ce que tu veux faire.
Je fais ça quand on me demande de faire un mouvement ou je doute de la faisabilité. Généralement consulter les cas d'align me conforte dans l'idée que malgré la pub les dit mouvement ne sont pas vraiment possible :-)
Dans l'absolue tout les mouvement sont possible, la question c'est combien de temps ça va prendre avec un système qui est mécaniquement moins efficace que les bagues et donc qu'elle va être le cout, car dès que tu atteint un certain temps de traitement les aligneurs devienent moins rentable que les bagues.
Mais en gros , si la couronne bouge plus que l'apex c'est prédictible, si l'apex bouge plus que la couronne tu oublie.
05/10/2025 à 14h58
Update :
J’ai réalisé mon premier setup avec OnyxCeph, avec l’aide d’un ami et de nombreuses ressources, documents, forum et tutoriels YouTube, haha.
C’est vraiment passionnant de découvrir tous les outils disponibles pour déplacer les dents sur OnyxCeph !
Nous avons effectué les déplacements dentaires nécessaires pour le cas, puis nous avons trouvé une option intéressante (celle que j’avais d’ailleurs mentionnée sur le forum) pour le staging.
Cela permet de planifier les mouvements dans un ordre précis, en essayant, à mon niveau, de ne réaliser que des mouvements qui se complètent bien entre eux.
Globalement, nous avons déjà géré le secteur postérieur par expansion via vestibularisation (même si, théoriquement, cela entraîne davantage de bascule corono-vestibulaire).
Pour limiter cet effet, nous avons associé une ingression postérieure (nécessaire dans ce cas) avec une rétroversion antérieure, ce qui crée une bonne synergie avec l’expansion.
Une fois le postérieur géré, nous avons travaillé sur le secteur antérieur : disposer d’un ancrage postérieur solide optimise en effet les mouvements antérieurs.
J’aime beaucoup cette approche du staging, car je me dis que la prédictibilité des mouvements sera encore mieux optimisée.
Certes, avec le staging j’ai augmenté le nombre d’aligneurs, mais je me disais que je pourrais proposer à la patiente de changer les aligneurs chaque semaine, puisque, en théorie, les mouvements sont ordonnés et donc plus progressifs.
Qu’en pensez-vous ? N’hésitez pas à me faire part de vos critiques, elles m’aident vraiment à progresser.
Bonne fin de week-end à vous !
06/10/2025 à 04h11
1 les 3/4 des attachments ne servent à rien
2 vue que l'occlusion postérieur est stable pourquoi vouloir la changer ?
3 l'outil pour le stripping est nuisible, c'est fait selon l'axe mesio distal qui est arbitraire/modifiable et sur des dents qui ont était reconstruite à ce niveau, utilise juste la valeur de collision
4 ton setup final est PARFAIT donc il est nulle. Avec les aligneurs tu à en moyenne 50% des mouvement décrit mais c'est une moyenne, ça varie de 0 à 90% suivant la dent, le mouvement, si le patient porte ou pas. Si tu fais de l'invisalign tu fait des compensations , un max donc ton setup final est habituellement horrible. Dans ton cas vue que tu veux corriger un supraclusion tu devrais finir avec une béance virtuelle
5 tu fais trop d'aligneur à la fois, surtout pour un débutant
On fait une formation in-house aligneur de 3 jours en Français à Saigon en Fevrier si ça t'intéresse . Mais en bref pour tes premier cas commence par du tipping.
--
หมอจัดฟัน
06/10/2025 à 17h52
Merci beaucoup pour la réponse, Seespan ^^
1/ Oui, c’est vrai ! Lors du placement des taquets, j’ai bien pensé à vos conseils, mais comme c’était mon premier set-up et que je me suis lancé dans un traitement de 6 à 6 avec expansion et ingression latérale gauche, je me suis dit : « autant y aller ! ».
Comme il s’agissait de ma petite cousine, je me suis dit aussi que j’aurais plus de visibilité et de compliance (en théorie, haha).
Mais vous avez raison sur le principe de limiter le nombre de taquets au strict nécessaire, ici, c’était surtout de l’appréhension de ma part 😅
Quels taquets auriez-vous supprimés, selon vous ?
2/ J’ai réalisé une expansion après analyse du sens transversal, car je souhaitais aussi obtenir une rétroversion et une ingression antérieure.
L’ingression latérale gauche vient de l'analyse clinique que l'on voit aussi lors de l’observation faite sur l’image 2 (ci-jointe).
Je doute toutefois pouvoir la corriger efficacement sans mini-vis, c’est pourquoi nous avons paramétré des mouvements plus lents, synergiques, et ajouté plusieurs taquets postérieurs pour le contrôle 😄
3/ Merci pour ce précieux conseil !
En cherchant des tutos sur les tableaux de staging en ligne, j’ai remarqué qu’ils utilisaient beaucoup la valeur E, que j’ai compris ensuite comme correspondant à la collision.
Si, par exemple, une collision apparaît à l’aligneur 9, pensez-vous qu’on puisse intervenir avant si l’espace est déjà favorable à un stripping ?
Ici, j’ai également travaillé avec les collisions, mais d’une manière un peu plus “artisanale” 😅
Elle présente une 12 plus volumineuse que sa controlatérale 22, ainsi qu’une légère déviation du milieu mx vers la gauche, d’où le stripping que j’ai planifié de cette façon ^^
4/5 Je note également ces conseils, merci encore !
PS : Auriez-vous un lien à partager pour la formation, svp ? Et pour vous existe t'il une différence significative entre le mono et le tri couches ?
07/10/2025 à 03h56
Sam Shippuden écrivait:
-------------
> Merci beaucoup pour la réponse, Seespan ^^
>
> 1/ Oui, c’est vrai ! Lors du placement des taquets, j’ai bien pensé à vos
> conseils, mais comme c’était mon premier set-up et que je me suis lancé dans un
> traitement de 6 à 6 avec expansion et ingression latérale gauche, je me suis dit
> : « autant y aller ! ».
Mauvais raisonnement, c'est du in-house, commence avec le minimum de taquet et regarde si tu en as besoin de plus après . Mettre plein de taquet dès le début c'est un logique de labo car tu fait tout du début à la fin et ne peut pas changer en cour de route .
> Comme il s’agissait de ma petite cousine, je me suis dit aussi que j’aurais plus
> de visibilité et de compliance (en théorie, haha).
> Mais vous avez raison sur le principe de limiter le nombre de taquets au strict
> nécessaire, ici, c’était surtout de l’appréhension de ma part 😅
> Quels taquets auriez-vous supprimés, selon vous ?
>
Comme d'hab j'en aurais juste mis un sur les 5 ou les 4 .
> 2/ J’ai réalisé une expansion après analyse du sens transversal, car je
> souhaitais aussi obtenir une rétroversion et une ingression antérieure.
> L’ingression latérale gauche vient de l'analyse clinique que l'on voit aussi
> lors de l’observation faite sur l’image 2 (ci-jointe).
> Je doute toutefois pouvoir la corriger efficacement sans mini-vis, c’est
> pourquoi nous avons paramétré des mouvements plus lents, synergiques, et ajouté
> plusieurs taquets postérieurs pour le contrôle 😄
Tes taquet ne servent A RIEN, tout ce que tu entends sur le positionnement pour transmettre la force c'est du vent. Un taquet ne sert qu'a s'assurer que l'aligneur est en place . Pour l'intrusion de la molaire c'est l'un des mouvement les plus prédictif qui soit, tu à juste à faire un peut de compensation. Si joint deux scan d'un cas ou l'on à fait trois intrusion en même temps. Aucun soucie. Si tu veux faire des mouvement de tipping aucun soucie n'ont plus, si par contre tu veut faire des mouvement ou l'apex bouge plus que la couronne là n'ont plus aucun soucie vue que rien ne vas bouger dans 95% des cas.
> 3/ Merci pour ce précieux conseil !
> En cherchant des tutos sur les tableaux de staging en ligne, j’ai remarqué
> qu’ils utilisaient beaucoup la valeur E, que j’ai compris ensuite comme
> correspondant à la collision.
> Si, par exemple, une collision apparaît à l’aligneur 9, pensez-vous qu’on puisse
> intervenir avant si l’espace est déjà favorable à un stripping ?
> Ici, j’ai également travaillé avec les collisions, mais d’une manière un peu
> plus “artisanale” 😅
> Elle présente une 12 plus volumineuse que sa controlatérale 22, ainsi qu’une
> légère déviation du milieu mx vers la gauche, d’où le stripping que j’ai
> planifié de cette façon ^^
Tu à fait une usine à gaz. Le staging ne marche que pour les cas méga simple, pour te dire à quel point le stagging est méga important, orthoanalyseur à/avait les système de staging le plus complet et de loin. Les ortho US l'on laissé tomber pour un software objectivement beaucoup plus basique mais MEGA plus chère , le truc c'est que la société qui le vend à compris qu'il fallait payer des ortho connue pour expliqué au ortho US que c'était le top du top. Et ça marche c'est quasi la seul option utilisé maintenant.
Et bien entendue quand j'essais d'en discuter avec des utilisateurs ils sont dans la total incapacité de m'expliqué pourquoi ils sont passés sur cette option.. A part une fois, une fois j'ai eux un ortho qui m'a ressortie façon copié collé les arguments de vente de l'équipe marketing, qui était de la soupe...
Juste pour te dire que le stagging c'est tellement important que des black diamond provider on laissé tomber le meilleurs système pour du basique, quand un ortho connue leur à dit que c'était mieux , et à l'usage ils ne se plaignent pas , mais bien entendue comme d'habitude ils ne montre pas de cas.
> 4/5 Je note également ces conseils, merci encore !
>
> PS : Auriez-vous un lien à partager pour la formation, svp
J'enverrais les détailes quand ça s'aura finalisé .
? Et pour vous existe
> t'il une différence significative entre le mono et le tri couches ?
Non, j'ai commencé le in-house ne mono couche , puis j'ai commencé à faire mes cas vraiment compliqué avec un plastique à splint à 0.5 centime la feuille ( deuxième photo , scan initiaux because les dentiste vietnamien à la clinique avait paumé les photos, et lat ceph avant après pour prouvé à des ortho US que j'avait bien fait une intrusion des secteurs ant et pas une extrusion des secteur post , ce qui aurait était plus impressionnant au passage ), maintenant je travaille en multi couche.
Si tu te penche sur le in-house tu vas avoir un peut le même shéma de publication que les SLB. C'est à dire BEAUCOUP de discussion théorique ( genre les explication que tu m'a sortie sur ton setup ), mais pour le in-house quasi AUCUN publication clinique et pour les SLB aucune publication clinique montrant une supériorité.
Donc ça te donne des courts, post, publication t'expliquant que le multicouche/SLB ç'est différent dans un labo ( et ça l'est , avec plein de jolie graphe ) mais étonnement peut de post te montrant quelque chose du genre :
- voilà ce cas à était fait en mono couche et vous voyer la quantité de mouvement que j'arrive à obtenir, et maintenant avec le multicouche vous voyer que j'ai un bien meilleur % de suivie des mes setups.
--
หมอจัดฟัน
15/10/2025 à 06h19
Post sur l’efficacité du workflow en orthodontie par aligneurs
Ce post aborde le workflow et l’une des raisons pour lesquelles produire trop d’aligneurs en une seule fois peut s’avérer inefficace.
L’une des causes – mais pas la seule – est que seul un certain pourcentage des mouvements prescrits est réellement exprimé cliniquement. Ce pourcentage varie selon le patient, la dent concernée et le type de mouvement. Cependant, plus le traitement est long, plus ce pourcentage global diminue, ce qui signifie que les aligneurs deviennent progressivement moins efficaces.
Exemple de cas
Voici un exemple : un petit articulé inversé avec encombrement.
Les scans sont représentés en blanc, et les setups finaux de chaque série en couleur.
Première série (3 mois) :
L’objectif était de corriger l'articulé inversé par expansion et intrusion de la 22.
Le setup final (photo 1) montre une compensation intégrée avec une intrusion accentuée de la 22.
Le scan réalisé à la fin de la série montre la correction de l'articulé inversé, avec environ 50 % de l’intrusion planifiée réellement obtenue.
Deuxième série (2 mois) :
Cette phase visait à corriger la béance. Là encore, on observe une différence notable entre le setup final (photo 2) et le nouveau scan.
Si j’avais réalisé une seule série de 5 mois, le résultat aurait été nettement moins bon et aurait probablement conduit à un traitement plus long.
Cette variation dans le pourcentage de mouvement exprimé est l’un des facteurs qui expliquent pourquoi il est rarement efficace de planifier un traitement complet du début à la fin à partir d’un seul scan.
PS le post à était traduit de l'anglais avec GPT :-)
--
หมอจัดฟัน
15/10/2025 à 13h34
Super intéressant ! Merci Seespan pour le partage et les informations.
Je comprends beaucoup mieux la logique que vous exposez.
Cet après-midi, je vais réaliser un setup que je partagerai ici, désolé d’avance pour les éventuelles taquets hahaha😄. J’aimerais pouvoir tester cliniquement au moins une fois afin de parvenir à votre conclusion, que je pense totalement concluante…
Auriez-vous un lien vers la bibliothèque de cas Invisalign ?
D’après votre expérience, avez-vous remarqué des limites spécifiques aux mouvements obtenus avec les aligneurs ?
Par exemple, la littérature mentionne souvent une limite d’environ 2 mm d’expansion avec les aligneurs. Disposez-vous d’autres données notables concernant l’ingression, l’égression ou d’autres types de mouvements ?
15/10/2025 à 14h44
https://alignglobalgallery.com/gallery/ enjoy
Les taquets ne pose pas de soucie particulier c'est juste qu'ils sont très très souvent méchaniquement inutile.
Le soucies c'est que les limites de chaque mouvemnent ça dépend de qui utilise l'appareillage.. Les aligneurs c'est pas des bagues ou les degrés de liberté sont très limité.
Prend l'expansion : entre un utilisateur qui fait un set up de position et un autre qui fait des compensation ça va varier beaucoup..
Pour les limites globales la littératures et ton amis, tu as UN PAQUET de publication sur le sujet et les lires t'évitera beaucoup de soucie .
--
หมอจัดฟัน
15/10/2025 à 16h54
Merci beaucoup Seespan pour le partage et l’échange, vous m’avez fait le cadeau de l’année, haha ! Je vais kiffeeeeeeeeer !
Oui, je m’amuse beaucoup avec ChatGPT pour trouver de la documentation et la lire, mais comme vous avez de l’expérience clinique et un vrai sens critique, votre avis m’intéresse particulièrement à ce niveau-là.
Je vais aller manger des aligners et des set-up, à bientôt ! 😄
16/10/2025 à 00h12
ChatGPT même avec le module consensus c'est pas top.
Plusieurs fois il à était incapable de trouver des articles qui je savait exister
Une simple recherche pubmed est plus efficace.
Plus quand je vois que même pour générer du texte en Vietnamien il fait des erreures à plusieurs niveau, ça ne me donne pas confiance.
--
หมอจัดฟัน
25/10/2025 à 17h44
Oui, je comprends. C’est vrai que selon le prompt, il peut être plus ou moins performant.
J’utilise pour ma part le mode “Deep Research”, qui exploite son accès au web pour consulter des sources externes, lire plusieurs pages, comparer les informations et ensuite produire une synthèse vérifiée. Il est un peu plus optimal pour les recherches scientifiques, car il source systématiquement ses données.
Ce week-end, nous avons introduit une CBCT (désolé pour la qualité de reproduction des racines haha). Nous avons utilisé une IA en libre accès pour le 1er test, afin de convertir les racines réelles en fichiers STL, et honnêtement, ce mode s’est révélé plutôt cooooool.
Site : https://dentalmesh.ai/
26/10/2025 à 02h20
L'IA c'est bien pour te donner un template mais guère plus , même là les textes produits n'ont pas de consistance interne , même pour des usages plus basique type " donne moi des phrases avec ce mot " l'IA vas te faire des connerie une fois sur 5 en moyenne.
Pour la visualisation des racines ça ne sert à rien pour les aligneurs mais avec une force dont j'ai du mal à exprimer l'intensité.
Les aligneurs sont juste horrible pour faire bouger les racines, les études sur Invisaligne te dise que dans la grosse majorité des cas les dents bouge de moins d'un milimétre et quelque cas atteigne 2 mm.
Les dernières réunions d'expert ta donner les même chiffres et ça correspond également au mien :-).
Vue que tu ne fais pas de grand mouvement de racine dans 99% des cas ( les 1% qui restent seront disproportionnellement visible sur internet ), prendre un CBCT est une grosse perte de temps ( je te rappelle que légalement tu doit faire une lecture intégral du cliché avec compte rendue écrit )
Mais sans la logique du marketing, il faut intégrer des nouveauté pour vendre, le CBCT intégré fait partie de cette mouvence, ils ont essayé de lancé ça au US il y a un peut plus de 5 10 ans ( l'époque ou les fabricant de CBCT financé à mort et du fameux " j'utiliserait des radio 2D pour le diagnostique quand mon patient sera en 2D !!) et puis ça à fait plouf.
Si tu l'utilise et compare avec et sans, au bout de quelque cas tu vas t'apercevoir que ça ne change rien à tes résultat et plan de traitement.
--
หมอจัดฟัน
07/02/2026 à 18h01
Bonjour,
Oui, je comprends ce que vous voulez dire Seespan, merci pour les infos ! Nous sommes encore au début de la boucle, mais ce qui est intéressant, c’est que nous disposons déjà d’un outil avec un très fort potentiel pour l’avenir. 🚀🚀
Le monde du numérique et de l’IA reste toujours aussi passionnant haha ! Concernant le CBCT, ce qui m’intéressait surtout, c’était le fait qu’une IA soit capable de transformer un DICOM en STL afin de visualiser la position des racines. L’objectif était de tester cette approche et de l’intégrer dans une planification de traitement, avec ou sans aligners, peu importe.
Depuis cette aventure, j’ai pu explorer de nouveaux axes dans la numérisation et l'IA :
- Réalisation 3D des traitements, avec intégration du CBCT, pour des mouvements complexes ou même pour modéliser des appareils sur mesure ; cela nous permet d’avoir beaucoup plus de liberté.
- Boutons d’aligners : c’est plus complexe, je n’ai pas encore beaucoup avancé sur ce point car il est difficile de trouver une forme idéale que l'on peut thermoformer, mais ce travail m’a permis de progresser sur l'axe suivant.
- Clé de contention : avec un socle incliné, il est possible d’imprimer des templates adaptés.
- Tailles de bagues molaires : en nourrissant l’IA avec des données de mesures, elle prédéfinit la taille de bague avant le rendez-vous. Pour l’instant, c’est le niveau 1 haha, mais à terme, on pourrait imaginer l’envoi d’une molaire isolée en STL afin d’obtenir automatiquement cette information.
- Individualisation des cales antérieures ou postérieures, en jouant sur leurs formes et leurs reliefs afin d’optimiser certains mouvements ou certaines corrections.
Encore une fois, tous ces tests sont menés à ma petite échelle, mais cette boucle de numérisation et d’IA s’annonce vraiment très intéressante !!! 😁😁😁 C’est toujours enrichissant d’avoir des points de vue différents et davantage de données.
15/03/2026 à 20h06
Bonjour,
Quelqu’un a-t-il déjà testé l’impression directe en orthodontie, notamment pour des gouttières de collage indirect ou des gouttières de contention ?
Avez-vous suffisamment de précision et de recul clinique sur ces impressions ?
Merci d’avance pour vos retours et partages d’expérience.
16/03/2026 à 00h40
Collage indirect ça marche, on à fait l'impression direct pour mettre les bagues.
Après je vais redire ce qu'ai déjà dit ailleurs :
Coller de 7 à 7 ça se fait en 10 minutes LARGE avec une assistante qui te passe les instruments.
Le collage indirect c'est :
- du temps pour faire le design même avec un soft c'est plus de 5 minutes
- la production à gérer
- préparer le matos quand le patient vient
Bref en réalisation physique pure ou avec un soft, ça t'augmentent les cout et temps praticien.
Si tu es ok pour l'augmentation des cout pour des raison lié à ton workflow ça marche bien, juste de temps à temps tu vas avoir des echec de collage donc il faut avoir les protocoles.
Type c'est ton assistante ou un autre dentiste qui colle, il faut qu'ils soient capable de coller un bracket en direct.
--
หมอจัดฟัน