Cookie Consent byPrivacyPolicies.comPlan rétro incisif - Eugenol

Plan rétro incisif

cdent

04/04/2026 à 19h53

Bonjour,

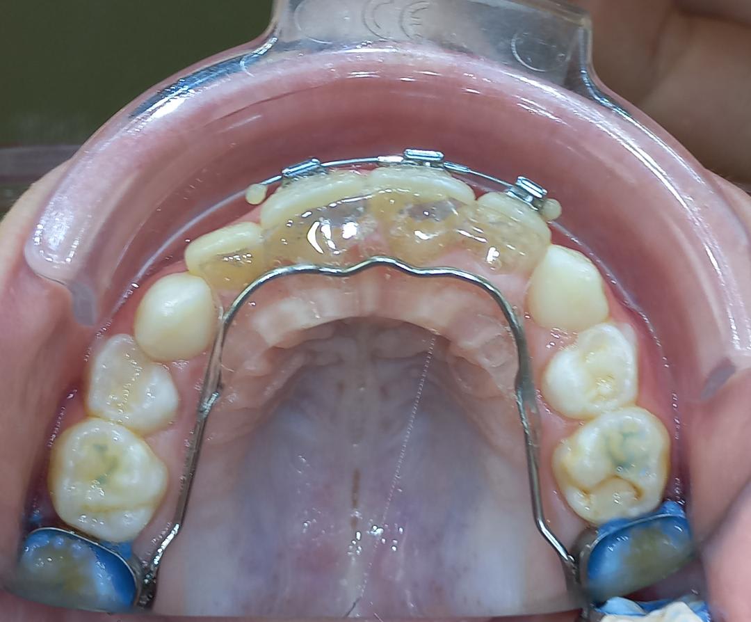
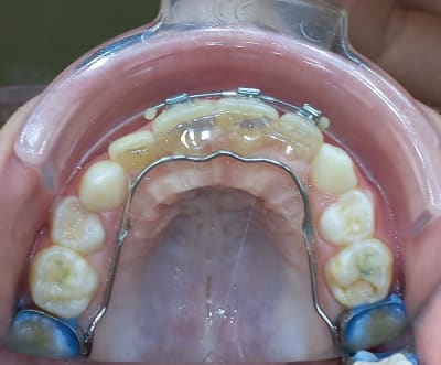
je viens de poser pour la première fois un PRI qui me semble bien adapté au niveau des incisives maxillaires mais après le repas, il y a des petits résidus de nourriture sous la résine ..
Désolé c'est une question de débutante .. Merci pour vos retours

F44aay4s5kgk9g2avmfqbj016ptr - Eugenol

1 eugenol dmj5np - Eugenol
Dancha

10/04/2026 à 10h51

.
Bonjour,

Il n'y a pas foule en retour... Peux-tu préciser quel est l'objectif de cet appareil ?


sexmo

12/04/2026 à 01h02

Bonjour,

je suis l'avis de Maître Dancha,
Des précisions SVP pour peaufiner et être constructif.

Bien cordialemenent.

Sexmo.


cdent

25/04/2026 à 07h04

Merci pour vos retours.
Elle a un multi attache mandibulaire avec supraclusion totale et overjet important (morsure du palais).
Je suis juste embêtée que la nourriture passe sous la résine, pour l'hygiène pas top donc je voulais savoir si vous aviez aussi ces résidus.
Habituellement je pose des cales rétro incisives ou sur canines mais dans ce cas je n'ai pas le choix.