Tous les forums
Analyse céphalométrique 07/01 - 03/04
27/03/2005 à 15h53
Cher Confrère,
N’étant pas du tout un « pro » de l’interprétation des mesures céphalométriques, pourriez-vous m’indiquer TOUT ce que me cachent ces quatre images :
- d’une part, ce qui est positif [« + »] dans ce bilan 2001 2004, et
- d’autre part, ce qui est négatif [« - »] dans ce même bilan.
Ensuite, me commenter largement ces caractères « + » et « » serait un luxe que j’apprécierai grandement, ainsi que les tendances futures que vous considèreriez comme indispensables pour la suite du traitement.
Comme ce Forum est anonyme, ne vous gênez surtout pas pour complimenter / décrier tout ce que votre conscience et votre expérience professionnelle vous dictent en regard des dernières données acquises de la science.
A l’avance, un grand merci.
Bien confraternellement,
oclusion
28/03/2005 à 00h52
Bonjour Occlusion,
Il s'agit d'un analyse de DOWNS ou on prend comme référence des plans qui sont doubles, et qui demandent une interprétation.
De toute manière on ne peut pas raisonner seulement sur une tranche de jambon, qu'est la Télé de profil.
Ceci dit, on voit un déplacement de l'incisive Sup; associé a la lèvre Sup.
Mais on voit aussi à 13 ans une proximité de la tète du condyle avec le conduit auditif qui, s'il ne s'agit pas d'un erreur de tracé doit donner de grandes, d'énormes, douleurs condyliennes.
Ceci dit dis moi ce que tu cherche, ce sera plus facil, car une céphalo. n'est qu'un aspect de la réalité.
@+ et soutient à Athos !
28/03/2005 à 02h57
Mea culpa : erreur du tracé du profane. Sois rassuré : aucune patho ATM, ni auditive, ni cérébrale.
:-)
Que te manque-t-il comme élément clinique : j’irai piocher dans les archives.
Ma question : l’évolution sagittale est-elle bonne ou pas ?
@+
28/03/2005 à 03h12
Merci pour Athos.
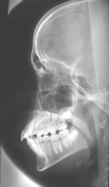
Voici une copie de la télé 2004 : pas évident de distinguer.
@+
28/03/2005 à 19h50
occlusion,
est ce que tu peux recadrer la derniere teleradio(sans trace),comme ca on pourra chacun faire notre petite analyse preferee et comparer...
Premieres observations"+"sur 2004:
*levres competentes
*reduction de l'open-bite dentaire
*version vestibulaires des incisives inf
*version palatines des Incisives sup
*classe 1 squelettique(ANB reduit),cela pour le sens sagittal ,donc bonne evolution
Y a t il eu traitement ou simple arret de deglutition infantile?
Athos,Athos,Athos,Athos,....
28/03/2005 à 21h06
Bonjour occlusion,
Tu es devant une Cl. III. sans doute par un hypodéveloppement du Max. Sup. Comme on n'est pas en grandeur réelle je ne peux faire que des proportions. Celle de 5/6 entre la base du crane Po/Na et Xi/Pm n'est pas respectée.
Ou le Max. est trop petit, ou la Md. est trop grande, ou les deux à la fois.
D'autre part tu es en bout à bout cuspidien. Cl. 0.5. Ce qui est tres défavorable. C'est la pire des occlusions. Avec une version des incisives Sup. éxagérée.
@+ En pensant à Athos.
29/03/2005 à 15h27
A vu de nez, car il manque enormemant de chose sur ce tracé(desole tu as dis dire ce que l'on pense), je ne trouve pas l'incisive sup trop versée.
les rx ont elles ete prises dans les meme conditions? la premieres en innoclusion et la deuxieme dents serrees?
y a til encore de la croissance? meme s'il a 13 A
30/03/2005 à 00h12
Pour ne pas mourir idiot, dites-moi: Athos, c'est la Ste Apolline des Orthodontistes?
Dans l’immédiat, voici une copie de la télé 2004. Si elle ne convenait pas, je prendrai demain un nouveau cliché de cette téléradio.
Encore un grand merci pour votre aide : je ne le dirai jamais assez !
@+
30/03/2005 à 01h30
Mon pôvre "occlusion", si tu es là pour rigoler, tu vas vraiment t'en payer une tranche ici...mais pour un diagnostic serieux, je te conseille de chercher ailleurs!
Une cl.III, hein Bjc? Ben voyons!
Je suis navré de t'interpeller à nouveau, cher Bjc, car je ne doute pas de ta bonne volonté...mais là, vraiment, c'est un peu...grave!
30/03/2005 à 02h05
Il est vrai qu'a vue de nez, les molaires sont en classe 2 angle en debut de traitement avec un big ANB au debut, qui s'est bien réduit comme le souligne catrose
Une proalveolie sup de suceur de pouce , bien réduite 3 ans aprés.
Qu'est ce tu veux de plus , mon gars?
Ya vraiment besoin de télé pour faire une analyse dynamique dans ce cas?
Verifier si encore parafonctions et puis contention et basta.
Athos nous revient, mes freres et soeurs.
30/03/2005 à 02h38
Ouf! Merci Adhoc!
L'ANB s'est surtout réduit..parce que le patient ferme la bouche sur la deuxieme radio! -donc le point B "avance" et l'angle se réduit). La premiere radio n'est vraiment pas exploitable, l'inocclusion est complète.
La proalvélie sup s'est LEGEREMENT réduite (prendre comme référence l'angle entre l'incisive sup et le plan palatin), tout comme la proalvéolie inf s'est légèrement accentuée (voir par rapport au plan mandibulaire): c'est simplement une compensation dento-alveolaire de la cl.II squelettique, les incisives "cherchant" un contact.
Il n'existe, à priori, pas de signes radiologiques évidents pour affirmer que cette CLASSE II BIPRO (mais oui, Bjc!!!) soit celle d'un suceur de pouce car:
-le décalage antéro-post n'est pas considérablement plus fort au niveau incisif qu'au niveau molaire(faudrait voir une radio initiale en occlusion, ou des moulages...)
- il ne semble pas y avoir de beance initiale ds le sens vertical (idem....)
- généralement, il existe une bascule anti-horaire du plan palatin/Plan de Francfort chez les suceurs de pouce...
30/03/2005 à 04h55
Athos,tu nous es revenu!
occlusion,
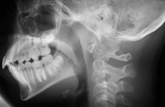
ta tele,c'est mieux mais on cherche encore le conduit auditif...
tu veux savoir quoi exactement de ces 2 photos? parce qu'on t'embrouille avec nos interpretations, et si c'est pour constater qu'il n'interpose plus la langue,tu n'avais pas besoin de nous!
jpr,
-reduction de ANB par recul du point A(par rapport au Nasion)
-l'occlusion de la premiere photo est incomplete evidemment car c'est un cas d'interposition de la langue en position d'occlusion de repos(je n'invente rien,je lis"conscious occlusion"), cas de deglutition infantile avec beance anterieure
(d'accord avec toi,pas de succion de pouce)
-moi j'ai mesure ANB= 4.5,ce qui est une classe 1 acceptable?
-oui a la compensation dentoalveolaire des incisives qui se touchent enfin
Mais j'aimerais bien savoir ou occlusion a peche ce cas,et ce que sont les R.E.I.O.R & G.A.L.?
30/03/2005 à 11h23
Ma demande est tout ce qu'il y a de plus sérieux. J'ai demandé hier au patient de réaliser une pano et télé "2005". Dès que je les aurai, je les mettrai en ligne. Vous faut-il les modèles "2005" aussi? Autre chose?
Pour les R.E.I.O.R & G.A.L., tout est écrit "online". Si il y a des questions / remarques particulières, j'ai ouvert un autre "sujet" pour ne pas mélanger ces R.E.I.O.R & G.A.L. avec mes télés, sinon on ne s'y retrouvera plus. Merci.
@+
30/03/2005 à 11h45
Catrose,
Le diagnostic d'une déglutition infantile ne peut reposer que sur une observation clinique, certainement pas sur un cliché radio. De plus les téléradios sont censées etre prises en PIM, et non en position de repos ou durant la déglutition. Une eventuelle déglutition infantile n'empeche pas de prendre un cliché en occlusion: il y a une erreur du manipulateur radio durant le premier cliché, c'est tout...(tu noteras qu'il n'est pas pris en Francfort horizontal non plus ce premier cliché, deuxième erreur...)
Ok, le point A semble avoir légèrement reculé (les tracés sont-ils fiables?), mais je mesure un ANB de 5,5, valeur d'une cl.II légère, qui correspond d'ailleurs à une cl.II dentaire assez discrète également (apparemment 1/2 cuspide).
Bref tu as raison, on est dans des valeurs limites.
Mais, franchement, tout celà n'est pas tres important, et faire un diag sur la seule téléradio est relativement absurde...oubliez donc tout ce que je viens de dire :-))
P.S.: occlusion, des modèles et des PHOTOS exo et intra-buccales si tu peux...
30/03/2005 à 12h04
jpr,
oui,c'est le probleme du forum,on fait pas mal d'extrapollation car le clinique a du mal a passer dans les posts(webcam,videos?)
donc occlusion,STP,encore un petit effort pour les modeles et photos
30/03/2005 à 12h40
D'accord à 200% avec toi catrose !
Ce forum pourrait etre passionnant, mais il ne l'est pas...car nous l'utilisons TOUS (je me met dans le lot!) très mal, c'est à dire à la manière d'une "vulgaire" messagerie, style Msn(peut-être ce qui a pu être reproché à Athos???).
Or le grand mérite des forums est de pouvoir donner le temps à la reflexion, au lieu d'y aller chacun son tour de son petit élément de diagnostic quand ce n'est pas de dégoter directement un plan de traitement dont on ne sait pas toujours d'où il sort!
Nous gagnerions grandement , je le pense, à "standardiser" nos présentations de cas, comme celà se fait dans tout "study group" ou société scientifique sérieuse. Ceci afin d'avoir, au moins, les éléments nous permettant de tomber d'accord sur les diagnostics de nos cas, ce qui est fondamental.
Et qu'a partir de là,chacun ait sa proposition de traitement, et livre ses moyens (mécaniques ou fonctionnels) pour arriver à un résultat, c'est là le VRAI enrichissement que nous pourrions tous tirer de nos discussions...
On peut rêver, non?
30/03/2005 à 13h09
jpr,pour Athos,c'est plus complique que ca,et plus moche aussi
Quant a ton reve:
Pour la presentation des cas,une standartisation aiderait c'est vrai mais l'important aussi est de lancer un sujet,de provoquer des reactions,qui debouchent sur d'autres interrogations,recherches etc que tu ne feras jamais tout seul enferme dans la routine de ton cabinet.
Tiens,moi je viens de passer une demie-heure sur le site de l'Occlusodontie tridimensionnelle physiologique!Grace a occlusion et ses tele-traces incomplets,j'ai decouvert une porte d'acces a un domaine que je trouvais proche de l'esoterisme:l'occlusodontie!
Alors merci occlusion
30/03/2005 à 14h33
Cher Jpr,
"Il n'existe, à priori, pas de signes radiologiques évidents pour affirmer que cette CLASSE II BIPRO (mais oui, Bjc!!!) "
Ignoreriez vous par hazard, les signes d'alerte de Cl. III. ?
Ca ne vous choque pas cette occlusion en bout à bout cuspidien postérieur, simplement maintenu par les incisives Sup. ?
Cette apparente Cl. II. en bout à bout n'est pas du à une succion du pouce mais une longueur accentuée de la branche horizontale de la Md.
( 85 au lieu de 72 mm. à cet age)
C'est l'un des cas ou la céphalo. est la plus utile. Vous avez une seule mesure de longueur sur le tableau, mais avec celà, vous pouvez mesurer quand mème 3 signes d'alerte de Cl. III. squelettique.
Rien qu'avec ces 3 là, on 8 D.C. Huit D.C. !!!
Ah, c'est beau la jeunesse ! Pourvu que ma "bonne volonté" ne craque pas.
P.S. Fais nous encore rire Athos !
30/03/2005 à 19h58
Bjc bonjour,
dans ce cas je vois aussi une vestibuloversion importante des incisives inferieures ,un ANB tres positif ,un point A tres en avant de la projection Nasion sur Francfort,une difference Co-A - Co-Gn normale,bref on baigne dans la classe I voire II squelettique.
Donc j'ai du mal a switcher sur une prevision de croissance classe III
Tu parles d'une mesure de longueur dans le tableau qui pourrait nous orienter,mais la seule inscrite est celle de la protrusion des Inc Sup=Iu-APO=13,5 mm
Pour les signes d'alerte a la classe III:
L'angle facial( 86)la deflexion cranienne(29-30) ne sortent pas tellement des normes,on ne peut pas les ranger dans des deviations cliniques.
Il y a donc perturbation de la valeur dela longueur de la branche horizontale (tu as mesure 85 sur la derniere tele?)?
La branche montante et le porion qu'il faut situer,franchement je ne le fais jamais,c'est donc tres flou,il va falloir un petit topo pour nous eclairer( si tu n'as pas encore craque?)
30/03/2005 à 20h23
Catrose, j'ai eu la flemme jusque la de faire mesures (et de les relever!!). Notes-tu une hyperdivergence? Ceci pouvant peut etre concilier cela? (je parle des classes2 si on considere anb et classe 3 si on considere la longueur relative de la mand par rapport au max). Mais c au feeling.
C vrai que ca sent le cas piege.
30/03/2005 à 22h54
adhoc,
bon feeling pour l'hyperdivergence: F-MA=28
on a aussi :planpalatin-plan mandibulaire=30 qui confirme
30/03/2005 à 23h06
N.B.: cette valeur de divergence etait donnée dans le tableau d'analyse (POr-MeGo).
Ceci étant, même si une hyperdivergence augmente l'ANB en raison du recul relatif du point B, celà ne transforme pas une classe II en classe III!
C'est plutôt qu'une classe II peut être "masquée" par une faible valeur d'ANB chez l'hypodivergent (fréquent dans les Cl.II div.2)
La mesure de l'AoBo permet alors de s'affranchir de ce pb.
Amitiés
31/03/2005 à 00h17
Mettons, jpr, que si on déc... dans le traitement , on pourrait facilement se retrouver en classe III.
En prenant le cas de départ 2001, catrose, bjc,jpr,kri, osmi, comment auriez vous envisagé le traitement ,en supposant qu'il n'y ait pas de ddm en H et en B. et pas de problemes transversaux? Rétraction , elastics verticaux?
Avec des termes génériques, par pitié (!!!)
Bon , on transforme peut etre le cas départ car on n'a pas de moulages et de photos mais, a mon avis , c'est un cas d'école intéressant qui mérite notre détour.
Avec tte mon amitié a vous tous.
01/04/2005 à 02h03
..........................................EEE..U.U..GG...EEE.N.N.OOO..L
..........................................EE...UUU..GGG..EE..NN..O.O..L
..........................................EEE..UUU..GGG..EEE.N.N.OOO..LLL
........................................................B...
.....................................................#BB.B.B
.....................................................B##++#+#
.....................................................#+++++++#
....................................................#.+++++@++#
...................................................#+++++++++++#
...................................................+++++++++++++#
..................................................#++++++++++++++#
............................................. #---##+++++-+----#
.............................................##--$$$$$$$$$$$$$$$$####
............................................#----##$$$$$$$$$$$$$$$#---#
............................................#---#$$$$$$$$$$$$$$$$$$$---
...........................................#-----#$$$$$$$$$$$$$$$$#---#
...........................................#-----#$$$$$$$$$$$$$$$$#--#
............................................#----#$$$$$$$$$$$$$$$##
.............................................#---##$$$$$$$$$$$$$$$$#
............................................##---##$$$$$$$$$$$$$####
.............................................#--.-#$$$$$$$$$$$$$$----#
.............................................#----#$$$$$$$$$$$$$#----#
..............................................#---.#$$$$$$$$$$$$-----
..............................................#----##$$$$$$$$#----#
...............................................#---###$$$$$$$$$$##
......................................................#$$$$$$$$##
.......................................................#$$$$$$$$#
........................................................#$$$$$$$
........................................................#$$$$$$#
.........................................................//////#
........................................................#//////#
............................................1.E.R......#////////#
............................................1.........#//////////#
............................................1.........#///#..###///#
............................................1........##/##......##//#
......................................................#.............#
...................................................A.V.R.I.L