Cookie Consent byPrivacyPolicies.comInlay core et courone provisoire - Eugenol

Inlay core et courone provisoire

carie killer

27/03/2005 à 17h41

Jai lu je ne sais plus où qu'après avoir réalisé l'inlay core il fallait sceller l'I C prendre l'empreinte et reajuster la provisoire en retirant le pivot provisoire.Personnellement je scelle provisoirementl'IC ,prends l'empreinte,rescelle la mème provisoire..Cele me semble plus simple.Quand la couronne est terminée je scelle dans le mème temps CCM et IC.
Y a t-il un inconvénient à pratiquer ainsi?


Cuisinier2 vnbbxx - Eugenol
jeff2

27/03/2005 à 19h20

Bonjour
j'ai essayé ca plusieurs fois mais comme je suis pas sur que l'epaisseur de mon ciment provisoire soit le mem que mon ciment definitif pour l'inlay core, je m'abstient.
j'aiessayé ca il y a plusieurs années et bien apres apres avoir scellé l'inlay core provisoirement +cr + papier articulé+ photo et apres scellé def l'IC,+cr + papier +photo et bien les contacts étaient pas les même
j'ai pas insisté


Icon poker h4nm2d - Eugenol
jeff

27/03/2005 à 23h36

Encore plus simple : tu fait réaliser l'inlay et la couronne sur la première empreinte, puis tu scelles le tout.


ben

28/03/2005 à 21h05

Que des avantages.


ameli

29/03/2005 à 15h32

Si ton empreinte est bonne, si ton prothésiste est bon, il n'y a pas de raison de se priver de gagner du temps !


Images eb1m5g - Eugenol
tonio

30/03/2005 à 00h19

Pour carie Killer,

Ta technique me semble poser problème si tu utilises un ciment oxyphosphate (type crown et bridge) qui est plus épais qu'un cvi ou cvimar. Le joint dento-prothétique risque d'être plus important. Donc risque de récidive carieuse et de surocclusion. Mais ce n'est que mon point de vue.

Ma boss pratique cette technique de faire l'IC et la couronne dans la foulée sur la même empreinte.

Vu le nombre affolant (plus de 50, sûr et certain) de couronnes (avec l'IC à l'intérieur) que j'ai rescellé en 2004, je suis pas du tout convaincu par cette technique. Sans compter qu'à la radio le joint cervical n'est jamais bon.

Autant faire une bonne vieille Richmond! En plus, ça économiserait un IC à la sécu!!!

Bref, comme dit Ben: "Que des avantages...".


Squash u44zd8 - Eugenol
steph

30/03/2005 à 01h43

Tu as dû resceller la couronne solidarisée avec son inlay core, sans doute un tenon mal adapté (trop court, pas de forme rétentive de la chambre....) mais la technique fonctionne.
Je ne l'utilise que très peu, par goût perso, mais les fois où j'ai eu à le faire ç'à s'est très bien passé.


Marque a3 orange fyvhyq - Eugenol
Marc Apap

01/04/2005 à 01h19

Tonio,
tu parles d'un seul praticien qui sans doute travaille avec un seul prothésiste : c'est un peu léger pour faire des stats.
La technique fonctionne parfaitement si l'on prend une excellente empreinte, que l'ancrage radiculaire est parfait et que le prothésiste travaille bien.
J'ai eu moi aussi deux ou trois échecs, toujours dus à un mauvais ancrage radiculaire (j'utilisais des tenons trop courts et trop coniques).


Bx1 spw1cx - Eugenol
BX

01/04/2005 à 12h06

Je dirai comme Marc: si tu es un excellent(e) praticien, que ta taille et ton empreinte sont parfaites, que ton prothésiste est MOF,que tu maîtrises l'épaisseur du ciment de scellement avec maestria, tu peux faire réaliser et poser le FM et la CR dans un même temps: c'est sûrement la méthode la plus rentable.

S'il se produit un descellement ( une des nombreuses variables n'aura pas été parfaite) tu verras que le FM et la CR viennent d'un bloc ( et donc que cela équivaut à une Richmond : ton moral et ton ego en prennent un coup à cet instant).

Dans mon quotidien, je préfère scinder les 2 étapes : c'est moins rentable mais plus sûr .


Zoe   son arriv e whwqpj - Eugenol
emma

01/04/2005 à 21h22

En dentisterie globale, les IC sont suffisamment nombreux pour la rentabilité et il est indispensable pour une réalisation sûre de coller et non sceller les IC, de reprendre les tailles pour affiner le résultat et de faire une empreinte globale avec fil rétracteur ou expasyl là les joints sont assurés d'être bons et rien n'empêche alors de terminer le travail en un temps en toute rentabilité, mais aussi en toute sérénité, mais ça c'est juste mon avis.


003 penrd2 - Eugenol
Cingulum

01/04/2005 à 22h37

c'est un peu logique. Si la couronne vient avec son inlay core ce n'est pas du a un prob entre IC et couronne. C'est un probleme d'ancrage de l'IC.

Si l'ancrage de l'inlay core est suffisant et que la technique avec une seule empreinte est mal réalisée, alors le risque c'est de perdre que la couronne.
Puisque l'IC est fait comme d'hab, et la couronne est fabriqué sur cet ic et non sur une réplique. Si la technique était foireuse on aurait des risques de descellement de la couronne de son IC.

En 3 ans j'ai eu 1 descellement prématuré (18 mois): Ic dans la couronne, ancrage trop court...


Images eb1m5g - Eugenol
tonio

02/04/2005 à 02h58

Marc,

La seule condition où j'accepterais de faire l'IC + la couronne en un temps serait (comme le dit si bien emma) uniquement collés avec un CVIMAR par exemple.

Je persiste à dire qu'un oxyphosphate est trop épais pout t'assurer un joint minimal entre ton IC et ta couronne.

Mais bon, sans être méchant, il faudrait que je réaprenne les bases de taille d'un IC à ma boss...

En plus, si c'est pour tout coller en un temps, pourquoi ne pas faire une richmond, ça ne changerait rien. Si, ça fait un IC en moins pour le CA...

Cette technique n'a qu'une valeur comptable à mon sens.

Je ne condamne pas pour autant ceux la font surtout pour les prothèses réalisés sur les cmu car c'est tellement sous payé.

Ca sert à rien de griller les étapes, sinon, ça nous revient toujours en pleine figure.


003 penrd2 - Eugenol
Cingulum

02/04/2005 à 09h07

Une richemond pose deux prob:

-Axe différent entre tenon et paroi résiduelle. L'insertion en deux partie permet dans certain cas d'être plus conservateur.

-Choc thermique a la base du tenon lors de la cuisson de la céram...Quand on cuit la ceram, la masse métallique se réchauffe. Le tenon se refroidit plus vite, il se créer un stress thermique à la base du tenon avec risque de fracture ultérieur.


Quand on fait IC + CCM, le protho utilise un die spacer...je vois pas ou est le pb d'épaisseur du ciment.



Images eb1m5g - Eugenol
tonio

02/04/2005 à 13h08

Merci de la précision cingulum, je ne l'avais pas vu sous cet angle.

J'aime bien faire la technique classique en collant l'IC puis empreinte de la couronne. C'est mieux si tu veux paufiner ton congé, ton axe, l'espacement.

Je fais le maximum de retouche en dehors de la bouche (c'est plus agréable pour le patient) et avant le scellement (car les vibrations de la turbine peuvent fragiliser le ciment).

cordialement à toi,


Fourre tout 05 12 08 017 apc4pu - Eugenol
Pier

03/04/2005 à 17h43

Est-on toujours obliger de parler de rentabilité lorsque l'on aborde les cas cliniques?
Lorsqu'un élément se descelle ou casse car le travail à été fait trop vite, au nom de cette sacro-sainte rentabilité, alors on perd la confiance du patient et peut-être même le patient lui -même et tous les autres patients qu'il est suceptibel d'envoyer.
Alors, elle est où la rentabilité?


Zoe   son arriv e whwqpj - Eugenol
emma

04/04/2005 à 15h51

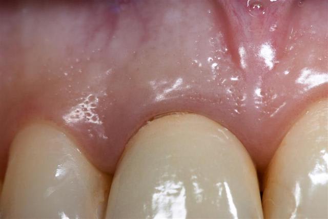
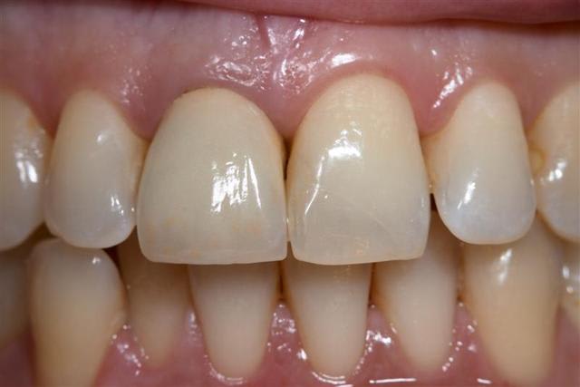
Sans parler de descellement, le pire pour un patient qui a investi dans une CCM autour de 600 euros de voir sa couronne avec un affreux liseré noir au bout de quelque mois par défaut de joint de la couronne, ce qui se passe souvent en scellement extemporané du TFM et de la couronne, quant à moi je préfère voir ça.

020 lrwzcy - Eugenol
017 bmclyf - Eugenol
018 tqcd9z - Eugenol
Photo cas terminé dpehte - Eugenol

Fourre tout 05 12 08 017 apc4pu - Eugenol
Pier

04/04/2005 à 22h33

Le liseré noir ou bleu est souvent le fait d'un surcontour qui entraine une compression et une mauvaise déflécction du bol alimentaire par la face vestibulaire.
Ceci étant Emma a raison, il vaut mieux prendre son temps et tout contrôler que aller vite et être obliger de refaire.
Et puis qu'est ce qu'une scéance de plus dans la vie d'un Homme ( avec un grand H ) ou d'une Femme ( avec un grand F)


Blue eye thumb medium dx1i0w - Eugenol
bill

06/04/2005 à 01h52

Emma quel est ton appareil photo ?
Tu l'as déjà dit je crois mais j'ai la flemme de chercher... ;-)
Merci.


Zoe   son arriv e whwqpj - Eugenol
emma

07/04/2005 à 00h57

Je regarde demain au cabinet, car mon appareil photo reste au cabinet et je te réponds Bill.


Blue eye thumb medium dx1i0w - Eugenol
bill

07/04/2005 à 02h18

Merci Emma.


Zoe   son arriv e whwqpj - Eugenol
emma

07/04/2005 à 12h03

Bill chose promise chose dûe: Sony MEPGMOVIEHQX digital still caméra DSC-F717, 5 millions de pixels.
Avec un téléobjectif Carl Zeiss Vario sonnar.


003 penrd2 - Eugenol
Cingulum

07/04/2005 à 12h16

moi c'est Eos 300D canon, 100 macro canon, et flash macro canon...:)


Crw 7784  medium  do4hbl - Eugenol
Crw 7943  medium  yrngaq - Eugenol
Crw 7945  medium  twkbdv - Eugenol
Crw 8519  medium  i6vee8 - Eugenol

003 penrd2 - Eugenol
Cingulum

07/04/2005 à 12h17

plus bagues allonges kenko...:)

Crw 8526  medium  ogylgu - Eugenol

Zoe   son arriv e whwqpj - Eugenol
emma

07/04/2005 à 14h58

super photos Cingulum et jolie réalisation, c'est fou ce que les eugénaliens bossent bien!, combien t'a coûté ton appareil?
Le mien 900 euros avec le sac de protection et une carte mémoire à grande capacité (150 photos).


003 penrd2 - Eugenol
Cingulum

07/04/2005 à 15h25

environ le double:
900€ de boitier
450€ l'objectif et 650€ le flash
mais c'est un flash trés haut de gamme (deux têtes indépendantes) l'annulaire canon coute dans les 450€

Donc compter 1700€ mais aprés plus de pb ni d'éclairage, ni de mise au point...


12