Cookie Consent byPrivacyPolicies.comInlay core et courone provisoire - Eugenol

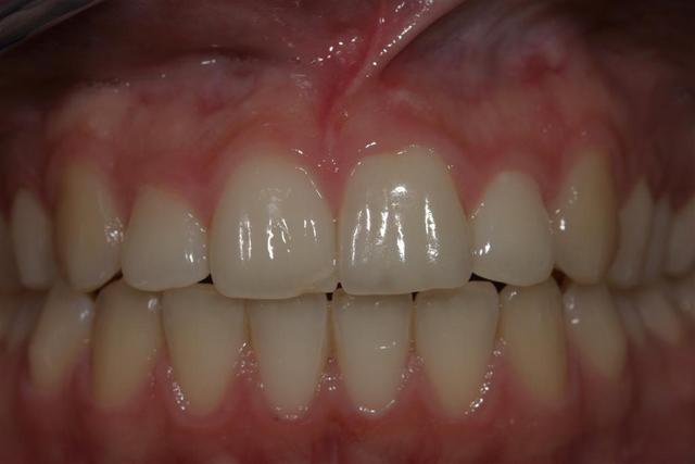
Inlay core et courone provisoire

003 penrd2 - Eugenol
Cingulum

07/04/2005 à 15h27

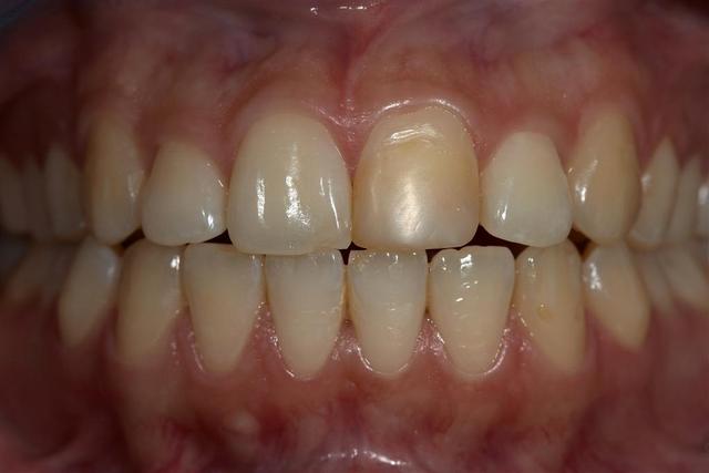
exemple:

Crw 7061  large  nmkyok - Eugenol
Crw 7337  large  oorsqz - Eugenol

003 penrd2 - Eugenol
Cingulum

07/04/2005 à 15h29

ou...

Crw 0559  large  j0jieo - Eugenol
Img 1519  large  phg22b - Eugenol
Img 1430  large  hvvybj - Eugenol
Crw 0537  large  kk2atl - Eugenol

Zoe   son arriv e whwqpj - Eugenol
emma

07/04/2005 à 17h06

Tu fais vraiment un travail superbe et celui de ton prothésiste est remarquable également, je ne vais plus oser poster de photos de mes humbles cas, Alhoun et toi nous tenez la dragée trop haute!


Images 1 qtgoxf - Eugenol
ciwil

07/04/2005 à 22h46

Cingulum a écrit:
-------------------------------------------------------
> environ le double:
> 900€ de boitier
> 450€ l'objectif et 650€ le flash
> mais c'est un flash trés haut de gamme (deux têtes
> indépendantes) l'annulaire canon coute dans les
> 450€
>
> Donc compter 1700€ mais aprés plus de pb ni
> d'éclairage, ni de mise au point...


Eh ba moi mon appareil il est encore + cher, mais je sais même pas m'en servir, vu que le mode d'emploi il est + gros que la sacoche et que ça me gonfle.



Blue eye thumb medium dx1i0w - Eugenol
bill

08/04/2005 à 02h19

Merci Emma de ta réponse, les photos sont très belles. (le travail aussi, rassures-toi, mais tu nous as habitué à ça, on n'y fait plus attention... ;-) )

Pour cingulum , idem, joli boulot.
Une petite question de néophyte : tu dis objectif macro et emma téléobjectif, donc on peut faire des images de très près en macro ou de plus loin avec un zoom ?
Je suis un peu largué là... ;-)
Merci.


Zoe   son arriv e whwqpj - Eugenol
emma

08/04/2005 à 09h45

Je ne suis pas très au fait de la technologie des appareils photo, mais avec mon objectif je peux faire du macro, mais n'ayant pas le flash adapté, les photos intra-buccales sont faites avec ma caméra IB.


12