Cookie Consent byPrivacyPolicies.comhn et cmu - Eugenol

hn et cmu

Dr B.

03/04/2005 à 16h22

Sachant qu'un exercice basé uniquement sur des actes nomenclaturés permet un C.A plafond bien connu de la C.P.A.M, il apparait que tout écart important avec ce C.A. génère le doute parmi les systèmes de controle.
Dans ce contexte de C.A. bloqué, comment ne pas céder à la tentation de réinterpréter la nomenclature( genre 2 x sc12 la même séance de détartrage,ou compter un det pour chaque DC 10). Cette dérive appliquée depuis de nombreuses années, s'accompagne aujourd'hui de la restriction des actes qualifiés H.N.et d'un controle plus strict de la part des C.D Conseil.

C'est pourquoi, la possibilité de "rester conventionné sans tricher" doit se poser.
Pour les vertueux("ceux qui veulent mettre leur cul en ligne avec leur tête"comme dirait BRASSART), il restera le déconventionnement.


Zoe   son arriv e whwqpj - Eugenol
emma

03/04/2005 à 17h29

Ameli, al t'as posé une question: es-tu prêt à recevoir un salaire diminué de moitié pour le traitement des dossier CMU, ce serait faire preuve de solidarité envers nous puisque tu dis nous comprendre?
Réponds franchement et là tu pourras peut-être continuer à nous donner des leçons de civisme.


liofix

03/04/2005 à 17h52

Ameli a écrit:"Il est incontestable que le système dont bénéficient les CMU les irresponsabilise. A mon avis, c'est regrettable, mais inévitable."

Phrase typique des hommes politiques français et des administrations:Va dans les pays d'Europe du Nord et tu verras que ceux qui bénéficient de l'aide publique ont des contraintes très sévères.Exemple:un drogué bénéficie d'un logement .A tout moment un controle de son logement peut être fait et si c'est le bordel dedans ou saleté importante et bien c'est dehors!
etc....Mais en France c'est le monde fonctionnaire qui dirige avec l'argent des autres!Trés facile.
A propos de CMU: Afin de m'aider à soigner que des CMU sur une journée bloquée,j'ai écrit à divers responsables locaux de me donner chacun
l'équivalent de 2 h de leurs traitements par semaine pour payer prothèse et charges.
PAS DE REPONSE!Ils s'en foutent,donc je m'en fous et j'ai la conscience tranquille.(je précise qu'en cas d'urgence cmu je regarde et je traite l'urgence ou je fais ordonnance et basta.
Mais si un fonctionnaire veut bien subvientionné aux frais réels.. alors ...... Mais je rève....


ameli

03/04/2005 à 17h59

Emma,
J'ai beaucoup de mal à admettre ta réaction.
Voici ma réponse et elle est claire.
J'ai soigné des CMU en tant que libéral pendant des années sans me plaindre, et je gagnais très bien ma vie. Les quelques € que je perdais dans l'année ne m'ont pas empêché de partir en vacances ou de changer de voiture.
En devenant DC, j'ai diminué ma paye considérablement. Je l'ai fait sans aucun regrêt, et en grande partie pour des motifs sociaux et humanistes ( aussi, c'est vrai, parce que je travaillais trop et que j'étais fatigué ). Je ne te demande pas d'approuver mes choix, et je ne te demande pas de faire les mêmes.
Je ne traîte pas de dossier CMU.
Et, sans mentir, je suis prêt à diminuer mon salaire ( qui a déjà diminué de 40% !) pour que la société se porte mieux. Il est vrai que je n'ai pas de gros besoins.
Et toi ? qui a fait serment de soulager les maux des patients, et qui rechigne à le faire ?


Al

03/04/2005 à 18h06

emma a écrit:
-------------------------------------------------------
> Ameli, al t'as posé une question: es-tu prêt à
> recevoir un salaire diminué de moitié pour le
> traitement des dossier CMU, ce serait faire preuve
> de solidarité envers nous puisque tu dis nous
> comprendre?
> Réponds franchement et là tu pourras peut-être
> continuer à nous donner des leçons de civisme.
>
> Emma

T'inquiète Emma, comme il pourra répondre oui, sans que ça lui coûte un kopec, ça changera rien à la situation.

C'est gentil à lui de nous donner mauvaise conscience, mais malgré ça j'arrive pas à avoir mauvaise conscience.

Ce système est pourri, et ameli en fait entièrement partie. Il l'a choisi, c'est sa responsabilité.

Et comme disait Ldl plus haut, ce serait peut-être à nous de nous bouger, sans plus rien a attendre des acteurs en place.

Et je reste persuadé que le déconventionnement massif, est un des moyens d'y arriver. Et surtout pas faire comme le syndicat élu du coeur d'ameli, de vouloir faire "accéder la profession à une vie conventionnelle normale" coûte que coute.

Juste une chose ameli, peut-être que toi sais ce que certains ici ont beaucoup de mal à comprendre. Si y a pas de fric pour financer correctement la CMU ou les soins courants, d'où sort celui de la FCC ?

Quel peut être en retour les économies de coût de santé publique, quand on voit les sujets traités par cette FCC ?



ameli

03/04/2005 à 21h51

Non, je ne cherche pas à donner mauvaise conscience à quiconque. Je n'ai pas la prétention de devenir guide spirituel.
A l'évidence nous ne sommes pas du même avis concernant l'aide sociale en France. Je constate qu'elle est insuffisante, et je crois lire dans vos propos que, au moins sur ce point, nous sommes d'accord.
Je ne pense pas, comme al, que le système est pourri. Par contre, il manque dramatiquement de moyens financiers. Et ça, c'est une affaire de choix politique.
Pour répondre à la question d'al : la CMU est financée ( pour sa partie "dépassement de tarif sécu" ) par le budjet de l'état et non par la sécu. Autrement dit par nos impots.
Le reste, soins courants, FCC... par la sécu, autrement dit par les prélèvements sociaux.
Et, très sincèrement, je ne sais même pas de quel syndicat tu parles ! Il y a tellement longtemps que je ne suis plus ces disputes stériles que je ne connais pas leurs positions respectives. Je serais d'ailleurs content que tu m'éclaires.
Je suis bien évidemment convaincu qu'on peut être conventionné, gagner très bien sa vie sans tricher. Je le constate dans les contrôles. Par contre, un blocage tarifaire long peut entraîner une tendance au bâclage des soins. C'est pourquoi il faut les revaloriser.
De là à dire que les dentistes sont en voie d'appauvrissement, il suffit d'aller jeter un oeil sur un site de stat de revenus professionnel pour affirmer sans rougir que c'est largement abusif.


Zoe   son arriv e whwqpj - Eugenol
emma

03/04/2005 à 21h54

Ameli, contrairement à ce que tu affirmes sans savoir, je ne rechigne absolument pas à soigner les malades dans le besoin et même gratuitement parfois si ça me chante, dans la mesure où ils respectent leur engagement: présence au RV à l'heure exacte et hygiène drastique, mais comme la plupart d'entre nous j'aimerais que toute la société participe à cette solidarité, puisqu'on nous l'impose. Le système en Israël me paraissant bien plus efficace que celui de la France "assistante les yeux fermés".

Quant à tes appointements tu les as choisis en quittant le libéral,d'ailleurs tu as eu l'honnêteté de nous les annoncer et crois moi, en libéral, malgré un CA important et avec un boulot de plus en plus étatisé, notre gain n'est pas tellement plus élevé que le tien à la sortie, en tout cas pour une grande majorité d'entre nous.
C'est drôle d'ailleurs, car tu n'arrêtes pas de justifier ce choix, comme si au fond de toi-même tu avais un certain regret.


Amibien

03/04/2005 à 22h07

les dentistes en suisse ne se posent pas cette question, il ont en effet 120.OOO milliardaires en patientèle potentielle...


Avatar transparent iqadnc - Eugenol
adhoc

03/04/2005 à 22h32

emma que j'admire; qd meme, vraiment, honnetement, en toute sincérité, améli gagnait quand meme plus a bc plus en libéral. Il nous enterrera certainement mais notre concession sera plus grosse; ce qui nous fait une aussi belle jambe (si,si!) qu'une médaille posthume, certes.
A prendre a la légère!!!



3f3boxni50k58rq7e9ce9ddqrxgk - Eugenol
dentiste57

03/04/2005 à 22h59

ameli a écrit:
> De là à dire que les dentistes sont en voie
> d'appauvrissement, il suffit d'aller jeter un oeil
> sur un site de stat de revenus professionnel pour
> affirmer sans rougir que c'est largement abusif.


j'aurais aimé te poser la question en privé amélie mais tu n'as pas d'email...
si tu as quelques liens come ceux que tu décris je t'en serai reconnaissant. de même pour les stat sur la populution à proximité de Toulouse..


cyberquenottes

03/04/2005 à 23h17

ameli a écrit:
-------------------------------------------------------
>> Pour répondre à la question d'al : la CMU est
> financée ( pour sa partie "dépassement de tarif
> sécu" ) par le budjet de l'état et non par la
> sécu. Autrement dit par nos impots.
> Le reste, soins courants, FCC... par la sécu,
> autrement dit par les prélèvements sociaux.


mon gars tu es a coté de la plaque

la cmu est financée par l'état ET par les francais a travers une taxe sur le CA des mutuelles

mutuelle qui récupèrent une partiede cette taxe a travers les subventions qu'elles touchent pour chaque CMU qu'elles acceptent de prendre et également financée par les augmentations decotisations de tous les adhérents


c'est bien pour ca que le systeme est scandaleux nous sommes ponctionnés sur nos impots + nos cotisations demutuelle + nos honoraires


Al

03/04/2005 à 23h41

ameli a écrit:
-------------------------------------------------------
> De là à dire que les dentistes sont en voie
> d'appauvrissement, il suffit d'aller jeter un oeil
> sur un site de stat de revenus professionnel pour
> affirmer sans rougir que c'est largement abusif.

Tu intègres la retraite là dedans ?

Moi quand j'ai démarré j'ai acheté un cabinet 500.000 francs, qui aujourd'hui ne vaut plus rien.

Alors si même sur ma 2035, je gagne un peu plus chaque année, au global, mon patrimoine a été amputé de ladite somme, nonobstant la revalorisation de cette somme sur les 20 dernières années.

Sachant d'ailleurs que si je gagne plus, ce n'est pas tant par l'augmentation de mon CA, que par la diminution relative des charges, grâce à l'amortissement effectué de mes emprunts.

Et je crois savoir que je ne suis pas seul dans cette situation.

Alors, il faut relativiser les chiffres. Je peux te dire que je commence à me faire beaucoup de soucis concernant la retraite, parce que si je ne tiens compte de ce que (ne) me versera (pas) la CARCD, je pense que je serai à la CMU pour la fin de ma vie.

Mais bien sûr je suis un nanti.


Avatar transparent iqadnc - Eugenol
adhoc

04/04/2005 à 00h23

Mais si, mon cher al, notre cabinet vaut son poids de matériel vendu au kilo dans les brocs.
Avec ca , on pourra acheter notre déambulateur avant d'etre parqué a 4 dans une chambre de maison d'élimination progressive. Soleil Vert.


Amibien

04/04/2005 à 01h47

Mais non adhoc, d'ici là tu auras rencontré une riche héritière qui sera folle amoureuse de toi.... Tu peux aussi te mette à la peinture et arriver à fourguer les toiles comme Patvat...au fait, as-tu vu son site professionnel ?


3f3boxni50k58rq7e9ce9ddqrxgk - Eugenol
dentiste57

04/04/2005 à 02h14

moi je demande à voir


LdL

04/04/2005 à 10h34

adhoc a écrit:
> Avec ca , on pourra acheter notre déambulateur
> avant d'etre parqué a 4 dans une chambre de maison
> d'élimination progressive. Soleil Vert.

Pas loin de chez moi il y a un club d'activité pour "séniors" dont le nom est assez déprimant je trouve:
"soleil couchant"... J'espère que c'est pas le crépuscule tous les mois quand meme...

Al il y a sûrement du vrai dans ce que tu dis, mais le peu d'éxagération que tu utilises décrédibilise un peu ta démo... demande à zorbec, il va t'expliquer comment ne MEME PAS avoir droit à la CMU (tu toucheras un TOUT PETIT PEU TROP)


ameli

04/04/2005 à 15h17

Je suis désolé, emma, si je t'ai blessé, et je te prie de m'excuser. Mais quelquefois, je m'énerve dans mon coin.
Les systèmes d'aide sociale en France sont archi nécessaires, surtout quand une bonne frange de la population est en voie d'appauvrissement.
Que ces systèmes soient imparfaits, personne ne le conteste, et moi non plus. Je ne demande que leur amélioration.
Mais en lisant quelques post, j'ai l'impression que certains voudraient les détruire, et ça me fache ! ... et je m'échauffe !
Et quand je lis que les CMU sont chanceux et profiteurs, ça m'horrifie.
Ces personnes, qui sont des êtres humains, vivent en marge d'une société qui a de plus en plus tendance à les rejeter. Qui d'entre nous, si nous devions vivre avec queques centaines d'€ par mois, ne traficoterait pas pour pouvoir manger ou se payer le luxe d'un paquet de clops !
Bien sur qu'il y a de vrais tricheurs qui travaillent tout en touchant le RMI et la CMU. Que des contrôles soient effectués pour les identifier est normal, mais les autres...

Faire ces soins dans une structure spécialisée est théoriquement possible, mais je ne le souhaite pas. Premièrement parce que les marginaliser davantage en les excluant du système de soins normal ne correspond à l'idée que je me fais de la citoyenneté . Deuxièmement, parce qu'il faudrait installer un cabinet CPAM dans toutes les villes de 10000 habitants (les "vrais" CMU n'ont pas de voiture !), et c'est injouable pratiquement.
De plus, j'ai remarqué lors de conférences où je suis intervenu, que ce sont souvent les mêmes praticiens qui rejettent les CMU, et qui rejettent aussi l'idée d'un déficit dans les cabinets CPAM, et qui rejettent l'idée d'en créer de nouveaux. Ce sont des ultra-libéraux.

Il est vrai que les dentistes paient davantage que les autres ces actions de solidarité. C'est regrettable, mais c'est un choix qu'ont fait nos élus, et je n'y peux rien.
Mais cette solidarité imposée par la loi n'est pas trop gènante dans un exercice normal. C'est vrai aussi qu'elle est pesante dans certains cas particuliers de cabinets installés dans des zones défavorisées.
Dans ce cas, statistiques à l'appui, il faut faire le siège des élus locaux. Les CPAM, lorsqu'elles installent des locaux de soins dans des zones défavorisées réussissent bien à se faire payer par les communes des aménagements (parking, prise ne charge partielle de loyers, aménagements extérieurs..)qui ne sont pas, en théorie de leur ressort. Pourquoi les libéraux ne le pourraient-ils pas, s'ils peuvent démontrer l'intérêt en santé publique pour cette population défavorisée.
J'ai moi-même négocié de telles aides. Il faut se battre un peu, mais ça marche de temps en temps.
Lorsque je me suis installé en sortant de fac, une commune était prête à m'offrir 3 ans de loyer d'un batiment communal pour que je m'installe sur son ban (et les CMU n'existaient pas). J'ai été assez con pour refuser et je me suis installé en banlieue d'une ville universitaire. Je regrette mon choix encore maintenant.

Pour finir, je suis maintenant DC et ça me plait beaucoup. Ce qui m'étonne, en lisant certains post, c'est que j'ai l'impression que certains confrères sont bien malheureux d'exercer leur métier. Et j'ai beaucoup de mal à les croire.


Image19 iebot6 - Eugenol
athos

04/04/2005 à 15h24

Ameli, peut etre as tu quitté l'exercice libéral depuis trop longtemps...
un exercice agreable serait de te lister toutes les contraintes nouvelles que nous subissons, peut etre est ce venu trop progressivement (pour ne pas dire insidieusement ce qui supposerait une volonté!)pour que tu t'en rendes reellement compte...


Zoe   son arriv e whwqpj - Eugenol
emma

04/04/2005 à 15h38

dentiste57 a écrit:
-------------------------------------------------------
> Je suis toujours un peu circonspect quand on me
> parle de traitement global. Je doit bien avouer
> que je ne saisi pas entièrement ce que cela
> signifie. Est ce l'intégration de la paro ,
> l’implanto, la microbio et autres aux soins
> conventionnels?

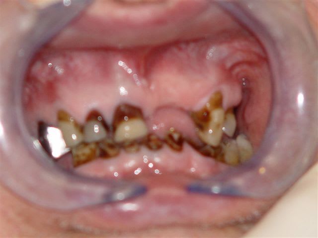
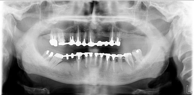
voilà dentiste57 quelques traitements dits globaux, effectivement, il y a eu refonte totale de la bouche avec les endos, la paro, l'occluso ect ... et ceci en 3 mois avec actes groupés sur un patient de 82 ans, j'aurais aimé lui mettre des implants, mais je n'ai pas eu le feu vert du cardiologue.

Avant traitement global w1rqna - Eugenol
Après traitement global hby3e2 - Eugenol
Debut cas global ggdbvs - Eugenol
Fin cas global unfwoe - Eugenol

Zoe   son arriv e whwqpj - Eugenol
emma

04/04/2005 à 15h45

Autre cas traité de A à Z en dentisterie globale en collaboration avec un prof de ma fille, ostéopathe.

Tfm avant emp globale k5jgud - Eugenol
Pose ccm sur tfm yi2l4n - Eugenol

Image19 iebot6 - Eugenol
athos

04/04/2005 à 16h00

hmmm...c'est beau! c'est net!c'est agreable...

petite observation d'un inconditionnel: aurais tu revu ta position sur les ancrages radiculaires?


Zoe   son arriv e whwqpj - Eugenol
emma

04/04/2005 à 16h07

Salut Athos, heureuse de dialoguer avec toi.

C'est vrai qu'à la lecture de plusieurs posts à ce sujet je suis entrain de rallonger la longueur de mon pivot pour les TFM, puisqu'il parait qu'il y a fragilité accentuée avec un pivot trop court, ça ne m'est pas encore arrivé, mais comme je ne suis pas obtue!!!

Il faut que j'aille bosser, mais je reviens ce soir pour te parler de mon expérience avec QS, pour l'instant je patauge, mais je ne l'ai reçu que vendredi.


Avatar transparent iqadnc - Eugenol
adhoc

04/04/2005 à 16h43

Emma; achete une mandibule de porc ou de ce que tu veux. 1h d'entrainement et c'est du tout bon.
Si tu as plusieurs types de carpules, essaie les , car il existe d'infimes variations de longueur (visser plus ou moins au début).


alhoun

04/04/2005 à 16h45

Emma, essaie sur maurice...


Avatar transparent iqadnc - Eugenol
adhoc

04/04/2005 à 16h56

mandibule de port ... louis??.@+++