Cookie Consent byPrivacyPolicies.comphoto numérique - Eugenol
Z zxrpcc - Eugenol
mirceradonic

13/04/2005 à 20h28

tout d'abord, bonjour à tous

je sais que le sujet à été abordé maintes fois mais le marché du neuf se renouvellant sans cesse,il est rapidement impossible de trouver les appareils qui faisaient encore référence il y a 2 ou 3 jours.c'est pourquoi, je repose la question:
quel appareil et avec quel accessoire d'éclairage (éventuel) conseilleriez vous pour la prise de vue ?


Z zxrpcc - Eugenol
mirceradonic

13/04/2005 à 20h48

pour préciser la question,mes premieres investigations m'ont amené vers le coolpix 5400 avec lampe annulaire(laquelle?) ou nikon D70 +objectif macro(que j'ai déja)+flash annulaire (id mais non compatible TLL)ou??


003 penrd2 - Eugenol
Cingulum

14/04/2005 à 14h40

Si tu as dejà l'objectif prend le D70 et un flash annulaire. Sigma à sorti un flash macro compatible avec le TTL du D70 (ce que ne propose pas encore Nikon...!!!)

Tu auras les meilleurs résultat, bien mieux qu'avec un coolpix.

La preuve:

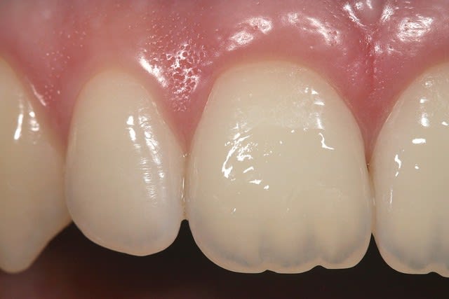
3 facettes que je viens de coller!

tiens j'ai laissé un excés de colle...:(

Img 1846 nebeo2 - Eugenol
Img 1856 ks4vuq - Eugenol

003 penrd2 - Eugenol
Cingulum

14/04/2005 à 14h41

une autre pour faire un jolie fond d'écran...

(c'est une dent naturelle je vous rassure...)


Img 1589 abxo8b - Eugenol

Canin

14/04/2005 à 15h04

J'ai actuellement une Canon Power Shot Pro1. c'est un appareil dit "bridge". Entièrement numérique. Très bonne qualité d'image. J'en suis très satisfait.

Cependant, si j'avais à choisir aujourd'hui, je choisirais un réflexe numérique chez Canon dans la gamme EOS. Les premiers prix sont dans les 1000 euros pour les dernières nouvelles.

Les réflexe permettent plus d'évolution.


003 penrd2 - Eugenol
Cingulum

14/04/2005 à 16h17

mes photos c'est EOS300D + 100mm CAnon + Flash Canon

le 350D vient de sortir, il fait plus pour moins cher...


Z zxrpcc - Eugenol
mirceradonic

15/04/2005 à 00h02

merci pour vos réponses qui font definitivement pencher la balance vers le reflex.


A ce sujet, les réglages ne sont-ils pas difficiles à trouver? faut-il bien maîtriser la technique pour réussir ses prises de vues?

cingulum,quel est ton mode opératoire, tes astuces pour prendre des photos comme celles que tu présentes?


Avatar transparent iqadnc - Eugenol
adhoc

15/04/2005 à 01h53

Mirceradonic, les écoute pas. Voici une référence... de 50 ans. Et made in france, en plus.

Photo52 b0vigw - Eugenol

phil

15/04/2005 à 02h19

OUI faut plutot un reflex ... si tu veux des infos simples sur la photo tu peux voir http://www.abylone.com/photophiles/
petites fiches sur la technique de prise de vue ...


Z zxrpcc - Eugenol
mirceradonic

15/04/2005 à 10h35

adhoc, j'crois qu'je vais craquer pour celui-ci

Hightech oaor7d - Eugenol

phil

15/04/2005 à 10h41

il te faut des ecarteurs adaptés ! le teck est très chic