Tous les forums
c'est fou...
29/04/2005 à 22h11
Dernière patiente de la journée,
premier RDV donc j'avais prévu large, on commence à parler de ses problèmes suite au questionnaire ; elle se plaint de sensibilités des gencives, saignements, bourrages....voyez où je veux en venir!!!
Un tour d'horizon en bouche, quelques tests (thermique, percussion) pour vérifier les dents et prélèvement par acquis de conscience alors que la gencive montrait de discrets signes d'inflammation localisée, pas de saignement à la stimulation, pas de récession....et pan.
Plein de vibrions, spirochètes, bon pas de parasites mais j'étais frappé de la virulence de la flore au regard de peus de signes cliniques.
Tout ça pour convaincre les récents et futurs utilisateurs de microscope du bien fondé de leur choix et pour amener de l'eau au moulin de phil, qui l'avait déjà répété à plusieurs reprises....
Mais bon, l'effet du temps peut-être, d'une fin de journée douce et agréable quand elle se déroule de manière voulue.
29/04/2005 à 22h31
Pareil, une jeune patiente sans pb paro apparents. Je lui fait une ccm sur 26, douleurs au bout de six mois, dépose, provisoire, tj mal, RTE (4 canaux) et toujours mal. Puis elle rentre de vacance et me dit avoir eu mal sur 36 couronne ancienne sans pb particulier. En désespoir de cause, prélèvement et BOUM! tout plein de trucs et de machins... soins locaux type charon pendant un mois. Revue mardi, plus rien (soins locaux arrêtés depuis trois jours), plus de douleurs non plus et elle se sent mieux.
Merci microscope!
29/04/2005 à 23h08
Et je te laisse imaginer la flore d'un pauvre petit canidé comme mon "york", ça doit partir dans tous les sens...tiens bonne idée, j'y avais même jamais songé.
Après on pourra comparer avec les prélèvements des pittbulls d'amibien....si ça se trouve mon chien est plus agressif que les siens (d'un point de vue fore buccale).
Et là, ça te tente pas plus cher vétodontiste athos.
29/04/2005 à 23h27
alors là Steph, je suis quasi sur que les surprises attendues ne seront pas celles que tu imagines...
malgré la mauvaise réputation des "museaux qu'on fourre partout", je ne suis pas sur que la flore endogueule soit plus souvent desequilibrée que la flore endobuccale...
j'imagine que la composition des deux flores endogenes est différente, mais je ne sais pas celle qui se desequilibre le plus...
mais il est vrai qu'une vie de chien est si courte...
29/04/2005 à 23h54
athos a écrit:
-------------------------------------------------------
> pfff....z'etes que des tentateurs!
Eh alors qu'attends tu?
une fine lame comme toi devrait foncer comme dans certaines autres situations :-)
29/04/2005 à 23h57
athos a écrit:
-------------------------------------------------------
> alors là Steph, je suis quasi sur que les
> surprises attendues ne seront pas celles que tu
> imagines...
> malgré la mauvaise réputation des "museaux qu'on
> fourre partout", je ne suis pas sur que la flore
> endogueule soit plus souvent desequilibrée que la
> flore endobuccale...
>
> j'imagine que la composition des deux flores
> endogenes est différente, mais je ne sais pas
> celle qui se desequilibre le plus...
>
> mais il est vrai qu'une vie de chien est si
> courte...
tout à fait d'accord avec toi athos on ne peut pas extrapoler
sdi ce n'est qu' une vie de chien c'est pas toujours facile....
ben moi hier premier contact consoeur 33 ans très inquiète.....
parodontite agressive en phase active de 15 à 25 car signes cliniques marqués en palatin.......au microscope sur 4 sites pas de paropathogènes apparents classiques au microscope ( pas de spiro pas de parasites peu de mobilité )......juste par endroit des cellules blanches (polynuclaires et lympho)
pas de facteurs de risques.........à l'interrogatoire
peu de plaques peu de dépôts .........
vous faites quoi ....
voulez-vous faire un exercice de reflexion avant le breton des cap..si oui je chargerai le cas.......
29/04/2005 à 23h58
bin ça me tente bougrement, mais il y a tellement de parametres qui m'échappent...
j'y travaille beaucoup, mais laborieusement...
je n'ose pas sauter le pas sans etre parfaitement au fait, et j'ai l'impression que cela risquerait de modifier ma pratique trop en profondeur...
ça fait quand meme 20ans que je suis en deserrance!!!
30/04/2005 à 00h03
grand interet Phil!!!
va s y!!!! ça c'est de la formation live!
j'attend avec gourmandise...
30/04/2005 à 00h08
salut phil,
ton cas est un fau négatif (?)
Bé, maintenant que j'ai tes coordonnées, je te l'envoie ce cas mon ami... et je donne aussi l'adresse d'alhoun ou amibien pour le post traitement paro.
Par contre, plus sérieusement, étoffe un peu ton cas (radios, perte d'attache, traitements suivis, bilan sanguin, tests bactériens...)
J'adore la formation en live.
30/04/2005 à 00h32
donc commencons par interrogatoire
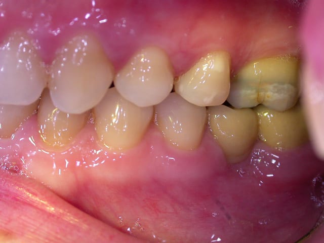
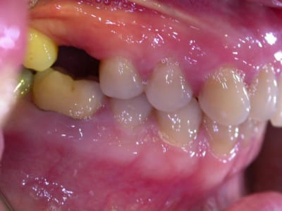
consoeur née le 27/03/71 ... elle se plaint à son mari ( aussi chir den ) d'agacements depuis plusieurs mois au niveau d'une CCM sur 36 en lingual et d'une gêne plus ou moins généralisée qui s'agrave ..... elle a constaté des saignements et fait des bains de bouche ( meridol ) ..... ce qui l'inquiète c'est l'apparition de daistèmes .....12 11 21 22
a l'impression que la 36 bouge un peu et presente des sensibilités au froid
se brosse les dents avec une INAVA 15/ 100 et du sensodyne mais plutôt fait avec ce qu'elle a sous la main ......brossage manuel
interrogatoire fiche de risque :
risque familial :n'a pas d'antécédent familial ( son papa etait dentiste ) ni du coté parent ni du coté freres et soeur
suceptibilité a la carie:
a perdue des dents par carie très jeune ... dents remplacée en bas par un petit bridge avec une dent en extension
26 absente......
suceptibilité plutôt basse à la carie ........
stress
familial ........sa maman peut être
elle est stressée par son travail mais il n'y a pas eu depuis l'apparition des symptômes de changements particuliers ...
petit coup de blues après grossesse ....mais pas de medication ( 18 mois )
medical :
allergique aux moisissures .....mais aucun troubles medicaux ....fait un regime en ce moment....
n'a pas eu + de problèmes pendant ses 2 dernières grossesses ...
prise de sg en juillet RAS
tabac ;
arret du tabac en 1999 ( fumait jusqu'à 15 cg /j)
pas d'antécédents de GUN et de pericoronarites
4 sites prélevés pour microscope 11 25 36 46
pas de spiro pas d'amibes pas de tricho.... Bacilles mobiles
par contre par endoit polynucl et lympho
( je peux pas telecharger les videos .....je peux essayer une copie d'ecran mais cela risque d'être moyen )
a brossé ses dents 60 minutes avant ( sensodyne )
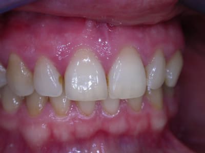
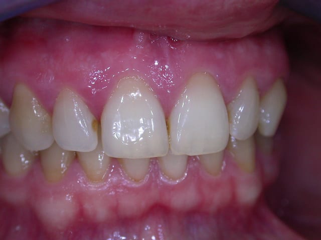
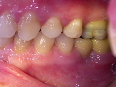
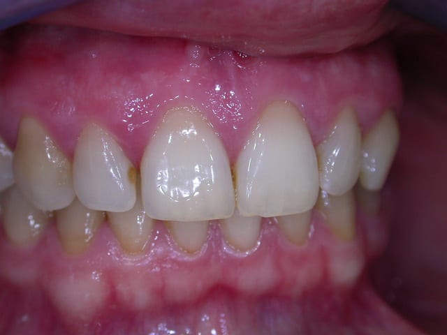
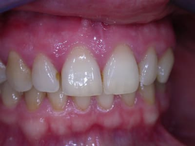
examen buccal .........voir les photos ........après ........ca vient
examen radio .........après ca vient.......
30/04/2005 à 01h07
Et non moi je prefère ces bonnes vieilles rx !j'y vois tellement de choses ..
les images arriivent mais j'suis pas très doué !
30/04/2005 à 01h09
Je pensais à un moment à une phase quiescente de la maladie mais au vu des radios et des sites de prélèvements (15 notamment), bizarre de ne rien trouver en relation avec les signes cliniques.
Pourrait-il s'agir d'une paro juvénile non traitée, 26 manquante, 46 remplacée et 36 traitée endodontiquement?
Mais en ce cas les atteintes osseuses seraient plus marquées, et il me semble voir une lamina dura sur les incisives inf.
Réflexion en direct mais pas sûr de l'aboutissement.
30/04/2005 à 01h18
steph d'accord avec la fin de ta remarque pour moi pas paro juvenile ni post juvenile .......
30/04/2005 à 01h46
Bon controle de plaque, pas de tartre ni de colorations, inflammation en palatin seulement...
Pas de flore agressive, pas de stress.
Le problème ne semble pas aggraver par l'occlusion, des tics vicieux peut-être?