Cookie Consent byPrivacyPolicies.comATM et paro - Eugenol

ATM et paro

Panavia

06/06/2005 à 09h28

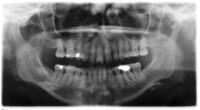
Patiente de 35 ans, 5 cigarettes par jour, migraineuse, claquement à l'ouverture et à la fermeture, supraclusion importante et comme vous le verrez sur les radios:
- érosion du condyle mandibulaire droit
- egression des incisives maxillaires avec lyse osseuse

Quels traitements proposeriez vous?

Pano ngrzdn - Eugenol
Tomo vfgoac - Eugenol

Canin

06/06/2005 à 16h13

Traitement paro et ortho.

La zone osseuse en arrière de la 47 me paraît suspecte.


Icon poker h4nm2d - Eugenol
jeff

09/06/2005 à 00h41

Si ta pano est dans le bon sens, il y a aussi une grosse déviation vers la droite, un condyl donc beaucoup plus massif à droite : la patiente fonctionne à droite, sans doute depuis un moment.

Traitement SB + paro . l'image à l'apex de 36 m est aussi suspecte !


Zoe   son arriv e whwqpj - Eugenol
emma

09/06/2005 à 00h54

Même traitement que celui que propose Jeff, en sachant qu'il y a toujours une amélioration du parodonte avec l'utilisation du SB en parallèle avec un traitement de paro médicale et peut-être chirurgicale après réévaluation.