Cookie Consent byPrivacyPolicies.commerci en passant - Eugenol

merci en passant

Cuisinier2 vnbbxx - Eugenol
jeff2

13/06/2005 à 14h11

Là je pense que c'est juste un probleme qui ne peut s'observer que dans les mouvements d'exploration
l'une des patiente mastique a gauche depuis longtemps m'a t'elle dit
j'ai cherche a savoir pour quoi elle ne pouvait explorer a droite et en meulant les cuspides mesiovetibulaire de 37 tout s'est reequilibré


Ylfwcw979cz1jnx9gfqeaxndiuzk - Eugenol
Algi

13/06/2005 à 14h22

Autre chose encore: probléme sur 43 vaut probléme sur membre sup controlateral mais quid de probléme épauyle qui aura incidence sur position de "la" dent....

En attendant je meule mes dents qui causent des rétractions et globalement c'est bon.... ah oui je me sers quand même d'un peu de kinesio pi aussi je fais marcher les patients aprés meulages et je reteste aprés que systéme se soit rééquilibré et comme ça j'arrive, je crois, à gagner sur les séances suivantes et anticiper déséquilibres induits si desequilibres il y a.

dernier truc: selon Isaie les anterieures (incisives) auraient incidences sur migraines et douleurs localisées à la tête..... quid des troubles non fonctionnels mais psy.... aller voir du coté des incisives est sans doute piste interressante... et voir aussi la DVO mais là les bras sont de peu de secours pour trouver la bonne...

Mississipi????


isaïe

13/06/2005 à 14h38

1)Imaginons que le problème ascendant existe (ce dont je doute).
Le patient couché dents ouvertes et yeux fermés va nous donner une situation x correspondant à zéro influence de l'occlusion.
Si nous le remettons en IM (yeux ouverts ou fermés cela n'a plus d'importance sauf si lunettes) il va nous donner une situation y correspondant à l'effet de l'IM
Si x n'égale pas y l'occlusion n'est pas neutre.
Peu importe le problème ascendant que nous n'avons pas fait varier et qui n'est pas de notre ressort. Si il existe.
Notre travail est de rendre l'occlusion neutre sur toute la musculature.
2)Peut-on montrer qu'une surélévation d'une semelle ou un torticolis modifie la répartition des points de contact en IM? Je pense que c'est impossible, mais il faudrait vérifier.
3) les troubles psy sont au-delà de ma ligne rouge. Si je n'obtiens pas d'amélioration (ce qui n'est pas courant), le patient peut repartir avec, ce n'est plus mon métier.
Je voudrais préciser certaines réponses mais je reviendrai un peu plus tard.


Ylfwcw979cz1jnx9gfqeaxndiuzk - Eugenol
Algi

13/06/2005 à 15h29

Concernant le fait de régler les bras, de faire marcher quelques pas et de reregler ensuite si nécessaire.... un avis?


isaïe

13/06/2005 à 15h41

A priori, on peut supposer que ça devrait aider à intégrer le changement occlusal. En ne perdant pas de vue qu'une surcharge induite mettra plusieurs heures avant de donner un effet mesurable.
Nous avons la chance de pouvoir déconnecter l'occlusion et de mesurer les effets (attention au relais oculo-moteur) ce qui est impossible avec d'autres capteurs posturaux tels que oreille interne, capteurs musculaires annexes ou proprioception superficielle diffuse.
Il est possible de le faire avec l'information visuelle et les oculo-moteurs (du moins en déconnectant convenablement l'occlusion, ce que les posturologues ne font pas).
C'est une chance qu'il ne faut pas rater, elle permet de cibler exactement ce dont l'occlusion est responsable.
Examiner un patient debout revient à additionner les effets de tous les capteurs à la déformation anatomique acquise par un état de contraction musculaire asymétrique prolongé, ce qui rend l'analyse difficile et pour moi impossible.

"et voir aussi la DVO mais là les bras sont de peu de secours pour trouver la bonne..."
On a déjà beaucoup parlé de la DVO et il y a des techniques efficaces et précises. Ce qui me paraît plus fondamental, eu égard aux conséquences de la surcharge antérieure, est de sortir à tout prix de supraclusion, tous les moyens sont bons.


Humb

13/06/2005 à 23h42

Algi:le peu de tests que j'ai fait ne me donnaient pas de modification après avoir marché jusqu'à la porte:ce que confirme Isaïe,car il faut qqs heures pour que les bras changent à nouveau car on ne teste pas les pb ascendants,si j'ai bien compris on attend
que mandibule se remette ou se recentre de ses déviations dus aux contacts déflecteurs.
Ce qui veut dire que les pb ascendants doivent être traités par d'autres spécialistes et que les occluso
dontistes ne doivent pas prétendre soigner tout..
Dans ce sens Isaïe remet un peu d'ordre.
Isaîe:qu'elle est l'étiologie de ces contacts
pathologiques qui induisent des pb à distance et qui
ont presque tous la même somatotopie?Et qui ne sont pas influencés par les ascendances?


isaïe

14/06/2005 à 09h07

On peut imaginer que ces "micromalpositions" sont dues à toutes les causes évoquées pour les problèmes orthodontiques, déficit d'allaitement, de sollicitation de la musculature oro-faciale (nourriture), de la fameuse interposition linguale, des mastications unilatérales, etc...
Il sera peut-être permis un jour d'y voir d'autres significations plus symboliques, qui sait?
Toujours est-il que ces micromalpositions sont identifiables et exploitables cliniquement, elles permettent également de définir un objectif thérapeutique occlusal plus précis sans aucunement renier ce que nous faisons actuellement en matière de reconstruction occlusale, prothétique ou orthodontique.


Ylfwcw979cz1jnx9gfqeaxndiuzk - Eugenol
Algi

14/06/2005 à 11h03

Désolé mais aprés meulages et equilibration bras si je fais marcher le patient ben ça change 1 fois sur 2.... de pas grand chose en général mais suffisemment pour affiner dans la séance...

Ensuite y'a les bouts de sparadrap de Rogé... hé hé ça aussi c'est pas mal ;0)

ps: pour les non initiés c'est sur la plante des pieds qu'on les place, pas sur les dents....


Humb

15/06/2005 à 00h02

eh oui la patiente testée aujourd'hui a eu une modif
après s'être levée...rebelotte.
Chez certains les tests sont très faciles et reproductibles, chez d'autres c'est très difficile d'obtenir quelquechose de précis:le bibine ou le prozac;;;


isaïe

15/06/2005 à 09h56

L'examen du patient en IM donne déjà une bonne indication sur son état de contraction musculaire, une asymétrie (ou plutôt une différence entre le BO et IM) signe immanquablement un problème occlusal. Ce sont sans doute les cas les plus évidents.

La différence n'est parfois pas perceptible immédiatement, par exemple un V45 et un V34 risquent de donner une symétrie apparente, par contre, le confetti sur 34 donnera une rétraction gauche immédiate. Après correction de 34, le confetti sur v45 donnera une rétraction droite et on retrouvera après correction une symétrie vraie qu'aucune interposition ne pourra plus modifier.
Les plaintes du patient donnent une très bonne idée des dents à vérifier. A plus de 90% je suis certain qu'une même plainte générale (suivant le tableau que j'avais communiqué) donnera une asymétrie localisée sur la même région mandibulaire. Sauf pour les cas de béances antérieures et de grandes édentations où il faut rechercher point par point ou mieux encore, commencer par remettre des dents quand il en manque, suivant les techniques classiques.
A mon avis, le mieux est d'examiner le plus de patients possible, sans nécessairement les corriger, pour se familiariser avec ces asymétries provoquées par la mise en IM ou par les mouvements de diduction.

NB
J'utilise de préférence le papier 40 microns pour la correction fine, le 200 donne une bonne idée générale mais aussi des plages de contact qui entraîneraient peut-être des corrections inutilement larges, le papier 40 micron rouge ne marque pas assez à mon goût et les dents doivent être bien sèches.
Je ne suis pas un adepte de la guidance antérieure, au contraire et le 40 microns, c'est juste bien pour éviter le contact en laissant toujours un maximum de matière dentaire. Il y a souvent encore des traces au 200 microns alors qu'il n'y a plus de contact.


Ylfwcw979cz1jnx9gfqeaxndiuzk - Eugenol
Algi

15/06/2005 à 11h10

Moui.... et de se servir de matrices transparentes à compo entre les dents en IM c'est bien aussi... faire mordre point par point et voir si ça glisse quand on tire desssus... là où ça passe pas on meule, là où ça passe on laisse sauf si et on reverifie aprés meulage ... et pis aussi se servir du 40 microns... mais bon comme dit + haut ça marque pas des masses et de + quand le point est vraiment un point et bien le 200 c'est précis quand même.


Allez, allons plus loin: une fois equilibre en IM.... quid des lateralités?? perso je garde Planas pi ensuite je verifie que les glissements ne causent pas de retraction des épaules.

ps: mon épaule va de mieux en mieux alors que ça a trainé presque 5 mois.... donc même si Rogé a frandchi la ligne rouge ben ça a marché quand même....

ps2: même moi, jeune scarabée, j'ai pas tout saisi de ce qu'il m'a fait.... vais-je devenir meilleur??? me transformer???? j'espére.... encore faudra-t-il lâcher sur ma propre ligne rouge sans doute.


occlusion

15/06/2005 à 12h20

Je constate que le « meulage sélectif » de feu la Gnathologie (1924-1996) conserve son petit succès ?

Il faut rappeler quelques notions, çà et là :

1.- Même si je ne prône pas l’ElectroMyoGraphie-KiNésioGraphie (EMG-KNG), ou Occlusion neuromusculaire (= B. Jankelson « amélioré »), branche de l’Occlusodontie académique (D.U. 1997-1998), qui fait supprimer uniquement les contacts perturbateurs de la centrique électrostimulées en RMD symptomatique, il n’y a pas que les ODF qui doivent prendre conscience du type de déglutition salivaire.

2.- En Occlusodontie aussi et surtout : est-ce une Déglutition Salivaire Fonctionnelle ou une Déglutition Salivaire Dysfonctionnelle ? C’est du moins la première grosse question impérative à se poser en Occlusodontologie en présence des signes d’une RMD symptomatique.

3.- En présence d’une Déglutition Salivaire Dysfonctionnelle (= plus de 75 % des patients adultes ! ) : mettez une Gouttière occlusale (inutile, mais « réversible ») si cela vous fait vraiment plaisir, mais INTERDICTION FORMELLE de meuler quoi que ce soit ! A ce propos, voy. mes photos d’aujourd’huii d’un PMRI –PO fonctionnel (= conditions proche du physiologique, puisque cas devenu *A*sympromatique par le traitement occlusal de l’Occlusodontologie) sur « L’Union fait la Force ! ».

4.- En POSTULANT que le patient *pourrait* avoir une Déglutition Salivaire Fonctionnelle ( ? ) – ce dont je doute - au cours d’une Relation MyoDéterminée Symptomatique, ou « malocclusion », soit chez moins de 25 % des patients adultes (= 25% de RMDA !), toute correction physique (= meulage(s) dentaire(s) dit(s) « sélectif(s) » mais *IRREVERSIBLE(S)* et/ou myothérapie fonctionnelle rév. et/ou constats & essais artificiels d’une MISE EN ARTICULATEUR souvent imprécise par les MORDUS occlusaux en cire de feu la Gnathologie « reproduite » en bouche et/ou correction de la posture du corps rév. et/ou kiné maxillo-faciale rév. et/ou port d’une Gouttière occlusale rév. et/ou EMG-KNG et/ou etc.) n’est observable qu’une FRACTION de seconde.
Ensuite, après cette MINUSCULE fraction de seconde (encore faut-il l’observer dans ce laps de temps !), ladite « correction » est vouée à l’échec clinique CERTAIN par votre Amie de toujours, ou perception proprioceptive - précise du 0.001ème au 0.01ème de mm -, car aucune recherche ni obtention CLINIQUE concrète, objective et rigoureuse par le praticien (signes) et surtout, par le patient (symptômes), d’une RMDA avec tous ses critères scientifiques, tels < position de repos physiologique des muscles manducateurs de la mâchoire inférieure + DVO fonctionnelle + EIOR = Espace libre physiologique + contact & guidance fonctionnels des deux couples canins + calages postérieurs fonctionnels des PM & M sans aucune interférence avec la « fonction canine » >

Tous au plus, vous DEPLACEREZ le problème jusqu’aux prochains signes et symptômes qui se manifesteront dès les premiers repas et la première nuit du patient = mise en branle et sollicitation extrême des fonctions REFLEXES de Sir C. S. Sherrington (1927) sans le concours INDISPENSABLE du repos des fibres musculaires (= 59,5 seconde/minute en Physiologie neuromusculaire).

Et, après la déprime mortelle du patient, viendra la déprime carabinée du praticien. :-)

Sur ce : bonne réflexions & cogitations personnelles à ttes et ts.


Humb

16/06/2005 à 00h28

J'espère que ton modèle présenté sur "Union fait la force" ne déprime pas?
Je ne sais pas bien lire:quels étaient ses signes et symptomes?
Avant...Après?
Et après tu les finis comment?


ben

16/06/2005 à 10h57

Pour lire du vent, il te faut un anémomètre.


isaïe

16/06/2005 à 12h15

Patiente de 30 ans jolie, toutes ses dents et pas mal agencées, sérieuse infection vulvaire de quelques jours tous les mois à la moitié du cycle depuis 4 ans.
Ce mois-ci, zéro infection. Charisme personnel? Non, élimination de la surcharge v de 35.
J'oubliais: elle est en psychothérapie depuis 3 ans, "vous souffrez d'un refus inconscient de la maternité en empêchant tout rapport sexuel au moment le plus favorable à la fécondation". Je ne vous dis pas l'effet sur le mental de la patiente d'un tel "diagnostic".
Pourquoi surcharge v en 35? Pcq compo op en sous-occlusion sur 25 et la 35 a glissé dans l'espace qu'on lui a donné. Je ne sais pas comment elle déglutit, mais je sais que la mise en IM provoquait un comportement musculaire asymétrique mesurable.
Ce qui est interpelant n'est pas le résultat (stable?) obtenu, mais la localisation qui correspond de nouveau à la somatotopie statistique. A surveiller.


Humb

16/06/2005 à 23h56

Très très intéressant.
J'attends les résultats de mes retouches:il faudrait convoquer les patients systématiquement.


ben

17/06/2005 à 02h34

isaie, tu lis pas tes MP?


isaïe

17/06/2005 à 10h40

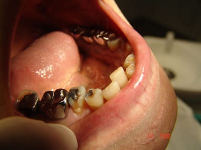
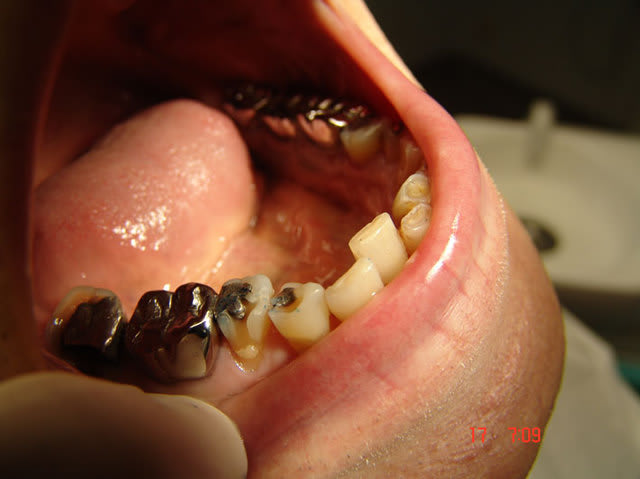
patient de 72 ans, bouche complète avec restaurations diverses.
érosions multiples qui ne peuvent pas être mécanique: localisation et respect de matériaux moins résistant que l'émail (ionomères et compo). Donc très probablement chimique. Pas de consommation de sucres, jamais de boissons acides.
Surcharge de 34v et de 14p = estomac pas fermé, remontée acide.
Symptomes associés: haleine pas top malgré hygiène rigoureuse, digestion difficile.

Pf wjsekm - Eugenol

occlusion

17/06/2005 à 11h02

+ contraction langue en B.O. et positions incisives inf. = DSD. Quelles sont les raisons de la consultation? Esthétique? Fonctionnel? Que lui proposeras-tu?


isaïe

17/06/2005 à 11h26

motif de la consult: examen de bouche
pas de demande esthétique
pas de problème paro, hygiène correcte
pas de lésions carieuses
pas de plaintes atm, tête et cou
traitement: correction de l'état de contraction musculaire asymétrique par soustraction des deux prémolaires responsables et surveillance des plaintes et des symptomes digestifs (+Ph).
Paramètre non négligeable:part à l'étranger dans 3 mois.


Comment ferais-tu le lien entre la DSD et les lésions observées?
Ne serait-il pas possible que cette DSD fasse partie du "dérangement musculaire" général?


occlusion

21/06/2005 à 01h30

- Brossage horizontal ?
- Canine 43 bien abrasée.
- Il manque la 44 : extraction ODF ?
- On ne voit pas beaucoup de salive : symptôme de la bouche « sèche » ?
- Pas mal [obturations + couronnes] = ancien amateur de sucreries ?
- Quel est le pH salivaire ?
- Que disent les ptérygoïdiens externes ?

> Ne serait-il pas possible que cette DSD fasse partie du "dérangement musculaire" général?
>
- Au niveau Relation MyoDéterminée : effectivement si tu reprends toute la croissance + développement du patient « respirateur buccal » = Déglutition Salivaire Infantile + hypoxie relative + hypercapnie relative + malpositions dentaires + adaptations aux dysfonctions neuromusculaires, tout çà chez adolescent en croissance, puis chez l’adulte qui fait très peu ou, le plus souvent, pas de sport et jusqu’à la décompensation neuromusculaire à tout âge adulte.
- La DSI / DSD est un symptôme précoce, le "dérangement musculaire général" est une symptomatologie tardive par rapport à la première.


isaïe

21/06/2005 à 09h26

Ceci ne correspond en rien au patient en question, mais je comprends qu'on ne puisse pas l'apprécier sur une simple photo.
L'important est l'image de l'érosion qui ne peut pas être due au brossage (érosions en cupule en occlusal, respect des ionomères cervicaux).
-Il faut se méfier de la mesure du Ph salivaire qui n'est pas d'une grande utilité (rappel: pouvoir tampon+ à quel moment de la journée et dans quelles conditions?). Le fond de la gorge à jeun avant brossage le matin est plus intéressant.
-zéro sucreries (écclésiastique austère en brousse), par contre bel exemple de la dentisterie de Black, "extensions préventives"
-canine abrasée: heureusement!
-pas de problème de sècheresse buccale.
-44 est présente, comme toutes les dents d'ailleurs: à cet âge respectable, c'est pas si mal. S'il y a un problème de déglutition, il n'a pas occasionné les dégats si souvent annoncés.


" le "dérangement musculaire général" est une symptomatologie tardive par rapport à la première."
Je pense que ce n'est pas correct parce que ce dérangement est déjà mesurable au moins dès l'apparition des molaires lactéales, alors que la déglutition n'est pas encore décrite comme mature à cet âge


Quelle serait, à votre avis, la cause de la déglutition dysfonctionnelle en général?
Il serait peut-être utile d'en rappeler la définition, elle ne fera peut-être pas l'unanimité.


12