Cookie Consent byPrivacyPolicies.comdiagnostic infection paro - Eugenol

diagnostic infection paro

Img 1527 l6cp3r - Eugenol
djer

17/07/2005 à 16h16

bonjour,
j'ais découvert votre superbe forum très reçemment, et je trouve très stimulant de pouvoir confronter des points de vues.
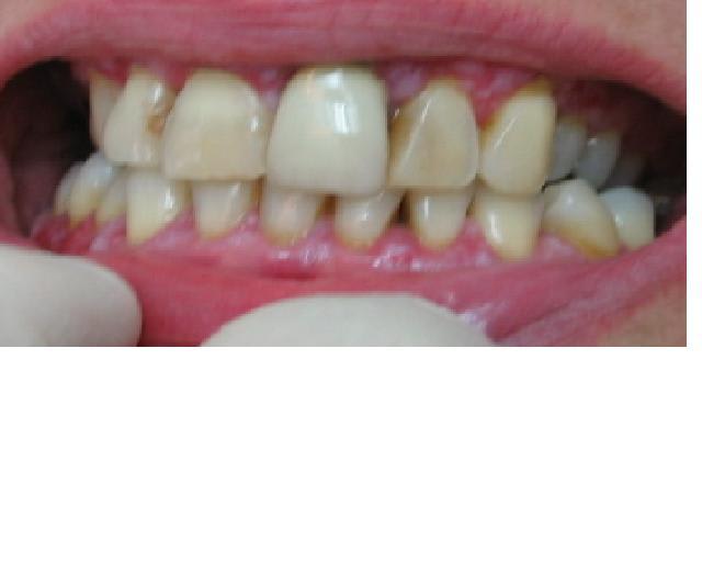
Est-ce que quelqun pourait me tirer une belle épine du pied en posant un diagnostic pour ce cas?
patiente de 50ans, consulte pour douleur et saignement gingival.
problème hépatique sous traitement( diagnostic précis non obtenu),pas d'autre medicament pris.
premier traitment il y a un mois : 10j jour de metronidazole à 1.5g/j puis traitement eau oxygéné+ bicarbonate + prexidine 1mois.
moins de douleur mais toujours les ulcérations.
la muqueuse est souple au touché ,inflammée, des poches sont presentes mais modérées 3-5mm.
je maintenant d'autres idées:
mycoses
manifestations troubles sytémiques
bacteries autres que celles habituelles.
merci de vos réponses

Pat4 thvh5t - Eugenol
Pat1 qngu9a - Eugenol
Pat3 ogrlnv - Eugenol

phil

17/07/2005 à 20h27

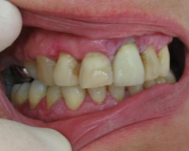
les photos sont moyennes mais à mon avis il y a un lichen plan generalisé arrete l'eau oxygénée ( aggrave le lichen plan) et prend contact avec le gastro entero car il y a un rapport entre ses pbs hepatiques et le lichen plan peut être
fais une biopsie qui te permettra très vite de poser le diag

photo d'un lichen plan erosif pour comparer avec ce que tu as en bouche et la discussion eugenolienne
http://www.sfdermato.net/enseignement/atlas/0026.norm.jpg
http://www.eugenol.com/eugenol/read.php?3,34729

salut


Img 1527 l6cp3r - Eugenol
djer

18/07/2005 à 12h02

merci beaucoup pour la reponse et sa rapidité,
c'est ce que je vais faire.
bonne semaine, phil!


phil

18/07/2005 à 14h24

on est la de toute façon./...


firebird

24/07/2005 à 11h16

D4ACCORD AVEC PHIL LES PROBLEMES PARO VIENNENT DES INTESTINS ET DU FOIE IL FAUT INTERROGER NOS PATIENTS LA DESSUS IL FAUT AUSSI LEUR FAIRE FAIRE UN DRAINAGE DU FOIE 2 FOIS PAR AN AVEC TEINTURE MERE DE PISSENLIT OU D'ARTICHAUT.LA PARO EST UN PROBLEME QUE L4ON PEUT QUALIFIER D4ORGANIQUE ET NE TRAITER QUE LA BOUCHE EST UNE HERESIE TOTALE QUI FAIT LE BONHEUR DES CONFERENCIERS ET DES MARCHANDS DE SOUPE.


phil

24/07/2005 à 12h39

firebird ,

je ne suis tout de même pas aussi categorique que toi .. Il faut être prudent . les maladies paro sont multifactorielles et il existe des tas de situations differentes . avoir une vision unique est dangereuse . Il faut integrer dans notre pratique des tas de notions .Il y a une influence du terrain qui est complexe et qui a effectivemment un rapport avec l'etat général du patient et son environnement .. mais il ne faut pas pour autant dire que tout ce que l'on nous raconte c'est du pipeau......c'est à chacun de faire la part des choses et d'integrer dans sa boite à outil des notions de paro classiques ( comme on nous l'a enseigné ) mais aussi des notions de paro medicales et aussi des notions de naturopathie pourquoi pas ......mais attention en paro on ne juge de l'efficacité d'une therapeutique que si l'on arrive à une stabilité sur plusieurs années......

pour en revenir au sujet evoqué ci dessus il est montré que le lichen plan a un rapport etroit dans certains cas avec des hepatites 30 % environ ce qui est important... Peut-on dire que les 70 % qui restent sont uniquement liés à des troubles hepatiques .. je serais moins catégorique ou du moins il faudrait en parler à des gastro enterologues car le problème principal en medecine actuelle c'est le cloisonnement de nos specialités et un vision en tranche de l'individu c'est vrai mais personnellement je reste à ma place et je n'ai pas les competences pour juger de façon objective de ce qui se passe ailleurs.
par contre je suis plutot insensible aux gourous du chirurgical à outrance en paro comme à ceux de la naturopathie la plus exuberante ....
en toute chose il faut etre modéré ... c'est ma grand mère vieille paysanne qui me l'a appris ....


firebird

24/07/2005 à 13h46

OK MAIS ON NE PEUT IGNORER QUE LA BOUCHE COMME L'OESOPHAGE OU L'INTESTIN SONT LIES PAR LE FAIT QU'ILS APPARTIENNENT AU SYSTEME DIGESTIF IL FAUDRA UN JOUR QU'ON M'EXPLIQUE DE FACON RATIONNELLE AU RAS DU SOL AVEC DU BON SENS TERRIEN POURQUOI CHEZ LES PERSONNES QUI SOUFFRENT DE PARODONTITES NOTAMENT REFRACTAIRES ON RETROUVE A L'INTERROGATOIRE POUSSE LES MEMES REPONSE AU NIVEAU DIGESTIF HEPATHIQUE.CE SONT EN GENERAL DES TERRAINS ACIDES AVEC PB AU NIVEAU DES LACTATES ET DE LA SECRETION DES IGa.LE FOIE EST ENCRASSE ET LES REINS FONCTIONNENT COMME ILS PEUVENT JE CROIS QU'ON NOUS A FAIT IGNORER PENDANT DES ANNEES CES PROBLEMES ALORS QU'ILS SONT CRUCIAUX LIBERONS UN PEU NOS ESPRITS POUR ALLER VOIR AILLEURS CE QU'IL SE PASSE.JE NE VEUX PAS PASSER POUR UN DONNEUR DE LECONS MAIS CE SONT LES ECHECS EN PARO QUE J'AI EU A GERER QUI M'ONT FAIT REFLECHIR SUR CE QUI POUVAIT ETRE DERRIERE UNE MP
CORDIALEMENT A TOUS


Modérateur

24/07/2005 à 14h57

firebird a écrit:
-------------------------------------------------------
> OK

Merci d'arrêter de crier et d'écrire en minuscule, c'est plus lisible.


phil

24/07/2005 à 17h39

il a un problème de foi et pas de foie cet homme . Pardonnons lui il parle avec son coeur c'est visceral ......


Ylfwcw979cz1jnx9gfqeaxndiuzk - Eugenol
Algi

25/07/2005 à 16h22

Firebird: on est tout ouïe alors zappe la touche majuscule et reprenons...

Concernant le terrain (toi tu dis acide...) on en parle déjà ici depuis l'arrivée de rhune (voir ses posts et les lire, ensuite argumenter). Et nos conclusions étaient plutot que le terrain le plus favorable aux infections paro est basique....

je sais de mon coté que les medecins chinois font la guerre aux aliments acides (tomates, jus d'agrumes....), la guerre au lait de vache et à ses derivés car ils intoxiquent le foie et ne sont pas top pour la bonne santé intestinale....

Donc à priori pas d'accord... et donc necessité de dialoguer pour accorder nos vues (pas la peine de rentrer dans des controverses steriles comme en occluso ;0)).

Concernant l'encrassage des organes "filtres" comme foie et reins il est important de faire prendre conscience au patient de boire suffisemment mais aussi de lui faire comprendre tout l'intéret d'une alimentation correcte (produits frais, bio, fibres, viande vs poisson et protéines vegetales....).

Vaste sujet et vaste probléme....

Bienvenue à bord de ce grand bateau qu'est eugenol!


firebird

25/07/2005 à 23h54

Désolé pour les majuscules quand je m'en suis rendu compte j'avais la flemme de tout retaper.
d'accord avec toi Algi sur le terrain basique favorable aux MP.ce que je voulais dire c'est une concordance de symptômes décrits par les patients présentant des MP.80%des IGa synthétisées dans l'intestin appelé aussi 2ème cerveau ces patients souffrent de mauvaise digestion sont lourds après les repas depuis quelques temps je les fait prendre en charge par un naturopathe et nous travailoonns de concert les résultats sont assez surprenants pour des esprits trop cartésien mais il me faudrait un plus grand nombre de cas pour étayer celà mais nous nous y employons(ceux qui y croient)
cordialement
Au fait Phil j'ai un problème de foi avec mon foie qui n'écoute que lui même.


Images eb1m5g - Eugenol
tonio

26/07/2005 à 00h05

Désolé d'intervenir dans vos vives discussions mais n'y aurait-il pas d'autres étiologies à ces ulcérations?

La patiente fume t'elle? dans ce cas, l'H2O2 est aussi déconseillé.

L'aspect des ulcérations et la couleur de la gencive me font penser à 2 autres étiologies complémentaires au pb hépatique: un brossage traumatique et une hyposialie. La patiente prend t'elle des anti-dépresseurs?

bien à vous,


phil

26/07/2005 à 00h05

Eugenol est ouvert à tout et heureusement.......j'y resterai pas autrement .
moi ce que tu dis m'interesse ..je dirais même plus il serait utile que le naturopathe nous explique un peu sa demarche moi qui n'y connait rien !


Avatar transparent iqadnc - Eugenol
adhoc

26/07/2005 à 00h58

Firebird, pour changer la casse, 6clicks, copier ton texte d'eugenol avec CTRL C, copier sur Word CTRL V, format, changer la casse.
Et CTRLC pour copier le texte avec la casse inversée, puis coller sur eugenol par CTRL V.


phil

26/07/2005 à 01h30

tonio
tabac, hyposialie et brossage iatrogène aggravent bien entendu.. tout ce qui agresse....

firebird
pourquoi les femmes seraient-elles plus aytteintes selon tes concepts dans le cadre du lichen plan ? ce que l'on constate souvent...


Amibien

26/07/2005 à 04h41

Peut-être parce que la bouche d'une femme est plus sujette à contacts divers et variés... hum hum...


phil

26/07/2005 à 09h46

salut l'ectoplasme !
le lichen est une dyskeratose.....contact vous avez dit contact ...
viral ?


Amibien

26/07/2005 à 10h40

phil a écrit:
-------------------------------------------------------
> salut l'ectoplasme !
> le lichen est une dyskeratose.....contact vous
> avez dit contact ...
> viral ?
>
>


Salut Phil, déjà levé ?


phil

26/07/2005 à 10h51

Ben ouais 5 heures de sommeil c'est suffisant non ? a mon age les minutes sont savoureuses alors j'en profite.....


Img 1527 l6cp3r - Eugenol
djer

27/07/2005 à 01h09

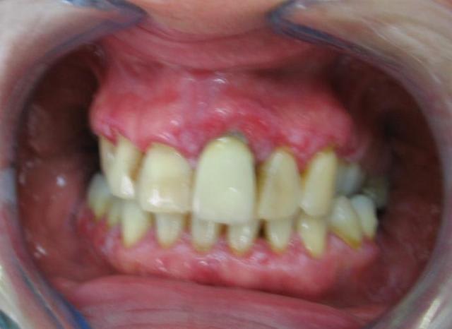
la patiente ne fume pas, ne prend pas d'antidepresseur et n'as pas la salive caractéristique de l'hyposialie.
je l'envoie chez le stomato avec qui je correspond d'habitude pour confirmer.
réponse bientôt.
une descriptif du lichen plan (merci phil pour le site).
http://www.esculape.com/dermatologie/lichenplan.html
il est decrit comme "le psoriasis de la bouche" et n'a pas l'air facile à faire disparaitre.


phil

27/07/2005 à 01h29

merci djer de ton lien .....c'est clair et concis .


AMG

27/07/2005 à 22h48

Il y a des stations thermales qui traitent le lichen plan cherche sur Google ça vaut le coût d'essayer.


Audi tt 2007 jzsdts - Eugenol
sbire

27/07/2005 à 23h48

la roche posay par exemple, j'y ai mené un début d'étude lors de la mise en place du DU de thermalisme buccal qui existe à bordeaux.


phil

30/07/2005 à 01h19

sbire a écrit:
-------------------------------------------------------
> la roche posay par exemple, j'y ai mené un début
> d'étude lors de la mise en place du DU de
> thermalisme buccal qui existe à bordeaux.


on pourrait avoir quelques precisions mon ami .. J'espère que tu vas bien .....mille pensées


Audi tt 2007 jzsdts - Eugenol
sbire

30/07/2005 à 01h41

Salut phil,

lors de ma thèse, un MCU de son état (paix à son âme) a eu l'excellente idée de prendre deux gentils étudiants et de les envoyer faire une thèse sur le lichen plan et le thermalisme à La roche posay (un trou au milieu de rien)...Vu les conditions de l'étude, de logement et d'examens on a laissé tomber au bout de trois semaines.....Cela se passait alors que Bx II validait l'existence d'un DU de thermalisme buccal.

Voilà, rien de bien spécial en sommme (ou plutot en vienne)


12