Cookie Consent byPrivacyPolicies.comcicatrice gingivale - Eugenol

cicatrice gingivale

Bx1 spw1cx - Eugenol
BX

19/07/2005 à 15h32

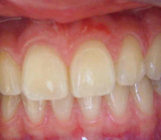
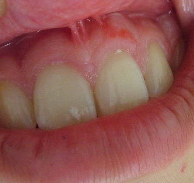
Suite à une chute de cheval remontant à avril 2004, une jeune patiente présente une sorte de cicatrice gingivale à la verticale de 21.

Pensez-vous qu'elle disparaîtra avec le temps ?

Sinon, que préconisez-vous ?

Mothet2 pxxwyi - Eugenol

Coeur n9py1g - Eugenol
patvat

19/07/2005 à 16h00

je ne pense pas


Image19 iebot6 - Eugenol
athos

19/07/2005 à 16h57

cicatrice tres discrete cher Bx, j'ai honte mais je ne l'ai pas vue!.......


alhoun

20/07/2005 à 10h52

je pense comme patvat qu'elle ne disparaîtra pas, et je pense comme athos qu'elle est à peine visible, à moins que ton patient ait un sourire de cheval, précisément.
personellement, je m'abstiendrais.


Audi tt 2007 jzsdts - Eugenol
sbire

20/07/2005 à 11h37

pareil!
Désolé BX


Avatar transparent iqadnc - Eugenol
adhoc

20/07/2005 à 12h42

Peut etre se renseigner a un dermato sympa qui traite cicatrices a relief posou nég avec laser/peeling.
Ou bibliographies.


Avatar ow44t3 - Eugenol
Chicot

20/07/2005 à 19h04

perso je trouve que la qualité de la photo est pire que la cicatrice. Dit nous en plus: gêne fonctionnelle ou esthétique du patient ?


Avatar transparent iqadnc - Eugenol
adhoc

20/07/2005 à 19h30

Ivetol, tu es demandé pour une retouche.@++


Ivetol gth5hw - Eugenol
ivetol

21/07/2005 à 13h38

effectivement en augmentant les contrastes, la cicatrice est vilaine...

Mothet2 copy ou8acb - Eugenol

Bx1 spw1cx - Eugenol
BX

21/07/2005 à 15h32

Bon c'est pas la peine d'en rajouter...Mea culpa pour la photo.

Je vais tâcher de la reprendre demain.


Dr - Eugenol
JeRis

21/07/2005 à 19h35

ivetol a écrit:
-------------------------------------------------------
> effectivement en augmentant les contrastes, la
> cicatrice est vilaine...


... même le frein médian a été sectionné ... par PhotoShop ;-)



Avatar ow44t3 - Eugenol
Chicot

22/07/2005 à 10h37

c'est à la vertical ou à l'horizontal ? j'vois rien sur la photo d'ivetol... c'est pas encore un canular au moins ??


Bx1 spw1cx - Eugenol
BX

22/07/2005 à 13h45

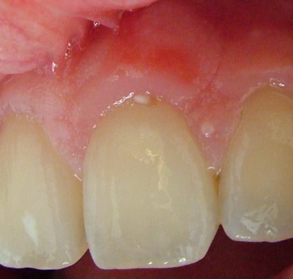
Voilà, je viens de reprendre 2 clichés plus nets.

Merci pour les réponses.

Au collet de 21 ce n'est pas du pus mais un petit morceau de composite flow .( que je me suis empressé d'enlever après la photo).

Mo2 pctaik - Eugenol
Mo3 lcqlii - Eugenol

alhoun

22/07/2005 à 15h52

c'est curieux, ça ressemble à un site greffé par conjonctif enfoui avec deux décharges.


Coeur n9py1g - Eugenol
patvat

22/07/2005 à 15h59

tt de paro anterieur???mais de toute facon ca ne doit pas partir seul