Cookie Consent byPrivacyPolicies.commonique - Eugenol

monique

Icon poker h4nm2d - Eugenol
jeff

21/07/2005 à 20h47

Pourquoi monique ? parce que " joli nom monique, deux qui..." ( coluche )

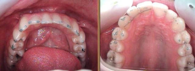
Donc monique a 20 ans; se présente en consult pour des douleurs à la mâchoire, déviation, craquement suite dépose appareil ODF. Puis apparition de migraine ( 1 a 2 fois par mois ) plus des douleurs plus au moins continuelles au niveau des angles goniaques, au niveau temporal.

il y a douleur ++ au PTE ( si 100 % droit, 80 % gauche ), DSD, déviation des milieux, déviation à l'ouverture, ouverture maximal instable, AFMP inégaux avec une fonction gauche, mississipi semble trop petit ? avec un léger chuintement.

Traitement : ( résumé succin des différentes philosophies, si j'ai bien compris )

Jeff2 : urgence , donc, meulage pour équilibrer AFMP + exercice de myotensif

Isaïe : recherche d'une symétrie postural par polissage approprié.

Ben : orthoposturodontie Clausade : recherche d'une position mandibulaire qui améliore la réponse postural, test de cette position par gouttière, reconstruction de l'occlusion par collage d'onlay compo.

Occlusion : PRMI-PO ? (DSD, pourtant mississipi semble trop petit ???) , mais de doute façon, on ne sait pas comment faire, et il ne veux pas nous dire !

Algi, emma : dentososphie : 5 ans d'activateur + plaque à piste si besoin + collage si besoin.

Personnellement, ayant fait Clausade et Asporo ( posturologie ) + dentosophie, je ne sais plus très bien ou je vais !!!


SVP : restons concret ( pour Occlusion : je me rappelle ta réponse sur la transposition d'une sagesse à la place d'une molaire : c'était claire, précis, détaillé ! donc, tu sais faire, quand tu veux ! )

Monique1 nlscqt - Eugenol
Monique2 kxevek - Eugenol
Monique3 drg1hv - Eugenol

Icon poker h4nm2d - Eugenol
jeff

21/07/2005 à 20h48

suite.

Monique déglutition nm02jx - Eugenol
Monique feuille jgois9 - Eugenol
Monique mississipi mk5skh - Eugenol

isaïe

21/07/2005 à 22h20

Que disent les bras de Monique et son état général?

Juste une citation.
"Le bénéfice fonctionnel possible lié aux traitements occlusaux ne peut être identifié que comme un gain secondaire qui ne peut justifier à lui seul des traitements lourds (chirurgicaux, prothétiques), puisque le bénéfice fonctionnel n'est pas certain.
La décision de traitement est donc toujours liée à l'analyse des bénéfices escomptés par rapport aux risques encourus et au coût biologique et financier".
Réalités Cliniques, 2004, vol. 15, n° 2, p. 139.


Cuisinier2 vnbbxx - Eugenol
jeff2

21/07/2005 à 23h45

Doucement il n'y a jamais d'urgence a meuler les afmp
ce qui m'interesse c'est les antecédents ortho.
De quoi on est parti? et a quel age a commencé l'ortho
depuis quand c'est déposé et pourquoi une hemi contention? je doute que ce soit de depart.
A t'elle eu une autre contention nocturne? l'a t'elle portée
Tu parles de douleurs a la machoire: lesquelles?
Déviation? de quoi? ou hypodevellopement latéral osseux?
Elle a sans doute une mastication preferentielle gauche c'est sur, et pourtant je ne reglerais pas les afp tout de suite
je reglerais d'abord par polissage, si il y a une asymetrie des bras, c'est sur! (merci Isaie) pourquoi? pour amnener un confort au patient, car le comfort postural ressenti est interessant dans la dynamique du patient a etre plus responsable de sa santé.
Il cherchera plus facilement les renseignements demandés pour comprendre pour quoi son traitement d'ortho en est là.
car si on est parti d'une saloperis de classeII, je trouve que l'ortho s'en ai bien sorti.
mais si c'est le cas et si cet ortho travaille bien y a des trucs qui clochent dans la contention et c'est sans doute pas la faute de l'ortho. et a toi de comprendre l'état d'esprit de cette patiente.
Joli cas jeff,


Osmi

22/07/2005 à 01h46

La faute à qui, alors?


occlusion

22/07/2005 à 08h09

Osmi : La faute à qui, alors?
>
Réponse connue depuis belle lurette, puisque j’écrivais à de multiples occasions sur ce Forum :
« Quant à l'Enseignement actuel de l'Occlusion, que ce soit pour la Gnathologie, l'Occlusodontologie ou l'Occlusion neuromusculaire, l'I.A.G., American Section, reconnaît, et "presque" à juste titre, que :
"La «Science de l'occlusion» est considérée un des sujets les plus complexes et les plus difficiles en art dentaire. Par conséquent on l'enseigne rarement dans les Ecoles dentaires au degré qu'il devrait être et la plupart des diplômés partent de l'Ecole avec une compréhension très limitée de l'occlusion''.
Source : "About the IAG. What is Gnathology?", §2, © International Academy of Gnathology, American Section
http://www.gnathologyusa.org/cgi-bin/cal.html
et repris sur :
http://users.skynet.be/occlusion/patients/p1_accueil.html


occlusion

22/07/2005 à 08h11

Jeff2 : pourtant mississipi semble trop petit ???
>
- C'est une RMD symptomatique (AJ) = la patiente ne montre que des adaptations neuromusculaires à la DSD + ODF "forcée" contre les contraintes musculaires naturelles et adaptations n°m que l'Occlusodontologiste doit déjouer par son expérience de longue date en compagnonnage.
- Bravo pour ta vidéo, mais… refais-là (désolé !) en plaçant cette fois l’axe d’enregistrement dans le plan d’occlusion pour VOIR l’espace entre les dents lors du test phonétique.
- Constat : « Contention définitive » supérieure / inférieure = je hais = impossibilité de permettre l’hygiène interdentaire = ineptie ODF « moderne » convoitée arbitrairement par la Hautre Autorité de la Santé, Anaes (France) (1) sans accorder la moindre importance (Bravo ! ) à la DSI = récidive assurée dès que l’attelle « tombera », puisque DSD confirmée par palais étroit et haut + empreintes dentaires sur les faces latérales de la langue + etc. !
(1) Critères d'aboutissement du traitement d'orthopédie dento-faciale, décembre 2003
http://www.anaes.fr/ANAES/Gestion_Publications.nsf/AllPubBySpe?OpenView&Start=1&Count=1000&Expand=37#37
[Copier tout le lien dans votre Navigateur préféré]
- Occlusion « volontaire » : ON S’EN FOUT !, puisqu’elle ne se manifeste JAMAIS en « naturel » à cause de la DSD.
- Meulites aiguës et en tous genres des rebouteux : s’abstenir, puisque Espace libre trop grand, comme dans toutes les DSD, et meulite DSD = aggravation iatrogène des symptômes déjà présents !
- Si un PRMI-PO est déjà indiqué à 20 ans (DSD) et juste après un traitement ODF qui « mets en place les dents » dans les trois dimensions, alors c’est un traitement ODF « inachevé » !
Source : A. Jeanmonod A., Occlusodontologie, Applications cliniques, CdP, Paris (France), 1988 : (demander à isaïe la page).
- Il est encore possible de travailler les REIOR et GAL à 20 ans !

CONCLUSION : botte jusqu’à couleur rouge les fesses de l’ODF pour qu’il se tracasse de la troisième dimension de l’espace + Occlusodontie (Occlusodontologie) + retrait programmé de sa contention « à vie » (= obstruction à la prolongation de la phase éruptive) + propose-lui des REIOR & GAL (2) pour traiter la Déglutition Salivaire Dysfonctionnelle (DSD) en contention collée ôtée.
(2) Source : http://users.skynet.be/occlusion/clin_18.html

Bon, sur ce : je pars en rivière taquiner les propriocepteurs desmodontaux des brochets !

Au moins, EUX, ils m’écoutent et sans "broncher" !
:-)


occlusion

22/07/2005 à 08h28

Envoie-moi la dernière séquence « Mississipi + Test 3 F + déglutition salivaire + max. BO/BF + Mississipi + Test 3 F + déglutition salivaire » (= grand max. 30 secondes d’enregistrement de +/- 1 Mo) d’un enregistrement total de 2 - 3 minutes, plus rapproché de la bouche et dont l’axe d’enregistrement + éclairage sont dans le PO : adresse @mail sur mon site.


isaïe

22/07/2005 à 09h23

Des paquets de compo risquent d'amener cette patiente en surocclusion iatrogène, sans compter les effets incontrôlables sur l'occlusion. Un minimum de collaboration avec l'orthodontiste serait dans ce cas déontologiquement et juridiquement indispensable.


Cuisinier2 vnbbxx - Eugenol
jeff2

22/07/2005 à 11h39

Occlusion a écrit:
CONCLUSION : botte jusqu’à couleur rouge les fesses de l’ODF pour qu’il se tracasse de la troisième dimension de l’espace + Occlusodontie (Occlusodontologie) + retrait programmé de sa contention « à vie » (= obstruction à la prolongation de la phase éruptive) + propose-lui des REIOR & GAL (2) pour traiter la Déglutition Salivaire Dysfonctionnelle (DSD) en contention collée ôtée.

Ne tirons pas sur les ortho, ce sont la pluspart du temps des praticiens hypercompetents qui ne font pas moins de 5 année de plus que les notres.
Les orthos ne font que rattaper un desequilibre existant depuis tres jeune.
Je suis d'accord avec occlusion quand il dit qu'avant de commencer un traitement d'ortho, les patients devraient voir leur praticien pour verifier l'occlusion
La DSD est certaiment présente mais il n'y pas eu d'extraction et je trouve le volume pas si mal que ca.
C'est pour ca qu'il faut discuter avec l'orthodontiste de ce cas;
pas chacun dans son coin
les orthos commencent a comprendre le pourquoi des recidives quand ils s'interessent a l'occlusion, et quand ils sont vigilants sur les DSD en cours de traitement
je crois que le rêve de n'importe quel ortho c'est de ne pas avoir de recidive et si possible pas de contenation definitive, mais la plupart du temps si on sait analyser un bilan d'orthodontie, on comprend qu'il y a souvent des compromis, car on demande a l'orthodontiste de rattraper:
une mauvaise morphogenese (Deshayes)
une respiration buccale avec obstruction des voies aeriennes sup( pas d'allaitement)
une mastication molle avec un systeme masticatoire qui n'a pas rempli son office dans la croissance osseuse
c'est vraiment une équipe qui doit se mettre en place avec beaucoup de vigileance des deux ou trois ans chez l'enfant et qui DOIVENT COMMUNIQUER!
je pense au dentiste, qui doit connaitre l'ortho et l'occluso
a l'occluso qui doit maitriser la morphogenese
à l'ostéo qui doit arreter de taper sur les orthos et qui doit comprendre l'occlusion avant d'imaginer faire bouger les dents.

Quant a taquiner l'exos luciux, j'espére que tu fais avec du 30/100

On arrivera doucement a faire moins de compromis


occlusion

22/07/2005 à 12h35

isaïe > Des paquets de compo risquent d'amener cette patiente en surocclusion iatrogène, sans compter les effets incontrôlables sur l'occlusion.
>
ô Brasophile obsédé et redoutable : qui te parle d'une « surocclusion iatrogène », alors que l’Espace libre trop grand d’une DSD est ici parfaitement dysfonctionnel ? Keske tu vas encore nous meuler "sélectivement" ici ? Tu sais que, parfois, tes salades pseudo confites m'énervent très franchement ? :-)

Laisse le fluide occlusal compétent couler tranquillement sur les propriocepteurs desmodontaux de mes brochets virevoltant dans une eau simple, douce, claire et limpide à la recherche du seul repos musculaire physiologique de 59,5 secondes par minute pour déglutir une demi tonne de salive par an.


occlusion

22/07/2005 à 13h39

Hum, hum : sauf erreur, je parle de contributions réciproques ortho-occluso et de rien d'autre.

> je crois que le rêve de n'importe quel ortho c'est de ne pas avoir de récidive et si possible pas de contention définitive
>
- Cela n'est pas en contradiction avec l'usage des REIOR & GAL pour prolonger la phase éruptive des dents et enfin traiter la déglutition infantile [1999, (c) C.P.D. sprl].
- DUREE contention = proportionnelle à la GRAVITE de la DSI-DSA-DSD.
- Si ta contention "définitive" = contention "à vie" = à mettre ILLICO au classement vertical, et autant pour les Parodontologistes, que pour les Occlusodontistes.
- Elle a 20 ans et toutes ses dents : il faut pas « rêver » (sic), mais bien "intercepter" la malocclusion constatée aujourd'hui par un futur traitement combiné ODF + REIOR-GAL = obligation professionnelle en regard des (dernières) données acquises par la science (« DDAS »).
- Bon courage pour « parlementer » avec l’ODF et surtout, à l’encontre de ses « Tables trigonométriques d’ODF ».
- A défaut, je serai obligé de lui placer un Plan de Morsure Rétro-Incisif - Prothèse Occlusale, puis 14 éléments supérieurs quand cette "petite" de 20 ans aura mal partout et dans toutes ses relations sociales vers l’âge civil de 30-40 ans et à cause d’une traitement ODF aujourd’hui « inachevé », où la Déglutition Salivaire Infantile n’aura pas été traitée « odontologiquement » = Dimension Verticale d'Occlusion fonctionnelle et Espace libre physiologiqueS dans une Relation MyoDéterminée Asymptomatique - puisque actuellement en Relation MyoDéterminée Symptomatique selon ton diagnostic basé sur des signes dits "objectifs" -.


occlusion

22/07/2005 à 13h44

> à l'ostéo (...) qui doit comprendre l'occlusion
>
Les Ostéopathes et les Logopèdes / Orthophonistes comprennent très bien le langage de l'Occlusodontologie. Bizarre, non ?


Ylfwcw979cz1jnx9gfqeaxndiuzk - Eugenol
Algi

22/07/2005 à 14h00

1/ jolie synthése jeff...
2/ assez d'accord avec jeff2: d'abord les bras pour rééquilibrer par polissage (et pas meulages!) et ensuite voir...
3/ patiente qui présente un tableau algique assez interressant et qui me ferait hesiter quand au port du SB "de suite" (cas similaires où SB aggrave les douleurs musculaires et articulaires dans un premier temps).

Pistes seraient sans doute interessantes pour carrer le maxillaire et relever la DVO et donc donner de la place à la langue même si l'encombrement des pistes peut être un frein...

Reste à voir la faisabilité (dur dur à porter à 22 ans mais si douleurs s'ameliorent elle sera peut être tentée de poursuivre) pi surtout si pistes ou même SB faudra enlever la contention... à voir avec l'ortho si il la suit encore.

Des cales collées ou seulement clippées, réglées en lateralité avec AFMP plus corrects seraient peut être plus faciles à porter d'autant que vu le recouvrement incisif on pourrait avoir calage molaires/cales et calage anterieur/dents naturelles

Quid de son vécu émotionnel: patiente cool ou stressée? les marques de dents sur la langue me font penser à un serrement (et celà serait corroboré par les migraines et les algies musculaires)et il serait sans doute souhaitable de creuser de ce coté là aussi....


Icon poker h4nm2d - Eugenol
jeff

26/07/2005 à 23h37

Parti en vacances, la monique !

je doit lui envoyer plan de ttt et devis pour la rentré, donc, pas possible d'avoir d'autre élément clinique pour l'instant.

A noter un parcours déjà bien rempli puisque avant de venir me voir, il y avait eu podologue qui avait mis des semelles, puis un médecin qui avait dit que c'était la hanche, puis un posturo qui à trouvé l'entrée occlusale + pb oculaire, puis orthoptiste qui a trouvé que l'oculaire était secondaire à l'occlusal !

je pense faire équilibration, puis reprise de ttt odf façon dentosophie. ( je fait aussi du multibagues, mais je ne vois pas comment traiter cela en MB ! )


occlusion

26/07/2005 à 23h59

jeff écrivait le le 21 juillet 2005 à 18h47 : "il y a douleur ++ au PTE ( si 100 % droit, 80 % gauche ), DSD"
>
ô Gnathologiste de l'occlusion "volontaire", systématique et consciente : que veux-tu « équilibrer sélectivement » sur une béance naturelle continuelle, alimentée en permanence par des propulsions mandibulaires (PTE sensibles) et les 1500 - 2000 étalements quotidiens de la langue entre les dents antagonistes, supérieures et inférieures ?

Chercherais-tu l'augmentation iatrogène expérimentale de cette béance ?

Comble au plus vite cet Espace libre dysfonctionnel de REIOR et de GAL ! :-)


American citizen

01/06/2006 à 06h53

chacun va de sa petite histoire lié à son parcours initiatique en occluso....avec toutes ses petites abréviations plus ou moins scientifiques, ses istoires de brochets....


Cuisinier2 vnbbxx - Eugenol
jeff2

01/06/2006 à 10h59

Tiens , y a la Monique aui est rentrée de vacances avec un ricain
Qu'est ce qu'elle devient la Monique, Jeff?


Ylfwcw979cz1jnx9gfqeaxndiuzk - Eugenol
Algi

02/06/2006 à 11h14

on lui posera la question ce soir?


Amibien

02/06/2006 à 14h35

Algi Ecrivait:
-------------------------------------------------------
> on lui posera la question ce soir?


c'est bien celle qu'on tenait pendant que deux autres la ...