Cookie Consent byPrivacyPolicies.comQue faire? - Eugenol

Que faire?

AMG

02/08/2005 à 23h24

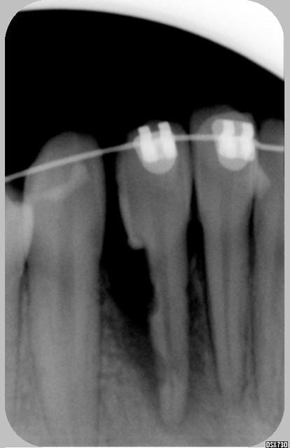
Une jeune patiente(12 ans à l'époque) qui est venue consulter en 06/2003 pour absence de 32 après avulsion spontanée de 72.
J'ai prescris une pano, et au vu de celle ci, la 32 étant enclavée, je l'ai orientée vers un ODF, qui l'a adréssée à un stomato pour dégager la dent.
L'ODF m'adresse la patiente en juin 05 pour que je reconstitue la 32 qui vient d'être repositionnée sur l'arcade.La dent est sensible au toucher avec la sonde,je fais une radio et voilà.
Pour moi la 32 est perdue,et je crains pour la 31....
L'Odf pense que le dent peut"tenir" encore longtemps et qu'elle a été endommagée par le stomato lors du dégagement... et que ce n'est pas la traction .
Qu'en pensez vous et que faire ?


AMG

02/08/2005 à 23h30

je n'arrive pas à joindre la radio


Squash u44zd8 - Eugenol
steph

02/08/2005 à 23h54

Ton fichier joint ne doit pas dépasser 200kO et il doit être en JPEG pour que tu l'envoies.


Squash u44zd8 - Eugenol
steph

02/08/2005 à 23h59

Bon, je suis nul (voir post dans à propos d'eugenol) mais tu ouvres ton fichier puis tu fais "enregistrer sous".
Une fois la localisation du fichier vérifiée tu sélectionnes jpg dans "type de fichier" et c'est tout.
Tu peux maintenant envoyer tout ce qur tu veux.


Audi tt 2007 jzsdts - Eugenol
sbire

03/08/2005 à 00h12

steph apprend vite...


Squash u44zd8 - Eugenol
steph

03/08/2005 à 23h42

J'ai eu de bons profs....mais apparemment je ne suis pas doué pour donné des conseils, on n'a toujours pas les radios d'AMG.


AMG

04/08/2005 à 01h07

re essai


AMG

04/08/2005 à 01h13

re essai
j'ai reussi à sotier le clicher maintenant qu'en pensez vous

  yqcrht - Eugenol

Blue eye thumb medium dx1i0w - Eugenol
bill

04/08/2005 à 02h38

AMG a écrit:

> L'Odf pense que le dent peut"tenir" encore
> longtemps et qu'elle a été endommagée par le
> stomato lors du dégagement... et que ce n'est pas
> la traction .
> Qu'en pensez vous



Que l'odf est d'un naturel optimiste pour le moins. Remarque, c'est lui qui va débaguer...




et que faire ?

Déjà préparer psychologiquement le patient et ses parents... Ta radio est un peu sombre, peut-être la résorption est moindre qu'il n'y parait mais bon...
Tu as testé la vitalité, surtout de la 41 qui est peut-être conservable?
En tout cas bon courage, ce sont des cas bien délicats et pas que techniquement.



catrose

04/08/2005 à 10h35



reconstituer la 32? c'est-a dire?
32 perdue
Il faut maintenant se concentrer sur une bonne contention fixe(genre"splint")33-43 avec une 32 en pontique pour l'esthetique et maintien d'espace et esperer :que la 31 tiendra le coup,que l'os ne se resorbera pas plus
un suivi serre pour l'hygiene


a 18 ans,chirurgie implantaire,comblement osseux,
etc


Audi tt 2007 jzsdts - Eugenol
sbire

04/08/2005 à 10h47

d'accord avec ça!


1 p3qrc4 - Eugenol
Bjc.

04/08/2005 à 12h18

Bonjour,

C'est un cas piége.

L'ODF. pense que la dent peut tenir, mais à quel prix?

Seul un dentascan aurait pu dire si la lésion préexistait.

Une pulpectomie necéssaire à la prolongation de cette dent en bouche, t'impliquerait dans l'inéluctable évolution défavorable de cette dent.
C'est ce qu'on apelle le partage des responsabilitées.

De toute manière cette dent est vouée à la fracture. J'ai eu un cas semblable, je vais le rechercher.

Plus on cherchera à la conserver pour reculer le moment ou on devra informer le patient, plus la perte osseuse sera importante et consernera les dents adjacentes. Donc en croyant gagner du temps, on risque de perdre trois dents.

Il est grand temps, à mon avis, de faire l'extraction, avec un comblement osseux, et de mettre une dent artificielle sur l'arc orthodontique, et apres une bonne cicatrisation , un bridge provisoire collé, en attendant ses 18 ans.

Quand je disais que c'est un cas piège, je pensais aussi au patient qui est à mon avis le plus piegé.

@+












Squash u44zd8 - Eugenol
steph

04/08/2005 à 22h21

Bridge collé sur incisives inf......je suis sceptique.
A moins de préparer 2 dents de chaque côté de 32 pour contrer les forces de cisaillement à la mastication, autant faire une attelle collée avec la 32 coupée et intégrée à cette contention, je suis d'accord avec catrose ; moins mutilant, plus esthétique, plus facile à réaliser.


1 p3qrc4 - Eugenol
Bjc.

05/08/2005 à 01h25

Par bridge provisoire, j'entendais atelle collée avec bande resine. On est d'accord.

@+


limlim

08/08/2005 à 10h42

le mieux, c 'est d 'extraire la 32 et de fermer l'espace residuel avec le MB.


catrose

08/08/2005 à 11h58

c'est le mieux si les donnees ceph restent correctes et les rapports incisives sup et inf respectes


AMG

09/08/2005 à 00h29

le mieux, c 'est d 'extraire la 32 et de fermer l'espace residuel avec le MB
Question c'est quoi le MB?
J'ai déjà demandé à ODF si après extraction de 32 on pouvait envisager de refermer l'espace, il parait que c'est impossible....
Je vais réinsister à son retour de vacances.
Tout ce que veut la patiente c'est avoir le plus petit espace possible tant pis si ce n'est pas de ODF pur.


catrose

09/08/2005 à 00h45

MB= multibague
L'orthodontiste a du deja envisager cette solution(la plus simple)et l'ecarter pour de bonnes raisons :espace trop grand,ou resultat ni esthetique ni fonctionnel,ou perte osseuse trop importante(pas assez d'os de soutien) ...

Essaie de convaincre ta patiente de regler completement le probleme :un espace meme minime,on ne voit que ca


1 p3qrc4 - Eugenol
Bjc.

09/08/2005 à 14h40

Il faudrait revenir à la situation orécedente.


1 p3qrc4 - Eugenol
Bjc.

09/08/2005 à 15h19

Si dans la situation précedente, il n'y avait qu'un petit diasteme (taille de la dent de lait), on a augmenté la distance inter-canine.
As tu les Rx. de départ?

On aura aucun mal a revenir à la distance inter-canine de départ, apres extraction.

C'est un compromis, certes, mais fonction du travail de remodelage que l'Ortho a réalisé en haut. Je comprends que celà ne l'enchante pas.

@+


1 p3qrc4 - Eugenol
Bjc.

11/08/2005 à 15h15

Bonjour AMG,

Je voulais t'envoyer une image de carie sous gengivale sur une incisive Inf., mais je n'arrive pas à la copier à partir de Trophy, et à la mettre sur le bureau ou dans un dossier.

Au secours!
Je ne suis pas tellement meilleur que toi avec ces foutus machines.
Si j'avais les moyens, je leur donnerais des coups d'agraffeuse.

@+


ZORBECA

11/08/2005 à 15h26

Bjc. a écrit:
-------------------------------------------------------
>
>

>
> Au secours!
> Je ne suis pas tellement meilleur que toi avec ces
> foutus machines.
>
> @+


Comme c'est dur de vouloir rester jeune.

Courage.


Avatar transparent iqadnc - Eugenol
adhoc

11/08/2005 à 15h32

Vous avez le lien
http://www.eugenol.com/eugenol/read.php?1,80264,page=1
qui vous explique comment prendre n'importe quelle image issue de n'importe quelle application dans une fenetre.
Ceci en utilisant lma magique touche IMPRECRAN en haut a droite du clavier.


1 p3qrc4 - Eugenol
Bjc.

11/08/2005 à 16h02

Bonjour,

Merci à vous deux.
AMG, tu auras la Rx.

@+




AMG

11/08/2005 à 23h31

merci, je n'ai pas la pano de départ c'est l'ortho qui l'a, Je n'arrive pas à scanner mes pano dans Julie plus exactelent j'ai essayé une fois et pas recommencé comme quoi ça peut servir!.


12