Cookie Consent byPrivacyPolicies.comVOTRE AVIS??? - Eugenol

VOTRE AVIS???

Utilisateur anonyme

13/08/2005 à 19h59

Un gamin de 13 ans.
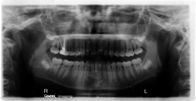
Aucun signe clinique, la pano montre une volumineuse lésion au niveau 43.42.
Les dents sont viavantes.
Je l'ai adressé chez le stomato qui préfère ne rien faire.
Curieux non????

A votre avis?
Merci

L1 nqke5f - Eugenol

Squash u44zd8 - Eugenol
steph

13/08/2005 à 20h18

Je crois qu'il a raison, ce kyste évolue par lui-même (sans lien avec les dents) à tel point que l'axe des racines a changé.
Il porte un nom spécifique dont je ne me souviens plus mais il faut surveiller.
Je vais rechercher dans mes cours, si je les retrouve.


ZORBECA

13/08/2005 à 20h22

FRED a écrit:
-------------------------------------------------------

> Je l'ai adressé chez le stomato qui préfère ne
> rien faire.
>

Le stomato t'a donné une explication?

Amitiés


Marque a3 orange fyvhyq - Eugenol
Marc Apap

13/08/2005 à 21h38

Kyste dentigère ?
Tape ces mots dans Google, tu auras quelques réponses.


Utilisateur anonyme

13/08/2005 à 23h19

Oui des explications vaseuses !!


un passant

14/08/2005 à 04h41

Et bein il vole haut le niveau en france mdr


Coeur n9py1g - Eugenol
patvat

14/08/2005 à 11h13

recherchez sur kartoo.com


Squash u44zd8 - Eugenol
steph

14/08/2005 à 14h29

Oui c'est cela, kyste dentigère.
Pas plus rapide que google.


annrom

14/08/2005 à 20h45

il s'agit d'un kyste dentifère, souvent présent autour d'une dent incluse..moi je cureterais avant qu'il ne grossisse! mais? je ne suis que "chirdent"


chiru bucc

14/08/2005 à 21h04

tous les kystes ou tumeurs benignes des maxillaires d'origine dentaire ou non dentaire sont de traitement chirurgical quelle que soit la forme histologique
donc si j'etais toi je changerais vite fait de correspondant
pour que mon patitnt puisse beneficier d'un traitement adequat il n'y en a qu'un c'est l'exerese.


Utilisateur anonyme

14/08/2005 à 21h29

Je suis assez d'accord

Merci


Amibien

14/08/2005 à 21h30

surtout que les corticales sont déjà bien touchées ou risquent de l'être... qu'est-ce que ça donne à la palpation ?


Canin

15/08/2005 à 14h27

La lésion doit probablement correspondrre à un kératokyste.

La traietement est chirurgical mais il faut savoir qu'il y a un taux de récidive important.

Demande un autre avis, sinon adresse le patient à la fac dentaire la plus proche si tu n'as pas d'autre correspondant.

Bon courage.


ZORBECA

15/08/2005 à 14h30

chiru bucc a écrit:
-------------------------------------------------------
> donc si j'etais toi je changerais vite fait de
> correspondant
>

Mettez vous à la place des parents, le gosse a 13 ans, le premier correspondant dit qu'il ne faut rien faire, le second qu'il faut intervenir.

Que choisir? Voir un 3 ème?



3f3boxni50k58rq7e9ce9ddqrxgk - Eugenol
dentiste57

15/08/2005 à 15h17

FRED a écrit:
-------------------------------------------------------
> Un gamin de 13 ans.
> Aucun signe clinique, la pano montre une
> volumineuse lésion au niveau 43.42.
> Les dents sont viavantes.
> Je l'ai adressé chez le stomato qui préfère ne
> rien faire.
> Curieux non????
>
> A votre avis?
> Merci


renseignements suplémentaires:

-1 changement de teinte (o-n)
2- modification du volume de la table externe et interne
3 visible à la palpation?
4 raison de la consultation
5 douleurs
6 rotation de la canine réellement liée à cela ou simple pb d'occlusion et manque de place?
7 une retro please



3f3boxni50k58rq7e9ce9ddqrxgk - Eugenol
dentiste57

15/08/2005 à 15h27

chiru bucc a écrit:
-------------------------------------------------------
> tous les kystes ou tumeurs benignes des
> maxillaires d'origine dentaire ou non dentaire
> sont de traitement chirurgical quelle que soit la
> forme histologique
>

Et tu la sort d'où cette IMMENSE connerie?

Petit rappel cher inconnu, dans le cas d'une lacune essentiel comme cela pourrait bien être le cas, la lésion disparaît d'elle même vers les trente ans (son origine histologique est mal connue).
On les retrouve principalement et presque exclusivement au niveau de la symphyse mandibulaire.
Toutefois, si une intervention chirurgicale est envisagée, lors de l'intervention on trouve une sorte de poche vide dénuée de tissus épithéliaux.
Le simple remplissage de la cavité par le sang suffit à faire disparaître la lésion après quelques semaines.

Je dois en avoir quelques opt du même style.
le temps de chercher


Utilisateur anonyme

15/08/2005 à 17h47

Comme dit avant, il n'y a aucun signe clinique la découverte s'est faite juste à la pano par hasard
Il me semble logique de dire que pour savoir ce que c'est il faut y aller voir non?
Sinon comment peut on poser un diagnostic?

Comme dit Zorbeca, je suis assez gêné vis à vis des parents!!


chir bucc

15/08/2005 à 21h02

dentiste57

tu devrais arreter toi meme de dire des conneries!!!!!!

d'aborb l'appartenance d'une lacune essentielle a la classifications des kystes et tumeurs benignes des maxillaires est discutee
et puis ensuite il va falloir que tu me dises comment tu peux etre sur qu'il s'agit d'une lacune essentielle a partir d'un cliché radiographique....
et enfin il faut aussi que tu me dises comment tu comptes remplir la cavité de sang ( au cas ou ce serait une lacune essentielle ce qui n'es bien enttendu pas exclu)sans effectuer un geste chirurgical....


3f3boxni50k58rq7e9ce9ddqrxgk - Eugenol
dentiste57

15/08/2005 à 22h47

chir bucc enregistre toi d'abord , le bleu est plus convivial que le noir (c'est pour cela que je suis si véhément).

Effectivement la lacune essentielle n'est pas une tumeur bénigne d'abord parce qu'elle est vide et non épithélialisée et ensuite parce qu'elle ne résulte pas d'une reproduction cellulaire, enfin elle ne progresse pas en volume mais au contraire elle disparaît avec l'age.

j'en ai déjà opéré trois. Quand on en voit une il te suffit de "gratter" les parois avec un instrument pour que la cavité se remplisse de sang.
sur ce genre de cas il n'y a pas de suites, seulement des interrogations pour le praticien sur l'origine de ces pseudo kystes.

je vais cherché dans mes dossiers, j'ai de très beaux kystes complètements résorbés après traitements canalaires.


Utilisateur anonyme

16/08/2005 à 14h29

Bon les gars merci de vos réponses, mais ne vous bouffez pas le nez pour ça!!
Ma question est simplement de savoir s'il vous paraît logique d'établir un diagnostic sans intervenir.
Apparemment non.
Merci de vos réponses.


djinn

17/08/2005 à 12h48

J'ai deja vu plusieurs cas ou l'on n'a pas agit,et on m'a dit que ca n'etait pas utile. Il n'y aucun tissus lorsque tu opere ainsi que l'on dit les autres...et ca ne se reforme pas pour autant apres. Cependant, je suis intrigué par le fait que dent 57 arrive a avoir un resultat post op. Vivement les photos..


kabuto

06/10/2005 à 03h18

Il me semble que c'est un kyste solitaire ( peut-être un synonyme du kyste dentigère, mais je sais plus trop!!)
J'ai déjà assité à une intervention de ce type: le sto a juste réalisé une trépanation de la lésion qui était pleine de rien!!: les apex des dents ( vivantes) étaient dans le vide!!


Squash u44zd8 - Eugenol
steph

08/10/2005 à 01h32

Très bien mais quel intérêt?


kabuto

10/10/2005 à 14h10

????
Le contact avec l'air du bloc peut-être???
Il voulait s'assurer de visu que ce n'était pas autre chose surement!


Avatar ow44t3 - Eugenol
Chicot

10/10/2005 à 15h28

J'ai un truc similaire, le Scan en cours et le courrier à un ORL-chir entre les mains du patient

les clichés sont sur

http://www.eugenol.com/eugenol/read.php?2,91614


12