Cookie Consent byPrivacyPolicies.comtruc bizarre, je sèche un peu (cf les photos) - Eugenol

truc bizarre, je sèche un peu (cf les photos)

Loic

30/08/2005 à 14h57

Salut a tous et bonne rentrée.

On vient de m'adresser un patient pour un problème de bruxisme, je posterai des photo asap mais j'avais oublié de remettre la carte ds l'appareil (sic).
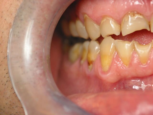
Bref le patient présente une abrasion de 12 11 21 très importante avec perte de substance en hauteur et en épaisseur. Même constat sur les antagonistes 42 41 31. La face vestibulaire est usée aussi. Je note des plages de résorptions sur les dents inférieures (faces vestibulaires essentiellement)et a droite essentiellement.
L'examen de l'enveloppe fonctionnelle n'a pas mis en évidence un quelconque problème de bruxisme. Le patient est ds l'imposibilité de se toucher les dents antérieures notamment.
Les dents sont légèrement colorées façon tétracyclines.
J'ai interrogé le patient sur ses habitudes professionnelles, mimiques, hobbies, etc... RAS
J'ai demandé si il était sujet à des reflux gastro-intestinaux : réponse positive mais apparemment c'est peu important et de temps et temps il avale un comprimé pour le traiter.

Je pense donc à un problème d'acidité mais la ou je sèche c'est que les résorptions sont presaues toutes à droite, la 21 11 12 sont pratiquement détruites à 70% et la 22 est intacte, idem 32.
L'acidité ne choisi pas ses cibles de façon aussi localisée. Si c'est d'origine gastrique, pourquoi toutes les dents ne sont pas touchées sachant que le patient ne dort pas d'un coté en particulier. Pourrait il s'agir d'un problème de glande salivaire auquel cas, je ne sais trop quelle attitude adopter a part un test de salive et un examen chez un spécialiste.
Avez vous eu de tels cas? quel est votre avis ?
HELP :)


Merci d'avance


Loic


Audi tt 2007 jzsdts - Eugenol
sbire

30/08/2005 à 15h01

Il fume pas la pipe ton patient?


Image19 iebot6 - Eugenol
athos

30/08/2005 à 15h04

fumeur de pipe?


Image19 iebot6 - Eugenol
athos

30/08/2005 à 15h04

pfff....Sbire!!!!!!!!!!!!


Avatar ow44t3 - Eugenol
Chicot

30/08/2005 à 15h28

avé les fotos ça sera mieux....


Loic

30/08/2005 à 18h15

non pas d'habitude de ce genre ni instrument de musique etc.. j'ai deja demandé

Ps : je vois que notre mousqutaire preferé n en rate toujours pas une....


Image19 iebot6 - Eugenol
athos

30/08/2005 à 18h25

c'est qu'il est rapide Sbire!

quel metier fait il ? pourquoi penser a un reflux acide si l'usure est si localisée?


Loic

30/08/2005 à 20h46

j'ai pensé à tout ce qui pouvait entrainer une acidité buccale et le reflux en fait partie... Métier : banque. (on est a luxembourg mon bon môssieur) ;)


Blue eye thumb medium dx1i0w - Eugenol
bill

30/08/2005 à 21h27

Demande lui dans quelle position il dort.
Vu il y a qq temps un patient avec une centrale sup très abrasée, aucun contact dans les mouvements fonctionnels et j'avais lu ici qq part (peut-être en occluso ? si , si, j'y vais parfois ;-) )que pendant le sommeil des mouvements assez bizarres pouvaient être réalisés et bingo, il dormait la tête à moitié sur un oreiller très dur, à plat ventre, et la mandibule "tombait" dans un trajet assez bizarre avec frottement important sur une incisive inf.
Pose la question en occluso, tu auras peut-être des réponses plus "scientifiques"... ;-)


Logo vuaztn - Eugenol
mac

30/08/2005 à 21h28

bill Ecrivait:
-------------------------------------------------------

> Pose la question en occluso, tu auras peut-être
> des réponses plus "scientifiques"... ;-)


Tu veux l'envoyer au casse-pipe;)


Blue eye thumb medium dx1i0w - Eugenol
bill

30/08/2005 à 21h31

mac Ecrivait:
-------------------------------------------------------
>
>
> Tu veux l'envoyer au casse-pipe;)



Non, j'ai bon fond, c'est juste pour qu'il apprécie mieux ma réponse brève et en langage courant. ;-)



Loic

30/08/2005 à 21h39

j'irai pas en occulto, je suis sur que c pas ca. Bien que je ne sois pas un dieu (j ai qd meme un CES)ca expliquerait pas l'abrasion des faces vestibulaires des molaires inferieures. De plus j'ai essayé de forcer sa mandibule et ses molaires empechent tout contact en anterieur. Personne a des cas d usure par acidité salivaire que je puisse voir si c comparable? Ce qui m intrigue c le coté unilatéral de la chose. Je mets les photos des que je peux.


Image19 iebot6 - Eugenol
athos

30/08/2005 à 21h45

dis donc!t'avais pas parlé des molaires abrasées au début!!!


Blue eye thumb medium dx1i0w - Eugenol
bill

30/08/2005 à 21h48

Loic Ecrivait:
-------------------------------------------------------
> j'irai pas en occulto



Tu ne sais pas ce que tu perds... ;-)



>ca expliquerait pas l'abrasion des faces
> vestibulaires des molaires inferieures.


ah oui, là , évidement ça change tout.

Je mets les photos
> des que je peux.


C'est plus sûr.



Blue eye thumb medium dx1i0w - Eugenol
bill

30/08/2005 à 21h49

Merci athos.
Un qui suit au moins!


Loic

31/08/2005 à 00h34

bah dents inferieures a droite ! les molaires et prémolaires quoi ;) ca me paraissait clair a moi (quand j avais le cas sous les yeux !!!)
bon ok désolé : oui les molaires et prémolaires inf droite sont usées en vestibulaire et pas en occlusal du tout.

:p


Loic

06/09/2005 à 01h35

voici les photos


Audi tt 2007 jzsdts - Eugenol
sbire

06/09/2005 à 01h40

ben non, voici pas les photos....

DC, un encadrement du cas stp?


Loic

06/09/2005 à 01h52

si si :) mais nouvelle formule eugenole et je devais m y faire

Face2 nbzo55 - Eugenol
Face adk7td - Eugenol
Miam hkdcnx - Eugenol
Bas a droite sdqtpq - Eugenol

Loic

06/09/2005 à 01h57

et voila; je precise que le type ne peut en aucun cas mettre en contact ses incisives ni en protrusion ni en lateralite car ses molaires font obstruction.
Les resorptions n apparaissent qu en bas a droite.
Merci pour votre aide

Loic


Avatar ow44t3 - Eugenol
Chicot

06/09/2005 à 02h22

trop bizarre, je séche


Avatar transparent iqadnc - Eugenol
adhoc

06/09/2005 à 02h47

Bill, on observe chez ton patient une latéro deviation mandibulaire avec protection canine inversée.
Il serait intéressant de couler les modéles en platre , de rétablir en cire les volumes dentaires normaux par adjonction et de voir si en position de recentrage tu peux recréer ces facettes d'usure.
Ce qui a du se passer: bruxisme , ca c'est sur. Perte de coefficients occlusaux, latéro déviation de convenance pour en recréer.
L'ideal serait de l'orthodontie fonctionnelle avec levée transitoire de la dimension verticale pour effectuer un centrage des "boites a dents".
Peut etre envisager la chirurgie si echec ou facteur temps.
Ceci avant d'envisager gouttiere de protection nocturne et les travaux composites/couronnes.


Grueavatar nptrc9 - Eugenol
Le Choixpeau magique

06/09/2005 à 11h17

L'usure en cuvette avec préservation de l'émail aurait plutôt tendance à faire soupcçonner une érosion (==chimique).
Ce qui est vraiment étrange c'est que ce ne soit que d'un seul côté. Est-ce qu'on ne pourrait pas penser à quelquechose qui se passe la nuit quand il dort sur le côté ?

Tiens en écrivant ce post, une idée m'est venue, en cherchant un peu dans le réalité clinique de décembre 2001, page 391, photo 4, tu as une lésion exactement identique à celle qu'on peut deviner sur ta 35. La légende est la suivante:
"Patient d'une cinquantainre d'années affecté de reflux gastro-oesophagien depuis plus de quinze ans. Lesions en cuvette effaçant le bombé sur 23 et 24 typiques d'une action érosive (acide) qui a aminci l'émail sur toutes les dents.
L'usure abrasive par le brossage explique la perte de substance focalisée et surtout asymétrique sur l'arcade (13 est indemne). La persistance sur 23 d'une bande d'émail cervical signe l'initiation érosive de la lésion"

BINGO !!!


Avatar transparent iqadnc - Eugenol
adhoc

06/09/2005 à 11h44

Peut etre est il sage, en effet de considérer différemment au niveau etiopathogénique les lésions cervicales d'un coté peut etre en effet d'origine chimique et la "taille" occlusale de 12 11 41 42 peut etre relevant d'un bruxisme avec modification progressive de l'occlusion.


Grueavatar nptrc9 - Eugenol
Le Choixpeau magique

06/09/2005 à 11h52

Si c'était un bruxisme, tu aurais une usure "géométrique", non ? Pas des formes arrondies.
On le voit très bien sur la photo 2, on a préservation de l'émail et lésions en cuvette, c'est typique de l'érosion.