Cookie Consent byPrivacyPolicies.comméfiez vous - Eugenol

méfiez vous

alhoun

02/09/2005 à 21h40

des fils résorbables.
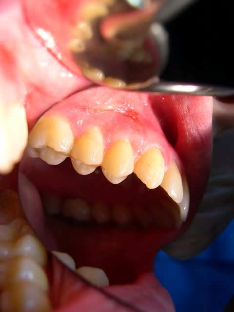
voilà un cas clinique où j'ai dû enlever un fil résorbable resté en place 2 mois, avec une jolie inflammation.
c'est ma faute, j'l'avions point vu.

Initial qoccpw - Eugenol
Site j 0 t4ls8y - Eugenol
Prélèvement ucjdr8 - Eugenol
1 semaine ovm02c - Eugenol

alhoun

02/09/2005 à 21h42

et la suite.

3 semaines ihkwby - Eugenol
Enfoui 004 az27sy - Eugenol

Avatar transparent iqadnc - Eugenol
adhoc

02/09/2005 à 21h56

Alhoun, pour moi le béotien qui ne sait qu'utiliser le fil de soie pour la petite chir, pourquoi le choix de fil resorbable pour les machins paro- implanto?


alhoun

02/09/2005 à 23h20

non, y a pas d'implanto, là.
je voulais bien fixer mon greffon sur le plan profond, c'est tout. mais ça n'apporte pas grand chose.


Avatar transparent iqadnc - Eugenol
adhoc

03/09/2005 à 00h00

Excuse moi, mon ami, je suis un peu largué; as tu peur d'un rejet de ce greffon si l'infection est difficile a combattre?
J'espere que tu ne mets pas un cas piege ou les newbies peuveny plonger directos.
Tant pis, meme si je ne pratique pas, ca m'intéresse.
Je présumme qu'au départ de la mise en place d'un greffon pour rendre la zone apte a recevoir un implant, il ya peut etre parfois une phase d'asphyxie (parfois) avant la revascularisation de l'interface site receveur /greffon?
J'arrive a ma conclusion; peut etre le fil n'est pas responsable directement mais a été un cofacteur défavorable.
Tout ca, c'est intuitif, dis nous ce que tu en penses.


Squash u44zd8 - Eugenol
steph

03/09/2005 à 00h05

J'aime bien tes sutures, elles m'ont l'air bien étanches.
Et quel sens artistique, le blanc se détache vraiment bien sur le rouge sang.


bloumbloum

03/09/2005 à 01h29

Tu veux dire que le fil resorbable il est pas resorbable?


Avatar transparent iqadnc - Eugenol
adhoc

03/09/2005 à 11h55

Nous vivons une époque formidable!


alhoun

03/09/2005 à 12h42

bloumbloum Ecrivait:
-------------------------------------------------------
> Tu veux dire que le fil resorbable il est pas
> resorbable?


eh oui, je l'ai enlevé hier. on voit le saignement sur la dernière photo. il a fallu le chercher, mais il est sorti intact!


Coeur n9py1g - Eugenol
patvat

03/09/2005 à 12h53

j aime bien les fils goretex non res


alhoun

03/09/2005 à 15h19

tu as raison, je n'ai pas trouvé mieux.


Image19 iebot6 - Eugenol
athos

03/09/2005 à 16h55

cherche dans tes greffons!


alhoun

03/09/2005 à 22h38

athos, t'es un voyou.


Image19 iebot6 - Eugenol
athos

03/09/2005 à 23h11

je m'suis permis ça parceque je sais bien que ton talent peut amortir la blague...