Cookie Consent byPrivacyPolicies.combon usage de l'OTP et abus de cotation - Eugenol

bon usage de l'OTP et abus de cotation

rofechin

12/09/2005 à 23h56

Je viens de m'équiper de la pano trophypan et je voudrais savoir dans quelle mesure on peut facturer z21.
Personellement je le fais trés souvent(je ne detaillerais ni le confort ni l'interet de la pano pour débuter le plan de traitement)mais je n'ose pas le côter systematiquement.
Qu'avons nous le droit de faire par rapport au z21??
Amelie (ou un autre confrère) pourrais m'éclairer la dessus?.
merci


Abeille lzfkas - Eugenol
domi38

13/09/2005 à 00h20

Selon moi, on est en droit de coter Z21 quand on peut le justifier:
Patient qui n'a pas consulté depuis trois ans ou qui n'a pas eu de radios durant ce laps de temps si pas de risque particulier.
Intervalle plus court si je trouve des caries ou un problème paro ou un bridge qui bouge.
Il m'est même arriver de refaire et de coter une pano d'un patient que l'orthodontiste avait envoyé chez le radiologue. Patient qui m'a été adressé par l'ortho avec un mot qui en substance voulait dire " j'y vois que dalle, est-ce qu'il y a des caries à traiter. Comme la pano était inexploitable j'en ai refait une et comme je ne suis pas plus con que le radiologue je l'ai facturée et imprimée pour l'envoyer à l'orthodontiste :-)en lui écrivant: "une alternative aux radiologues existe"!

Bon, maintenant j'ai l'appareil depuis 10 mois environs et je commence à voir des patients à qui je ne vis pa en faire tout de suite.


rofechin

13/09/2005 à 13h43

merci de ta reponse (et de tes amitiés) domi.
quel pano as tu?


laramene

13/09/2005 à 21h43

Dans certains dispensaires chaque patient nouveau est oriente pour faire un OTP et un status depuis des lustres sans que les "controleurs " de la secsoc n'y redise , mais chez nous c'est systématiquement deux poids deux mesures sans que nos syndicats ne bronchent.
ils bénéficient d'une très puissante protection .Je peux citer des cas.


Abeille lzfkas - Eugenol
domi38

13/09/2005 à 23h44

rofechin Ecrivait:
-------------------------------------------------------
> quel pano as tu?


Une Planmeca et je suis content de la qualité autant sur écran que pour les panos imprimées.


ameli

18/09/2005 à 17h25

L'abus de cotation de Z21, c'est vrai, commence à se voir fréquemment, et commence donc à être surveillé.
Un Z21 pour un nouveau patient, en début de traitement complexe ne peut être contesté.
Quelques remarques cependant, car les praticiens ne se rendent pas toujours compte que la radio est un acte médical, et que la radio ce n'est pas simplement appuyer sur un bouton.
Chaque Z21 doit être suivi d'un compte rendu écrit et daté quelque part dans le dossier du patient : Les pathologies doivent être notées, le plan de traitement, les lyses osseuses...Une radio sans commentaire est sans valeur.
La radio doit être lisible. Certains pano sont mal réglés et ne sont pas interprétables dans toutes les zones. Donc, elles ne peuvent être cotées.
Si vous les imprimez (pour le contrôle dentaire par ex), ne prenez un papier de m... qui tache, bave, ou se plie. Une bonne radio peut devenir ininterprétable à cause du papier, et donc décotée ! C'est une économie qui coûte cher !


Dscn3400 tjaray - Eugenol
Boris

18/09/2005 à 21h09

ameli Ecrivait:
-------------------------------------------------------
>
> Si vous les imprimez (pour le contrôle dentaire
> par ex), ne prenez un papier de m... qui tache,
> bave, ou se plie. Une bonne radio peut devenir
> ininterprétable à cause du papier, et donc décotée
> ! C'est une économie qui coûte cher !
>

L'impression sur un support papier est-il une obligation ou peut-on envoyer un CD?


S8ysxdzhdqgw00w4q6m07a5d47q2 - Eugenol
didier72

18/09/2005 à 22h57

ameli Ecrivait:
> Chaque Z21 doit être suivi d'un compte rendu écrit
> et daté quelque part dans le dossier du patient :
> Les pathologies doivent être notées, le plan de
> traitement, les lyses osseuses...Une radio sans
> commentaire est sans valeur.


Bonsoir Améli: 2 questions:
- un bilan radio non pano doit-il faire aussi l'objet d'une interprétation écrite telle que tu la définis pour la pano Z21? Sinon, c'est pas logique...

- Est-il obligatoire de l'imprimer?

Et autre question qui n'a rien à voir avec la rubrique, mais tu feras une seule réponse ...
Les stomatos sont-ils soumis à un contrôle par des CDC? par des stomatos conseils?
C'est pure curiosité.


ZORBECA

19/09/2005 à 15h26

ameli Ecrivait:

> Chaque Z21 doit être suivi d'un compte rendu écrit et daté quelque part dans le dossier du patient :Les pathologies doivent être notées, le plan de traitement, les lyses osseuses...Une radio sans commentaire est sans valeur.


D'après quel texte?

Pourquoi pour la pano uniquement?

Pourquoi les radiologues ne font pas de comptes rendus? (et facturent )


S8ysxdzhdqgw00w4q6m07a5d47q2 - Eugenol
didier72

19/09/2005 à 15h34

C'est pile-poil la question que j'ai posée...
On attend la réponse ;-)


ZORBECA

19/09/2005 à 16h04

didier72 Ecrivait:
-------------------------------------------------------
> C'est pile-poil la question que j'ai posée...



Mais peut-être que l'on "rase" améli. Zut c'est l'heure de la sieste.


Coeur n9py1g - Eugenol
patvat

19/09/2005 à 16h24

Les radiologues sont censes faire un compte rendu pour rendre la radio remboursable moi qui les demande sans commentaire ils ne veulent pas mais font une ligne d ecriture


doczim07

19/09/2005 à 20h50

personnellement j'ai acquis une pano OP100 D de chez General Electric les rendus sont supers et une qualité d'image exeptionnelle


?

19/09/2005 à 20h57

general electric c'est instrumentarium non ?


doczim07

19/09/2005 à 22h48

oui c'est instrumentarium , la je suis pas au cabinet je vous joindrai un OPT au prochain message


Abeille lzfkas - Eugenol
domi38

20/09/2005 à 01h20

doczim07 Ecrivait:
-------------------------------------------------------
> oui c'est instrumentarium, je vous joindrai un OPT au prochain message

Oui, je veux bien voir la qualité.

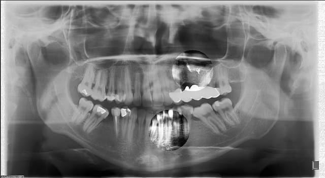
Ma planmeca donne ça:

Pano qcvlac - Eugenol

Abeille lzfkas - Eugenol
domi38

20/09/2005 à 01h23

Heu... Je m'aperçoit que la patient a du bouger. Ce qui cause les déformations de la zone incisive inf. :-(


Image19 iebot6 - Eugenol
athos

20/09/2005 à 12h56

il parait qu'instrumentarium c'est le top, mais la pano de Domi me semble plutot tres bien, y a t il une grande difference de cout entre les deux?


ZORBECA

20/09/2005 à 22h29

ameli Ecrivait:
-------------------------------------------------------
> L'abus de cotation de Z21,

est-il dangereux pour la santé?
>



doczim07

21/09/2005 à 13h57

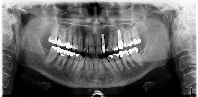
voici celle d'instrumentarium

Opt op100d rf2enk - Eugenol
Opt op100d pk9hv4 - Eugenol

doczim07

21/09/2005 à 14h01

justement domi38 la différence entre les bons et les moins bons se fait dans la zone antérieur, mais je te rassure, il apparait que le plan meca est tres bon aussi,

le choix peut se faire sur l'irradation , exemple le sironna est un de ceux qui irradie le plus
et l'instrumentarium le moins ...

a vous de savoir ce qui est le meilleu rpour vous et pour vos patients